JavaScript is disabled in your browser. Please enable JavaScript to view this website.
AB238937

Anti-BACE1 antibody [EPR19523] - BSA and Azide free

  • BOND RX™ Validated
  • RabMAb
  • Recombinant
  • KO Validated
  • What is this?

Be the first to review this product! Submit a review

|

(1 Publication)

Knockout Tested Rabbit Recombinant Monoclonal BACE1 antibody. Carrier free. Suitable for IP, WB, IHC-Fr, IHC-P and reacts with Mouse, Rat, Human samples. Cited in 1 publication.

View Alternative Names

BACE, KIAA1149, BACE1, Beta-secretase 1, Aspartyl protease 2, Beta-site amyloid precursor protein cleaving enzyme 1, Memapsin-2, Membrane-associated aspartic protease 2, ASP2, Asp 2, Beta-site APP cleaving enzyme 1

12 Images
Immunohistochemistry (Formalin/PFA-fixed paraffin-embedded sections) - Anti-BACE1 antibody [EPR19523] - BSA and Azide free (AB238937)
  • IHC-P

Lab

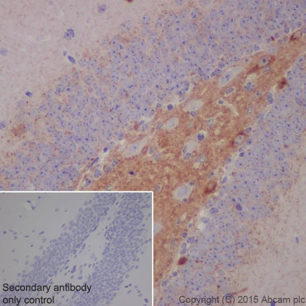
Immunohistochemistry (Formalin/PFA-fixed paraffin-embedded sections) - Anti-BACE1 antibody [EPR19523] - BSA and Azide free (AB238937)

This data was developed using ab183612, the same antibody clone in a different buffer formulation.

Immunohistochemical analysis of paraffin-embedded human cerebellum tissue* labelling BACE1 with ab183612 at 0.2ug/ml followed by a ready to use LeicaDS9800 (Bond™ Polymer Refine Detection).

Positive staining in human cerebellum.

The section was incubated with ab183612 for 30 mins at room temperature. The immunostaining was performed on a Leica Biosystems BOND® RX instrument Counterstained with Hematoxylin.

Secondary antibody only control : Secondary antibody is a ready to use LeicaDS9800 (Bond™ Polymer Refine Detection). Heat mediated antigen retrieval with sodium citrate buffer (pH 6.0 epitope retrieval solution1) for 20 mins.

*Tissue obtained from the Human Research Tissue Bank, supported by the NIHR Cambridge Biomedical Research Centre.

Immunohistochemistry (Formalin/PFA-fixed paraffin-embedded sections) - Anti-BACE1 antibody [EPR19523] - BSA and Azide free (AB238937)
  • IHC-P

Supplier Data

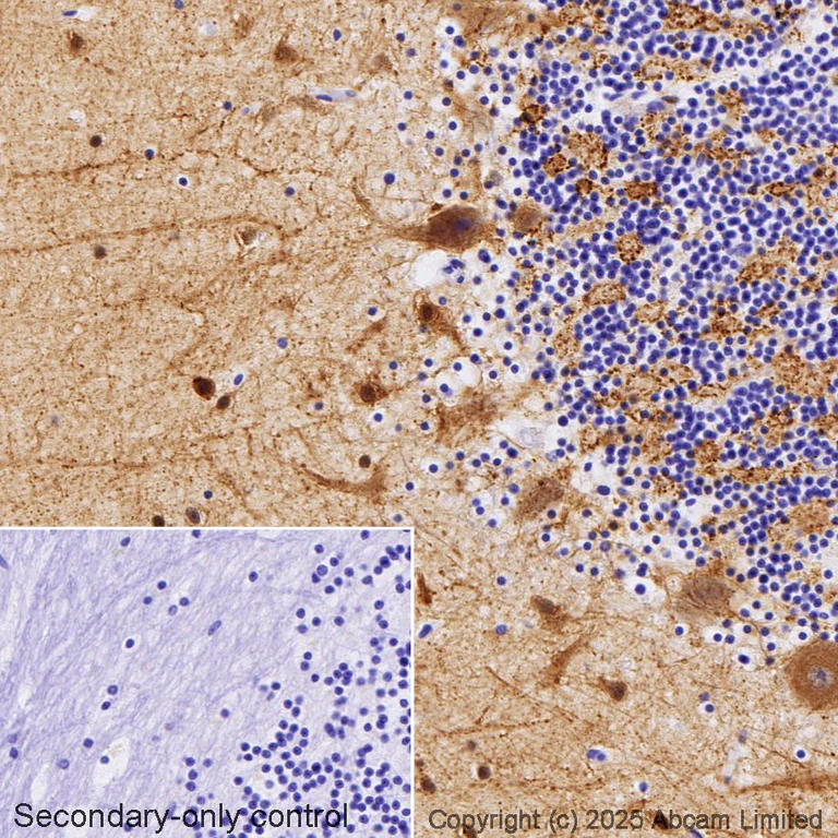
Immunohistochemistry (Formalin/PFA-fixed paraffin-embedded sections) - Anti-BACE1 antibody [EPR19523] - BSA and Azide free (AB238937)

Immunohistochemical analysis of paraffin-embedded mouse hippocampus tissue labeling BACE1 with ab183612 at 1/50 dilution, followed by Goat Anti-Rabbit IgG H&L (HRP) (ab97051) at 1/500 dilution. Cytoplasm staining on mouse Hilar region of the dentate gyrus is observed. Counter stained with Hematoxylin.

Secondary antibody only control : Used PBS instead of primary antibody, secondary antibody is Goat Anti-Rabbit IgG H&L (HRP) (ab97051) at 1/500 dilution.

This data was developed using the same antibody clone in a different buffer formulation containing PBS, BSA, glycerol, and sodium azide (ab183612).

Perform heat mediated antigen retrieval with Tris/EDTA buffer pH 9.0 before commencing with IHC staining protocol.

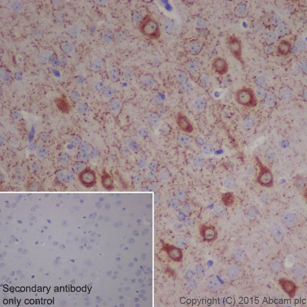
Immunohistochemistry (Formalin/PFA-fixed paraffin-embedded sections) - Anti-BACE1 antibody [EPR19523] - BSA and Azide free (AB238937)
  • IHC-P

Supplier Data

Immunohistochemistry (Formalin/PFA-fixed paraffin-embedded sections) - Anti-BACE1 antibody [EPR19523] - BSA and Azide free (AB238937)

Immunohistochemical analysis of paraffin-embedded mouse cerebrum tissue labeling BACE1 with ab183612 at 1/50 dilution, followed by Goat Anti-Rabbit IgG H&L (HRP) (ab97051) at 1/500 dilution. Cytoplasm staining on neurons of the mouse cerebrum is observed. Counter stained with Hematoxylin.

Secondary antibody only control : Used PBS instead of primary antibody, secondary antibody is Goat Anti-Rabbit IgG H&L (HRP) (ab97051) at 1/500 dilution.

This data was developed using the same antibody clone in a different buffer formulation containing PBS, BSA, glycerol, and sodium azide (ab183612).

Perform heat mediated antigen retrieval with Tris/EDTA buffer pH 9.0 before commencing with IHC staining protocol.

Immunohistochemistry (Frozen sections) - Anti-BACE1 antibody [EPR19523] - BSA and Azide free (AB238937)
  • IHC-Fr

Supplier Data

Immunohistochemistry (Frozen sections) - Anti-BACE1 antibody [EPR19523] - BSA and Azide free (AB238937)

Immunohistochemical analysis of 4% paraformaldehyde-fixed, 0.2% Triton X-100 permeabilized frozen mouse hippocampus tissue labeling BACE1 with ab183612 at 1/250 dilution, followed by Goat Anti-Rabbit IgG (Alexa Fluor® 488) (ab150077) secondary antibody at 1/1000 dilution (green).  The result showed mainly cytoplasmic staining on mouse hippocampus. The nuclear counterstain is DAPI (blue).

Secondary antibody only control : Used PBS instead of primary antibody, secondary antibody is Goat anti-rabbit IgG (Alexa Fluor® 488) (ab150077) secondary antibody at 1/1000 dilution.

This data was developed using the same antibody clone in a different buffer formulation containing PBS, BSA, glycerol, and sodium azide (ab183612).

Immunohistochemistry (Formalin/PFA-fixed paraffin-embedded sections) - Anti-BACE1 antibody [EPR19523] - BSA and Azide free (AB238937)
  • IHC-P

Supplier Data

Immunohistochemistry (Formalin/PFA-fixed paraffin-embedded sections) - Anti-BACE1 antibody [EPR19523] - BSA and Azide free (AB238937)

Immunohistochemical analysis of paraffin-embedded mouse liver tissue labeling BACE1 with ab183612 at 1/50 dilution, followed by Goat Anti-Rabbit IgG H&L (HRP) (ab97051) at 1/500 dilution. Negative staining on mouse liver. Counter stained with Hematoxylin.

Secondary antibody only control : Used PBS instead of primary antibody, secondary antibody is ab97051 at 1/500 dilution.

This data was developed using the same antibody clone in a different buffer formulation containing PBS, BSA, glycerol, and sodium azide (ab183612).

Perform heat mediated antigen retrieval with Tris/EDTA buffer pH 9.0 before commencing with IHC staining protocol.

Immunohistochemistry (Formalin/PFA-fixed paraffin-embedded sections) - Anti-BACE1 antibody [EPR19523] - BSA and Azide free (AB238937)
  • IHC-P

Supplier Data

Immunohistochemistry (Formalin/PFA-fixed paraffin-embedded sections) - Anti-BACE1 antibody [EPR19523] - BSA and Azide free (AB238937)

Immunohistochemical analysis of paraffin-embedded rat cerebrum tissue labeling BACE1 with ab183612 at 1/50 dilution, followed by Goat Anti-Rabbit IgG H&L (HRP) (ab97051) at 1/500 dilution. Cytoplasm staining on some neurons of the rat cerebrum is observed. Counter stained with Hematoxylin.

Secondary antibody only control : Used PBS instead of primary antibody, secondary antibody is Goat Anti-Rabbit IgG H&L (HRP) (ab97051) at 1/500 dilution.

Binding in rat was weak under our experimental conditions and requires further optimization.

This data was developed using the same antibody clone in a different buffer formulation containing PBS, BSA, glycerol, and sodium azide (ab183612).

Perform heat mediated antigen retrieval with Tris/EDTA buffer pH 9.0 before commencing with IHC staining protocol.

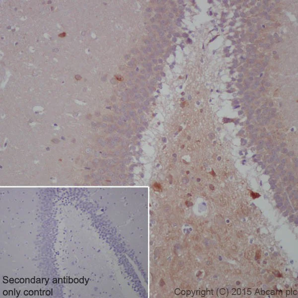
Immunohistochemistry (Formalin/PFA-fixed paraffin-embedded sections) - Anti-BACE1 antibody [EPR19523] - BSA and Azide free (AB238937)
  • IHC-P

Lab

Immunohistochemistry (Formalin/PFA-fixed paraffin-embedded sections) - Anti-BACE1 antibody [EPR19523] - BSA and Azide free (AB238937)

Immunohistochemical analysis of paraffin-embedded rat hippocampus tissue labelling BACE1 with ab183612 at 1/50 dilution, followed by Goat Anti-Rabbit IgG H&L (HRP) (ab97051) at 1/500 dilution. The sample was counterstained with hematoxylin. Antigen retrieval was performed using Tris/EDTA buffer; pH 9.0.

Secondary antibody only control : Used PBS instead of primary antibody, secondary antibody is Goat Anti-Rabbit IgG H&L (HRP) (ab97051) at 1/500 dilution.

Binding in rat was weak under our experimental conditions and requires further optimization.

This data was developed using the same antibody clone in a different buffer formulation containing PBS, BSA, glycerol, and sodium azide (ab183612).

Immunoprecipitation - Anti-BACE1 antibody [EPR19523] - BSA and Azide free (AB238937)
  • IP

Supplier Data

Immunoprecipitation - Anti-BACE1 antibody [EPR19523] - BSA and Azide free (AB238937)

BACE1 was immunoprecipitated from 1mg of rat hippocampus whole cell lysate with ab183612 at 1/50 dilution. Western blot was performed from the immunoprecipitate using ab183612 at 1/1000 dilution. VeriBlot for IP Detection Reagent (HRP) (ab131366), was used for detection at 1/10000 dilution.

Lane 1 : Rat hippocampus whole cell lysate, 10μg (Input).

Lane 2 : ab183612 IP in Rat hippocampus whole cell lysate.

Lane 3 : Rabbit IgG,monoclonal [EPR25A] - Isotype Control (ab172730) instead of ab183612 in rat hippocampus whole cell lysate.

Blocking and dilution buffer and concentration : 5% NFDM/TBST.

Exposure time : 5 seconds.

This data was developed using the same antibody clone in a different buffer formulation containing PBS, BSA, glycerol, and sodium azide (ab183612).

All lanes:

Immunoprecipitation - Anti-BACE1 antibody [EPR19523] (<a href='/en-us/products/primary-antibodies/bace1-antibody-epr19523-ab183612'>ab183612</a>)

Predicted band size: 56 kDa

false

Immunoprecipitation - Anti-BACE1 antibody [EPR19523] - BSA and Azide free (AB238937)
  • IP

Supplier Data

Immunoprecipitation - Anti-BACE1 antibody [EPR19523] - BSA and Azide free (AB238937)

BACE1 was immunoprecipitated from 1mg of mouse hippocampus whole cell lysate with ab183612 at 1/50 dilution. Western blot was performed from the immunoprecipitate using ab183612 at 1/1000 dilution. VeriBlot for IP Detection Reagent (HRP) (ab131366), was used for detection at 1/10000 dilution.

Lane 1 : Mouse hippocampus whole cell lysate, 10μg (Input).

Lane 2 : ab183612 IP in mouse hippocampus whole cell lysate.

Lane 3 : Rabbit IgG,monoclonal [EPR25A] - Isotype Control (ab172730) instead of ab183612 in Mouse hippocampus whole cell lysate.

Blocking and dilution buffer and concentration : 5% NFDM/TBST.

Exposure time : 1 second.

This data was developed using the same antibody clone in a different buffer formulation containing PBS, BSA, glycerol, and sodium azide (ab183612).

All lanes:

Immunoprecipitation - Anti-BACE1 antibody [EPR19523] (<a href='/en-us/products/primary-antibodies/bace1-antibody-epr19523-ab183612'>ab183612</a>)

Predicted band size: 56 kDa

false

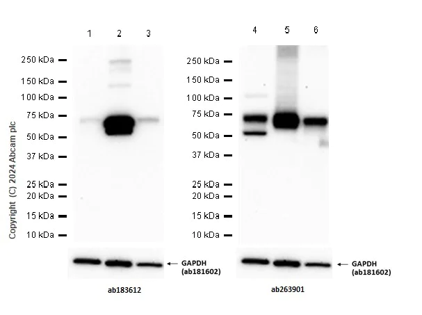
Western blot - Anti-BACE1 antibody [EPR19523] - BSA and Azide free (AB238937)
  • WB

Supplier Data

Western blot - Anti-BACE1 antibody [EPR19523] - BSA and Azide free (AB238937)

This data was developed using the same antibody clone in a different buffer formulation containing PBS, BSA, glycerol, and sodium azide (ab183612).

Blocking and dilution buffer : 5% NFDM/TBST.

ab181602 was used as a loading control at 1/1000000 dilution.

We suggest optimizing experimental protocols (increasing lysate amount, using lower dilution or higher sensitivity ECL substrate) to improve results.

ab263901 could be an alternative for getting stronger signal in testing cell lines.

Lanes 1 - 3:

Western blot - Anti-BACE1 antibody [EPR19523] (<a href='/en-us/products/primary-antibodies/bace1-antibody-epr19523-ab183612'>ab183612</a>) at 1/1000 dilution

Lanes 4 - 6:

Western blot - Anti-BACE1 antibody [EPR22802-233] (<a href='/en-us/products/primary-antibodies/bace1-antibody-epr22802-233-ab263901'>ab263901</a>) at 1/1000 dilution

Lanes 1 and 4:

SH-SY5Y (human neuroblastoma epithelial cell) whole cell lysate at 20 µg

Lanes 2 and 5:

Mouse brain tissue lysate at 20 µg

Lanes 3 and 6:

Neuro-2a (Mouse neuroblastoma cell line) whole cell lysate at 20 µg

Secondary

All lanes:

Western blot - Goat Anti-Rabbit IgG H&L (HRP) (<a href='/en-us/products/secondary-antibodies/goat-rabbit-igg-h-l-hrp-ab97051'>ab97051</a>) at 1/20000 dilution

Predicted band size: 56 kDa

Observed band size: 68 kDa

false

Exposure time: 180s

Western blot - Anti-BACE1 antibody [EPR19523] - BSA and Azide free (AB238937)
  • WB

Lab

Western blot - Anti-BACE1 antibody [EPR19523] - BSA and Azide free (AB238937)

False colour image of Western blot : Anti-BACE1 antibody [EPR19523] staining at 1/1000 dilution, shown in green; Mouse anti-GAPDH antibody [6C5] (ab8245) loading control staining at 1/20000 dilution, shown in red. In Western blot, ab183612 was shown to bind specifically to BACE1. A band was observed at 60/70 kDa in wild-type SH-SY5Y cell lysates with no signal observed at this size in Bace1 knockout cell line ab280078 (knockout cell lysate ab280137). To generate this image, wild-type and Bace1 knockout SH-SY5Y cell lysates were analysed. First, samples were run on an SDS-PAGE gel then transferred onto a nitrocellulose membrane. Membranes were blocked in 3 % milk in TBS-0.1 % Tween® 20 (TBS-T) before incubation with primary antibodies overnight at 4 °C. Blots were washed four times in TBS-T, incubated with secondary antibodies for 1 h at room temperature, washed again four times then imaged. Secondary antibodies used were Goat anti-Rabbit IgG H&L 800CW and Goat anti-Mouse IgG H&L 680RD at 1/20000 dilution. This data was developed using the same antibody clone in a different buffer formulation (ab183612).

Lanes 1 - 3:

Western blot - Anti-BACE1 antibody [EPR19523] - BSA and Azide free (ab238937) at 1/1000 dilution

Lanes 1 - 3:

Western blot - Anti-BACE1 antibody [EPR19523] (<a href='/en-us/products/primary-antibodies/bace1-antibody-epr19523-ab183612'>ab183612</a>) at 1/1000 dilution

Lane 1:

Wild-type SH-SY5Y cell lysate at 20 µg

Lane 2:

Western blot - Human BACE1 knockout SH-SY5Y cell line (<a href='/en-us/products/unavailable/human-bace1-knockout-sh-sy5y-cell-line-ab280078'>ab280078</a>)

Lane 2:

Western blot - Human BACE1 knockout SH-SY5Y cell lysate (ab280137)

Lane 2:

Bace1 knockout SH-SY5Y cell lysate at 20 µg

Lane 3:

HAP1 cell lysate at 20 µg

Secondary

All lanes:

Goat anti-Rabbit IgG H&L 800CW and Goat anti-Mouse IgG H&L 680RD at 1/20000 dilution

Observed band size: 60 kDa,70 kDa

false

Western blot - Anti-BACE1 antibody [EPR19523] - BSA and Azide free (AB238937)
  • WB

Supplier Data

Western blot - Anti-BACE1 antibody [EPR19523] - BSA and Azide free (AB238937)

Lane 1 : Wild-type HAP1 whole cell lysate (20 μg)
Lane 2 : BACE1 knockout HAP1 whole cell lysate (20 μg)
Lane 3 : SHSY5Y whole cell lysate (20 μg)

Lanes 1 - 3 : Merged signal (red and green). Green - ab183612 observed at 68 kDa. Red - loading control, ab181602, observed at 37 kDa.

ab183612 was shown to specifically react with BACE1 in wild-type HAP1 cells as signal was lost in BACE1 knockout cells. Wild-type and BACE1 knockout samples were subjected to SDS-PAGE. ab183612 and ab181602 (Rabbit anti-GAPDH loading control) were incubated overnight at 4°C at 1/1000 dilution and 1/20000 dilution respectively. Blots were developed with Goat anti-Rabbit IgG H&L (IRDye® 800CW) preabsorbed ab216773 and Goat anti-Mouse IgG H&L (IRDye® 680RD) preabsorbed ab216776 secondary antibodies at 1/10000 dilution for 1 hour at room temperature before imaging.

This data was developed using the same antibody clone in a different buffer formulation containing PBS, BSA, glycerol, and sodium azide (ab183612).

All lanes:

Western blot - Anti-BACE1 antibody [EPR19523] - BSA and Azide free (ab238937)

Predicted band size: 56 kDa

Observed band size: 68 kDa

false

Key facts

Host species

Rabbit

Clonality

Monoclonal

Clone number

EPR19523

Isotype

IgG

Carrier free

Yes

Reacts with

Mouse, Rat, Human

Applications

IHC-P, IHC-Fr, IP, WB

applications

Immunogen

The exact immunogen used to generate this antibody is proprietary information.

Specificity

This antibody shows very low cross-reactivity with BACE2.

Reactivity data

{ "title": "Reactivity Data", "filters": { "stats": ["", "Species", "Dilution Info", "Notes"], "tabs": { "all-applications": {"fullname" : "All Applications", "shortname": "All Applications"}, "IP" : {"fullname" : "Immunoprecipitation", "shortname":"IP"}, "WB" : {"fullname" : "Western blot", "shortname":"WB"}, "IHCFr" : {"fullname" : "Immunohistochemistry (Frozen sections)", "shortname":"IHC-Fr"}, "IHCP" : {"fullname" : "Immunohistochemistry (Formalin/PFA-fixed paraffin-embedded sections)", "shortname":"IHC-P"} }, "product-promise": { "all": "all", "testedAndGuaranteed": "tested", "guaranteed": "expected", "predicted": "predicted", "notRecommended": "not-recommended" } }, "values": { "Human": { "IP-species-checked": "guaranteed", "IP-species-dilution-info": "", "IP-species-notes": "<p></p>", "WB-species-checked": "testedAndGuaranteed", "WB-species-dilution-info": "", "WB-species-notes": "<p></p>", "IHCFr-species-checked": "guaranteed", "IHCFr-species-dilution-info": "", "IHCFr-species-notes": "<p>IHC-Fr is recommended for mouse only.</p>", "IHCP-species-checked": "guaranteed", "IHCP-species-dilution-info": "", "IHCP-species-notes": "<p>IHC-P is recommended for mouse only. Binding in rat is weak under our experimental conditions and requires further optimization.</p>" }, "Mouse": { "IP-species-checked": "testedAndGuaranteed", "IP-species-dilution-info": "", "IP-species-notes": "<p></p>", "WB-species-checked": "guaranteed", "WB-species-dilution-info": "", "WB-species-notes": "<p></p>", "IHCFr-species-checked": "testedAndGuaranteed", "IHCFr-species-dilution-info": "", "IHCFr-species-notes": "<p>IHC-Fr is recommended for mouse only.</p>", "IHCP-species-checked": "testedAndGuaranteed", "IHCP-species-dilution-info": "", "IHCP-species-notes": "<p>IHC-P is recommended for mouse only. Binding in rat is weak under our experimental conditions and requires further optimization.</p>" }, "Rat": { "IP-species-checked": "testedAndGuaranteed", "IP-species-dilution-info": "", "IP-species-notes": "<p></p>", "WB-species-checked": "guaranteed", "WB-species-dilution-info": "", "WB-species-notes": "<p></p>", "IHCFr-species-checked": "guaranteed", "IHCFr-species-dilution-info": "", "IHCFr-species-notes": "<p>IHC-Fr is recommended for mouse only.</p>", "IHCP-species-checked": "testedAndGuaranteed", "IHCP-species-dilution-info": "", "IHCP-species-notes": "<p>IHC-P is recommended for mouse only. Binding in rat is weak under our experimental conditions and requires further optimization.</p>" } } }

Product details

ab238937 is the carrier-free version of ab183612.

Patented technology
Our RabMAb® technology is a patented hybridoma-based technology for making rabbit monoclonal antibodies. For details on our patents, please refer to RabMAb® patents.

What are the advantages of a recombinant monoclonal antibody?
This product is a recombinant monoclonal antibody, which offers several advantages including:

  • - High batch-to-batch consistency and reproducibility
  • - Improved sensitivity and specificity
  • - Long-term security of supply
  • - Animal-free batch production

For more information, read more on recombinant antibodies.

Conjugation ready
Our carrier-free antibodies are typically supplied in a PBS-only formulation, purified and free of BSA, sodium azide and glycerol. This conjugation-ready format is designed for use with fluorochromes, metal isotopes, oligonucleotides, and enzymes, which makes them ideal for antibody labelling, functional and cell-based assays, flow-based assays (e.g. mass cytometry) and Multiplex Imaging applications.

Use our conjugation kits for antibody conjugates that are ready-to-use in as little as 20 minutes with 1 minute hands-on-time and 100% antibody recovery: available for fluorescent dyes, HRP, biotin and gold.

Compatibility
This product is compatible with the Maxpar® Antibody Labeling Kit from Fluidigm, without the need for antibody preparation. Maxpar® is a trademark of Fluidigm Canada Inc.

Properties and storage information

Form
Liquid
Purification technique
Affinity purification Protein A
Storage buffer
pH: 7.2 - 7.4 Constituents: PBS
Shipped at conditions
Blue Ice
Appropriate short-term storage conditions
+4°C
Appropriate long-term storage conditions
+4°C
Storage information
Do Not Freeze

Supplementary information

This supplementary information is collated from multiple sources and compiled automatically.

BACE1 also known as beta-site APP cleaving enzyme 1 or beta-secretase plays an important role in the cleavage of amyloid precursor protein (APP). This cleavage results in the production of amyloid-beta peptides which are associated with Alzheimer's disease. BACE1 is a membrane-bound aspartic protease and has a molecular weight of approximately 50100 Da. The enzyme expresses mostly in the brain's neurons and some secretory tissues.
Biological function summary

BACE1 initiates the amyloidogenic pathway of APP processing which involves amyloid-beta generation. BACE1 doesn't function alone but acts as part of a complex that aids in protein substrate recognition and processing. Its activity contributes to physiological processes like myelination and axonal guidance indicating its importance beyond amyloid production.

Pathways

BACE1 is integral to the amyloidogenic pathway which is important in Alzheimer's disease development. It interacts with proteins such as presenilin 1 a part of the gamma-secretase complex that further processes the amyloid-beta precursor. Furthermore BACE1 links to synaptic functions and neural signaling pathways highlighting its multifaceted roles.

BACE1 holds significance in Alzheimer's disease due to its role in amyloid-beta peptide production. This connection has led to the development of BACE1 inhibitors as potential therapeutic agents. Additionally BACE1’s involvement in other neural functions ties it to cognitive impairments. It also relates to APP through its function in Alzheimer's suggesting targeted strategies for treatment could involve modulating BACE1 activity.

Product protocols

For this product, it's our understanding that no specific protocols are required. You can visit:

Target data

Responsible for the proteolytic processing of the amyloid precursor protein (APP). Cleaves at the N-terminus of the A-beta peptide sequence, between residues 671 and 672 of APP, leads to the generation and extracellular release of beta-cleaved soluble APP, and a corresponding cell-associated C-terminal fragment which is later released by gamma-secretase (PubMed : 10656250, PubMed : 10677483, PubMed : 20354142). Cleaves CHL1 (By similarity).
See full target information BACE1

Publications (1)

Recent publications for all applications. Explore the full list and refine your search

Nature genetics 57:1142-1154 PubMed40229600

2025

Longitudinal single-cell multiomic atlas of high-risk neuroblastoma reveals chemotherapy-induced tumor microenvironment rewiring.

Applications

Unspecified application

Species

Unspecified reactive species

Wenbao Yu,Rumeysa Biyik-Sit,Yasin Uzun,Chia-Hui Chen,Anusha Thadi,Jonathan H Sussman,Minxing Pang,Chi-Yun Wu,Liron D Grossmann,Peng Gao,David W Wu,Aliza Yousey,Mei Zhang,Christina S Turn,Zhan Zhang,Shovik Bandyopadhyay,Jeffrey Huang,Tasleema Patel,Changya Chen,Daniel Martinez,Lea F Surrey,Michael D Hogarty,Kathrin Bernt,Nancy R Zhang,John M Maris,Kai Tan
View all publications

Product promise

We are committed to supporting your work with high-quality reagents, and we're here for you every step of the way. In the unlikely event that one of our products does not perform as expected, you're protected by our Product Promise.
For full details, please see our Terms & Conditions

Please note: All products are 'FOR RESEARCH USE ONLY. NOT FOR USE IN DIAGNOSTIC OR THERAPEUTIC PROCEDURES'.

For licensing inquiries, please contact partnerships@abcam.com