JavaScript is disabled in your browser. Please enable JavaScript to view this website.
AB263901

Anti-BACE1 antibody [EPR22802-233]

  • BOND RX™ Validated
  • 20ul selling size
  • Recombinant
  • KO Validated
  • Advanced Validation
  • RabMAb
  • What is this?

0

(1 Review)

|

(1 Publication)

Rabbit Recombinant Monoclonal BACE1 antibody. Suitable for mIHC, WB, IHC-P and reacts with Rat, Mouse, Human, Recombinant full length protein - Human samples. Cited in 1 publication.

View Alternative Names

BACE, KIAA1149, BACE1, Beta-secretase 1, Aspartyl protease 2, Beta-site amyloid precursor protein cleaving enzyme 1, Memapsin-2, Membrane-associated aspartic protease 2, ASP2, Asp 2, Beta-site APP cleaving enzyme 1

7 Images
Immunohistochemistry (Formalin/PFA-fixed paraffin-embedded sections) - Anti-BACE1 antibody [EPR22802-233] (AB263901)
  • IHC-P

Unknown

Immunohistochemistry (Formalin/PFA-fixed paraffin-embedded sections) - Anti-BACE1 antibody [EPR22802-233] (AB263901)

Immunohistochemical analysis of paraffin-embedded Rat hippocampus tissue labeling BACE1 with ab263901 at 1/4000 dilution (0.19 ug/ml) followed by a ready to use Rabbit specific IHC polymer detection kit HRP/DAB (ab209101). Positive staining on mossy fibers in the hilar region of the dentate gyrus. The section was incubated with ab263901 for 30 mins at room temperature. The immunostaining was performed on a Leica Biosystems BOND® RX instrument. Counterstained with Hematoxylin.

Secondary antibody only control : Secondary antibody is a ready to use Rabbit specific IHC polymer detection kit HRP/DAB (ab209101).

Heat mediated antigen retrieval with Tris-EDTA buffer (pH 9.0, epitope retrieval solution 2) for 20mins.

Immunohistochemistry (Formalin/PFA-fixed paraffin-embedded sections) - Anti-BACE1 antibody [EPR22802-233] (AB263901)
  • IHC-P

Unknown

Immunohistochemistry (Formalin/PFA-fixed paraffin-embedded sections) - Anti-BACE1 antibody [EPR22802-233] (AB263901)

Immunohistochemical analysis of paraffin-embedded Mouse hippocampus tissue labeling BACE1 with ab263901 at 1/4000 dilution (0.19 ug/ml) followed by a ready to use Rabbit specific IHC polymer detection kit HRP/DAB (ab209101). Positive staining on mossy fibers in the hilar region of the dentate gyrus. The section was incubated with ab263901 for 30 mins at room temperature. The immunostaining was performed on a Leica Biosystems BOND® RX instrument. Counterstained with Hematoxylin.

Secondary antibody only control : Secondary antibody is a ready to use Rabbit specific IHC polymer detection kit HRP/DAB (ab209101)..

Heat mediated antigen retrieval with Tris-EDTA buffer (pH 9.0, epitope retrieval solution 2) for 20mins.

Multiplex immunohistochemistry - Anti-BACE1 antibody [EPR22802-233] (AB263901)
  • mIHC

Lab

Multiplex immunohistochemistry - Anti-BACE1 antibody [EPR22802-233] (AB263901)

Multiplex immunohistochemistry analysis of formalin/PFA-fixed paraffin-embedded Rat hippocampus tissue staining SYNPR with ab314136 at a 1 : 8000 (0.06 ug/ml) dilution, BACE1 with ab263901 at 1 : 4000 (0.193 ug/ml) dilution and 5HT6 Receptor with ab315380 at a 1 : 1000 (0.504 ug/ml) dilution followed by secondary antibody Opal Polymer HRP Ms + Rb.

Panel A : merged staining of anti-SYNPR (green; Opal™520), anti-BACE1 (magenta;Opal™570) and anti-5HT6 Receptor (yellow;Opal™690) on rat hippocampus.
Panel B : anti-SYNPR staining the mossy fibers in rat hippocampus.
Panel C : anti-BACE1 staining the mossy fibers in rat hippocampus.
Panel D : anti-5HT6 Receptor staining the pyramidal neurons in rat hippocampus.
Nuclear DNA was labeled with DAPI (shown in blue).

The section was incubated in three rounds of staining : in the order of ab314136, ab263901 and ab315380 for 30 mins at room temperature. Each round was followed by a separate fluorescent tyramide signal amplification system.

The immunostaining was performed on a Leica Biosystems BOND® RX instrument with an Opal 4-color kit. Image acquisition was performed with Leica SP8 confocal microscope.

Heat mediated antigen retrieval with Tris-EDTA buffer (pH 9.0, epitope retrieval solution2) for 20 mins.

Multiplex immunohistochemistry - Anti-BACE1 antibody [EPR22802-233] (AB263901)
  • mIHC

Lab

Multiplex immunohistochemistry - Anti-BACE1 antibody [EPR22802-233] (AB263901)

Multiplex immunohistochemistry analysis of formalin/PFA-fixed paraffin-embedded Mouse hippocampus tissue staining SYNPR with ab314136 at a 1 : 8000 (0.06 ug/ml) dilution, BACE1 with ab263901 at 1 : 4000 (0.193 ug/ml) dilution and 5HT6 Receptor with ab315380 at a 1 : 1000 (0.504 ug/ml) dilution followed by secondary antibody Opal Polymer HRP Ms + Rb.

Panel A : merged staining of anti-SYNPR (green; Opal™520), anti-BACE1 (magenta;Opal™570) and anti-5HT6 Receptor (yellow;Opal™690) on mouse hippocampus.
Panel B : anti-SYNPR staining the mossy fibers in mouse hippocampus.
Panel C : anti-BACE1 staining the mossy fibers in mouse hippocampus.
Panel D : anti-5HT6 Receptor staining the pyramidal neurons in mouse hippocampus.
Nuclear DNA was labeled with DAPI (shown in blue).

The section was incubated in three rounds of staining : in the order of ab314136, ab263901 and ab315380 for 30 mins at room temperature. Each round was followed by a separate fluorescent tyramide signal amplification system.

The immunostaining was performed on a Leica Biosystems BOND® RX instrument with an Opal 4-color kit. Image acquisition was performed with Leica SP8 confocal microscope.

Heat mediated antigen retrieval with Tris-EDTA buffer (pH 9.0, epitope retrieval solution2) for 20 mins.

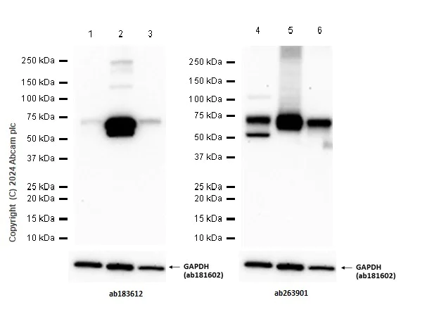
Western blot - Anti-BACE1 antibody [EPR22802-233] (AB263901)
  • WB

Supplier Data

Western blot - Anti-BACE1 antibody [EPR22802-233] (AB263901)

Blocking and dilution buffer : 5% NFDM/TBST.

ab181602 was used as a loading control at 1/1000000 dilution.

We suggest optimizing experimental protocols (increasing lysate amount, using lower dilution or higher sensitivity ECL substrate) to improve results.

ab263901 could be an alternative for getting stronger signal in testing cell lines.

Lanes 1 - 3:

Western blot - Anti-BACE1 antibody [EPR19523] (<a href='/en-us/products/primary-antibodies/bace1-antibody-epr19523-ab183612'>ab183612</a>) at 1/1000 dilution

Lanes 4 - 6:

Western blot - Anti-BACE1 antibody [EPR22802-233] (ab263901) at 1/1000 dilution

Lanes 1 and 4:

SH-SY5Y (human neuroblastoma epithelial cell) whole cell lysate at 20 µg

Lanes 2 and 5:

Mouse brain tissue lysate at 20 µg

Lanes 3 and 6:

Neuro-2a (Mouse neuroblastoma cell line) whole cell lysate at 20 µg

Secondary

All lanes:

Western blot - Goat Anti-Rabbit IgG H&L (HRP) (<a href='/en-us/products/secondary-antibodies/goat-rabbit-igg-h-l-hrp-ab97051'>ab97051</a>) at 1/20000 dilution

Predicted band size: 56 kDa

Observed band size: 68 kDa

false

Exposure time: 180s

Western blot - Anti-BACE1 antibody [EPR22802-233] (AB263901)
  • WB

Supplier Data

Western blot - Anti-BACE1 antibody [EPR22802-233] (AB263901)

Blocking and dilution buffer : 5% NFDM/TBST.

Exposure times.

Lanes 1-2 : 26 seconds;
Lanes 3-6 : 10 seconds.

The expression profile/ molecular weight observed is consistent with what has been described in the literature (PMID : 17425515).

ab263901 was shown to specifically react with BACE1 in wild-type HAP1 cells as signal was lost in BACE1 knockout cells. Wild-type and BACE1 knockout samples were subjected to SDS-PAGE. ab263901 and ab181602 (Rabbit anti-GAPDH loading control) were incubated 1 hour at room temperature at 1/1000 dilution and 1/200,000 dilution respectively. Blots were developed with Goat Anti-Rabbit IgG, (H+L), Peroxidase conjugated (ab97051) secondary antibody at 1/100,000 dilution for 1 hour at room temperature before imaging. The blot was developed on a BIO-RAD® ChemiDoc™ MP instrument using the ECL technique.

All lanes:

Western blot - Anti-BACE1 antibody [EPR22802-233] (ab263901) at 1/1000 dilution

Lane 1:

Wild-type HAP1 whole cell lysate at 20 µg

Lane 2:

BACE1 knockout HAP1 whole cell lysate at 20 µg

Lane 3:

SH-SY5Y (human neuroblastoma epithelial cell) whole cell lysate at 20 µg

Lane 4:

Mouse brain lysate at 20 µg

Lane 5:

Human brain lysate at 20 µg

Lane 6:

Rat hippocampus lysate at 20 µg

Secondary

All lanes:

Western blot - Goat Anti-Rabbit IgG H&L (HRP) (<a href='/en-us/products/secondary-antibodies/goat-rabbit-igg-h-l-hrp-ab97051'>ab97051</a>) at 1/100000 dilution

Predicted band size: 56 kDa

Observed band size: 70 kDa

false

Western blot - Anti-BACE1 antibody [EPR22802-233] (AB263901)
  • WB

Unknown

Western blot - Anti-BACE1 antibody [EPR22802-233] (AB263901)

Blocking and dilution buffer : 5% NFDM/TBST.

Exposure time : 3 seconds.

All lanes:

Western blot - Anti-BACE1 antibody [EPR22802-233] (ab263901) at 1/1000 dilution

All lanes:

His-tagged human BACE1 recombinant protein (aa22-460 &aa46-460), 10 ng

Secondary

All lanes:

Western blot - Goat Anti-Rabbit IgG H&L (HRP) (<a href='/en-us/products/secondary-antibodies/goat-rabbit-igg-h-l-hrp-ab97051'>ab97051</a>) at 1/100000 dilution

Predicted band size: 56 kDa

Observed band size: 65-67 kDa,68-70 kDa

false

  • Carrier free

    Anti-BACE1 antibody [EPR22802-233] - BSA and Azide free

Key facts

Host species

Rabbit

Clonality

Monoclonal

Clone number

EPR22802-233

Isotype

IgG

Carrier free

No

Reacts with

Mouse, Rat, Human

Applications

WB, IHC-P, mIHC

applications

Immunogen

The exact immunogen used to generate this antibody is proprietary information.

Specificity

This antibody is not recommended for human IHC-P.

This antibody shows very low cross-reactivity with BACE2.

Reactivity data

{ "title": "Reactivity Data", "filters": { "stats": ["", "Species", "Dilution Info", "Notes"], "tabs": { "all-applications": {"fullname" : "All Applications", "shortname": "All Applications"}, "mIHC" : {"fullname" : "Multiplex immunohistochemistry", "shortname":"mIHC"}, "IP" : {"fullname" : "Immunoprecipitation", "shortname":"IP"}, "FlowCyt" : {"fullname" : "Flow Cytometry", "shortname":"Flow Cyt"}, "WB" : {"fullname" : "Western blot", "shortname":"WB"}, "ICCIF" : {"fullname" : "Immunocytochemistry/ Immunofluorescence", "shortname":"ICC/IF"}, "IHCP" : {"fullname" : "Immunohistochemistry (Formalin/PFA-fixed paraffin-embedded sections)", "shortname":"IHC-P"} }, "product-promise": { "all": "all", "testedAndGuaranteed": "tested", "guaranteed": "expected", "predicted": "predicted", "notRecommended": "not-recommended" } }, "values": { "Human": { "mIHC-species-checked": "guaranteed", "mIHC-species-dilution-info": "", "mIHC-species-notes": "", "IP-species-checked": "notRecommended", "IP-species-dilution-info": "", "IP-species-notes": "<p></p>", "FlowCyt-species-checked": "notRecommended", "FlowCyt-species-dilution-info": "", "FlowCyt-species-notes": "<p></p>", "WB-species-checked": "testedAndGuaranteed", "WB-species-dilution-info": "1/1000", "WB-species-notes": "<p></p>", "ICCIF-species-checked": "notRecommended", "ICCIF-species-dilution-info": "", "ICCIF-species-notes": "<p></p>", "IHCP-species-checked": "guaranteed", "IHCP-species-dilution-info": "", "IHCP-species-notes": "" }, "Mouse": { "mIHC-species-checked": "testedAndGuaranteed", "mIHC-species-dilution-info": "", "mIHC-species-notes": "<p></p>", "IP-species-checked": "notRecommended", "IP-species-dilution-info": "", "IP-species-notes": "", "FlowCyt-species-checked": "notRecommended", "FlowCyt-species-dilution-info": "", "FlowCyt-species-notes": "<p></p>", "WB-species-checked": "testedAndGuaranteed", "WB-species-dilution-info": "1/1000", "WB-species-notes": "<p></p>", "ICCIF-species-checked": "notRecommended", "ICCIF-species-dilution-info": "", "ICCIF-species-notes": "", "IHCP-species-checked": "testedAndGuaranteed", "IHCP-species-dilution-info": "1/4000", "IHCP-species-notes": "<p>This antibody is not recommended for human IHC-P</p>" }, "Rat": { "mIHC-species-checked": "testedAndGuaranteed", "mIHC-species-dilution-info": "", "mIHC-species-notes": "<p></p>", "IP-species-checked": "notRecommended", "IP-species-dilution-info": "", "IP-species-notes": "", "FlowCyt-species-checked": "notRecommended", "FlowCyt-species-dilution-info": "", "FlowCyt-species-notes": "", "WB-species-checked": "testedAndGuaranteed", "WB-species-dilution-info": "1/1000", "WB-species-notes": "<p></p>", "ICCIF-species-checked": "notRecommended", "ICCIF-species-dilution-info": "", "ICCIF-species-notes": "", "IHCP-species-checked": "testedAndGuaranteed", "IHCP-species-dilution-info": "1/4000", "IHCP-species-notes": "<p>This antibody is not recommended for human IHC-P</p>" }, "Recombinant full length protein - Human": { "mIHC-species-checked": "notRecommended", "mIHC-species-dilution-info": "", "mIHC-species-notes": "", "IP-species-checked": "notRecommended", "IP-species-dilution-info": "", "IP-species-notes": "", "FlowCyt-species-checked": "notRecommended", "FlowCyt-species-dilution-info": "", "FlowCyt-species-notes": "", "WB-species-checked": "testedAndGuaranteed", "WB-species-dilution-info": "1/1000", "WB-species-notes": "<p></p>", "ICCIF-species-checked": "notRecommended", "ICCIF-species-dilution-info": "", "ICCIF-species-notes": "", "IHCP-species-checked": "notRecommended", "IHCP-species-dilution-info": "", "IHCP-species-notes": "" } } }

Product details

Patented technology
Our RabMAb® technology is a patented hybridoma-based technology for making rabbit monoclonal antibodies. For details on our patents, please refer to RabMAb® patents.

What are the advantages of a recombinant monoclonal antibody?
This product is a recombinant monoclonal antibody, which offers several advantages including:

  • - High batch-to-batch consistency and reproducibility
  • - Improved sensitivity and specificity
  • - Long-term security of supply
  • - Animal-free batch production

For more information, read more on recombinant antibodies.

Properties and storage information

Form
Liquid
Purification technique
Affinity purification Protein A
Storage buffer
pH: 7.2 - 7.4 Preservative: 0.01% Sodium azide Constituents: PBS, 40% Glycerol (glycerin, glycerine), 0.05% BSA
Shipped at conditions
Blue Ice
Appropriate short-term storage duration
1-2 weeks
Appropriate short-term storage conditions
+4°C
Appropriate long-term storage conditions
-20°C
Aliquoting information
Upon delivery aliquot
Storage information
Avoid freeze / thaw cycle

Supplementary information

This supplementary information is collated from multiple sources and compiled automatically.

BACE1 also known as beta-site APP cleaving enzyme 1 or beta-secretase plays an important role in the cleavage of amyloid precursor protein (APP). This cleavage results in the production of amyloid-beta peptides which are associated with Alzheimer's disease. BACE1 is a membrane-bound aspartic protease and has a molecular weight of approximately 50100 Da. The enzyme expresses mostly in the brain's neurons and some secretory tissues.
Biological function summary

BACE1 initiates the amyloidogenic pathway of APP processing which involves amyloid-beta generation. BACE1 doesn't function alone but acts as part of a complex that aids in protein substrate recognition and processing. Its activity contributes to physiological processes like myelination and axonal guidance indicating its importance beyond amyloid production.

Pathways

BACE1 is integral to the amyloidogenic pathway which is important in Alzheimer's disease development. It interacts with proteins such as presenilin 1 a part of the gamma-secretase complex that further processes the amyloid-beta precursor. Furthermore BACE1 links to synaptic functions and neural signaling pathways highlighting its multifaceted roles.

BACE1 holds significance in Alzheimer's disease due to its role in amyloid-beta peptide production. This connection has led to the development of BACE1 inhibitors as potential therapeutic agents. Additionally BACE1’s involvement in other neural functions ties it to cognitive impairments. It also relates to APP through its function in Alzheimer's suggesting targeted strategies for treatment could involve modulating BACE1 activity.

Product protocols

For this product, it's our understanding that no specific protocols are required. You can visit:

Target data

Responsible for the proteolytic processing of the amyloid precursor protein (APP). Cleaves at the N-terminus of the A-beta peptide sequence, between residues 671 and 672 of APP, leads to the generation and extracellular release of beta-cleaved soluble APP, and a corresponding cell-associated C-terminal fragment which is later released by gamma-secretase (PubMed : 10656250, PubMed : 10677483, PubMed : 20354142). Cleaves CHL1 (By similarity).
See full target information BACE1

Publications (1)

Recent publications for all applications. Explore the full list and refine your search

Cells 13: PubMed39056755

2024

Astrocytes in Amyloid Generation and Alcohol Metabolism: Implications of Alcohol Use in Neurological Disorder(s).

Applications

Unspecified application

Species

Unspecified reactive species

Mohit Kumar,Natalie Swanson,Sudipta Ray,Shilpa Buch,Viswanathan Saraswathi,Susmita Sil
View all publications

Product promise

We are committed to supporting your work with high-quality reagents, and we're here for you every step of the way. In the unlikely event that one of our products does not perform as expected, you're protected by our Product Promise.
For full details, please see our Terms & Conditions

Please note: All products are 'FOR RESEARCH USE ONLY. NOT FOR USE IN DIAGNOSTIC OR THERAPEUTIC PROCEDURES'.

For licensing inquiries, please contact partnerships@abcam.com