JavaScript is disabled in your browser. Please enable JavaScript to view this website.
AB270616

Anti-BACE2 antibody [EPR23339-221] - BSA and Azide free

Be the first to review this product! Submit a review

|

(1 Publication)

Rabbit Recombinant Monoclonal BACE2 antibody. Carrier free. Suitable for IP, WB, ICC/IF, IHC-Fr, IHC-P and reacts with Mouse, Human, Rat samples. Cited in 1 publication.

View Alternative Names

AEPLC, ALP56, ASP21, CDA13, UNQ418/PRO852, BACE2, Beta-secretase 2, Aspartic-like protease 56 kDa, Aspartyl protease 1, Beta-site amyloid precursor protein cleaving enzyme 2, Down region aspartic protease, Memapsin-1, Membrane-associated aspartic protease 1, Theta-secretase, ASP1, Asp 1, Beta-site APP cleaving enzyme 2, DRAP

6 Images
Immunohistochemistry (Formalin/PFA-fixed paraffin-embedded sections) - Anti-BACE2 antibody [EPR23339-221] - BSA and Azide free (AB270616)
  • IHC-P

Unknown

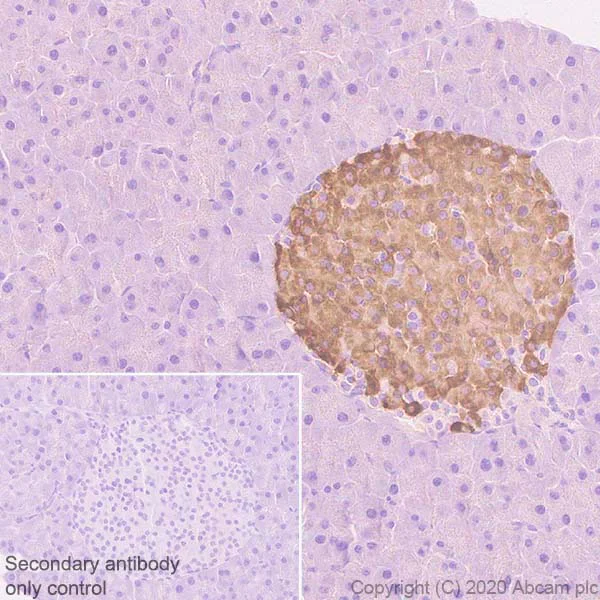
Immunohistochemistry (Formalin/PFA-fixed paraffin-embedded sections) - Anti-BACE2 antibody [EPR23339-221] - BSA and Azide free (AB270616)

Immunohistochemical analysis of paraffin-embedded mouse pancreas tissue labeling BACE2 with ab270458 at 1/100 followed by a ready to use Rabbit specific IHC polymer detection kit HRP/DAB (ab209101). Cytoplasmic staining on mouse pancreatic islet (PMID : 21907142). The section was incubated with ab270458 for 30 mins at room temperature. The immunostaining was performed on a Leica Biosystems BOND® RX instrument. Counterstained with hematoxylin.

Secondary antibody only control : Secondary antibody is a ready to use Rabbit specific IHC polymer detection kit HRP/DAB (ab209101).

Heat mediated antigen retrieval with Tris-EDTA buffer (pH 9.0, epitope retrieval solution2) for 20 mins.

This data was developed using the same antibody clone in a different buffer formulation containing PBS, BSA, glycerol, and sodium azide (ab270458).

Immunocytochemistry/ Immunofluorescence - Anti-BACE2 antibody [EPR23339-221] - BSA and Azide free (AB270616)
  • ICC/IF

Unknown

Immunocytochemistry/ Immunofluorescence - Anti-BACE2 antibody [EPR23339-221] - BSA and Azide free (AB270616)

Immunofluorescent analysis of 100% methanol-fixed, 0.1% Triton X-100 permeabilized Beta-TC-6 cells labeling BACE2 with ab270458 at 1/50 dilution, followed by ab150077 Goat Anti-Rabbit IgG H&L (Alexa Fluor® 488) antibody at 1/1000 dilution (Green). Confocal image showing cytoplamic and membranous staining in Beta-TC-6 cell line. 100% methanol fixation is recommended. ab195889 Anti-alpha Tubulin antibody [DM1A] - Microtubule Marker (Alexa Fluor® 594) was used to counterstain tubulin at 1/200 dilution (Red). The nuclear counterstain was DAPI (Blue).

Secondary antibody only control : Secondary antibody is ab150077 Goat Anti-Rabbit IgG H&L (Alexa Fluor® 488) at 1/1000 dilution.

This data was developed using the same antibody clone in a different buffer formulation containing PBS, BSA, glycerol, and sodium azide (ab270458).

Immunohistochemistry (Formalin/PFA-fixed paraffin-embedded sections) - Anti-BACE2 antibody [EPR23339-221] - BSA and Azide free (AB270616)
  • IHC-P

Unknown

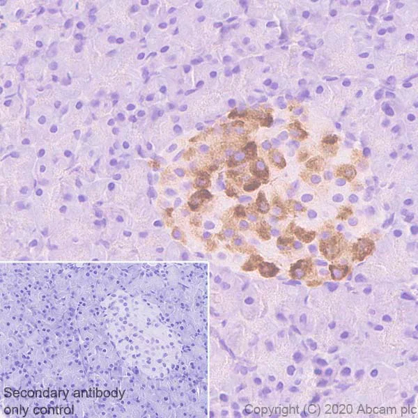
Immunohistochemistry (Formalin/PFA-fixed paraffin-embedded sections) - Anti-BACE2 antibody [EPR23339-221] - BSA and Azide free (AB270616)

Immunohistochemical analysis of paraffin-embedded rat pancreas tissue labeling BACE2 with ab270458 at 1/100 followed by a ready to use Rabbit specific IHC polymer detection kit HRP/DAB (ab209101). Cytoplasmic staining on rat pancreatic islet (PMID : 21907142). The section was incubated with ab270458 for 30 mins at room temperature. The immunostaining was performed on a Leica Biosystems BOND® RX instrument. Counterstained with hematoxylin.

Secondary antibody only control : Secondary antibody is a ready to use Rabbit specific IHC polymer detection kit HRP/DAB (ab209101).

Heat mediated antigen retrieval with Tris-EDTA buffer (pH 9.0, epitope retrieval solution2) for 20 mins.

This data was developed using the same antibody clone in a different buffer formulation containing PBS, BSA, glycerol, and sodium azide (ab270458).

Immunohistochemistry (Frozen sections) - Anti-BACE2 antibody [EPR23339-221] - BSA and Azide free (AB270616)
  • IHC-Fr

Unknown

Immunohistochemistry (Frozen sections) - Anti-BACE2 antibody [EPR23339-221] - BSA and Azide free (AB270616)

Immunohistochemical analysis of 4% PFA fixed 0.2% Triton X-100 permeabilized frozen mouse pancreas tissue labeling BACE2 with ab270458 at 1/100 dilution followed by ab150077 AlexaFluor®488 Goat anti-Rabbit secondary at 1/1000 (2 μg/ml) dilution. The nuclear counterstain was DAPI (Blue).

Heat mediated antigen retrieval using sodium citrate buffer (10mM citrate pH 6.0 + 0.05% Tween-20).

Secondary antibody only control : Used PBS instead of primary antibody, secondary antibody was ab150077 AlexaFluor®488 Goat anti-Rabbit secondary at 1/1000 (2 μg/ml) dilution.

This data was developed using the same antibody clone in a different buffer formulation containing PBS, BSA, glycerol, and sodium azide (ab270458).

Immunoprecipitation - Anti-BACE2 antibody [EPR23339-221] - BSA and Azide free (AB270616)
  • IP

Unknown

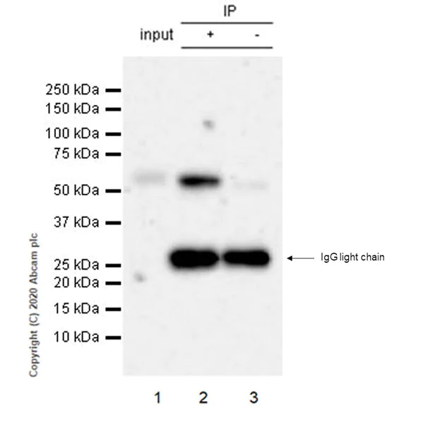
Immunoprecipitation - Anti-BACE2 antibody [EPR23339-221] - BSA and Azide free (AB270616)

BACE2 was immunoprecipitated from 0.35 mg Neuro-2a (mouse neuroblastoma neuroblast) whole cell lysate with ab270458 at 1/30 dilution (2μg in 0.35mg lysates). Western blot was performed on the immunoprecipitate using ab270458 at 1/1000 dilution. VeriBlot for IP Detection Reagent (HRP)(ab131366) was used at 1/5000 dilution.

Lane 1 : Neuro-2a whole cell lysate.

Lane 2 : ab270458 IP in Neuro-2a whole cell lysate.

Lane 3 : Rabbit monoclonal IgG (ab172730) instead of ab270458 in Neuro-2a whole cell lysate.

Blocking and dilution buffer and concentration : 5% NFDM/TBST.

Exposure time : 3 mins.

This data was developed using the same antibody clone in a different buffer formulation containing PBS, BSA, glycerol, and sodium azide (ab270458).

All lanes:

Immunoprecipitation - Anti-BACE2 antibody [EPR23339-221] (<a href='/en-us/products/primary-antibodies/bace2-antibody-epr23339-221-ab270458'>ab270458</a>)

Predicted band size: 56 kDa

false

Western blot - Anti-BACE2 antibody [EPR23339-221] - BSA and Azide free (AB270616)
  • WB

Supplier Data

Western blot - Anti-BACE2 antibody [EPR23339-221] - BSA and Azide free (AB270616)

This data was developed using the same antibody clone in a different buffer formulation containing PBS, BSA, glycerol, and sodium azide (ab270458). Blocking and diluting buffer and concentration : 5% NFDM/TBST. Brain has very low level of BACE2 [PMID : 10749877, PMID : 30626751].

All lanes:

Western blot - Anti-BACE2 antibody [EPR23339-221] (<a href='/en-us/products/primary-antibodies/bace2-antibody-epr23339-221-ab270458'>ab270458</a>) at 1/1000 dilution

Lane 1:

Beta-TC-6 (Mouse pancreas insulinoma beta cell) whole cell lysate at 20 µg

Lane 2:

Mouse brain tissue lysate at 20 µg

Lane 3:

Mouse hippocampus tissue lysate at 20 µg

Lane 4:

Mouse cerebellum tissue lysate at 20 µg

Lane 5:

Mouse cerebral cortex tissue lysate at 20 µg

Lane 6:

Mouse spinal cord tissue lysate at 20 µg

Lane 7:

Mouse midbrain tissue lysate at 20 µg

Lane 8:

Mouse forebrain tissue lysate at 20 µg

Secondary

All lanes:

Western blot - Goat Anti-Rabbit IgG H&L (HRP) (<a href='/en-us/products/secondary-antibodies/goat-rabbit-igg-h-l-hrp-ab97051'>ab97051</a>) at 1/20000 dilution

Predicted band size: 56 kDa

Observed band size: 56 kDa

false

Key facts

Host species

Rabbit

Clonality

Monoclonal

Clone number

EPR23339-221

Isotype

IgG

Carrier free

Yes

Reacts with

Mouse, Rat, Human

Applications

IHC-P, ICC/IF, WB, IHC-Fr, IP

applications

Immunogen

The exact immunogen used to generate this antibody is proprietary information.

Reactivity data

{ "title": "Reactivity Data", "filters": { "stats": ["", "Species", "Dilution Info", "Notes"], "tabs": { "all-applications": {"fullname" : "All Applications", "shortname": "All Applications"}, "IP" : {"fullname" : "Immunoprecipitation", "shortname":"IP"}, "WB" : {"fullname" : "Western blot", "shortname":"WB"}, "ICCIF" : {"fullname" : "Immunocytochemistry/ Immunofluorescence", "shortname":"ICC/IF"}, "IHCFr" : {"fullname" : "Immunohistochemistry (Frozen sections)", "shortname":"IHC-Fr"}, "IHCP" : {"fullname" : "Immunohistochemistry (Formalin/PFA-fixed paraffin-embedded sections)", "shortname":"IHC-P"} }, "product-promise": { "all": "all", "testedAndGuaranteed": "tested", "guaranteed": "expected", "predicted": "predicted", "notRecommended": "not-recommended" } }, "values": { "Human": { "IP-species-checked": "guaranteed", "IP-species-dilution-info": "", "IP-species-notes": "", "WB-species-checked": "testedAndGuaranteed", "WB-species-dilution-info": "", "WB-species-notes": "<p></p>", "ICCIF-species-checked": "notRecommended", "ICCIF-species-dilution-info": "", "ICCIF-species-notes": "<p>100% methanol fixation is recommended.</p>", "IHCFr-species-checked": "guaranteed", "IHCFr-species-dilution-info": "", "IHCFr-species-notes": "", "IHCP-species-checked": "notRecommended", "IHCP-species-dilution-info": "", "IHCP-species-notes": "<p></p>" }, "Mouse": { "IP-species-checked": "testedAndGuaranteed", "IP-species-dilution-info": "", "IP-species-notes": "<p></p>", "WB-species-checked": "testedAndGuaranteed", "WB-species-dilution-info": "", "WB-species-notes": "<p></p>", "ICCIF-species-checked": "testedAndGuaranteed", "ICCIF-species-dilution-info": "", "ICCIF-species-notes": "<p>100% methanol fixation is recommended.</p>", "IHCFr-species-checked": "testedAndGuaranteed", "IHCFr-species-dilution-info": "", "IHCFr-species-notes": "<p></p>", "IHCP-species-checked": "testedAndGuaranteed", "IHCP-species-dilution-info": "", "IHCP-species-notes": "<p></p>" }, "Rat": { "IP-species-checked": "guaranteed", "IP-species-dilution-info": "", "IP-species-notes": "", "WB-species-checked": "guaranteed", "WB-species-dilution-info": "", "WB-species-notes": "<p></p>", "ICCIF-species-checked": "notRecommended", "ICCIF-species-dilution-info": "", "ICCIF-species-notes": "<p>100% methanol fixation is recommended.</p>", "IHCFr-species-checked": "guaranteed", "IHCFr-species-dilution-info": "", "IHCFr-species-notes": "", "IHCP-species-checked": "testedAndGuaranteed", "IHCP-species-dilution-info": "", "IHCP-species-notes": "<p></p>" } } }

Product details

ab270616 is the carrier-free version of ab270458.

Patented technology
Our RabMAb® technology is a patented hybridoma-based technology for making rabbit monoclonal antibodies. For details on our patents, please refer to RabMAb® patents.

What are the advantages of a recombinant monoclonal antibody?
This product is a recombinant monoclonal antibody, which offers several advantages including:

  • - High batch-to-batch consistency and reproducibility
  • - Improved sensitivity and specificity
  • - Long-term security of supply
  • - Animal-free batch production

For more information, read more on recombinant antibodies.

Conjugation ready
Our carrier-free antibodies are typically supplied in a PBS-only formulation, purified and free of BSA, sodium azide and glycerol. This conjugation-ready format is designed for use with fluorochromes, metal isotopes, oligonucleotides, and enzymes, which makes them ideal for antibody labelling, functional and cell-based assays, flow-based assays (e.g. mass cytometry) and Multiplex Imaging applications.

Use our conjugation kits for antibody conjugates that are ready-to-use in as little as 20 minutes with 1 minute hands-on-time and 100% antibody recovery: available for fluorescent dyes, HRP, biotin and gold.

Compatibility
This product is compatible with the Maxpar® Antibody Labeling Kit from Fluidigm, without the need for antibody preparation. Maxpar® is a trademark of Fluidigm Canada Inc.

Properties and storage information

Form
Liquid
Purification technique
Affinity purification Protein A
Storage buffer
pH: 7.2 - 7.4 Constituents: PBS
Shipped at conditions
Blue Ice
Appropriate short-term storage conditions
+4°C
Appropriate long-term storage conditions
+4°C
Storage information
Do Not Freeze

Supplementary information

This supplementary information is collated from multiple sources and compiled automatically.

BACE2 also known as beta-site APP-cleaving enzyme 2 is an aspartic acid protease. It has a molecular mass of roughly 70 kDa. This enzyme cleaves amyloid precursor protein (APP) at the beta-secretase site. BACE2 is mainly expressed in the brain but also found in other tissues like the pancreas. It shares similarity with BACE1 another protease involved in APP processing.
Biological function summary

BACE2 acts on substrates to regulate amyloidogenic processing of APP. It belongs to the peptidase A1 Family. Unlike its counterpart BACE1 which promotes amyloid-beta peptide production BACE2 has been suggested to reduce amyloid-beta formation by different substrate cleavage. Though not part of a stable complex BACE2 influences pathways related to protein processing.

Pathways

One should note that BACE2 is involved in the amyloidogenic pathway. This pathway processes APP and affects amyloid-beta levels important in neurological conditions. BACE2 acts with proteins like APP and might modulate the effects seen due to BACE1 activity. Despite overlapping functions BACE2 and BACE1 have distinct roles in this pathway impacting amyloid levels differently.

People look at BACE2 because of its connection to Alzheimer's disease and Down syndrome. BACE2 might act as a protective factor against Alzheimer's by limiting amyloid-beta accumulation. Down syndrome characterized by trisomy 21 involves heightened BACE2 expression which may modify neurodevelopment. In Alzheimer's research BACE1 has been the focus due to its role in disease progression but BACE2's contrasting effects offer a potential therapeutic angle.

Product protocols

For this product, it's our understanding that no specific protocols are required. You can visit:

Target data

Responsible for the proteolytic processing of the amyloid precursor protein (APP). Cleaves APP, between residues 690 and 691, leading to the generation and extracellular release of beta-cleaved soluble APP, and a corresponding cell-associated C-terminal fragment which is later released by gamma-secretase. It has also been shown that it can cleave APP between residues 671 and 672 (PubMed : 10591213, PubMed : 11083922, PubMed : 11423558, PubMed : 15857888, PubMed : 16816112). Involved in the proteolytic shedding of PMEL at early stages of melanosome biogenesis. Cleaves PMEL within the M-beta fragment to release the amyloidogenic PMEL luminal fragment containing M-alpha and a small portion of M-beta N-terminus. This is a prerequisite step for subsequent processing and assembly of PMEL fibrils into amyloid sheets (PubMed : 23754390). Responsible also for the proteolytic processing of CLTRN in pancreatic beta cells (PubMed : 21907142).
See full target information BACE2

Publications (1)

Recent publications for all applications. Explore the full list and refine your search

Proceedings of the National Academy of Sciences of the United States of America 120:e2309698120 PubMed37844218

2023

Membrane remodeling properties of the Parkinson's disease protein LRRK2.

Applications

Unspecified application

Species

Unspecified reactive species

Xinbo Wang,Javier Espadas,Yumei Wu,Shujun Cai,Jinghua Ge,Lin Shao,Aurélien Roux,Pietro De Camilli
View all publications

Product promise

We are committed to supporting your work with high-quality reagents, and we're here for you every step of the way. In the unlikely event that one of our products does not perform as expected, you're protected by our Product Promise.
For full details, please see our Terms & Conditions

Please note: All products are 'FOR RESEARCH USE ONLY. NOT FOR USE IN DIAGNOSTIC OR THERAPEUTIC PROCEDURES'.

For licensing inquiries, please contact partnerships@abcam.com