JavaScript is disabled in your browser. Please enable JavaScript to view this website.
AB151509

Anti-BACH1/BRIP1 antibody - N-terminal

Be the first to review this product! Submit a review

|

(5 Publications)

Rabbit Polyclonal BACH1/BRIP1 antibody. Suitable for WB, ICC/IF, IHC-P and reacts with Human samples. Cited in 5 publications. Immunogen corresponding to Recombinant Fragment Protein within Human BRIP1 aa 50-300.

View Alternative Names

BACH1, FANCJ, BRIP1, Fanconi anemia group J protein, BRCA1-associated C-terminal helicase 1, BRCA1-interacting protein C-terminal helicase 1, DNA 5'-3' helicase FANCJ, BRCA1-interacting protein 1

4 Images
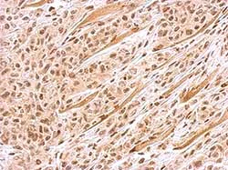
Immunohistochemistry (Formalin/PFA-fixed paraffin-embedded sections) - Anti-BACH1/BRIP1 antibody - N-terminal (AB151509)
  • IHC-P

Unknown

Immunohistochemistry (Formalin/PFA-fixed paraffin-embedded sections) - Anti-BACH1/BRIP1 antibody - N-terminal (AB151509)

Immunohistochemical analysis of paraffin-embedded Human SAS xenograft tissue labeling BACH1/BRIP1 with ab151509 at 1/500 dilution.

Immunocytochemistry/ Immunofluorescence - Anti-BACH1/BRIP1 antibody - N-terminal (AB151509)
  • ICC/IF

Unknown

Immunocytochemistry/ Immunofluorescence - Anti-BACH1/BRIP1 antibody - N-terminal (AB151509)

Immunofluorescent analysis of paraformaldehyde-fixed 293T cells labeling BACH1/BRIP1 with ab151509 at 1/500 dilution. Right image shows cells co-stained with Hoechst 33343.

Western blot - Anti-BACH1/BRIP1 antibody - N-terminal (AB151509)
  • WB

Unknown

Western blot - Anti-BACH1/BRIP1 antibody - N-terminal (AB151509)

5% SDS-PAGE.

All lanes:

Western blot - Anti-BACH1/BRIP1 antibody - N-terminal (ab151509) at 1/1000 dilution

All lanes:

HeLa whole cell lysate at 30 µg

Predicted band size: 141 kDa

false

Western blot - Anti-BACH1/BRIP1 antibody - N-terminal (AB151509)
  • WB

Lab

Western blot - Anti-BACH1/BRIP1 antibody - N-terminal (AB151509)

Western blot : Rabbit Polyclonal to BACH1/BRIP1 ab151509 staining at 1/1000 dilution, shown in green; Mouse anti alpha Tubulin (ab7291) loading control staining at 1/20,000 dilution, shown in magenta.

A band was observed at 151 kDa in Wild-type MCF7 cell lysates with no signal observed at this size in BRIP1 knockout MCF7 cell line.

To generate this image, samples were run on an SDS-PAGE gel then transferred onto a nitrocellulose membrane. Membranes were blocked in 3pc Milk in TBS-0.1 % Tween® 20 (TBS-T) before incubation with primary antibodies overnight at 4 °C. Blots were washed four times in TBS-T, incubated with secondary antibodies for 1 h at room temperature, washed again four times then imaged.

Secondary antibodies used were Goat anti-Rabbit 800CW & Goat anti-Mouse 680RD at 1/20,000 dilution.

All lanes:

Western blot - Anti-BACH1/BRIP1 antibody - N-terminal (ab151509) at 1/1000 dilution

Lane 1:

Wild-type MCF7 at 20 µg

Lane 2:

BRIP1 knockout MCF7 at 20 µg

Lane 2:

Western blot - Human BRIP1 knockout MCF7 cell line (ab286257) at 20 µg

Lane 3:

MOLT-4 at 20 µg

Lane 4:

Jurkat at 20 µg

Lane 5:

Raji at 20 µg

Secondary

All lanes:

Goat anti-Rabbit 800CW & Goat anti-Mouse 680RD at 1/20000 dilution

Predicted band size: 141 kDa

Observed band size: 151 kDa

false

Key facts

Host species

Rabbit

Clonality

Polyclonal

Isotype

IgG

Carrier free

No

Reacts with

Human

Applications

ICC/IF, IHC-P, WB

applications

Immunogen

Recombinant Fragment Protein within Human BRIP1 aa 50-300. The exact immunogen used to generate this antibody is proprietary information.

Q9BX63

Reactivity data

{ "title": "Reactivity Data", "filters": { "stats": ["", "Species", "Dilution Info", "Notes"], "tabs": { "all-applications": {"fullname" : "All Applications", "shortname": "All Applications"}, "WB" : {"fullname" : "Western blot", "shortname":"WB"}, "ICCIF" : {"fullname" : "Immunocytochemistry/ Immunofluorescence", "shortname":"ICC/IF"}, "IHCP" : {"fullname" : "Immunohistochemistry (Formalin/PFA-fixed paraffin-embedded sections)", "shortname":"IHC-P"} }, "product-promise": { "all": "all", "testedAndGuaranteed": "tested", "guaranteed": "expected", "predicted": "predicted", "notRecommended": "not-recommended" } }, "values": { "Human": { "WB-species-checked": "testedAndGuaranteed", "WB-species-dilution-info": "1/500 - 1/3000", "WB-species-notes": "<p></p>", "ICCIF-species-checked": "testedAndGuaranteed", "ICCIF-species-dilution-info": "1/100 - 1/1000", "ICCIF-species-notes": "<p></p>", "IHCP-species-checked": "testedAndGuaranteed", "IHCP-species-dilution-info": "1/100 - 1/1000", "IHCP-species-notes": "<p></p>" } } }

Properties and storage information

Form
Liquid
Purification technique
Affinity purification Immunogen
Storage buffer
pH: 7 Preservative: 0.01% Thimerosal (merthiolate) Constituents: PBS, 20% Glycerol (glycerin, glycerine)
Shipped at conditions
Blue Ice
Appropriate short-term storage conditions
+4°C
Appropriate long-term storage conditions
-20°C
Aliquoting information
Upon delivery aliquot
Storage information
Avoid freeze / thaw cycle

Supplementary information

This supplementary information is collated from multiple sources and compiled automatically.

BACH1 also known as BRIP1 or FANCJ is a DNA helicase with a molecular weight of approximately 130 kDa. This protein plays an important role in unwinding DNA which is essential for replication and repair processes. BACH1 is expressed in the nucleus of cells especially in tissues with high proliferative rates like germ cells and certain stem cells. It possesses a unique ability to interact with other proteins engaging in DNA repair and maintenance activities.
Biological function summary

BACH1 functions as a DNA repair protein integral to maintaining genomic stability. It forms part of the BRCA1 complex facilitating DNA damage repair by interacting with key partners such as BRCA1 and other related proteins. This protein ensures precise repair of double-stranded DNA breaks preventing mutations and maintaining cell viability. Its role makes it indispensable in cell cycle checkpoints and maintenance of chromosome integrity.

Pathways

BACH1 is essential to the DNA damage response and homologous recombination repair pathways. It participates in recruiting other repair proteins like BRCA1 to sites of damage enabling effective repair. BACH1's interactions play an important role in the Fanconi anemia pathway along with proteins like RAD51 contributing to crosslink repair processes. These pathways ensure cells properly react to DNA damage reducing mutagenesis risk.

BACH1 mutations link to breast and ovarian cancers due to its critical role in DNA repair. These mutations often disrupt its interaction with BRCA1 relating BACH1 to hereditary cancer syndromes. In addition deficiencies in its function connect to Fanconi anemia a genetic disorder marked by bone marrow failure and cancer proneness. The protein’s malfunction in these conditions highlights its importance in protecting against genomic instability and disease development.

Product protocols

For this product, it's our understanding that no specific protocols are required. You can visit:

Target data

DNA-dependent ATPase and 5'-3' DNA helicase required for the maintenance of chromosomal stability (PubMed : 11301010, PubMed : 14983014, PubMed : 16116421, PubMed : 16153896, PubMed : 17596542, PubMed : 36608669). Acts late in the Fanconi anemia pathway, after FANCD2 ubiquitination (PubMed : 14983014, PubMed : 16153896). Involved in the repair of DNA double-strand breaks by homologous recombination in a manner that depends on its association with BRCA1 (PubMed : 14983014, PubMed : 16153896). Involved in the repair of abasic sites at replication forks by promoting the degradation of DNA-protein cross-links : acts by catalyzing unfolding of HMCES DNA-protein cross-link via its helicase activity, exposing the underlying DNA and enabling cleavage of the DNA-protein adduct by the SPRTN metalloprotease (PubMed : 16116421, PubMed : 36608669). Can unwind RNA : DNA substrates (PubMed : 14983014). Unwinds G-quadruplex DNA; unwinding requires a 5'-single stranded tail (PubMed : 18426915, PubMed : 20639400).
See full target information BRIP1

Publications (5)

Recent publications for all applications. Explore the full list and refine your search

Biomedical papers of the Medical Faculty of the University Palacky, Olomouc, Czechoslovakia : PubMed40709542

2025

Potential of silymarin and its polyphenols to affect Nrf2 signalling pathway in human skin cells.

Applications

Unspecified application

Species

Unspecified reactive species

Alena Rysava,Katerina Valentova,Katerina Cizkova,Jitka Vostalova,Bohumil Zalesak,Alena Rajnochova Svobodova

The European journal of neuroscience 58:2194-2214 PubMed37161649

2023

BACH1 encourages ferroptosis by activating KDM4C-mediated COX2 demethylation after cerebral ischemia-reperfusion injury.

Applications

Unspecified application

Species

Unspecified reactive species

Tianqi Zhang,Meimei Yang,Chi Ma,Xinya Wei,Zhuobo Zhang

Endocrine connections 7:65-77 PubMed29138235

2017

overexpression is correlated with clinical features and survival outcome of luminal breast cancer subtypes.

Applications

Unspecified application

Species

Unspecified reactive species

Ishita Gupta,Allal Ouhtit,Adil Al-Ajmi,Syed Gauhar A Rizvi,Hamad Al-Riyami,Marwa Al-Riyami,Yahya Tamimi

Nucleic acids research 44:6803-16 PubMed27179029

2016

FANCJ is essential to maintain microsatellite structure genome-wide during replication stress.

Applications

WB

Species

Human

Joanna Barthelemy,Helmut Hanenberg,Michael Leffak

BMC cancer 14:246 PubMed24708616

2014

Gene expression profiling reveals activation of the FA/BRCA pathway in advanced squamous cervical cancer with intrinsic resistance and therapy failure.

Applications

IHC

Species

Unspecified reactive species

Ovidiu Balacescu,Loredana Balacescu,Oana Tudoran,Nicolae Todor,Meda Rus,Rares Buiga,Sergiu Susman,Bogdan Fetica,Laura Pop,Laura Maja,Simona Visan,Claudia Ordeanu,Ioana Berindan-Neagoe,Viorica Nagy
View all publications

Product promise

We are committed to supporting your work with high-quality reagents, and we're here for you every step of the way. In the unlikely event that one of our products does not perform as expected, you're protected by our Product Promise.
For full details, please see our Terms & Conditions

Please note: All products are 'FOR RESEARCH USE ONLY. NOT FOR USE IN DIAGNOSTIC OR THERAPEUTIC PROCEDURES'.

For licensing inquiries, please contact partnerships@abcam.com