JavaScript is disabled in your browser. Please enable JavaScript to view this website.
AB128486

Anti-BACH1.3 antibody [OTI4E11]

Be the first to review this product! Submit a review

|

(4 Publications)

Mouse Monoclonal BACH1.3 antibody. Suitable for WB, IHC-P, Flow Cyt (Intra) and reacts with Human, Transfected cell line samples. Cited in 4 publications. Immunogen corresponding to Recombinant Full Length Protein corresponding to Human Transcription regulator protein BACH1.

View Alternative Names

Transcription regulator protein BACH1, BTB and CNC homolog 1, HA2303, BACH1

4 Images
Flow Cytometry (Intracellular) - Anti-BACH1.3 antibody [OTI4E11] (AB128486)
  • Flow Cyt (Intra)

Unknown

Flow Cytometry (Intracellular) - Anti-BACH1.3 antibody [OTI4E11] (AB128486)

Flow cytometric analysis of HEK-293T (human epithelial cell line from embryonic kidney transformed with large T antigen) cells transfected with either pCMV6-ENTRY BACH1.3 (Red) or empty vector control plasmid (Blue) stained for BACH1.3 using ab128486 at 1/100 dilution.

Immunohistochemistry (Formalin/PFA-fixed paraffin-embedded sections) - Anti-BACH1.3 antibody [OTI4E11] (AB128486)
  • IHC-P

Unknown

Immunohistochemistry (Formalin/PFA-fixed paraffin-embedded sections) - Anti-BACH1.3 antibody [OTI4E11] (AB128486)

Paraffin-embedded human bladder carcinoma tissue stained for BACH1.3 using ab128486 at 1/150 dilution in immunohistochemical analysis.

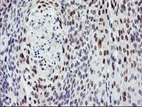
Immunohistochemistry (Formalin/PFA-fixed paraffin-embedded sections) - Anti-BACH1.3 antibody [OTI4E11] (AB128486)
  • IHC-P

Unknown

Immunohistochemistry (Formalin/PFA-fixed paraffin-embedded sections) - Anti-BACH1.3 antibody [OTI4E11] (AB128486)

Paraffin-embedded human tonsil tissue stained for BACH1.3 using ab128486 at 1/150 dilution in immunohistochemical analysis.

Western blot - Anti-BACH1.3 antibody [OTI4E11] (AB128486)
  • WB

Unknown

Western blot - Anti-BACH1.3 antibody [OTI4E11] (AB128486)

All lanes:

Western blot - Anti-BACH1.3 antibody [OTI4E11] (ab128486) at 1/2000 dilution

Lane 1:

HEK-293T (human epithelial cell line from embryonic kidney transformed with large T antigen) cell lysate transfected with pCMV6-ENTRY control cDNA at 5 µg

Lane 2:

HEK-293T cells transfected with pCMV6-ENTRY BACH1.3 cDNA at 5 µg

Predicted band size: 82 kDa

false

Key facts

Host species

Mouse

Clonality

Monoclonal

Clone number

OTI4E11

Isotype

IgG1

Carrier free

No

Reacts with

Human

Applications

IHC-P, Flow Cyt (Intra), WB

applications

Immunogen

Recombinant Full Length Protein corresponding to Human Transcription regulator protein BACH1.

O14867

Reactivity data

{ "title": "Reactivity Data", "filters": { "stats": ["", "Species", "Dilution Info", "Notes"], "tabs": { "all-applications": {"fullname" : "All Applications", "shortname": "All Applications"}, "WB" : {"fullname" : "Western blot", "shortname":"WB"}, "IHCP" : {"fullname" : "Immunohistochemistry (Formalin/PFA-fixed paraffin-embedded sections)", "shortname":"IHC-P"}, "FlowCytIntra" : {"fullname" : "Flow Cytometry (Intracellular)", "shortname":"Flow Cyt (Intra)"} }, "product-promise": { "all": "all", "testedAndGuaranteed": "tested", "guaranteed": "expected", "predicted": "predicted", "notRecommended": "not-recommended" } }, "values": { "Human": { "WB-species-checked": "testedAndGuaranteed", "WB-species-dilution-info": "1/2000", "WB-species-notes": "<p></p>", "IHCP-species-checked": "testedAndGuaranteed", "IHCP-species-dilution-info": "1/150", "IHCP-species-notes": "<p></p>", "FlowCytIntra-species-checked": "guaranteed", "FlowCytIntra-species-dilution-info": "", "FlowCytIntra-species-notes": "" }, "Transfected cell line": { "WB-species-checked": "notRecommended", "WB-species-dilution-info": "", "WB-species-notes": "", "IHCP-species-checked": "notRecommended", "IHCP-species-dilution-info": "", "IHCP-species-notes": "", "FlowCytIntra-species-checked": "testedAndGuaranteed", "FlowCytIntra-species-dilution-info": "1/100", "FlowCytIntra-species-notes": "<p><a href='/en-us/products/primary-antibodies/mouse-igg1-kappa-monoclonal-15-6e10a7-isotype-control-ab170190'>ab170190</a> - Mouse monoclonal IgG1, is suitable for use as an isotype control with this antibody.</p>" } } }

Properties and storage information

Form
Liquid
Purification technique
Affinity purification
Purification notes
Purified from cell culture supernatant by affinity chromatography
Storage buffer
pH: 7.3 Preservative: 0.02% Sodium azide Constituents: PBS, 50% Glycerol (glycerin, glycerine), 1% BSA
Shipped at conditions
Blue Ice
Appropriate short-term storage duration
1-2 weeks
Appropriate short-term storage conditions
+4°C
Appropriate long-term storage conditions
-20°C
Aliquoting information
Upon delivery aliquot
Storage information
Avoid freeze / thaw cycle

Supplementary information

This supplementary information is collated from multiple sources and compiled automatically.

The BACH1.3 gene encodes a transcription regulator protein also known as BTB and CNC homology 1 basic leucine zipper transcription factor 1. The protein weighs approximately 105 kDa and you can find it in various tissues including the liver lungs and kidneys. It binds to the antioxidant response elements (ARE) in DNA regulating the transcription of genes involved in oxidative stress response. BACH1.3 functions by repressing gene activation through heterodimerization with small Maf proteins which helps maintain cellular redox balance.
Biological function summary

BACH1.3 modulates gene expression by forming complexes with small Maf proteins which are necessary for its regulatory activity. This protein plays a role in cellular oxidative stress management and heme metabolism. Through its function in stress response regulation BACH1.3 influences the expression of several genes such as heme oxygenase-1 (HO-1) important for detoxifying reactive oxygen species. By controlling these pathways BACH1.3 supports cell protection and adaptation to environmental oxidative stress.

Pathways

BACH1.3 participates in the oxidative stress response and heme degradation pathways. It partners with the KEAP1-NRF2 pathway where it acts as a negative regulator of NRF2 target genes by competing with NRF2 for binding to ARE sequences. This action impacts the transcription of antioxidant genes. BACH1.3 indirectly affects the expression of proteins like HO-1 and NAD(P)H:quinone oxidoreductase 1 (NQO1) moderating their protective effects in the cell.

Altered BACH1.3 function associates with cancer and cardiovascular diseases. Its involvement in improper oxidative stress response can lead to tumor progression and resistance to therapeutic agents in some cancers. Additionally in cardiovascular diseases BACH1.3 connects to abnormal arterial remodeling due to its regulation of genes involved in oxidative stress. This target interacts with proteins like KEAP1 and NRF2 modifying disease outcomes through changes in redox-sensitive signaling and gene expression.

Product protocols

For this product, it's our understanding that no specific protocols are required. You can visit:

Target data

Transcriptional regulator that acts as a repressor or activator, depending on the context. Binds to NF-E2 DNA binding sites. Plays important roles in coordinating transcription activation and repression by MAFK (By similarity). Together with MAF, represses the transcription of genes under the control of the NFE2L2 oxidative stress pathway (PubMed : 24035498).
See full target information Transcription regulator protein BACH1

Publications (4)

Recent publications for all applications. Explore the full list and refine your search

BMC musculoskeletal disorders 25:665 PubMed39182017

2024

Loss of BACH1 improves osteogenic differentiation in glucocorticoid-induced hBMSCs through restoring autophagy.

Applications

Unspecified application

Species

Unspecified reactive species

ShuYing Xiao,GuoJuan Li,MeiHua Tan,Wen Liu,WenJin Li

The Kaohsiung journal of medical sciences 37:1048-1057 PubMed34390174

2021

Circ_0087862 promotes the progression of colorectal cancer by sponging miR-142-3p and up-regulating BACH1 expression.

Applications

Unspecified application

Species

Unspecified reactive species

Bo Huang,De-Jun Cui,Fang Yan,Liu-Chan Yang,Man-Man Zhang,Xun Zhao

Aging 13:17274-17284 PubMed34191748

2021

Circ_0081001 down-regulates miR-494-3p to enhance BACH1 expression and promotes osteosarcoma progression.

Applications

Unspecified application

Species

Unspecified reactive species

Shizhang Liu,Keke Duan,Xiaoxia Zhang,Xiane Cao,Xixia Wang,Fanbin Meng,Huitong Liu,Bingqiang Xu,Xi Wang

Theranostics 8:3366-3379 PubMed29930735

2018

Functional role of BTB and CNC Homology 1 gene in pancreatic cancer and its association with survival in patients treated with gemcitabine.

Applications

Unspecified application

Species

Unspecified reactive species

Xudong Huang,Jian Zheng,Jun Li,Xu Che,Wenle Tan,Wen Tan,Mingming Shao,Xinxin Cheng,Zhongli Du,Yanjie Zhao,Chengfeng Wang,Chen Wu,Dongxin Lin
View all publications

Product promise

We are committed to supporting your work with high-quality reagents, and we're here for you every step of the way. In the unlikely event that one of our products does not perform as expected, you're protected by our Product Promise.
For full details, please see our Terms & Conditions

Please note: All products are 'FOR RESEARCH USE ONLY. NOT FOR USE IN DIAGNOSTIC OR THERAPEUTIC PROCEDURES'.

For licensing inquiries, please contact partnerships@abcam.com