JavaScript is disabled in your browser. Please enable JavaScript to view this website.
AB320722

Anti-BACH2 antibody [EPR28026-43] - BSA and Azide free

Be the first to review this product! Submit a review

|

(0 Publication)

Rabbit Recombinant Monoclonal BACH2 antibody. Carrier free. Suitable for I-ELISA, Flow Cyt (Intra), WB, IHC-P and reacts with Recombinant fragment - Human, Human, Mouse samples.

View Alternative Names

Transcription regulator protein BACH2, BTB and CNC homolog 2, BACH2

14 Images
Immunohistochemistry (Formalin/PFA-fixed paraffin-embedded sections) - Anti-BACH2 antibody [EPR28026-43] - BSA and Azide free (AB320722)
  • IHC-P

Supplier Data

Immunohistochemistry (Formalin/PFA-fixed paraffin-embedded sections) - Anti-BACH2 antibody [EPR28026-43] - BSA and Azide free (AB320722)

This data was developed using ab320721, the same antibody clone in a different buffer formulation.

Immunohistochemical analysis of paraffin-embedded Human Non-Hodgkin's lymphoma tissue labeling BACH2 with ab320721 at 1/100 (5.08 ug/ml) dilution, followed by a ready to use LeicaDS9800 (Bond™ Polymer Refine Detection).

Positive staining on human Non-Hodgkin's lymphoma. The section was incubated with ab320721 for 30 mins at room temperature.
The immunostaining was performed on a Leica Biosystems BOND® RX instrument

Counterstained with Hematoxylin.

Secondary antibody only control : Secondary antibody is a ready to use LeicaDS9800 (Bond™ Polymer Refine Detection).

Heat mediated antigen retrieval was performed with Tris-EDTA buffer (pH 9.0, Epitope Retrieval Solution2) for 20 mins

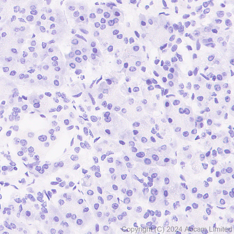
Immunohistochemistry (Formalin/PFA-fixed paraffin-embedded sections) - Anti-BACH2 antibody [EPR28026-43] - BSA and Azide free (AB320722)
  • IHC-P

Supplier Data

Immunohistochemistry (Formalin/PFA-fixed paraffin-embedded sections) - Anti-BACH2 antibody [EPR28026-43] - BSA and Azide free (AB320722)

This data was developed using ab320721, the same antibody clone in a different buffer formulation.

Immunohistochemical analysis of paraffin-embedded Human pancreas tissue labeling BACH2 with ab320721 at 1/100 (5.08 ug/ml) dilution, followed by a ready to use LeicaDS9800 (Bond™ Polymer Refine Detection).

Negative control : no staining on human pancreas. The section was incubated with ab320721 for 30 mins at room temperature.
The immunostaining was performed on a Leica Biosystems BOND® RX instrument

Counterstained with Hematoxylin.

Secondary antibody only control : Secondary antibody is a ready to use LeicaDS9800 (Bond™ Polymer Refine Detection).

Heat mediated antigen retrieval was performed with Tris-EDTA buffer (pH 9.0, Epitope Retrieval Solution2) for 20 mins

Flow Cytometry (Intracellular) - Anti-BACH2 antibody [EPR28026-43] - BSA and Azide free (AB320722)
  • Flow Cyt (Intra)

Supplier Data

Flow Cytometry (Intracellular) - Anti-BACH2 antibody [EPR28026-43] - BSA and Azide free (AB320722)

This data was developed using ab320721, the same antibody clone in a different buffer formulation.

Flow cytometric analysis of 4% paraformaldehyde fixed 90% methanol permeabilized Human PBMC (human peripheral blood mononuclear cell) cells labelling BACH2 with ab320721 at 1/500 dilution (0.1ug) / Right compared with a Rabbit monoclonal IgG (ab172730) / Left isotype control and an unlabelled control (cells without incubation with primary antibody and secondary antibody).

Goat Anti-Rabbit IgG (Alexa Fluor® 488, ab150081) at 1/5000 dilution was used as the secondary antibody.

Gated on viable CD14+ Monocytes.

Flow Cytometry (Intracellular) - Anti-BACH2 antibody [EPR28026-43] - BSA and Azide free (AB320722)
  • Flow Cyt (Intra)

Supplier Data

Flow Cytometry (Intracellular) - Anti-BACH2 antibody [EPR28026-43] - BSA and Azide free (AB320722)

This data was developed using ab320721, the same antibody clone in a different buffer formulation.

Flow cytometric analysis of 4% paraformaldehyde fixed 90% methanol permeabilized NAMALWA (human Burkitt's lymphoma B lymphocyte) (Right) / HL-60 (human acute promyelocytic leukemia promyeloblast) (Left) cells labelling BACH2 with ab320721 at 1/50 dilution (1ug) (Red) compared with a Rabbit monoclonal IgG (ab172730) (Black) isotype control and an unlabelled control (cells without incubation with primary antibody and secondary antibody).

Goat Anti-Rabbit IgG (Alexa Fluor® 488, ab150081) at 1/5000 dilution was used as the secondary antibody.

Negative control : HL-60 (PMID : 10949928).

Immunohistochemistry (Formalin/PFA-fixed paraffin-embedded sections) - Anti-BACH2 antibody [EPR28026-43] - BSA and Azide free (AB320722)
  • IHC-P

Supplier Data

Immunohistochemistry (Formalin/PFA-fixed paraffin-embedded sections) - Anti-BACH2 antibody [EPR28026-43] - BSA and Azide free (AB320722)

This data was developed using ab320721, the same antibody clone in a different buffer formulation.

Immunohistochemical analysis of paraffin-embedded Human tonsil tissue labeling BACH2 with ab320721 at 1/100 (5.08 ug/ml) dilution, followed by a ready to use LeicaDS9800 (Bond™ Polymer Refine Detection).

Positive staining on B cells of human tonsil (PMID : 14982850; PMID : 24277074). The section was incubated with ab320721 for 30 mins at room temperature.
The immunostaining was performed on a Leica Biosystems BOND® RX instrument

Counterstained with Hematoxylin.

Secondary antibody only control : Secondary antibody is a ready to use LeicaDS9800 (Bond™ Polymer Refine Detection).

Heat mediated antigen retrieval was performed with Tris-EDTA buffer (pH 9.0, Epitope Retrieval Solution2) for 20 mins

Flow Cytometry (Intracellular) - Anti-BACH2 antibody [EPR28026-43] - BSA and Azide free (AB320722)
  • Flow Cyt (Intra)

Supplier Data

Flow Cytometry (Intracellular) - Anti-BACH2 antibody [EPR28026-43] - BSA and Azide free (AB320722)

This data was developed using ab320721, the same antibody clone in a different buffer formulation.

Flow cytometric analysis of 4% paraformaldehyde fixed 90% methanol permeabilized Ramos (human Burkitt's lymphoma B lymphocyte) (Right) / THP-1 (human monocytic leukemia monocyte) (Left) cells labelling BACH2 with ab320721 at 1/50 dilution (1ug) (Red) compared with a Rabbit monoclonal IgG (ab172730) (Black) isotype control and an unlabelled control (cells without incubation with primary antibody and secondary antibody).

Goat Anti-Rabbit IgG (Alexa Fluor® 488, ab150081) at 1/5000 dilution was used as the secondary antibody.

Negative control : THP-1 (PMID : 10949928).

Flow Cytometry (Intracellular) - Anti-BACH2 antibody [EPR28026-43] - BSA and Azide free (AB320722)
  • Flow Cyt (Intra)

Supplier Data

Flow Cytometry (Intracellular) - Anti-BACH2 antibody [EPR28026-43] - BSA and Azide free (AB320722)

This data was developed using ab320721, the same antibody clone in a different buffer formulation.

Flow cytometric analysis of 4% paraformaldehyde fixed 90% methanol permeabilized Human PBMC (human peripheral blood mononuclear cell) cells labelling BACH2 with ab320721 at 1/500 dilution (0.1ug) / Right compared with a Rabbit monoclonal IgG (ab172730) / Left isotype control and an unlabelled control (cells without incubation with primary antibody and secondary antibody).

Goat Anti-Rabbit IgG (Alexa Fluor® 488, ab150081) at 1/5000 dilution was used as the secondary antibody.

Gated on viable CD19+ Lymphocytes.

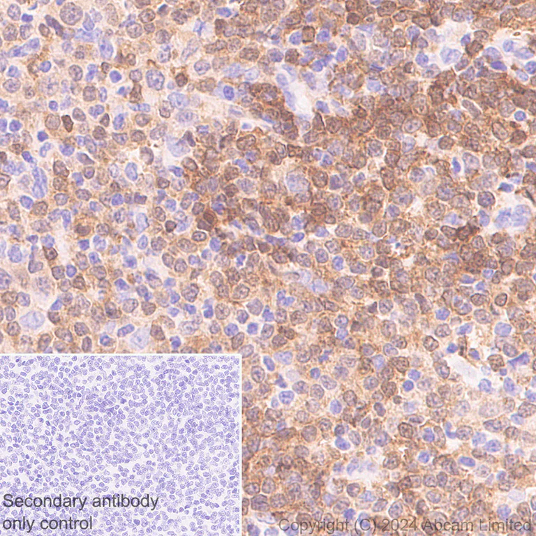
Immunohistochemistry (Formalin/PFA-fixed paraffin-embedded sections) - Anti-BACH2 antibody [EPR28026-43] - BSA and Azide free (AB320722)
  • IHC-P

Supplier Data

Immunohistochemistry (Formalin/PFA-fixed paraffin-embedded sections) - Anti-BACH2 antibody [EPR28026-43] - BSA and Azide free (AB320722)

This data was developed using ab320721, the same antibody clone in a different buffer formulation.

Immunohistochemical analysis of paraffin-embedded (A) Ramos (human Burkitt's lymphoma B lymphocyte) cell pellet. (B) THP-1 (human monocytic leukemia monocyte) cell pellet. tissue labeling BACH2 with ab320721 at 1/2000 (0.254 ug/ml) dilution, followed by a ready to use LeicaDS9800 (Bond™ Polymer Refine Detection).

Positive staining on (A) Ramos (human Burkitt's lymphoma B lymphocyte) cell pellet, negative staining on (B) THP-1 (human monocytic leukemia monocyte) cell pellet. The section was incubated with ab320721 for 30 mins at room temperature.
The immunostaining was performed on a Leica Biosystems BOND® RX instrument

Counterstained with Hematoxylin.

Secondary antibody only control : Secondary antibody is a ready to use LeicaDS9800 (Bond™ Polymer Refine Detection).

Heat mediated antigen retrieval was performed with Tris-EDTA buffer (pH 9.0, Epitope Retrieval Solution2) for 20 mins

Indirect ELISA - Anti-BACH2 antibody [EPR28026-43] - BSA and Azide free (AB320722)
  • I-ELISA

Supplier Data

Indirect ELISA - Anti-BACH2 antibody [EPR28026-43] - BSA and Azide free (AB320722)

This data was developed using ab320721, the same antibody clone in a different buffer formulation.

Indirect ELISA analysis of ab320721 at 1000-0 ng/ml. The Secondary antibody used was Alkaline Phosphatase-conjugated AffiniPure Goat Anti-Rabbit IgG (H+L) at 1 : 2500 dilution.

Antigen : Human BACH2,Human BACH1.

Antigen concentration : 1000 ng/ml

Flow Cytometry (Intracellular) - Anti-BACH2 antibody [EPR28026-43] - BSA and Azide free (AB320722)
  • Flow Cyt (Intra)

Supplier Data

Flow Cytometry (Intracellular) - Anti-BACH2 antibody [EPR28026-43] - BSA and Azide free (AB320722)

This data was developed using ab320721, the same antibody clone in a different buffer formulation.

Flow cytometric analysis of 4% paraformaldehyde fixed 90% methanol permeabilized Mouse PBMC cells labelling BACH2 with ab320721 at 1/500 dilution (0.1ug) / Right compared with a Rabbit monoclonal IgG (ab172730) / Left isotype control and an unlabelled control (cells without incubation with primary antibody and secondary antibody).

Goat Anti-Rabbit IgG (Alexa Fluor® 488, ab150081) at 1/5000 dilution was used as the secondary antibody.

Gated on viable CD19+ Lymphocytes

Flow Cytometry (Intracellular) - Anti-BACH2 antibody [EPR28026-43] - BSA and Azide free (AB320722)
  • Flow Cyt (Intra)

Supplier Data

Flow Cytometry (Intracellular) - Anti-BACH2 antibody [EPR28026-43] - BSA and Azide free (AB320722)

This data was developed using ab320721, the same antibody clone in a different buffer formulation.

Flow cytometric analysis of 4% paraformaldehyde fixed 90% methanol permeabilized Mouse PBMC cells labelling BACH2 with ab320721 at 1/500 dilution (0.1ug) / Right compared with a Rabbit monoclonal IgG (ab172730) / Left isotype control and an unlabelled control (cells without incubation with primary antibody and secondary antibody). Goat Anti-Rabbit IgG (Alexa Fluor® 488, ab150081) at 1/5000 dilution was used as the secondary antibody. Gated on viable CD14+ Monocytes.

Flow Cytometry (Intracellular) - Anti-BACH2 antibody [EPR28026-43] - BSA and Azide free (AB320722)
  • Flow Cyt (Intra)

Supplier Data

Flow Cytometry (Intracellular) - Anti-BACH2 antibody [EPR28026-43] - BSA and Azide free (AB320722)

This data was developed using ab320721, the same antibody clone in a different buffer formulation.

Flow cytometric analysis of 4% paraformaldehyde fixed 90% methanol permeabilized WEHI-231 (mouse B cell lymphoma B lymphocyte) (Right) / J774A.1 (mouse reticulum cell sarcoma monocyte/macrophage) (Left) cells labelling BACH2 with ab320721 at 1/50 dilution (1ug) (Red) compared with a Rabbit monoclonal IgG (ab172730) (Black) isotype control and an unlabelled control (cells without incubation with primary antibody and secondary antibody).

Goat Anti-Rabbit IgG (Alexa Fluor® 488, ab150081) at 1/5000 dilution was used as the secondary antibody.

Low expression : J774A.1.

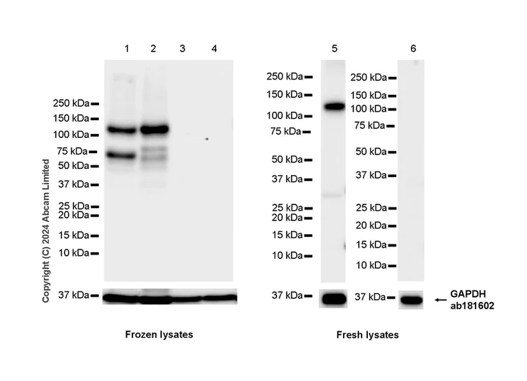
Western blot - Anti-BACH2 antibody [EPR28026-43] - BSA and Azide free (AB320722)
  • WB

Supplier Data

Western blot - Anti-BACH2 antibody [EPR28026-43] - BSA and Azide free (AB320722)

This data was developed using ab320721, the same antibody clone in a different buffer formulation.

Blocking and diluting buffer and concentration : 5% NFDM/TBST.

Negative control : THP-1, HL-60 (PMID : 10949928).

To minimize protein degradation, cells were lysed immediately after harvest and then applied to a gel and transfer membrane for Western blotting as soon as possible in lanes 5-6.

The bands (in lanes 1-2) beneath the target band are likely to be degraded target fragments.

In Western blot, Anti-GAPDH antibody [EPR16891] - Loading Control (ab181602) staining at 1/200000 dilution.

Exposure time : Lanes 1-4 : 15 seconds, Lanes 5-6 : 26 seconds

All lanes:

Western blot - Anti-BACH2 antibody [EPR28026-43] (<a href='/en-us/products/primary-antibodies/bach2-antibody-epr28026-43-ab320721'>ab320721</a>) at 1/1000 dilution

Lane 1:

Ramos (human Burkitts lymphoma B lymphocyte) whole cell lysate at 20 µg

Lanes 2 and 5:

NAMALWA (human Burkitts lymphoma B lymphocyte) whole cell lysate at 20 µg

Lanes 3 and 6:

THP-1 (human monocytic leukemia monocyte) whole cell lysate at 20 µg

Lane 4:

HL-60 (human acute promyelocytic leukemia promyeloblast) whole cell lysate at 20 µg

Secondary

All lanes:

Goat Anti-Rabbit IgG (HRP) with minimal cross-reactivity with human IgG at 1/2000 dilution

Observed band size: 60 kDa,120 kDa,36 kDa

false

Western blot - Anti-BACH2 antibody [EPR28026-43] - BSA and Azide free (AB320722)
  • WB

Supplier Data

Western blot - Anti-BACH2 antibody [EPR28026-43] - BSA and Azide free (AB320722)

This data was developed using ab320721, the same antibody clone in a different buffer formulation.

Blocking and diluting buffer and concentration : 5% NFDM/TBST.

Low expression : J774A.1.

The bands beneath the target band are likely to be degraded target fragments.

In Western blot, Anti-GAPDH antibody [EPR16891] - Loading Control (ab181602) staining at 1/200000 dilution.

All lanes:

Western blot - Anti-BACH2 antibody [EPR28026-43] (<a href='/en-us/products/primary-antibodies/bach2-antibody-epr28026-43-ab320721'>ab320721</a>) at 1/1000 dilution

Lane 1:

WEHI-231 (mouse B cell lymphoma B lymphocyte ) whole cell lysate at 20 µg

Lane 2:

J774A.1 (mouse reticulum cell sarcoma monocyte/macrophage) whole cell lysate at 20 µg

Secondary

All lanes:

Goat Anti-Rabbit IgG (HRP) with minimal cross-reactivity with human IgG at 1/2000 dilution

Observed band size: 60 kDa,120 kDa,36 kDa

false

Exposure time: 81s

Key facts

Host species

Rabbit

Clonality

Monoclonal

Clone number

EPR28026-43

Isotype

IgG

Carrier free

Yes

Reacts with

Human, Mouse

Applications

WB, IHC-P, Flow Cyt (Intra), I-ELISA

applications

Immunogen

The exact immunogen used to generate this antibody is proprietary information.

Specificity

Not suitable for mouse IHC-P.

Reactivity data

{ "title": "Reactivity Data", "filters": { "stats": ["", "Species", "Dilution Info", "Notes"], "tabs": { "all-applications": {"fullname" : "All Applications", "shortname": "All Applications"}, "IELISA" : {"fullname" : "Indirect ELISA", "shortname":"I-ELISA"}, "FlowCytIntra" : {"fullname" : "Flow Cytometry (Intracellular)", "shortname":"Flow Cyt (Intra)"}, "WB" : {"fullname" : "Western blot", "shortname":"WB"}, "IHCP" : {"fullname" : "Immunohistochemistry (Formalin/PFA-fixed paraffin-embedded sections)", "shortname":"IHC-P"}, "ICCIF" : {"fullname" : "Immunocytochemistry/ Immunofluorescence", "shortname":"ICC/IF"} }, "product-promise": { "all": "all", "testedAndGuaranteed": "tested", "guaranteed": "expected", "predicted": "predicted", "notRecommended": "not-recommended" } }, "values": { "Human": { "IELISA-species-checked": "guaranteed", "IELISA-species-dilution-info": "", "IELISA-species-notes": "", "FlowCytIntra-species-checked": "testedAndGuaranteed", "FlowCytIntra-species-dilution-info": "", "FlowCytIntra-species-notes": "<p></p>", "WB-species-checked": "testedAndGuaranteed", "WB-species-dilution-info": "", "WB-species-notes": "<p></p>", "IHCP-species-checked": "testedAndGuaranteed", "IHCP-species-dilution-info": "", "IHCP-species-notes": "<p></p> Perform heat-mediated antigen retrieval with Tris/EDTA buffer pH 9.0 before commencing with IHC staining protocol.", "ICCIF-species-checked": "notRecommended", "ICCIF-species-dilution-info": "", "ICCIF-species-notes": "<p></p>" }, "Mouse": { "IELISA-species-checked": "guaranteed", "IELISA-species-dilution-info": "", "IELISA-species-notes": "", "FlowCytIntra-species-checked": "testedAndGuaranteed", "FlowCytIntra-species-dilution-info": "", "FlowCytIntra-species-notes": "<p></p>", "WB-species-checked": "testedAndGuaranteed", "WB-species-dilution-info": "", "WB-species-notes": "<p></p>", "IHCP-species-checked": "notRecommended", "IHCP-species-dilution-info": "", "IHCP-species-notes": "<p></p>", "ICCIF-species-checked": "notRecommended", "ICCIF-species-dilution-info": "", "ICCIF-species-notes": "<p></p>" }, "Recombinant fragment - Human": { "IELISA-species-checked": "testedAndGuaranteed", "IELISA-species-dilution-info": "", "IELISA-species-notes": "<p></p>", "FlowCytIntra-species-checked": "notRecommended", "FlowCytIntra-species-dilution-info": "", "FlowCytIntra-species-notes": "", "WB-species-checked": "notRecommended", "WB-species-dilution-info": "", "WB-species-notes": "", "IHCP-species-checked": "notRecommended", "IHCP-species-dilution-info": "", "IHCP-species-notes": "", "ICCIF-species-checked": "notRecommended", "ICCIF-species-dilution-info": "", "ICCIF-species-notes": "" } } }

Product details

ab320722 is the carrier-free version of ab320721.

Patented technology
Our RabMAb® technology is a patented hybridoma-based technology for making rabbit monoclonal antibodies. For details on our patents, please refer to RabMAb® patents.

What are the advantages of a recombinant monoclonal antibody?
This product is a recombinant monoclonal antibody, which offers several advantages including:

  • - High batch-to-batch consistency and reproducibility
  • - Improved sensitivity and specificity
  • - Long-term security of supply
  • - Animal-free batch production

For more information, read more on recombinant antibodies.

Conjugation ready
Our carrier-free antibodies are typically supplied in a PBS-only formulation, purified and free of BSA, sodium azide and glycerol. This conjugation-ready format is designed for use with fluorochromes, metal isotopes, oligonucleotides, and enzymes, which makes them ideal for antibody labelling, functional and cell-based assays, flow-based assays (e.g. mass cytometry) and Multiplex Imaging applications.

Use our conjugation kits for antibody conjugates that are ready-to-use in as little as 20 minutes with 1 minute hands-on-time and 100% antibody recovery: available for fluorescent dyes, HRP, biotin and gold.

Compatibility
This product is compatible with the Maxpar® Antibody Labeling Kit from Fluidigm, without the need for antibody preparation. Maxpar® is a trademark of Fluidigm Canada Inc.

Properties and storage information

Form
Liquid
Purification technique
Affinity purification Protein A
Storage buffer
pH: 7.2 - 7.4 Constituents: PBS
Shipped at conditions
Blue Ice
Appropriate short-term storage conditions
+4°C
Appropriate long-term storage conditions
+4°C

Supplementary information

This supplementary information is collated from multiple sources and compiled automatically.

BACH2 also known as BTB and CNC homology 2 is a transcription factor with a molecular mass of around 95 kDa. It regulates the expression of certain genes by binding to specific DNA sequences. BACH2 maintains a zinc-finger domain and a BTB domain which are important for its binding and transcriptional repressor functions. The target expresses predominantly in immune cells especially in B cells and T cells playing a critical role in immune system regulation. It is also found in other tissues but its levels are comparatively higher in lymphoid organs.
Biological function summary

BACH2 plays an important role in the regulation of immune responses. It functions as a homodimer or forms heterodimers with other proteins such as BACH1 allowing it to modulate gene expression effectively. BACH2 regulates the balance between immune tolerance and activation by controlling the production of cytokines and the differentiation of T cells. This regulation is important for preventing autoimmune responses while enabling proper immune responses against infections.

Pathways

BACH2 participates actively in the oxidative stress response and pathways of lymphocyte development. In the oxidative stress pathway it interacts with proteins like KEAP1 and NRF2 to regulate antioxidant gene expression. In lymphocyte development it influences the recombination of immunoglobulin genes and supports the maturation of B cells into plasma cells. By doing so BACH2 ensures the proper functioning of the immune system working in conjunction with various transcriptional regulatory networks.

BACH2 has associations with several immune-related conditions. It is implicated in autoimmune diseases such as type 1 diabetes where improper regulation may lead to immune system attacks on healthy cells. Additionally changes in BACH2 expression levels have been linked to lymphoma a type of blood cancer involving the lymphatic system. BACH2 works closely with proteins like BCL6 and PRDM1 in these contexts influencing cell proliferation and survival pathways which can impact both tumor development and autoimmune pathology.

Product protocols

For this product, it's our understanding that no specific protocols are required. You can visit:

Target data

Transcriptional regulator that acts as a repressor or activator (By similarity). Binds to Maf recognition elements (MARE) (By similarity). Plays an important role in coordinating transcription activation and repression by MAFK (By similarity). Induces apoptosis in response to oxidative stress through repression of the antiapoptotic factor HMOX1 (PubMed : 17018862). Positively regulates the nuclear import of actin (By similarity). Is a key regulator of adaptive immunity, crucial for the maintenance of regulatory T-cell function and B-cell maturation (PubMed : 28530713).
See full target information BACH2

Product promise

We are committed to supporting your work with high-quality reagents, and we're here for you every step of the way. In the unlikely event that one of our products does not perform as expected, you're protected by our Product Promise.
For full details, please see our Terms & Conditions

Please note: All products are 'FOR RESEARCH USE ONLY. NOT FOR USE IN DIAGNOSTIC OR THERAPEUTIC PROCEDURES'.

For licensing inquiries, please contact partnerships@abcam.com