JavaScript is disabled in your browser. Please enable JavaScript to view this website.
AB220116

Anti-Bad antibody [Y208] - BSA and Azide free

  • BOND RX™ Validated
  • RabMAb
  • Recombinant
  • KO Validated
  • What is this?

Be the first to review this product! Submit a review

|

(18 Publications)

Rabbit Recombinant Monoclonal BAD antibody. Carrier free. Suitable for IHC-P, ICC/IF, Flow Cyt (Intra), WB and reacts with Human, Mouse, Rat samples. Cited in 18 publications.

View Alternative Names

BBC6, BCL2L8, BAD, Bcl2-associated agonist of cell death, Bcl-2-binding component 6, Bcl-2-like protein 8, Bcl-xL/Bcl-2-associated death promoter, Bcl2 antagonist of cell death, Bcl2-L-8

9 Images
Immunohistochemistry (Formalin/PFA-fixed paraffin-embedded sections) - Anti-Bad antibody [Y208] - BSA and Azide free (AB220116)
  • IHC-P

Lab

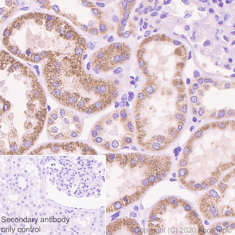
Immunohistochemistry (Formalin/PFA-fixed paraffin-embedded sections) - Anti-Bad antibody [Y208] - BSA and Azide free (AB220116)

This data was developed using ab32445, the same antibody clone in a different buffer formulation.

Immunohistochemistry (Formalin/PFA-fixed paraffin-embedded sections) analysis of human kidney tissue sections labeling Bad with purified ab32445 at 1/1000 dilution (0.14 μg/mL). Heat mediated antigen retrieval was performed using Perform heat mediated antigen retrieval using ab93684 (Tris/EDTA buffer, pH 9.0). Tissue was counterstained with Hematoxylin. Rabbit specific IHC polymer detection kit HRP/DAB (ab209101) secondary antibody was used at 1/0 dilution. PBS instead of the primary antibody was used as the negative control.
The immunostaining was performed on a Leica Biosystems BOND® RX instrument.

Western blot - Anti-Bad antibody [Y208] - BSA and Azide free (AB220116)
  • WB

Unknown

Western blot - Anti-Bad antibody [Y208] - BSA and Azide free (AB220116)

All lanes:

Western blot - Anti-Bad antibody [Y208] (<a href='/en-us/products/primary-antibodies/bad-antibody-y208-ab32445'>ab32445</a>) at 1/2000 dilution

Lane 1:

HeLa (Human cervix adenocarcinoma epithelial cell) whole cell lysate at 15 µg

Lane 2:

HepG2 (Human hepatocellular carcinoma epithelial cell) whole cell lysate at 15 µg

Secondary

All lanes:

Western blot - Goat Anti-Rabbit IgG H&L (HRP) (<a href='/en-us/products/secondary-antibodies/goat-rabbit-igg-h-l-hrp-ab97051'>ab97051</a>) at 1/20000 dilution

Predicted band size: 18 kDa

false

Western blot - Anti-Bad antibody [Y208] - BSA and Azide free (AB220116)
  • WB

Lab

Western blot - Anti-Bad antibody [Y208] - BSA and Azide free (AB220116)

This data was developed using the same antibody clone in a different buffer formulation (ab32445).

Lanes 1- 2 : Merged signal (red and green). Green - ab32445 observed at 23 kDa. Red - Anti-GAPDH antibody [6C5] - Loading Control (ab8245) observed at 37 kDa.

ab32445 was shown to react with Bad in wild-type HeLa cells in western blot. Loss of signal was observed when knockout cell line ab264843 (knockout cell lysate ab256847) was used. Wild-type HeLa and BAD knockout HeLa cell lysates were subjected to SDS-PAGE. Membrane was blocked for 1 hour at room temperature in 0.1% TBST with 3% non-fat dried milk. ab32445 and Anti-GAPDH antibody [6C5] - Loading Control (ab8245) overnight at 4°C at a 1 in 2000 dilution and a 1 in 20000 dilution respectively. Blots were developed with Goat anti-Rabbit IgG H&L (IRDye®800CW) preadsorbed (ab216773) and Goat anti-Mouse IgG H&L (IRDye®680RD) preadsorbed (ab216776) secondary antibodies at 1 in 20000 dilution for 1 hour at room temperature before imaging.

All lanes:

Western blot - Anti-Bad antibody [Y208] (<a href='/en-us/products/primary-antibodies/bad-antibody-y208-ab32445'>ab32445</a>) at 1/2000 dilution

Lane 1:

Wild-type HeLa cell lysate at 20 µg

Lane 2:

BAD knockout HeLa cell lysate at 20 µg

Predicted band size: 18 kDa

Observed band size: 23 kDa

false

Immunocytochemistry/ Immunofluorescence - Anti-Bad antibody [Y208] - BSA and Azide free (AB220116)
  • ICC/IF

Supplier Data

Immunocytochemistry/ Immunofluorescence - Anti-Bad antibody [Y208] - BSA and Azide free (AB220116)

This data was developed using ab32445, the same antibody clone in a different buffer formulation.
Immunocytochemistry analysis of HeLa (Human cervix adenocarcinoma epithelial cell) cells labeling Bad with purified ab32445 at 1/50 dilution (2.9 μg/ml). Cells were fixed in 4% Paraformaldehyde and permeabilized with 0.1% tritonX-100. Cells were counterstained with ab195889 Anti-alpha Tubulin antibody [DM1A] - Microtubule Marker (Alexa Fluor® 594) 1 : 200 (2.5 μg/ml). Goat anti rabbit IgG (Alexa Fluor® 488 ,ab150077) was used as the secondary antibody at 1/1000 (2 μg/ml) dilution. DAPI (blue) was used as nuclear counterstain. PBS instead of the primary antibody was used as the secondary antibody only control.

Flow Cytometry (Intracellular) - Anti-Bad antibody [Y208] - BSA and Azide free (AB220116)
  • Flow Cyt (Intra)

Lab

Flow Cytometry (Intracellular) - Anti-Bad antibody [Y208] - BSA and Azide free (AB220116)

This data was developed using ab32445, the same antibody clone in a different buffer formulation. Intracellular Flow Cytometry analysis of MCF7 (Human breast adenocarcinoma epithelial cell) cells labelling Bad with purified ab32445 at 1/20 dilution (10 μg/mL) (Red). Cells were fixed with 4% Paraformaldehyde and permeabilised with 90% Methanol. A Goat anti rabbit IgG (Alexa Fluor® 488, ab150077) secondary antibody was used at 1/2000. Isotype control - Rabbit monoclonal IgG (Black). Unlabelled control - Cell without incubation with primary antibody and secondary antibody (Blue).

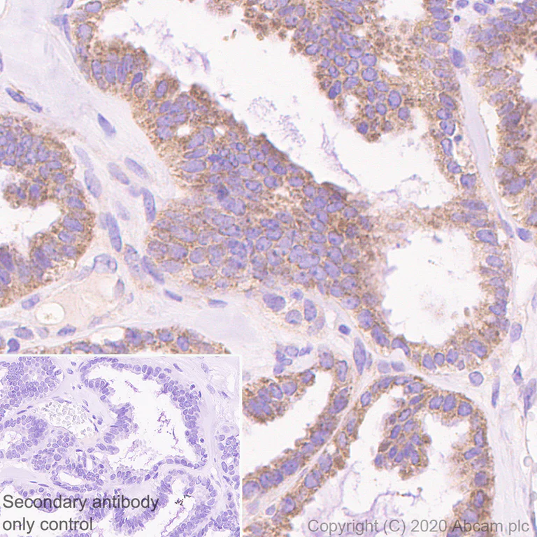
Immunohistochemistry (Formalin/PFA-fixed paraffin-embedded sections) - Anti-Bad antibody [Y208] - BSA and Azide free (AB220116)
  • IHC-P

Lab

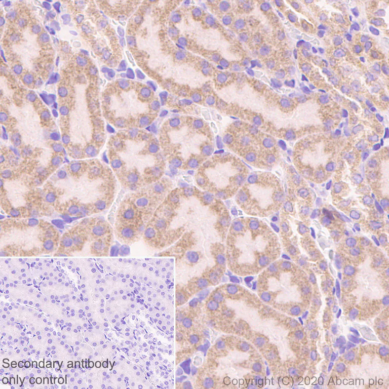
Immunohistochemistry (Formalin/PFA-fixed paraffin-embedded sections) - Anti-Bad antibody [Y208] - BSA and Azide free (AB220116)

This data was developed using ab32445, the same antibody clone in a different buffer formulation.

Immunohistochemistry (Formalin/PFA-fixed paraffin-embedded sections) analysis of rat kidney tissue sections labeling Bad with purified ab32445 at 1/1000 dilution (0.14 μg/mL). Heat mediated antigen retrieval was performed using Perform heat mediated antigen retrieval using ab93684 (Tris/EDTA buffer, pH 9.0). Tissue was counterstained with Hematoxylin. Rabbit specific IHC polymer detection kit HRP/DAB (ab209101) secondary antibody was used at 1/0 dilution. PBS instead of the primary antibody was used as the negative control.
The immunostaining was performed on a Leica Biosystems BOND® RX instrument.

Immunohistochemistry (Formalin/PFA-fixed paraffin-embedded sections) - Anti-Bad antibody [Y208] - BSA and Azide free (AB220116)
  • IHC-P

Lab

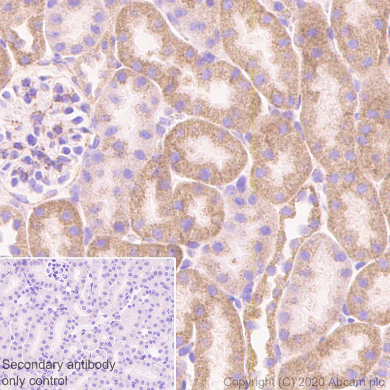
Immunohistochemistry (Formalin/PFA-fixed paraffin-embedded sections) - Anti-Bad antibody [Y208] - BSA and Azide free (AB220116)

This data was developed using ab32445, the same antibody clone in a different buffer formulation.

Immunohistochemistry (Formalin/PFA-fixed paraffin-embedded sections) analysis of mouse kidney tissue sections labeling Bad with purified ab32445 at 1/1000 dilution (0.14 μg/mL). Heat mediated antigen retrieval was performed using Perform heat mediated antigen retrieval using ab93684 (Tris/EDTA buffer, pH 9.0). Tissue was counterstained with Hematoxylin. Rabbit specific IHC polymer detection kit HRP/DAB (ab209101) secondary antibody was used at 1/0 dilution. PBS instead of the primary antibody was used as the negative control.
The immunostaining was performed on a Leica Biosystems BOND® RX instrument.

Immunohistochemistry (Formalin/PFA-fixed paraffin-embedded sections) - Anti-Bad antibody [Y208] - BSA and Azide free (AB220116)
  • IHC-P

Lab

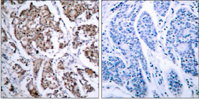
Immunohistochemistry (Formalin/PFA-fixed paraffin-embedded sections) - Anti-Bad antibody [Y208] - BSA and Azide free (AB220116)

This data was developed using ab32445, the same antibody clone in a different buffer formulation.

Immunohistochemistry (Formalin/PFA-fixed paraffin-embedded sections) analysis of human ovarian cancer tissue sections labeling Bad with purified ab32445 at 1/1000 dilution (0.14 μg/mL). Heat mediated antigen retrieval was performed using Perform heat mediated antigen retrieval using ab93684 (Tris/EDTA buffer, pH 9.0). Tissue was counterstained with Hematoxylin. Rabbit specific IHC polymer detection kit HRP/DAB (ab209101) secondary antibody was used at 1/0 dilution. PBS instead of the primary antibody was used as the negative control.
The immunostaining was performed on a Leica Biosystems BOND® RX instrument.

Western blot - Anti-Bad antibody [Y208] - BSA and Azide free (AB220116)
  • WB

Lab

Western blot - Anti-Bad antibody [Y208] - BSA and Azide free (AB220116)

This data was developed using the same antibody clone in a different buffer formulation (ab32445).

Lanes 1 - 4 : Merged signal (red and green). Green - ab32445 observed at 23 kDa. Red - loading control, ab9484, observed at 37 kDa.

ab32445 was shown to specifically recognise BAD in wild-type HAP1 cells along with additional cross reactive bands. No band was observed when BAD knockout cells were examined. Wild-type and BAD knockout samples were subjected to SDS-PAGE. ab32445 and ab9484 (Mouse anti-GAPDH loading control) were incubated overnight at 4°C at 1/2000 dilution and 1/20,000 dilution respectively. Blots were developed with Goat anti-Rabbit IgG H&L (IRDye® 800CW) preabsorbed ab216773 and Goat anti-Mouse IgG H&L (IRDye® 680RD) preabsorbed ab216776 secondary antibodies at 1/20,000 dilution for 1 hour at room temperature before imaging.

All lanes:

Western blot - Anti-Bad antibody [Y208] - BSA and Azide free (ab220116) at 1/2000 dilution

Lane 1:

Wild-type HAP1 whole cell lysate at 20 µg

Lane 2:

BAD knockout HAP1 whole cell lysate at 20 µg

Lane 3:

HeLa whole cell lysate at 20 µg

Lane 4:

MCF7 whole cell lysate at 20 µg

Predicted band size: 18 kDa

false

Key facts

Host species

Rabbit

Clonality

Monoclonal

Clone number

Y208

Isotype

IgG

Carrier free

Yes

Reacts with

Mouse, Rat, Human

Applications

IHC-P, Flow Cyt (Intra), ICC/IF, WB

applications

Immunogen

The exact immunogen used to generate this antibody is proprietary information.

Specificity

This antibody does not cross-react with other Bcl-2 members.
The mouse and rat recommendation is based on the IHC-P results. We do not guarantee WB for mouse and rat.

Reactivity data

{ "title": "Reactivity Data", "filters": { "stats": ["", "Species", "Dilution Info", "Notes"], "tabs": { "all-applications": {"fullname" : "All Applications", "shortname": "All Applications"}, "IHCP" : {"fullname" : "Immunohistochemistry (Formalin/PFA-fixed paraffin-embedded sections)", "shortname":"IHC-P"}, "ICCIF" : {"fullname" : "Immunocytochemistry/ Immunofluorescence", "shortname":"ICC/IF"}, "FlowCytIntra" : {"fullname" : "Flow Cytometry (Intracellular)", "shortname":"Flow Cyt (Intra)"}, "WB" : {"fullname" : "Western blot", "shortname":"WB"} }, "product-promise": { "all": "all", "testedAndGuaranteed": "tested", "guaranteed": "expected", "predicted": "predicted", "notRecommended": "not-recommended" } }, "values": { "Human": { "IHCP-species-checked": "testedAndGuaranteed", "IHCP-species-dilution-info": "", "IHCP-species-notes": "<p>The mouse and rat recommendation is based on the IHC-P results. We do not guarantee WB for mouse and rat.\" in the \"Specificity\" section and \"WB Application</p> Perform heat-mediated antigen retrieval with citrate buffer pH 6 before commencing with IHC staining protocol.", "ICCIF-species-checked": "testedAndGuaranteed", "ICCIF-species-dilution-info": "", "ICCIF-species-notes": "<p></p>", "FlowCytIntra-species-checked": "testedAndGuaranteed", "FlowCytIntra-species-dilution-info": "", "FlowCytIntra-species-notes": "<p><a href='/en-us/products/primary-antibodies/rabbit-igg-monoclonal-epr25a-isotype-control-low-endotoxin-azide-free-ab199376'>ab199376</a> - Rabbit monoclonal IgG, is suitable for use as an isotype control with this antibody.</p>", "WB-species-checked": "testedAndGuaranteed", "WB-species-dilution-info": "", "WB-species-notes": "<p></p>" }, "Mouse": { "IHCP-species-checked": "testedAndGuaranteed", "IHCP-species-dilution-info": "", "IHCP-species-notes": "<p>The mouse and rat recommendation is based on the IHC-P results. We do not guarantee WB for mouse and rat.\" in the \"Specificity\" section and \"WB Application</p> Perform heat-mediated antigen retrieval with citrate buffer pH 6 before commencing with IHC staining protocol.", "ICCIF-species-checked": "guaranteed", "ICCIF-species-dilution-info": "", "ICCIF-species-notes": "", "FlowCytIntra-species-checked": "guaranteed", "FlowCytIntra-species-dilution-info": "", "FlowCytIntra-species-notes": "", "WB-species-checked": "guaranteed", "WB-species-dilution-info": "", "WB-species-notes": "" }, "Rat": { "IHCP-species-checked": "testedAndGuaranteed", "IHCP-species-dilution-info": "", "IHCP-species-notes": "<p>The mouse and rat recommendation is based on the IHC-P results. We do not guarantee WB for mouse and rat.\" in the \"Specificity\" section and \"WB Application</p> Perform heat-mediated antigen retrieval with citrate buffer pH 6 before commencing with IHC staining protocol.", "ICCIF-species-checked": "guaranteed", "ICCIF-species-dilution-info": "", "ICCIF-species-notes": "", "FlowCytIntra-species-checked": "guaranteed", "FlowCytIntra-species-dilution-info": "", "FlowCytIntra-species-notes": "", "WB-species-checked": "guaranteed", "WB-species-dilution-info": "", "WB-species-notes": "" }, "Dog": { "IHCP-species-checked": "predicted", "IHCP-species-dilution-info": "", "IHCP-species-notes": "", "ICCIF-species-checked": "predicted", "ICCIF-species-dilution-info": "", "ICCIF-species-notes": "", "FlowCytIntra-species-checked": "predicted", "FlowCytIntra-species-dilution-info": "", "FlowCytIntra-species-notes": "", "WB-species-checked": "predicted", "WB-species-dilution-info": "", "WB-species-notes": "" } } }

Product details

ab220116 is the carrier-free version of ab32445.

Patented technology
Our RabMAb® technology is a patented hybridoma-based technology for making rabbit monoclonal antibodies. For details on our patents, please refer to RabMAb® patents.

What are the advantages of a recombinant monoclonal antibody?
This product is a recombinant monoclonal antibody, which offers several advantages including:

  • - High batch-to-batch consistency and reproducibility
  • - Improved sensitivity and specificity
  • - Long-term security of supply
  • - Animal-free batch production

For more information, read more on recombinant antibodies.

Conjugation ready
Our carrier-free antibodies are typically supplied in a PBS-only formulation, purified and free of BSA, sodium azide and glycerol. This conjugation-ready format is designed for use with fluorochromes, metal isotopes, oligonucleotides, and enzymes, which makes them ideal for antibody labelling, functional and cell-based assays, flow-based assays (e.g. mass cytometry) and Multiplex Imaging applications.

Use our conjugation kits for antibody conjugates that are ready-to-use in as little as 20 minutes with 1 minute hands-on-time and 100% antibody recovery: available for fluorescent dyes, HRP, biotin and gold.

Compatibility
This product is compatible with the Maxpar® Antibody Labeling Kit from Fluidigm, without the need for antibody preparation. Maxpar® is a trademark of Fluidigm Canada Inc.

Properties and storage information

Form
Liquid
Purification technique
Affinity purification Protein A
Storage buffer
pH: 7.2 - 7.4 Constituents: PBS
Shipped at conditions
Blue Ice
Appropriate short-term storage conditions
+4°C
Appropriate long-term storage conditions
+4°C
Storage information
Do Not Freeze

Supplementary information

This supplementary information is collated from multiple sources and compiled automatically.

The Bad protein also known as Bcl-2-associated death promoter plays a critical role in apoptosis regulation. It possesses a molecular weight of approximately 23 kDa. Bad is expressed widely in tissues and is a member of the Bcl-2 family of proteins. This family is well-known for its involvement in the regulation of cell death both promoting and inhibiting depending on the protein’s interactions.
Biological function summary

Its main role is to promote apoptosis by binding to anti-apoptotic proteins like Bcl-2 and Bcl-XL displacing pro-apoptotic Bax and Bak proteins to trigger cell death. Bad functions as part of the mitochondrial apoptosis pathway and is known to form complexes with phosphorylated proteins. Phosphorylation of Bad by kinases can lead to its sequestration to the cytoplasm reducing apoptosis.

Pathways

Its action is pivotal in the PI3K/Akt signaling pathway. This pathway involves growth factors and cell survival signals where phosphorylation of Bad inhibits its pro-apoptotic activity. Bad interacts with proteins like Akt and 14-3-3 to modulate cell survival. Disruption in its regulation through these pathways may lead to abnormal cell survival or death.

Bad has implications in cancer and neurodegenerative diseases. Cancer cells often exhibit impaired apoptotic pathways where overexpression of Bad can ameliorate responsiveness to therapy. In neurodegenerative diseases such as Alzheimer's dysregulation of its function can contribute to cell death. The protein’s interaction with Bcl-2 and Bcl-XL is significant in these contexts influencing disease propagation and severity.

Product protocols

For this product, it's our understanding that no specific protocols are required. You can visit:

Target data

Promotes cell death. Successfully competes for the binding to Bcl-X(L), Bcl-2 and Bcl-W, thereby affecting the level of heterodimerization of these proteins with BAX. Can reverse the death repressor activity of Bcl-X(L), but not that of Bcl-2 (By similarity). Appears to act as a link between growth factor receptor signaling and the apoptotic pathways.
See full target information BAD

Publications (18)

Recent publications for all applications. Explore the full list and refine your search

Molecular medicine reports 17:6736-6744 PubMed29488603

2018

MicroRNA-124 suppresses growth and aggressiveness of osteosarcoma and inhibits TGF-β-mediated AKT/GSK-3β/SNAIL-1 signaling.

Applications

Unspecified application

Species

Unspecified reactive species

Bo Yu,Kaibiao Jiang,Jidong Zhang

Oncotarget 6:31916-26 PubMed26376616

2015

Phosphorylation and inactivation of PTEN at residues Ser380/Thr382/383 induced by Helicobacter pylori promotes gastric epithelial cell survival through PI3K/Akt pathway.

Applications

Unspecified application

Species

Unspecified reactive species

Zhen Yang,Chuan Xie,Wenting Xu,Gongmeizi Liu,Ximei Cao,Wei Li,Jiang Chen,Yin Zhu,Shiwen Luo,Zhijun Luo,Nonghua Lu

Nature communications 6:6426 PubMed25756236

2015

Housing temperature-induced stress drives therapeutic resistance in murine tumour models through β2-adrenergic receptor activation.

Applications

Unspecified application

Species

Unspecified reactive species

Jason W-L Eng,Chelsey B Reed,Kathleen M Kokolus,Rosemarie Pitoniak,Adam Utley,Mark J Bucsek,Wen Wee Ma,Elizabeth A Repasky,Bonnie L Hylander

The Journal of biological chemistry 290:6387-96 PubMed25564616

2015

Rictor/mTORC2 pathway in oocytes regulates folliculogenesis, and its inactivation causes premature ovarian failure.

Applications

Unspecified application

Species

Unspecified reactive species

Zhenguo Chen,Xiangjin Kang,Liping Wang,Heling Dong,Caixia Wang,Zhi Xiong,Wanlu Zhao,Chunhong Jia,Jun Lin,Wen Zhang,Weiping Yuan,Mei Zhong,Hongzi Du,Xiaochun Bai

Marine drugs 12:5295-315 PubMed25342459

2014

13-acetoxysarcocrassolide induces apoptosis on human gastric carcinoma cells through mitochondria-related apoptotic pathways: p38/JNK activation and PI3K/AKT suppression.

Applications

Unspecified application

Species

Unspecified reactive species

Ching-Chyuan Su,Jeff Yi-Fu Chen,Zhong-Hao Din,Jui-Hsin Su,Zih-Yan Yang,Yi-Jen Chen,Robert Y L Wang,Yu-Jen Wu

Disease models & mechanisms 7:953-61 PubMed25056698

2014

Cyclosporin A enhances neural precursor cell survival in mice through a calcineurin-independent pathway.

Applications

Unspecified application

Species

Unspecified reactive species

Nadia Sachewsky,Jessica Hunt,Michael J Cooke,Ashkan Azimi,Taraneh Zarin,Carween Miu,Molly S Shoichet,Cindi M Morshead

Biochemical and biophysical research communications 450:1-6 PubMed24853801

2014

Up-regulation of eEF1A2 promotes proliferation and inhibits apoptosis in prostate cancer.

Applications

Unspecified application

Species

Unspecified reactive species

Yue Sun,Chengli Du,Bo Wang,Yanling Zhang,Xiaoyan Liu,Guoping Ren

Endocrine-related cancer 20:785-95 PubMed24036132

2013

Glucocorticoid receptor-mediated apoptosis in small-cell lung cancer requires interaction with BCL2.

Applications

Unspecified application

Species

Unspecified reactive species

G Schlossmacher,E Platt,A Davies,S Meredith,A White

BMC cancer 13:451 PubMed24088503

2013

HOXB7 mRNA is overexpressed in pancreatic ductal adenocarcinomas and its knockdown induces cell cycle arrest and apoptosis.

Applications

Unspecified application

Species

Unspecified reactive species

Thais Chile,Maria Angela Henriques Zanella Fortes,Maria Lúcia Cardillo Corrêa-Giannella,Helena Paula Brentani,Durvanei Augusto Maria,Renato David Puga,Vanessa de Jesus R de Paula,Marcia Saldanha Kubrusly,Estela Maria Novak,Telésforo Bacchella,Ricardo Rodrigues Giorgi

PloS one 8:e60277 PubMed23565217

2013

Conditional transgenic expression of PIM1 kinase in prostate induces inflammation-dependent neoplasia.

Applications

Unspecified application

Species

Unspecified reactive species

Maja Narlik-Grassow,Carmen Blanco-Aparicio,Yolanda Cecilia,Marco Perez,Sandra Muñoz-Galvan,Marta Cañamero,Oliver Renner,Amancio Carnero
View all publications

Product promise

We are committed to supporting your work with high-quality reagents, and we're here for you every step of the way. In the unlikely event that one of our products does not perform as expected, you're protected by our Product Promise.
For full details, please see our Terms & Conditions

Please note: All products are 'FOR RESEARCH USE ONLY. NOT FOR USE IN DIAGNOSTIC OR THERAPEUTIC PROCEDURES'.

For licensing inquiries, please contact partnerships@abcam.com