JavaScript is disabled in your browser. Please enable JavaScript to view this website.
AB264170

Anti-BAF170 antibody

Be the first to review this product! Submit a review

|

(0 Publication)

Rabbit Polyclonal BAF170 antibody. Suitable for IHC-P, IP, WB and reacts with Human, Mouse samples. Immunogen corresponding to Synthetic Peptide within Human SMARCC2 aa 1150 to C-terminus.

View Alternative Names

BAF170, SMARCC2, SWI/SNF complex subunit SMARCC2, BRG1-associated factor 170, SWI/SNF complex 170 kDa subunit, SWI/SNF-related matrix-associated actin-dependent regulator of chromatin subfamily C member 2

3 Images
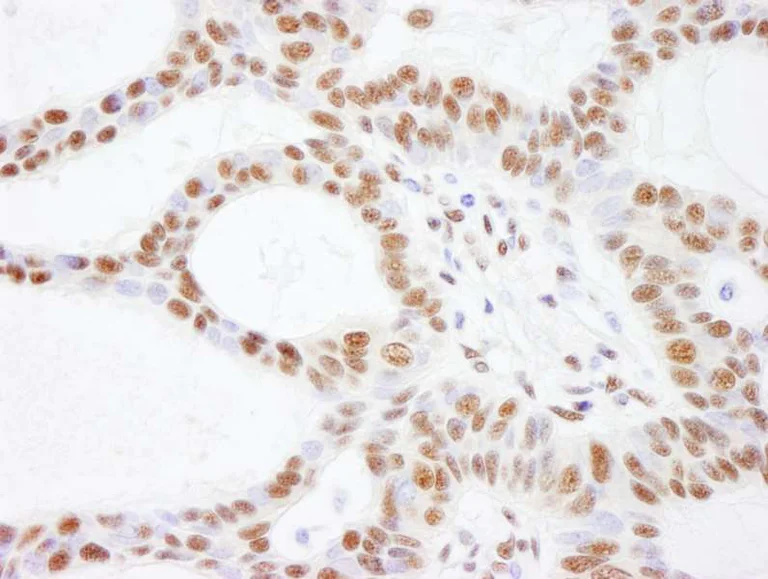
Immunohistochemistry (Formalin/PFA-fixed paraffin-embedded sections) - Anti-BAF170 antibody (AB264170)
  • IHC-P

Unknown

Immunohistochemistry (Formalin/PFA-fixed paraffin-embedded sections) - Anti-BAF170 antibody (AB264170)

Immunohistochemical analysis of formalin-fixed, paraffin-embedded human skin basal cell carcinoma tissue labeling BAF170 with ab264170 at 1/200 dilution. Detection : DAB.

Epitope retrieval with citrate buffer pH 6.0 is recommended for FFPE tissue sections.

Immunoprecipitation - Anti-BAF170 antibody (AB264170)
  • IP

Supplier Data

Immunoprecipitation - Anti-BAF170 antibody (AB264170)

BAF170 was immunoprecipitated from 1mg of HeLa (Human epithelial cell line from cervix adenocarcinoma) whole cell lysate with ab264170 at 3 μg/mg lysate. Western blot was performed from the immunoprecipitate using ab264170 at 1 μg/ml.

Lane 1 : ab264170 IP in HeLa whole cell lysate.
Lane 2 : Control IgG.

Exposure time : 1 sec.

All lanes:

Immunoprecipitation - Anti-BAF170 antibody (ab264170)

Predicted band size: 133 kDa

false

Western blot - Anti-BAF170 antibody (AB264170)
  • WB

Supplier Data

Western blot - Anti-BAF170 antibody (AB264170)

4-8% SDS-PAGE

All lanes:

Western blot - Anti-BAF170 antibody (ab264170) at 0.04 µg/mL

Lane 1:

HeLa whole cell lysate at 50 µg

Lane 2:

HeLa whole cell lysate at 15 µg

Lane 3:

HeLa whole cell lysate at 5 µg

Lane 4:

NIH/3T3 whole cell lysate at 50 µg

Secondary

All lanes:

Goat anti-Rabbit Light Chain HRP Conjugate

Predicted band size: 133 kDa

false

Exposure time: 1s

Key facts

Host species

Rabbit

Clonality

Polyclonal

Isotype

IgG

Carrier free

No

Reacts with

Mouse, Human

Applications

IHC-P, WB, IP

applications

Immunogen

Synthetic Peptide within Human SMARCC2 aa 1150 to C-terminus. The exact immunogen used to generate this antibody is proprietary information.

Q8TAQ2

Reactivity data

{ "title": "Reactivity Data", "filters": { "stats": ["", "Species", "Dilution Info", "Notes"], "tabs": { "all-applications": {"fullname" : "All Applications", "shortname": "All Applications"}, "IHCP" : {"fullname" : "Immunohistochemistry (Formalin/PFA-fixed paraffin-embedded sections)", "shortname":"IHC-P"}, "IP" : {"fullname" : "Immunoprecipitation", "shortname":"IP"}, "WB" : {"fullname" : "Western blot", "shortname":"WB"} }, "product-promise": { "all": "all", "testedAndGuaranteed": "tested", "guaranteed": "expected", "predicted": "predicted", "notRecommended": "not-recommended" } }, "values": { "Human": { "IHCP-species-checked": "testedAndGuaranteed", "IHCP-species-dilution-info": "1/200 - 1/1000", "IHCP-species-notes": "<p></p> Perform heat-mediated antigen retrieval with citrate buffer pH 6 before commencing with IHC staining protocol.", "IP-species-checked": "testedAndGuaranteed", "IP-species-dilution-info": "2-5 µg/mg of lysate", "IP-species-notes": "<p></p>", "WB-species-checked": "testedAndGuaranteed", "WB-species-dilution-info": "1/2000 - 1/10000", "WB-species-notes": "<p></p>" }, "Mouse": { "IHCP-species-checked": "guaranteed", "IHCP-species-dilution-info": "", "IHCP-species-notes": "", "IP-species-checked": "guaranteed", "IP-species-dilution-info": "", "IP-species-notes": "", "WB-species-checked": "testedAndGuaranteed", "WB-species-dilution-info": "1/2000 - 1/10000", "WB-species-notes": "<p></p>" } } }

Properties and storage information

Form
Liquid
Purification technique
Affinity purification Immunogen
Storage buffer
pH: 6.8 - 7.4 Preservative: 0.09% Sodium azide Constituents: Tris buffered saline, 0.1% BSA
Shipped at conditions
Blue Ice
Appropriate short-term storage duration
1-2 weeks
Appropriate short-term storage conditions
+4°C
Appropriate long-term storage conditions
-20°C
Aliquoting information
Upon delivery aliquot
Storage information
Avoid freeze / thaw cycle

Supplementary information

This supplementary information is collated from multiple sources and compiled automatically.

BAF170 also known as SMARCC2 is a protein that plays an essential role in chromatin remodeling. The molecular mass of BAF170 is approximately 131 kDa. It is expressed in various tissues including the brain and heart where it helps in altering chromatin structure to allow for transcriptional regulation. The protein contributes to the regulation of gene expression by modulating the accessibility of chromatin-bound transcription factors.
Biological function summary

BAF170 forms an integral part of the SWI/SNF chromatin remodeling complex which influences how genes are expressed in the cell. This complex alters the position of nucleosomes enabling the access of transcriptional machinery to DNA. Through this action BAF170 regulates the expression of genes necessary for processes such as cell differentiation and proliferation. The SWI/SNF complex interacts with multiple other proteins creating a dynamic regulatory environment for gene expression.

Pathways

BAF170 participates in significant cellular pathways like the Wnt signaling pathway and the Hedgehog pathway. These pathways influence many vital cellular processes including development and cell cycle regulation. In the Wnt pathway BAF170 works in concert with other proteins such as beta-catenin to regulate target gene expression. Similarly in the Hedgehog pathway BAF170 interacts with proteins involved in the signaling cascade affecting cellular responses and developmental processes.

Aberrations in BAF170 activity associate with certain cancers and neurodevelopmental disorders. Alterations in the SWI/SNF complex's function where BAF170 is a central component can result in malignant transformations leading to tumors. Moreover disruptions in BAF170's regulation are linked to issues impacting brain development possibly influencing conditions such as autism spectrum disorders. Researchers continue to investigate the protein's role in other pathological states providing insight into its contribution to disease mechanisms.

Product protocols

For this product, it's our understanding that no specific protocols are required. You can visit:

Target data

Involved in transcriptional activation and repression of select genes by chromatin remodeling (alteration of DNA-nucleosome topology). Component of SWI/SNF chromatin remodeling complexes that carry out key enzymatic activities, changing chromatin structure by altering DNA-histone contacts within a nucleosome in an ATP-dependent manner (PubMed : 11018012). Can stimulate the ATPase activity of the catalytic subunit of these complexes (PubMed : 10078207). May be required for CoREST dependent repression of neuronal specific gene promoters in non-neuronal cells (PubMed : 12192000). Belongs to the neural progenitors-specific chromatin remodeling complex (npBAF complex) and the neuron-specific chromatin remodeling complex (nBAF complex). During neural development a switch from a stem/progenitor to a postmitotic chromatin remodeling mechanism occurs as neurons exit the cell cycle and become committed to their adult state. The transition from proliferating neural stem/progenitor cells to postmitotic neurons requires a switch in subunit composition of the npBAF and nBAF complexes. As neural progenitors exit mitosis and differentiate into neurons, npBAF complexes which contain ACTL6A/BAF53A and PHF10/BAF45A, are exchanged for homologous alternative ACTL6B/BAF53B and DPF1/BAF45B or DPF3/BAF45C subunits in neuron-specific complexes (nBAF). The npBAF complex is essential for the self-renewal/proliferative capacity of the multipotent neural stem cells. The nBAF complex along with CREST plays a role regulating the activity of genes essential for dendrite growth (By similarity). Critical regulator of myeloid differentiation, controlling granulocytopoiesis and the expression of genes involved in neutrophil granule formation (By similarity).
See full target information SMARCC2

Product promise

We are committed to supporting your work with high-quality reagents, and we're here for you every step of the way. In the unlikely event that one of our products does not perform as expected, you're protected by our Product Promise.
For full details, please see our Terms & Conditions

Please note: All products are 'FOR RESEARCH USE ONLY. NOT FOR USE IN DIAGNOSTIC OR THERAPEUTIC PROCEDURES'.

For licensing inquiries, please contact partnerships@abcam.com