JavaScript is disabled in your browser. Please enable JavaScript to view this website.
AB180927

Anti-BAF53b antibody [EP10101]

Be the first to review this product! Submit a review

|

(2 Publications)

Rabbit Monoclonal BAF53b antibody. Suitable for WB, ICC/IF, IHC-P and reacts with Human, Mouse samples. Cited in 2 publications.

View Alternative Names

ACTL6, BAF53B, ACTL6B, Actin-like protein 6B, 53 kDa BRG1-associated factor B, Actin-related protein Baf53b, ArpNalpha, BRG1-associated factor 53B

4 Images
Immunocytochemistry/ Immunofluorescence - Anti-BAF53b antibody [EP10101] (AB180927)
  • ICC/IF

Supplier Data

Immunocytochemistry/ Immunofluorescence - Anti-BAF53b antibody [EP10101] (AB180927)

Immunofluorescent analysis of U87-MG cells (paraformaldehyde-fixed, 4%) labeling BAF53b with ab180927 at 1//50 dillution followed by Goat anti Rabbit IgG secondary antibody at 1/200 dilution and counter-stained with Dapi (blue).

Immunohistochemistry (Formalin/PFA-fixed paraffin-embedded sections) - Anti-BAF53b antibody [EP10101] (AB180927)
  • IHC-P

Supplier Data

Immunohistochemistry (Formalin/PFA-fixed paraffin-embedded sections) - Anti-BAF53b antibody [EP10101] (AB180927)

Immunohistochemical analysis of paraffin -embedded Human brain tissue, labeling BAF53b with ab180927 at 1/500 dilution and counter-stained with Hematoxylin.

Perform heat mediated antigen retrieval with EDTA buffer pH 9 before commencing with IHC staining protocol.

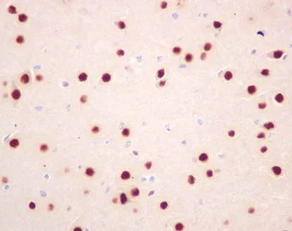
Immunohistochemistry (Formalin/PFA-fixed paraffin-embedded sections) - Anti-BAF53b antibody [EP10101] (AB180927)
  • IHC-P

Supplier Data

Immunohistochemistry (Formalin/PFA-fixed paraffin-embedded sections) - Anti-BAF53b antibody [EP10101] (AB180927)

Immunohistochemical analysis of paraffin-embedded Mouse brain tissue, labeling BAF53b with ab180927 at 1/500 dilution and counter-stained with Hematoxylin.

Perform heat mediated antigen retrieval with EDTA buffer pH 9 before commencing with IHC staining protocol.

Western blot - Anti-BAF53b antibody [EP10101] (AB180927)
  • WB

Supplier Data

Western blot - Anti-BAF53b antibody [EP10101] (AB180927)

All lanes:

Western blot - Anti-BAF53b antibody [EP10101] (ab180927) at 1/5000 dilution

All lanes:

Human fetal brain lysate at 20 µg

Secondary

All lanes:

Goat Anti-Rabbit IgG, (H+L) HRP at 1/1000 dilution

Predicted band size: 47 kDa

false

Key facts

Host species

Rabbit

Clonality

Monoclonal

Clone number

EP10101

Isotype

IgG

Carrier free

No

Reacts with

Mouse, Human

Applications

ICC/IF, IHC-P, WB

applications

Immunogen

The exact immunogen used to generate this antibody is proprietary information.

Reactivity data

{ "title": "Reactivity Data", "filters": { "stats": ["", "Species", "Dilution Info", "Notes"], "tabs": { "all-applications": {"fullname" : "All Applications", "shortname": "All Applications"}, "WB" : {"fullname" : "Western blot", "shortname":"WB"}, "ICCIF" : {"fullname" : "Immunocytochemistry/ Immunofluorescence", "shortname":"ICC/IF"}, "IHCP" : {"fullname" : "Immunohistochemistry (Formalin/PFA-fixed paraffin-embedded sections)", "shortname":"IHC-P"} }, "product-promise": { "all": "all", "testedAndGuaranteed": "tested", "guaranteed": "expected", "predicted": "predicted", "notRecommended": "not-recommended" } }, "values": { "Human": { "WB-species-checked": "testedAndGuaranteed", "WB-species-dilution-info": "1/1000 - 1/10000", "WB-species-notes": "<p></p>", "ICCIF-species-checked": "testedAndGuaranteed", "ICCIF-species-dilution-info": "1/50", "ICCIF-species-notes": "<p></p>", "IHCP-species-checked": "testedAndGuaranteed", "IHCP-species-dilution-info": "1/500", "IHCP-species-notes": "<p></p> Perform heat-mediated antigen retrieval with Tris/EDTA buffer pH 9.0 before commencing with IHC staining protocol." }, "Mouse": { "WB-species-checked": "guaranteed", "WB-species-dilution-info": "", "WB-species-notes": "", "ICCIF-species-checked": "guaranteed", "ICCIF-species-dilution-info": "", "ICCIF-species-notes": "", "IHCP-species-checked": "testedAndGuaranteed", "IHCP-species-dilution-info": "1/500", "IHCP-species-notes": "<p></p> Perform heat-mediated antigen retrieval with Tris/EDTA buffer pH 9.0 before commencing with IHC staining protocol." }, "Rat": { "WB-species-checked": "predicted", "WB-species-dilution-info": "", "WB-species-notes": "", "ICCIF-species-checked": "predicted", "ICCIF-species-dilution-info": "", "ICCIF-species-notes": "", "IHCP-species-checked": "predicted", "IHCP-species-dilution-info": "", "IHCP-species-notes": "" } } }

Product details

Patented technology
Our RabMAb® technology is a patented hybridoma-based technology for making rabbit monoclonal antibodies. For details on our patents, please refer to RabMAb® patents.

Properties and storage information

Form
Liquid
Purification technique
Affinity purification Protein A
Storage buffer
pH: 7.2 - 7.4 Preservative: 0.01% Sodium azide Constituents: PBS, 50% Glycerol (glycerin, glycerine), 0.05% BSA
Shipped at conditions
Blue Ice
Appropriate short-term storage duration
1-2 weeks
Appropriate short-term storage conditions
+4°C
Appropriate long-term storage conditions
-20°C
Aliquoting information
Upon delivery aliquot
Storage information
Avoid freeze / thaw cycle

Supplementary information

This supplementary information is collated from multiple sources and compiled automatically.

BAF53b also known as Actin-like protein 6B is a part of the SWI/SNF chromatin remodeling complex. It has a molecular mass of roughly 50 kDa. You can find BAF53b mostly in the brain with higher expression levels in the central nervous system during development. It primarily associates with the multi-subunit complexes in neurons indicating its specialized role in neural functions.
Biological function summary

BAF53b acts as an important player in regulating neuronal gene expression. It is part of the neuronal-specific BAF (nBAF) complex which contributes to the modification of chromatin structure. BAF53b has a specialization in managing chromatin accessibility during neural differentiation and synaptic development. Its interaction with other subunits in the SWI/SNF complex aids in the transcriptional activation of genes important for synaptic plasticity and memory formation.

Pathways

BAF53b plays significant roles in important cellular processes such as the Wnt signaling pathway and the transcription regulation pathway. In the Wnt pathway BAF53b collaborates with proteins such as β-catenin to influence gene transcription impacting cell division and neuronal differentiation. Its involvement in transcription regulation brings BAF53b into interaction with other remodeling proteins which together facilitate epigenetic changes needed for neuronal maturity.

Alterations in BAF53b function relate closely with neurological conditions like schizophrenia and intellectual disabilities. Abnormalities in the BAF53b-protein complexes can disrupt synaptic functions and neuronal connectivity seen in schizophrenia. BAF53b's significant association with other proteins in neural pathways points to potential roles in regulating synaptic development and maintaining neural integrity.

Product protocols

For this product, it's our understanding that no specific protocols are required. You can visit:

Target data

Involved in transcriptional activation and repression of select genes by chromatin remodeling (alteration of DNA-nucleosome topology). Component of SWI/SNF chromatin remodeling complexes that carry out key enzymatic activities, changing chromatin structure by altering DNA-histone contacts within a nucleosome in an ATP-dependent manner. Belongs to the neuron-specific chromatin remodeling complex (nBAF complex), as such plays a role in remodeling mononucleosomes in an ATP-dependent fashion, and is required for postmitotic neural development and dendritic outgrowth. During neural development a switch from a stem/progenitor to a postmitotic chromatin remodeling mechanism occurs as neurons exit the cell cycle and become committed to their adult state. The transition from proliferating neural stem/progenitor cells to postmitotic neurons requires a switch in subunit composition of the npBAF and nBAF complexes. As neural progenitors exit mitosis and differentiate into neurons, npBAF complexes which contain ACTL6A/BAF53A and PHF10/BAF45A, are exchanged for homologous alternative ACTL6B/BAF53B and DPF1/BAF45B or DPF3/BAF45C subunits in neuron-specific complexes (nBAF). The npBAF complex is essential for the self-renewal/proliferative capacity of the multipotent neural stem cells. The nBAF complex along with CREST plays a role regulating the activity of genes essential for dendrite growth. ACTL6B/BAF53B is not essential for assembly of the nBAF complex but is required for targeting the complex and CREST to the promoter of genes essential for dendritic growth (By similarity). Essential for neuronal maturation and dendrite development (PubMed : 31031012).
See full target information ACTL6B

Publications (2)

Recent publications for all applications. Explore the full list and refine your search

Nature communications 11:5549 PubMed33144576

2020

Role of specialized composition of SWI/SNF complexes in prostate cancer lineage plasticity.

Applications

IHC-P, WB

Species

Human, Human

Joanna Cyrta,Anke Augspach,Maria Rosaria De Filippo,Davide Prandi,Phillip Thienger,Matteo Benelli,Victoria Cooley,Rohan Bareja,David Wilkes,Sung-Suk Chae,Paola Cavaliere,Noah Dephoure,Anne-Christine Uldry,Sophie Braga Lagache,Luca Roma,Sandra Cohen,Muriel Jaquet,Laura P Brandt,Mohammed Alshalalfa,Loredana Puca,Andrea Sboner,Felix Feng,Shangqian Wang,Himisha Beltran,Tamara Lotan,Martin Spahn,Marianna Kruithof-de Julio,Yu Chen,Karla V Ballman,Francesca Demichelis,Salvatore Piscuoglio,Mark A Rubin

Developmental cell 46:73-84.e7 PubMed29974865

2018

MicroRNAs Overcome Cell Fate Barrier by Reducing EZH2-Controlled REST Stability during Neuronal Conversion of Human Adult Fibroblasts.

Applications

Unspecified application

Species

Unspecified reactive species

Seong Won Lee,Young Mi Oh,Ya-Lin Lu,Woo Kyung Kim,Andrew S Yoo
View all publications

Product promise

We are committed to supporting your work with high-quality reagents, and we're here for you every step of the way. In the unlikely event that one of our products does not perform as expected, you're protected by our Product Promise.
For full details, please see our Terms & Conditions

Please note: All products are 'FOR RESEARCH USE ONLY. NOT FOR USE IN DIAGNOSTIC OR THERAPEUTIC PROCEDURES'.

For licensing inquiries, please contact partnerships@abcam.com