JavaScript is disabled in your browser. Please enable JavaScript to view this website.
AB224710

Anti-BAFF antibody [EPR22238]

1

(1 Review)

|

(6 Publications)

Rabbit Recombinant Monoclonal BAFF antibody. Suitable for IP, Flow Cyt, WB, ICC/IF and reacts with Human samples. Cited in 6 publications.

View Alternative Names

CD257, BAFF, BLYS, TALL1, TNFSF20, ZTNF4, UNQ401/PRO738, TNFSF13B, Tumor necrosis factor ligand superfamily member 13B, B lymphocyte stimulator, B-cell-activating factor, Dendritic cell-derived TNF-like molecule, TNF- and APOL-related leukocyte expressed ligand 1, BLyS, TALL-1

4 Images
Flow Cytometry - Anti-BAFF antibody [EPR22238] (AB224710)
  • Flow Cyt

Unknown

Flow Cytometry - Anti-BAFF antibody [EPR22238] (AB224710)

Flow cytometric analysis of Daudi (human Burkitt's lymphoma cell line; left panel) and HL-60 (human promyelocytic leukemia cell line ;right panel) cell lines labeling BAFF with ab224710 at 1/500 dilution (red) compared with a Rabbit IgG, monoclonal [EPR25A] - Isotype Control (ab172730) (black) and an unlabeled control (cells without incubation with primary antibody and secondary antibody) (blue). Goat Anti-Rabbit IgG H&L (Alexa Fluor® 488) (ab150077) at 1/2000 dilution was used as the secondary antibody.

Negative control : Daudi. (PMID : 20951740)

Gated on viable cells.

Immunocytochemistry/ Immunofluorescence - Anti-BAFF antibody [EPR22238] (AB224710)
  • ICC/IF

Unknown

Immunocytochemistry/ Immunofluorescence - Anti-BAFF antibody [EPR22238] (AB224710)

Immunofluorescent analysis of 100% methanol-fixed U937 (human histiocytic lymphoma cell line) cells labeling BAFF with ab224710 at 1/100 dilution followed by Goat Anti-Rabbit IgG H&L (Alexa Fluor® 488) (ab150077) secondary antibody at 1/1000 dilution (green). Confocal image showing cytoplasmic staining on U937 cells.

The nuclear counter stain is DAPI (blue). Tubulin is detected with Anti-alpha Tubulin antibody [DM1A] - Microtubule Marker (Alexa Fluor® 594) (ab195889) (red) at 1/200 dilution.

Secondary antibody only control : Used PBS instead of primary antibody, secondary antibody is Goat Anti-Rabbit IgG H&L (Alexa Fluor® 488) (ab150077) secondary antibody at 1/1000 dilution.

Confocal image showing membranous staining in U-937 cells.

We don't recommend PFA fixation, since the result shows some background staining in the nuclear.

Negative control : HEK-293(PMID : 17393395.

Immunoprecipitation - Anti-BAFF antibody [EPR22238] (AB224710)
  • IP

Unknown

Immunoprecipitation - Anti-BAFF antibody [EPR22238] (AB224710)

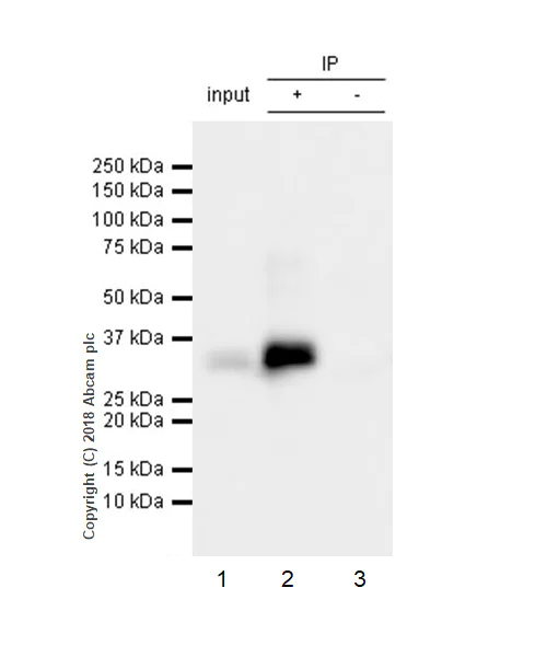
BAFF was immunoprecipitated from 0.35 mg of U937 (human histiocytic lymphoma cell line) whole cell lysate with ab224710 at 1/30 dilution. Western blot was performed from the immunoprecipitate using ab224710 at 1/1000 dilution. VeriBlot for IP Detection Reagent (HRP) (ab131366), was used for detection at 1/5000 dilution.

Lane 1 : U937 whole cell lysate 10 μg (Input).

Lane 2 : ab224710 IP in U937 whole cell lysate.

Lane 3 : Rabbit monoclonal IgG (ab172730) instead of ab224710 in U937 whole cell lysate.

Blocking and dilution buffer and concentration : 5% NFDM/TBST.

Exposure time : 20 seconds.

All lanes:

Immunoprecipitation - Anti-BAFF antibody [EPR22238] (ab224710)

Predicted band size: 31 kDa

false

Western blot - Anti-BAFF antibody [EPR22238] (AB224710)
  • WB

Unknown

Western blot - Anti-BAFF antibody [EPR22238] (AB224710)

Blocking/Dilution buffer : 5% NFDM/TBST.

All lanes:

Western blot - Anti-BAFF antibody [EPR22238] (ab224710) at 1/1000 dilution

Lane 1:

U937 (human histiocytic lymphoma cell line) whole cell lysate at 20 µg

Lane 2:

HL-60 (human promyelocytic leukemia cell line) whole cell lysate at 20 µg

Lane 3:

HEK-293 (human epithelial cell line from embryonic kidney) whole cell lysate at 20 µg

Lane 4:

Daudi (human Burkitt's lymphoma cell line) whole cell lysate at 20 µg

Secondary

All lanes:

Western blot - Goat Anti-Rabbit IgG H&L (HRP) (<a href='/en-us/products/secondary-antibodies/goat-rabbit-igg-h-l-hrp-ab97051'>ab97051</a>) at 1/50000 dilution

Predicted band size: 31 kDa

Observed band size: 30 kDa,32 kDa

false

Exposure time: 26s

  • Carrier free

    Anti-BAFF antibody [EPR22238] - BSA and Azide free

Key facts

Host species

Rabbit

Clonality

Monoclonal

Clone number

EPR22238

Isotype

IgG

Carrier free

No

Reacts with

Human

Applications

IP, ICC/IF, Flow Cyt, WB

applications

Immunogen

The exact immunogen used to generate this antibody is proprietary information.

Reactivity data

{ "title": "Reactivity Data", "filters": { "stats": ["", "Species", "Dilution Info", "Notes"], "tabs": { "all-applications": {"fullname" : "All Applications", "shortname": "All Applications"}, "IP" : {"fullname" : "Immunoprecipitation", "shortname":"IP"}, "FlowCyt" : {"fullname" : "Flow Cytometry", "shortname":"Flow Cyt"}, "WB" : {"fullname" : "Western blot", "shortname":"WB"}, "IHCP" : {"fullname" : "Immunohistochemistry (Formalin/PFA-fixed paraffin-embedded sections)", "shortname":"IHC-P"}, "ICCIF" : {"fullname" : "Immunocytochemistry/ Immunofluorescence", "shortname":"ICC/IF"} }, "product-promise": { "all": "all", "testedAndGuaranteed": "tested", "guaranteed": "expected", "predicted": "predicted", "notRecommended": "not-recommended" } }, "values": { "Human": { "IP-species-checked": "testedAndGuaranteed", "IP-species-dilution-info": "1/30", "IP-species-notes": "<p></p>", "FlowCyt-species-checked": "testedAndGuaranteed", "FlowCyt-species-dilution-info": "1/500", "FlowCyt-species-notes": "<p></p>", "WB-species-checked": "testedAndGuaranteed", "WB-species-dilution-info": "1/1000", "WB-species-notes": "<p></p>", "IHCP-species-checked": "notRecommended", "IHCP-species-dilution-info": "", "IHCP-species-notes": "<p></p>", "ICCIF-species-checked": "testedAndGuaranteed", "ICCIF-species-dilution-info": "1/100", "ICCIF-species-notes": "<p></p>" } } }

Product details

Patented technology
Our RabMAb® technology is a patented hybridoma-based technology for making rabbit monoclonal antibodies. For details on our patents, please refer to RabMAb® patents.

What are the advantages of a recombinant monoclonal antibody?
This product is a recombinant monoclonal antibody, which offers several advantages including:

  • - High batch-to-batch consistency and reproducibility
  • - Improved sensitivity and specificity
  • - Long-term security of supply
  • - Animal-free batch production

For more information, read more on recombinant antibodies.

Properties and storage information

Form
Liquid
Purification technique
Affinity purification Protein A
Storage buffer
pH: 7.2 - 7.4 Preservative: 0.01% Sodium azide Constituents: PBS, 40% Glycerol (glycerin, glycerine), 0.05% BSA
Shipped at conditions
Blue Ice
Appropriate short-term storage duration
1-2 weeks
Appropriate short-term storage conditions
+4°C
Appropriate long-term storage conditions
-20°C
Aliquoting information
Upon delivery aliquot
Storage information
Avoid freeze / thaw cycle

Supplementary information

This supplementary information is collated from multiple sources and compiled automatically.

BAFF also known as B-cell activating factor or TNFSF13B is a protein important for B-cell survival and maturation. It's a type II transmembrane protein expressed in cells like macrophages and dendritic cells and has a mass of approximately 31 kDa. The BAFF protein is also present on activated T-cells and in the serum as a soluble form. It functions as a cytokine and influences various stages of B-cell development.
Biological function summary

BAFF plays a significant role in the humoral immune response by enhancing B-cell proliferation and function. It belongs to the tumor necrosis factor (TNF) ligand family and interacts as a homotrimer. The BAFF cytokine can bind to receptors such as BAFF-R BCMA (B-cell maturation antigen) and TACI (transmembrane activator and CAML interactor). These interactions regulate B-cell homeostasis promoting development and differentiation processes important for normal immune responses.

Pathways

BAFF is central to the regulation of immune system signaling particularly in B-cell receptor (BCR) signaling and NF-kB pathway activation. The BAFF-R mediates B-cell survival signals through the NF-kB pathway while TACI and BCMA associations convey additional immune responses regulation. These multiple pathways ensure the maintenance of B-cell populations and their ability to produce antibodies.

BAFF has been linked to conditions such as systemic lupus erythematosus (SLE) and rheumatoid arthritis (RA). Elevated levels of BAFF can exacerbate autoimmune responses due to increased B-cell survival. Connections with these disorders involve the BAFF-R and its influence on excessive B-cell proliferation contributing to disease pathology. Therapeutically anti-BAFF therapies target these interactions to modify disease progression and manage autoimmunity.

Product protocols

For this product, it's our understanding that no specific protocols are required. You can visit:

Target data

Cytokine that binds to TNFRSF13B/TACI and TNFRSF17/BCMA. TNFSF13/APRIL binds to the same 2 receptors. Together, they form a 2 ligands -2 receptors pathway involved in the stimulation of B- and T-cell function and the regulation of humoral immunity. A third B-cell specific BAFF-receptor (BAFFR/BR3) promotes the survival of mature B-cells and the B-cell response.. Isoform 2 seems to inhibit isoform 1 secretion and bioactivity.. Isoform 3. Acts as a transcription factor for its own parent gene, in association with NF-kappa-B p50 subunit, at least in autoimmune and proliferative B-cell diseases. The presence of Delta4BAFF is essential for soluble BAFF release by IFNG/IFN-gamma-stimulated monocytes and for B-cell survival. It can directly or indirectly regulate the differential expression of a large number of genes involved in the innate immune response and the regulation of apoptosis.
See full target information TNFSF13B

Publications (6)

Recent publications for all applications. Explore the full list and refine your search

Translational cancer research 13:4846-4865 PubMed39430819

2024

Construction of a prognostic model with exosome biogenesis- and release-related genes and identification of RAB27B in immune infiltration of pancreatic cancer.

Applications

Unspecified application

Species

Unspecified reactive species

Tian-Yu Li,Cheng Qin,Bang-Bo Zhao,Ze-Ru Li,Yuan-Yang Wang,Yu-Tong Zhao,Wei-Bin Wang

Nephrology, dialysis, transplantation : official publication of the European Dialysis and Transplant Association - European Renal Association 39:1624-1641 PubMed38402460

2024

IgA nephropathy: gut microbiome regulates the production of hypoglycosilated IgA1 via the TLR4 signaling pathway.

Applications

Unspecified application

Species

Unspecified reactive species

Yifan Zhu,Haidong He,Weiqian Sun,Jiajun Wu,Yong Xiao,Yinshun Peng,Ping Hu,Meiping Jin,Ping Liu,DongLiang Zhang,Ting Xie,Lusheng Huang,Weiming He,Minggang Wei,Lishun Wang,Xudong Xu,Yuyan Tang

Journal of translational medicine 21:466 PubMed37443022

2023

A precise molecular subtyping of ulcerative colitis reveals the immune heterogeneity and predicts clinical drug responses.

Applications

Unspecified application

Species

Unspecified reactive species

Shaocong Mo,Bryan Jin,Yujen Tseng,Lingxi Lin,Lishuang Lin,Xin Shen,Huan Song,Mingjia Kong,Zhongguang Luo,Yiwei Chu,Chen Jiang,Zhiwei Cao,Jie Liu,Feifei Luo

eLife 12: PubMed37083495

2023

Pleiotropic effects of BAFF on the senescence-associated secretome and growth arrest.

Applications

Unspecified application

Species

Unspecified reactive species

Martina Rossi,Carlos Anerillas,Maria Laura Idda,Rachel Munk,Chang Hoon Shin,Stefano Donega,Dimitrios Tsitsipatis,Allison B Herman,Jennifer L Martindale,Xiaoling Yang,Yulan Piao,Krystyna Mazan-Mamczarz,Jinshui Fan,Luigi Ferrucci,Peter F Johnson,Supriyo De,Kotb Abdelmohsen,Myriam Gorospe

Cell cycle (Georgetown, Tex.) 20:1923-1934 PubMed34437822

2021

Roles of Clara cell 10-kD protein and type 2 innate lymphoid cells in allergic rhinitis.

Applications

Unspecified application

Species

Unspecified reactive species

Xiaobo Long,Nan Wang,Xinhao Zhang

Frontiers in immunology 11:563699 PubMed33324395

2020

microRNA-630 Regulates Underglycosylated IgA1 Production in the Tonsils by Targeting TLR4 in IgA Nephropathy.

Applications

Unspecified application

Species

Unspecified reactive species

Chan Liu,Mu-Yao Ye,Wen-Zhe Yan,Xiao-Fei Peng,Li-Yu He,You-Ming Peng
View all publications

Product promise

We are committed to supporting your work with high-quality reagents, and we're here for you every step of the way. In the unlikely event that one of our products does not perform as expected, you're protected by our Product Promise.
For full details, please see our Terms & Conditions

Please note: All products are 'FOR RESEARCH USE ONLY. NOT FOR USE IN DIAGNOSTIC OR THERAPEUTIC PROCEDURES'.

For licensing inquiries, please contact partnerships@abcam.com