JavaScript is disabled in your browser. Please enable JavaScript to view this website.
AB245833

Anti-BAFF antibody [EPR22238] - BSA and Azide free

Be the first to review this product! Submit a review

|

(1 Publication)

Rabbit Recombinant Monoclonal BAFF antibody. Carrier free. Suitable for IP, Flow Cyt, WB, ICC/IF and reacts with Human samples. Cited in 1 publication.

View Alternative Names

CD257, BAFF, BLYS, TALL1, TNFSF20, ZTNF4, UNQ401/PRO738, TNFSF13B, Tumor necrosis factor ligand superfamily member 13B, B lymphocyte stimulator, B-cell-activating factor, Dendritic cell-derived TNF-like molecule, TNF- and APOL-related leukocyte expressed ligand 1, BLyS, TALL-1

3 Images
Flow Cytometry - Anti-BAFF antibody [EPR22238] - BSA and Azide free (AB245833)
  • Flow Cyt

Unknown

Flow Cytometry - Anti-BAFF antibody [EPR22238] - BSA and Azide free (AB245833)

Flow cytometric analysis of Daudi (human Burkitt's lymphoma cell line; left panel) and HL-60 (human promyelocytic leukemia cell line, right panel) cell lines labeling BAFF with ab224710 at 1/500 dilution (red) compared with a Rabbit IgG, monoclonal [EPR25A] - Isotype Control (ab172730) (black) and an unlabeled control (cells without incubation with primary antibody and secondary antibody) (blue). Goat Anti-Rabbit IgG H&L (Alexa Fluor® 488) (ab150077) at 1/2000 dilution was used as the secondary antibody.

Negative control : Daudi. (PMID : 20951740)

Gated on viable cells.

This data was developed using the same antibody clone in a different buffer formulation containing PBS, BSA, glycerol, and sodium azide (ab224710).

Immunocytochemistry/ Immunofluorescence - Anti-BAFF antibody [EPR22238] - BSA and Azide free (AB245833)
  • ICC/IF

Unknown

Immunocytochemistry/ Immunofluorescence - Anti-BAFF antibody [EPR22238] - BSA and Azide free (AB245833)

Immunofluorescent analysis of 100% methanol-fixed U937 (human histiocytic lymphoma cell line) cells labeling BAFF with ab224710 at 1/100 dilution followed by Goat Anti-Rabbit IgG H&L (Alexa Fluor® 488) (ab150077) secondary antibody at 1/1000 dilution (green). Confocal image showing cytoplasmic staining on U937 cells.

The nuclear counter stain is DAPI (blue). Tubulin is detected with Anti-alpha Tubulin antibody [DM1A] - Microtubule Marker (Alexa Fluor® 594) (ab195889) (red) at 1/200 dilution.

Secondary antibody only control : Used PBS instead of primary antibody, secondary antibody is Goat Anti-Rabbit IgG H&L (Alexa Fluor® 488) (ab150077) secondary antibody at 1/1000 dilution.

Confocal image showing membranous staining in U-937 cells.

We don't recommend PFA fixation, since the result shows some background staining in the nuclear.

Negative control : HEK-293 PMID : 17393395.

This data was developed using the same antibody clone in a different buffer formulation containing PBS, BSA, glycerol, and sodium azide (ab224710).

Immunoprecipitation - Anti-BAFF antibody [EPR22238] - BSA and Azide free (AB245833)
  • IP

Unknown

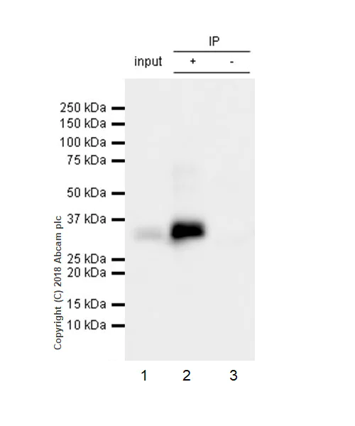
Immunoprecipitation - Anti-BAFF antibody [EPR22238] - BSA and Azide free (AB245833)

BAFF was immunoprecipitated from 0.35 mg of U937 (human histiocytic lymphoma cell line) whole cell lysate with ab224710 at 1/30 dilution. Western blot was performed from the immunoprecipitate using ab224710 at 1/1000 dilution. VeriBlot for IP Detection Reagent (HRP) (ab131366), was used for detection at 1/5000 dilution.

Lane 1 : U937 whole cell lysate 10 μg (Input).

Lane 2 : ab224710 IP in U937 whole cell lysate.

Lane 3 : Rabbit monoclonal IgG (ab172730) instead of ab224710 in U937 whole cell lysate.

Blocking and dilution buffer and concentration : 5% NFDM/TBST.

Exposure time : 20 seconds.

This data was developed using the same antibody clone in a different buffer formulation containing PBS, BSA, glycerol, and sodium azide (ab224710).

All lanes:

Immunoprecipitation - Anti-BAFF antibody [EPR22238] (<a href='/en-us/products/primary-antibodies/baff-antibody-epr22238-ab224710'>ab224710</a>)

Predicted band size: 31 kDa

false

Key facts

Host species

Rabbit

Clonality

Monoclonal

Clone number

EPR22238

Isotype

IgG

Carrier free

Yes

Reacts with

Human

Applications

ICC/IF, WB, IP, Flow Cyt

applications

Immunogen

The exact immunogen used to generate this antibody is proprietary information.

Reactivity data

{ "title": "Reactivity Data", "filters": { "stats": ["", "Species", "Dilution Info", "Notes"], "tabs": { "all-applications": {"fullname" : "All Applications", "shortname": "All Applications"}, "IP" : {"fullname" : "Immunoprecipitation", "shortname":"IP"}, "FlowCyt" : {"fullname" : "Flow Cytometry", "shortname":"Flow Cyt"}, "WB" : {"fullname" : "Western blot", "shortname":"WB"}, "IHCP" : {"fullname" : "Immunohistochemistry (Formalin/PFA-fixed paraffin-embedded sections)", "shortname":"IHC-P"}, "ICCIF" : {"fullname" : "Immunocytochemistry/ Immunofluorescence", "shortname":"ICC/IF"} }, "product-promise": { "all": "all", "testedAndGuaranteed": "tested", "guaranteed": "expected", "predicted": "predicted", "notRecommended": "not-recommended" } }, "values": { "Human": { "IP-species-checked": "testedAndGuaranteed", "IP-species-dilution-info": "", "IP-species-notes": "<p></p>", "FlowCyt-species-checked": "testedAndGuaranteed", "FlowCyt-species-dilution-info": "", "FlowCyt-species-notes": "<p></p>", "WB-species-checked": "guaranteed", "WB-species-dilution-info": "", "WB-species-notes": "<p></p>", "IHCP-species-checked": "notRecommended", "IHCP-species-dilution-info": "", "IHCP-species-notes": "<p></p>", "ICCIF-species-checked": "testedAndGuaranteed", "ICCIF-species-dilution-info": "", "ICCIF-species-notes": "<p></p>" } } }

Product details

ab245833 is the carrier-free version of ab224710.

Patented technology
Our RabMAb® technology is a patented hybridoma-based technology for making rabbit monoclonal antibodies. For details on our patents, please refer to RabMAb® patents.

What are the advantages of a recombinant monoclonal antibody?
This product is a recombinant monoclonal antibody, which offers several advantages including:

  • - High batch-to-batch consistency and reproducibility
  • - Improved sensitivity and specificity
  • - Long-term security of supply
  • - Animal-free batch production

For more information, read more on recombinant antibodies.

Conjugation ready
Our carrier-free antibodies are typically supplied in a PBS-only formulation, purified and free of BSA, sodium azide and glycerol. This conjugation-ready format is designed for use with fluorochromes, metal isotopes, oligonucleotides, and enzymes, which makes them ideal for antibody labelling, functional and cell-based assays, flow-based assays (e.g. mass cytometry) and Multiplex Imaging applications.

Use our conjugation kits for antibody conjugates that are ready-to-use in as little as 20 minutes with 1 minute hands-on-time and 100% antibody recovery: available for fluorescent dyes, HRP, biotin and gold.

Compatibility
This product is compatible with the Maxpar® Antibody Labeling Kit from Fluidigm, without the need for antibody preparation. Maxpar® is a trademark of Fluidigm Canada Inc.

Properties and storage information

Form
Liquid
Purification technique
Affinity purification Protein A
Storage buffer
pH: 7.2 - 7.4 Constituents: PBS
Shipped at conditions
Blue Ice
Appropriate short-term storage conditions
+4°C
Appropriate long-term storage conditions
+4°C
Storage information
Do Not Freeze

Supplementary information

This supplementary information is collated from multiple sources and compiled automatically.

BAFF also known as B-cell activating factor or TNFSF13B is a protein important for B-cell survival and maturation. It's a type II transmembrane protein expressed in cells like macrophages and dendritic cells and has a mass of approximately 31 kDa. The BAFF protein is also present on activated T-cells and in the serum as a soluble form. It functions as a cytokine and influences various stages of B-cell development.
Biological function summary

BAFF plays a significant role in the humoral immune response by enhancing B-cell proliferation and function. It belongs to the tumor necrosis factor (TNF) ligand family and interacts as a homotrimer. The BAFF cytokine can bind to receptors such as BAFF-R BCMA (B-cell maturation antigen) and TACI (transmembrane activator and CAML interactor). These interactions regulate B-cell homeostasis promoting development and differentiation processes important for normal immune responses.

Pathways

BAFF is central to the regulation of immune system signaling particularly in B-cell receptor (BCR) signaling and NF-kB pathway activation. The BAFF-R mediates B-cell survival signals through the NF-kB pathway while TACI and BCMA associations convey additional immune responses regulation. These multiple pathways ensure the maintenance of B-cell populations and their ability to produce antibodies.

BAFF has been linked to conditions such as systemic lupus erythematosus (SLE) and rheumatoid arthritis (RA). Elevated levels of BAFF can exacerbate autoimmune responses due to increased B-cell survival. Connections with these disorders involve the BAFF-R and its influence on excessive B-cell proliferation contributing to disease pathology. Therapeutically anti-BAFF therapies target these interactions to modify disease progression and manage autoimmunity.

Product protocols

For this product, it's our understanding that no specific protocols are required. You can visit:

Target data

Cytokine that binds to TNFRSF13B/TACI and TNFRSF17/BCMA. TNFSF13/APRIL binds to the same 2 receptors. Together, they form a 2 ligands -2 receptors pathway involved in the stimulation of B- and T-cell function and the regulation of humoral immunity. A third B-cell specific BAFF-receptor (BAFFR/BR3) promotes the survival of mature B-cells and the B-cell response.. Isoform 2 seems to inhibit isoform 1 secretion and bioactivity.. Isoform 3. Acts as a transcription factor for its own parent gene, in association with NF-kappa-B p50 subunit, at least in autoimmune and proliferative B-cell diseases. The presence of Delta4BAFF is essential for soluble BAFF release by IFNG/IFN-gamma-stimulated monocytes and for B-cell survival. It can directly or indirectly regulate the differential expression of a large number of genes involved in the innate immune response and the regulation of apoptosis.
See full target information TNFSF13B

Publications (1)

Recent publications for all applications. Explore the full list and refine your search

NPJ precision oncology 7:95 PubMed37723227

2023

Targeted single-cell proteomic analysis identifies new liquid biopsy biomarkers associated with multiple myeloma.

Applications

Unspecified application

Species

Unspecified reactive species

Sonia M Setayesh,Libere J Ndacayisaba,Kate E Rappard,Valerie Hennes,Luz Yurany Moreno Rueda,Guilin Tang,Pei Lin,Robert Z Orlowski,David E Symer,Elisabet E Manasanch,Stephanie N Shishido,Peter Kuhn
View all publications

Product promise

We are committed to supporting your work with high-quality reagents, and we're here for you every step of the way. In the unlikely event that one of our products does not perform as expected, you're protected by our Product Promise.
For full details, please see our Terms & Conditions

Please note: All products are 'FOR RESEARCH USE ONLY. NOT FOR USE IN DIAGNOSTIC OR THERAPEUTIC PROCEDURES'.

For licensing inquiries, please contact partnerships@abcam.com