JavaScript is disabled in your browser. Please enable JavaScript to view this website.
AB190659

Anti-BAFF-R antibody [EPR10914] - BSA and Azide free

Be the first to review this product! Submit a review

|

(0 Publication)

Rabbit Recombinant Monoclonal BAFF-R antibody. Carrier free. Suitable for IHC-P, ICC/IF and reacts with Human samples.

View Alternative Names

CD268, BAFFR, BR3, TNFRSF13C, Tumor necrosis factor receptor superfamily member 13C, B-cell-activating factor receptor, BAFF receptor, BLyS receptor 3, BAFF-R

3 Images
Immunocytochemistry/ Immunofluorescence - Anti-BAFF-R antibody [EPR10914] - BSA and Azide free (AB190659)
  • ICC/IF

Unknown

Immunocytochemistry/ Immunofluorescence - Anti-BAFF-R antibody [EPR10914] - BSA and Azide free (AB190659)

This data was developed using ab168389, the same antibody clone in a different buffer formulation.

Immunofluorescent analysis of Raji cells labeling BAFF-R with ab168389 at 1/50 dilution.

Immunohistochemistry (Formalin/PFA-fixed paraffin-embedded sections) - Anti-BAFF-R antibody [EPR10914] - BSA and Azide free (AB190659)
  • IHC-P

Unknown

Immunohistochemistry (Formalin/PFA-fixed paraffin-embedded sections) - Anti-BAFF-R antibody [EPR10914] - BSA and Azide free (AB190659)

This data was developed using ab168389, the same antibody clone in a different buffer formulation.

Immunohistochemical analysis of paraffin-embedded Human colon tissue labeling BAFF-R with ab168389 at 1/250 dilution.

Perform heat mediated antigen retrieval before commencing with IHC staining protocol.

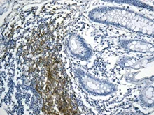
Immunohistochemistry (Formalin/PFA-fixed paraffin-embedded sections) - Anti-BAFF-R antibody [EPR10914] - BSA and Azide free (AB190659)
  • IHC-P

Unknown

Immunohistochemistry (Formalin/PFA-fixed paraffin-embedded sections) - Anti-BAFF-R antibody [EPR10914] - BSA and Azide free (AB190659)

This data was developed using ab168389, the same antibody clone in a different buffer formulation.

Immunohistochemical analysis of paraffin-embedded Human tonsil tissue labeling BAFF-R with ab168389 at 1/250 dilution.

Perform heat mediated antigen retrieval before commencing with IHC staining protocol.

Key facts

Host species

Rabbit

Clonality

Monoclonal

Clone number

EPR10914

Isotype

IgG

Carrier free

Yes

Reacts with

Human

Applications

IHC-P, ICC/IF

applications

Immunogen

The exact immunogen used to generate this antibody is proprietary information.

Reactivity data

{ "title": "Reactivity Data", "filters": { "stats": ["", "Species", "Dilution Info", "Notes"], "tabs": { "all-applications": {"fullname" : "All Applications", "shortname": "All Applications"}, "IHCP" : {"fullname" : "Immunohistochemistry (Formalin/PFA-fixed paraffin-embedded sections)", "shortname":"IHC-P"}, "ICCIF" : {"fullname" : "Immunocytochemistry/ Immunofluorescence", "shortname":"ICC/IF"}, "IP" : {"fullname" : "Immunoprecipitation", "shortname":"IP"}, "FlowCyt" : {"fullname" : "Flow Cytometry", "shortname":"Flow Cyt"}, "WB" : {"fullname" : "Western blot", "shortname":"WB"} }, "product-promise": { "all": "all", "testedAndGuaranteed": "tested", "guaranteed": "expected", "predicted": "predicted", "notRecommended": "not-recommended" } }, "values": { "Human": { "IHCP-species-checked": "testedAndGuaranteed", "IHCP-species-dilution-info": "", "IHCP-species-notes": "<p></p>", "ICCIF-species-checked": "testedAndGuaranteed", "ICCIF-species-dilution-info": "", "ICCIF-species-notes": "<p></p>", "IP-species-checked": "notRecommended", "IP-species-dilution-info": "", "IP-species-notes": "<p></p>", "FlowCyt-species-checked": "notRecommended", "FlowCyt-species-dilution-info": "", "FlowCyt-species-notes": "<p></p>", "WB-species-checked": "notRecommended", "WB-species-dilution-info": "", "WB-species-notes": "<p></p>" } } }

Product details

ab190659 is the carrier-free version of ab168389.

Patented technology
Our RabMAb® technology is a patented hybridoma-based technology for making rabbit monoclonal antibodies. For details on our patents, please refer to RabMAb® patents.

What are the advantages of a recombinant monoclonal antibody?
This product is a recombinant monoclonal antibody, which offers several advantages including:

  • - High batch-to-batch consistency and reproducibility
  • - Improved sensitivity and specificity
  • - Long-term security of supply
  • - Animal-free batch production

For more information, read more on recombinant antibodies.

Conjugation ready
Our carrier-free antibodies are typically supplied in a PBS-only formulation, purified and free of BSA, sodium azide and glycerol. This conjugation-ready format is designed for use with fluorochromes, metal isotopes, oligonucleotides, and enzymes, which makes them ideal for antibody labelling, functional and cell-based assays, flow-based assays (e.g. mass cytometry) and Multiplex Imaging applications.

Use our conjugation kits for antibody conjugates that are ready-to-use in as little as 20 minutes with 1 minute hands-on-time and 100% antibody recovery: available for fluorescent dyes, HRP, biotin and gold.

Compatibility
This product is compatible with the Maxpar® Antibody Labeling Kit from Fluidigm, without the need for antibody preparation. Maxpar® is a trademark of Fluidigm Canada Inc.

Properties and storage information

Form
Liquid
Purification technique
Affinity purification Protein A
Storage buffer
pH: 7.2 - 7.4 Constituents: PBS
Shipped at conditions
Blue Ice
Appropriate short-term storage conditions
+4°C
Appropriate long-term storage conditions
+4°C
Storage information
Do Not Freeze

Supplementary information

This supplementary information is collated from multiple sources and compiled automatically.

BAFF-R also known as B-cell activating factor receptor or BAFF receptor plays a critical role in B-cell development and survival. BAFF-R is a receptor for the BAFF protein also referred to as B lymphocyte stimulator (BLyS). BAFF-R has a molecular mass of approximately 19 kDa. The expression of BAFF-R is found on B cells with higher presence on mature B cells compared to immature ones. The receptor is recognized as the main signaling partner for BAFF which forms the basis for many of its immune functions.
Biological function summary

BAFF-R is essential for the maturation and maintenance of peripheral B cells. The receptor contributes to the regulation of immune responses by ensuring B-cell homeostasis. It does not generally form part of a larger protein complex but instead functions as a membrane-bound receptor that transmits signals upon binding with the BAFF ligand. This signaling cascade supports the survival and proliferation of B cells which is fundamental for the adaptive immune system.

Pathways

BAFF-R is deeply involved in the NF-κB signaling pathway which is important for immune regulation and cell survival. Upon binding with BAFF BAFF-R recruits associated proteins to initiate the pathway and as a result promotes gene transcription important for B-cell function. Another connected pathway involves AKT a protein kinase that regulates B-cell metabolism and differentiation. Both NF-κB and AKT pathways help facilitate the immune functions tied to B cells directly through BAFF-R signaling.

BAFF-R demonstrates a notable link with autoimmune diseases such as systemic lupus erythematosus (SLE) and rheumatoid arthritis. Overexpression of BAFF impacting interaction with BAFF-R contributes to such conditions by promoting the survival of autoreactive B cells. In SLE BAFF works with another receptor TACI influencing the proliferation of autoreactive cells. The persistent activation and dysfunction of the immune response through BAFF-R interactions exacerbate these autoimmune conditions.

Product protocols

For this product, it's our understanding that no specific protocols are required. You can visit:

Target data

B-cell receptor specific for TNFSF13B/TALL1/BAFF/BLyS. Promotes the survival of mature B-cells and the B-cell response.
See full target information TNFRSF13C

Product promise

We are committed to supporting your work with high-quality reagents, and we're here for you every step of the way. In the unlikely event that one of our products does not perform as expected, you're protected by our Product Promise.
For full details, please see our Terms & Conditions

Please note: All products are 'FOR RESEARCH USE ONLY. NOT FOR USE IN DIAGNOSTIC OR THERAPEUTIC PROCEDURES'.

For licensing inquiries, please contact partnerships@abcam.com