JavaScript is disabled in your browser. Please enable JavaScript to view this website.
AB211754

Anti-Bag1 antibody [Y166] - BSA and Azide free

Be the first to review this product! Submit a review

|

(1 Publication)

Rabbit Recombinant Monoclonal BAG1 antibody. Carrier free. Suitable for IHC-P, WB, ICC/IF and reacts with Human samples. Cited in 1 publication.

View Alternative Names

HAP, BAG1, BAG family molecular chaperone regulator 1, BAG-1, Bcl-2-associated athanogene 1

2 Images
Immunocytochemistry/ Immunofluorescence - Anti-Bag1 antibody [Y166] - BSA and Azide free (AB211754)
  • ICC/IF

Unknown

Immunocytochemistry/ Immunofluorescence - Anti-Bag1 antibody [Y166] - BSA and Azide free (AB211754)

Immunofluorescent staining of HeLa cells using ab32109 at 1/100 dilution.This data was developed using the same antibody clone in a different buffer formulation containing PBS, BSA, glycerol, and sodium azide (ab32109).

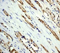
Immunohistochemistry (Formalin/PFA-fixed paraffin-embedded sections) - Anti-Bag1 antibody [Y166] - BSA and Azide free (AB211754)
  • IHC-P

Unknown

Immunohistochemistry (Formalin/PFA-fixed paraffin-embedded sections) - Anti-Bag1 antibody [Y166] - BSA and Azide free (AB211754)

Immunohistochemical analysis of paraffin-embedded human prostate carcinoma using ab32109 at 1/100 dilution.

This data was developed using the same antibody clone in a different buffer formulation containing PBS, BSA, glycerol, and sodium azide (ab32109).

Perform heat mediated antigen retrieval with citrate buffer pH 6 before commencing with IHC staining protocol.

Key facts

Host species

Rabbit

Clonality

Monoclonal

Clone number

Y166

Isotype

IgG

Carrier free

Yes

Reacts with

Human

Applications

IHC-P, ICC/IF, WB

applications

Immunogen

The exact immunogen used to generate this antibody is proprietary information.

Specificity

The antibody should recognize all three isoforms of Bag-1 (Bag-1L, Bag-1M and Bag-1S).

Reactivity data

{ "title": "Reactivity Data", "filters": { "stats": ["", "Species", "Dilution Info", "Notes"], "tabs": { "all-applications": {"fullname" : "All Applications", "shortname": "All Applications"}, "IHCP" : {"fullname" : "Immunohistochemistry (Formalin/PFA-fixed paraffin-embedded sections)", "shortname":"IHC-P"}, "FlowCyt" : {"fullname" : "Flow Cytometry", "shortname":"Flow Cyt"}, "WB" : {"fullname" : "Western blot", "shortname":"WB"}, "ICCIF" : {"fullname" : "Immunocytochemistry/ Immunofluorescence", "shortname":"ICC/IF"} }, "product-promise": { "all": "all", "testedAndGuaranteed": "tested", "guaranteed": "expected", "predicted": "predicted", "notRecommended": "not-recommended" } }, "values": { "Human": { "IHCP-species-checked": "testedAndGuaranteed", "IHCP-species-dilution-info": "", "IHCP-species-notes": "<p></p> Perform heat-mediated antigen retrieval with citrate buffer pH 6 before commencing with IHC staining protocol.", "FlowCyt-species-checked": "notRecommended", "FlowCyt-species-dilution-info": "", "FlowCyt-species-notes": "<p></p>", "WB-species-checked": "guaranteed", "WB-species-dilution-info": "", "WB-species-notes": "<p></p>", "ICCIF-species-checked": "testedAndGuaranteed", "ICCIF-species-dilution-info": "", "ICCIF-species-notes": "<p></p>" }, "Mouse": { "IHCP-species-checked": "predicted", "IHCP-species-dilution-info": "", "IHCP-species-notes": "", "FlowCyt-species-checked": "notRecommended", "FlowCyt-species-dilution-info": "", "FlowCyt-species-notes": "", "WB-species-checked": "predicted", "WB-species-dilution-info": "", "WB-species-notes": "", "ICCIF-species-checked": "predicted", "ICCIF-species-dilution-info": "", "ICCIF-species-notes": "" }, "Rat": { "IHCP-species-checked": "predicted", "IHCP-species-dilution-info": "", "IHCP-species-notes": "", "FlowCyt-species-checked": "notRecommended", "FlowCyt-species-dilution-info": "", "FlowCyt-species-notes": "", "WB-species-checked": "predicted", "WB-species-dilution-info": "", "WB-species-notes": "", "ICCIF-species-checked": "predicted", "ICCIF-species-dilution-info": "", "ICCIF-species-notes": "" } } }

Product details

ab211754 is the carrier-free version of ab32109.

Patented technology
Our RabMAb® technology is a patented hybridoma-based technology for making rabbit monoclonal antibodies. For details on our patents, please refer to RabMAb® patents.

What are the advantages of a recombinant monoclonal antibody?
This product is a recombinant monoclonal antibody, which offers several advantages including:

  • - High batch-to-batch consistency and reproducibility
  • - Improved sensitivity and specificity
  • - Long-term security of supply
  • - Animal-free batch production

For more information, read more on recombinant antibodies.

Conjugation ready
Our carrier-free antibodies are typically supplied in a PBS-only formulation, purified and free of BSA, sodium azide and glycerol. This conjugation-ready format is designed for use with fluorochromes, metal isotopes, oligonucleotides, and enzymes, which makes them ideal for antibody labelling, functional and cell-based assays, flow-based assays (e.g. mass cytometry) and Multiplex Imaging applications.

Use our conjugation kits for antibody conjugates that are ready-to-use in as little as 20 minutes with 1 minute hands-on-time and 100% antibody recovery: available for fluorescent dyes, HRP, biotin and gold.

Compatibility
This product is compatible with the Maxpar® Antibody Labeling Kit from Fluidigm, without the need for antibody preparation. Maxpar® is a trademark of Fluidigm Canada Inc.

Properties and storage information

Form
Liquid
Purification technique
Affinity purification Protein A
Storage buffer
pH: 7.2 - 7.4 Constituents: PBS
Shipped at conditions
Blue Ice
Appropriate short-term storage conditions
+4°C
Appropriate long-term storage conditions
+4°C
Storage information
Do Not Freeze

Supplementary information

This supplementary information is collated from multiple sources and compiled automatically.

Bag1 protein also known as Bcl-2-associated athanogene 1 has a molecular mass of approximately 46 kDa. The protein is ubiquitously expressed in various tissues and cells indicating its broad functional significance. Bag1 serves as a co-chaperone interacting directly with heat shock protein 70 (Hsp70) to modulate its activity. This interaction affects the protein folding process ensuring cellular proteins maintain their proper conformation.
Biological function summary

Bag1 plays essential roles in regulating cell survival and apoptosis. It can exist as part of a larger protein complex and is known to bind with the anti-apoptotic protein Bcl-2 enhancing cell survival. By interacting with these proteins Bag1 helps control the delicate balance between cell death and survival critical for normal cellular function and response to stress. Bag1 also affects transcription regulation cell cycle progression and cellular response to stress stimuli.

Pathways

Bag1 integrates into cellular stress response and apoptotic signaling pathways. Bag1's interaction with Hsp70 associates it with the heat shock response pathway which upregulates molecular chaperones to protect cells during stress. Additionally its binding to Bcl-2 situates it within the apoptotic pathway where it supports cell survival by inhibiting caspase activation. The protein further interacts with key regulatory proteins like Raf-1 linking it to the MAPK/ERK signaling pathway involved in cell growth and division.

Dysregulation of Bag1 connects to cancer development and neurodegenerative diseases. Overexpression of Bag1 has associations with cancers such as breast cancer where it promotes tumor growth by inhibiting apoptosis. Bag1's ability to interact with the Bcl-2 protein makes it a significant player in cancer pathways. Additionally changes in Bag1 expression and function have been observed in Alzheimer's disease highlighting its role in neuron survival and stress response. Bag1's involvement with proteins like Hsp70 and Bcl-2 highlights its potential as a therapeutic target in these conditions.

Product protocols

For this product, it's our understanding that no specific protocols are required. You can visit:

Target data

Co-chaperone for HSP70 and HSC70 chaperone proteins. Acts as a nucleotide-exchange factor (NEF) promoting the release of ADP from the HSP70 and HSC70 proteins thereby triggering client/substrate protein release. Nucleotide release is mediated via its binding to the nucleotide-binding domain (NBD) of HSPA8/HSC70 where as the substrate release is mediated via its binding to the substrate-binding domain (SBD) of HSPA8/HSC70 (PubMed : 24318877, PubMed : 27474739, PubMed : 9873016). Inhibits the pro-apoptotic function of PPP1R15A, and has anti-apoptotic activity (PubMed : 12724406). Markedly increases the anti-cell death function of BCL2 induced by various stimuli (PubMed : 9305631). Involved in the STUB1-mediated proteasomal degradation of ESR1 in response to age-related circulating estradiol (17-beta-estradiol/E2) decline, thereby promotes neuronal apoptosis in response to ischemic reperfusion injury (By similarity).
See full target information BAG1

Publications (1)

Recent publications for all applications. Explore the full list and refine your search

Oncogene 29:527-38 PubMed19881545

2009

BAG-1 overexpression attenuates luminal apoptosis in MCF-10A mammary epithelial cells through enhanced RAF-1 activation.

Applications

ICC/IF

Species

Human

L R Anderson,R L Sutherland,A J Butt
View all publications

Product promise

We are committed to supporting your work with high-quality reagents, and we're here for you every step of the way. In the unlikely event that one of our products does not perform as expected, you're protected by our Product Promise.
For full details, please see our Terms & Conditions

Please note: All products are 'FOR RESEARCH USE ONLY. NOT FOR USE IN DIAGNOSTIC OR THERAPEUTIC PROCEDURES'.

For licensing inquiries, please contact partnerships@abcam.com