JavaScript is disabled in your browser. Please enable JavaScript to view this website.
AB193463

Anti-Bag3 antibody

Be the first to review this product! Submit a review

|

(0 Publication)

Rabbit Polyclonal BAG3 antibody. Suitable for IHC-P, IP, WB and reacts with Human samples. Immunogen corresponding to Synthetic Peptide within Human BAG3 aa 300-350.

View Alternative Names

BIS, BAG3, BAG family molecular chaperone regulator 3, BAG-3, Bcl-2-associated athanogene 3, Bcl-2-binding protein Bis, Docking protein CAIR-1

3 Images
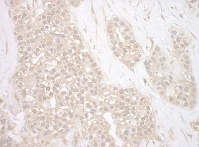
Immunohistochemistry (Formalin/PFA-fixed paraffin-embedded sections) - Anti-Bag3 antibody (AB193463)
  • IHC-P

Supplier Data

Immunohistochemistry (Formalin/PFA-fixed paraffin-embedded sections) - Anti-Bag3 antibody (AB193463)

Immunohistochemical analysis of formalin-fixed, paraffin-embedded Human breast carcinoma tissue labeling Bag3 with ab193463 at 1/200 dilution with DAB staining.

Immunoprecipitation - Anti-Bag3 antibody (AB193463)
  • IP

Supplier Data

Immunoprecipitation - Anti-Bag3 antibody (AB193463)

Detection of Bag3 in immunoprecipitates of HeLa whole cell lysate (1 mg for IP, 20% of IP loaded) using ab193463 at 3 μg/mg lysate for IP and at 0.4 μg/ml for subsequent Western blot detection (Lane 1). Lane 2 represents control IgG IP.

Detection : Chemiluminescence with an exposure time of 10 seconds.

All lanes:

Immunoprecipitation - Anti-Bag3 antibody (ab193463)

Predicted band size: 62 kDa

false

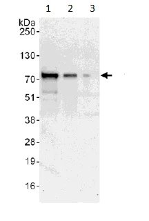
Western blot - Anti-Bag3 antibody (AB193463)
  • WB

Supplier Data

Western blot - Anti-Bag3 antibody (AB193463)

All lanes:

Western blot - Anti-Bag3 antibody (ab193463) at 0.04 µg/mL

Lane 1:

HeLa whole cell lysate at 50 µg

Lane 2:

HeLa whole cell lysate at 15 µg

Lane 3:

HeLa whole cell lysate at 5 µg

Predicted band size: 62 kDa

true

Exposure time: 30s

Key facts

Host species

Rabbit

Clonality

Polyclonal

Isotype

IgG

Carrier free

No

Reacts with

Human

Applications

IHC-P, IP, WB

applications

Immunogen

Synthetic Peptide within Human BAG3 aa 300-350. The exact immunogen used to generate this antibody is proprietary information.

O95817

Reactivity data

{ "title": "Reactivity Data", "filters": { "stats": ["", "Species", "Dilution Info", "Notes"], "tabs": { "all-applications": {"fullname" : "All Applications", "shortname": "All Applications"}, "IHCP" : {"fullname" : "Immunohistochemistry (Formalin/PFA-fixed paraffin-embedded sections)", "shortname":"IHC-P"}, "IP" : {"fullname" : "Immunoprecipitation", "shortname":"IP"}, "WB" : {"fullname" : "Western blot", "shortname":"WB"} }, "product-promise": { "all": "all", "testedAndGuaranteed": "tested", "guaranteed": "expected", "predicted": "predicted", "notRecommended": "not-recommended" } }, "values": { "Human": { "IHCP-species-checked": "testedAndGuaranteed", "IHCP-species-dilution-info": "1/100 - 1/500", "IHCP-species-notes": "<p></p> Perform heat-mediated antigen retrieval with citrate buffer pH 6 before commencing with IHC staining protocol.", "IP-species-checked": "testedAndGuaranteed", "IP-species-dilution-info": "2-5 µg/mg of lysate", "IP-species-notes": "<p></p>", "WB-species-checked": "testedAndGuaranteed", "WB-species-dilution-info": "1/2000 - 1/10000", "WB-species-notes": "<p></p>" } } }

Properties and storage information

Form
Liquid
Purification technique
Affinity purification Immunogen
Purification notes
ab193463 was affinity purified using an epitope specific to Bag3 immobilized on solid support.
Storage buffer
pH: 6.8 - 7.4 Preservative: 0.09% Sodium azide Constituents: 99% Tris buffered saline, 0.1% BSA
Shipped at conditions
Blue Ice
Appropriate short-term storage duration
1-2 weeks
Appropriate short-term storage conditions
+4°C
Appropriate long-term storage conditions
-20°C
Aliquoting information
Upon delivery aliquot
Storage information
Avoid freeze / thaw cycle

Supplementary information

This supplementary information is collated from multiple sources and compiled automatically.

The Bcl-2-associated athanogene 3 commonly known as Bag3 is a protein with a molecular weight of approximately 74 kDa. It plays an important role in apoptosis regulation and stress responses by interacting with heat shock proteins. Bag3 is expressed in various tissues including the heart skeletal muscles and certain types of neurons. It functions mechanically by binding to chaperones like Hsp70 modulating their activity and helping in protein folding and degradation processes.
Biological function summary

Bag3 contributes to cell survival by assisting in protein homeostasis and mitigating stress-related cellular damage. It acts as a co-chaperone and forms part of complexes with Hsp70 HspB8 and CHIP among others. These interactions enhance the cellular capacity to handle misfolded proteins preventing the aggregation that could lead to cell toxicity. In muscle cells Bag3 plays a role in maintaining structural integrity by participating in the assembly of myofibrils critical for muscle function.

Pathways

The protein is involved in autophagy and apoptosis regulation. It actively participates in the ubiquitin-proteasome system and chaperone-mediated autophagy collaborating closely with proteins like HspB8 and Hsp70. The integration of Bag3 within these pathways highlights its involvement in removing damaged proteins and preserving cellular function during stress conditions. Additionally Bag3 contributes to the regulation of the NF-kB pathway which is involved in the immune response and inflammation.

Mutations or dysregulation of Bag3 associate with conditions such as myopathy and certain cancers. In myopathy aberrations in Bag3 affect muscle resilience and repair leading to structural muscle defects. In cancer Bag3's role in inhibiting apoptosis promotes tumor cell survival making it a target for therapeutic interventions. The protein has connections with p53 in cancer contexts where it influences cell death and survival decisions. Understanding Bag3's interactions and functions in these diseases opens new opportunities for developing treatments targeting these pathways.

Product protocols

For this product, it's our understanding that no specific protocols are required. You can visit:

Target data

Co-chaperone for HSP70 and HSC70 chaperone proteins. Acts as a nucleotide-exchange factor (NEF) promoting the release of ADP from the HSP70 and HSC70 proteins thereby triggering client/substrate protein release. Nucleotide release is mediated via its binding to the nucleotide-binding domain (NBD) of HSPA8/HSC70 where as the substrate release is mediated via its binding to the substrate-binding domain (SBD) of HSPA8/HSC70 (PubMed : 27474739, PubMed : 9873016). Has anti-apoptotic activity (PubMed : 10597216). Plays a role in the HSF1 nucleocytoplasmic transport (PubMed : 26159920).
See full target information BAG3

Product promise

We are committed to supporting your work with high-quality reagents, and we're here for you every step of the way. In the unlikely event that one of our products does not perform as expected, you're protected by our Product Promise.
For full details, please see our Terms & Conditions

Please note: All products are 'FOR RESEARCH USE ONLY. NOT FOR USE IN DIAGNOSTIC OR THERAPEUTIC PROCEDURES'.

For licensing inquiries, please contact partnerships@abcam.com