JavaScript is disabled in your browser. Please enable JavaScript to view this website.
AB246225

Anti-Bag3 antibody [EPR20207-58-4]

Be the first to review this product! Submit a review

|

(0 Publication)

Rabbit Recombinant Monoclonal BAG3 antibody. Suitable for WB, ICC/IF, Flow Cyt (Intra) and reacts with Human samples.

View Alternative Names

BIS, BAG3, BAG family molecular chaperone regulator 3, BAG-3, Bcl-2-associated athanogene 3, Bcl-2-binding protein Bis, Docking protein CAIR-1

3 Images
Flow Cytometry (Intracellular) - Anti-Bag3 antibody [EPR20207-58-4] (AB246225)
  • Flow Cyt (Intra)

Unknown

Flow Cytometry (Intracellular) - Anti-Bag3 antibody [EPR20207-58-4] (AB246225)

Intracellular flow cytometric analysis of 4% paraformaldehyde-fixed, 90% methanol-permeabilized HL-60 (human promyelocytic leukemia cell line) (Left) and HeLa (human epithelial cell line from cervix adenocarcinoma) (Right) cells labeling Bag3 with ab246225 at 1/70 dilution (red) compared witha Rabbit IgG, monoclonal [EPR25A] - Isotype Control (ab172730) (black) and an unlabeled control (cells without incubation with primary antibody and secondary antibody) (blue). Goat Anti-Rabbit IgG H&L (Alexa Fluor® 488) (ab150077), at 1/2000 dilution was used as the secondary antibody.

Negative control : HL-60 (PMID : 17974966).

Immunocytochemistry/ Immunofluorescence - Anti-Bag3 antibody [EPR20207-58-4] (AB246225)
  • ICC/IF

Unknown

Immunocytochemistry/ Immunofluorescence - Anti-Bag3 antibody [EPR20207-58-4] (AB246225)

Immunofluorescent analysis of 4% paraformaldehyde-fixed, 0.1% Triton X-100 permeabilized HeLa (human epithelial cell line from cervix adenocarcinoma) and HL-60 (human promyelocytic leukemia cell line) cells labeling Bag3 with ab246225 at 1/70 dilution, followed by Goat Anti-Rabbit IgG H&L (Alexa Fluor® 488) (ab150077) secondary antibody at 1/1000 dilution (green). Confocal image showing cytoplasmic and weakly nuclear staining in HeLa cell line. Negative control : HL-60 (PMID : 17974966).

The nuclear counter stain is DAPI (blue). Tubulin is detected with Anti-alpha Tubulin antibody [DM1A] - Microtubule Marker (Alexa Fluor® 594) (ab195889) at 1/200 dilution (red).

Control : PBS instead of primary antibody, followed by Goat Anti-Rabbit IgG H&L (Alexa Fluor® 488) (ab150077) secondary antibody at 1/1000 dilution.

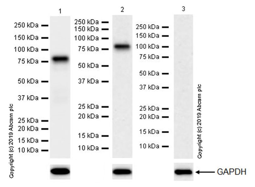
Western blot - Anti-Bag3 antibody [EPR20207-58-4] (AB246225)
  • WB

Unknown

Western blot - Anti-Bag3 antibody [EPR20207-58-4] (AB246225)

Exposure time : Lane 1 : 30 seconds; Lane 2 : 170 seconds; Lane 3 : 180 seconds.

Blocking and dilution buffer : 5% NFDM/TBST.

Either Goat Anti-Rabbit IgG H&L (HRP) (ab97051) or VeriBlot for IP Detection Reagent (HRP) (ab131366), were used for detection.

The expression profile/ molecular weight observed is consistent with what has been described in the literature (PMID : 17974966).

Negative control : HL-60 (PMID : 17974966).

All lanes:

Western blot - Anti-Bag3 antibody [EPR20207-58-4] (ab246225) at 1/1000 dilution

Lane 1:

Human skeletal muscle lysate at 20 µg

Lane 2:

HeLa (human epithelial cell line from cervix adenocarcinoma) whole cell lysate at 20 µg

Lane 3:

HL-60 (human promyelocytic leukemia cell line) whole cell lysate at 20 µg

Predicted band size: 62 kDa

Observed band size: 80 kDa

false

  • Carrier free

    Anti-Bag3 antibody [EPR20207-58-4] - BSA and Azide free

Key facts

Host species

Rabbit

Clonality

Monoclonal

Clone number

EPR20207-58-4

Isotype

IgG

Carrier free

No

Reacts with

Human

Applications

WB, Flow Cyt (Intra), ICC/IF

applications

Immunogen

The exact immunogen used to generate this antibody is proprietary information.

Reactivity data

{ "title": "Reactivity Data", "filters": { "stats": ["", "Species", "Dilution Info", "Notes"], "tabs": { "all-applications": {"fullname" : "All Applications", "shortname": "All Applications"}, "IP" : {"fullname" : "Immunoprecipitation", "shortname":"IP"}, "WB" : {"fullname" : "Western blot", "shortname":"WB"}, "IHCP" : {"fullname" : "Immunohistochemistry (Formalin/PFA-fixed paraffin-embedded sections)", "shortname":"IHC-P"}, "ICCIF" : {"fullname" : "Immunocytochemistry/ Immunofluorescence", "shortname":"ICC/IF"}, "FlowCytIntra" : {"fullname" : "Flow Cytometry (Intracellular)", "shortname":"Flow Cyt (Intra)"} }, "product-promise": { "all": "all", "testedAndGuaranteed": "tested", "guaranteed": "expected", "predicted": "predicted", "notRecommended": "not-recommended" } }, "values": { "Human": { "IP-species-checked": "notRecommended", "IP-species-dilution-info": "", "IP-species-notes": "<p></p>", "WB-species-checked": "testedAndGuaranteed", "WB-species-dilution-info": "1/1000", "WB-species-notes": "<p></p>", "IHCP-species-checked": "notRecommended", "IHCP-species-dilution-info": "", "IHCP-species-notes": "<p></p>", "ICCIF-species-checked": "testedAndGuaranteed", "ICCIF-species-dilution-info": "1/70", "ICCIF-species-notes": "<p></p>", "FlowCytIntra-species-checked": "testedAndGuaranteed", "FlowCytIntra-species-dilution-info": "1/70", "FlowCytIntra-species-notes": "<p></p>" } } }

Product details

Patented technology
Our RabMAb® technology is a patented hybridoma-based technology for making rabbit monoclonal antibodies. For details on our patents, please refer to RabMAb® patents.

What are the advantages of a recombinant monoclonal antibody?
This product is a recombinant monoclonal antibody, which offers several advantages including:

  • - High batch-to-batch consistency and reproducibility
  • - Improved sensitivity and specificity
  • - Long-term security of supply
  • - Animal-free batch production

For more information, read more on recombinant antibodies.

Properties and storage information

Form
Liquid
Purification technique
Affinity purification Protein A
Storage buffer
pH: 7.2 - 7.4 Preservative: 0.01% Sodium azide Constituents: PBS, 40% Glycerol (glycerin, glycerine), 0.05% BSA
Shipped at conditions
Blue Ice
Appropriate short-term storage duration
1-2 weeks
Appropriate short-term storage conditions
+4°C
Appropriate long-term storage conditions
-20°C
Aliquoting information
Upon delivery aliquot
Storage information
Avoid freeze / thaw cycle

Supplementary information

This supplementary information is collated from multiple sources and compiled automatically.

The Bcl-2-associated athanogene 3 commonly known as Bag3 is a protein with a molecular weight of approximately 74 kDa. It plays an important role in apoptosis regulation and stress responses by interacting with heat shock proteins. Bag3 is expressed in various tissues including the heart skeletal muscles and certain types of neurons. It functions mechanically by binding to chaperones like Hsp70 modulating their activity and helping in protein folding and degradation processes.
Biological function summary

Bag3 contributes to cell survival by assisting in protein homeostasis and mitigating stress-related cellular damage. It acts as a co-chaperone and forms part of complexes with Hsp70 HspB8 and CHIP among others. These interactions enhance the cellular capacity to handle misfolded proteins preventing the aggregation that could lead to cell toxicity. In muscle cells Bag3 plays a role in maintaining structural integrity by participating in the assembly of myofibrils critical for muscle function.

Pathways

The protein is involved in autophagy and apoptosis regulation. It actively participates in the ubiquitin-proteasome system and chaperone-mediated autophagy collaborating closely with proteins like HspB8 and Hsp70. The integration of Bag3 within these pathways highlights its involvement in removing damaged proteins and preserving cellular function during stress conditions. Additionally Bag3 contributes to the regulation of the NF-kB pathway which is involved in the immune response and inflammation.

Mutations or dysregulation of Bag3 associate with conditions such as myopathy and certain cancers. In myopathy aberrations in Bag3 affect muscle resilience and repair leading to structural muscle defects. In cancer Bag3's role in inhibiting apoptosis promotes tumor cell survival making it a target for therapeutic interventions. The protein has connections with p53 in cancer contexts where it influences cell death and survival decisions. Understanding Bag3's interactions and functions in these diseases opens new opportunities for developing treatments targeting these pathways.

Product protocols

For this product, it's our understanding that no specific protocols are required. You can visit:

Target data

Co-chaperone for HSP70 and HSC70 chaperone proteins. Acts as a nucleotide-exchange factor (NEF) promoting the release of ADP from the HSP70 and HSC70 proteins thereby triggering client/substrate protein release. Nucleotide release is mediated via its binding to the nucleotide-binding domain (NBD) of HSPA8/HSC70 where as the substrate release is mediated via its binding to the substrate-binding domain (SBD) of HSPA8/HSC70 (PubMed : 27474739, PubMed : 9873016). Has anti-apoptotic activity (PubMed : 10597216). Plays a role in the HSF1 nucleocytoplasmic transport (PubMed : 26159920).
See full target information BAG3

Product promise

We are committed to supporting your work with high-quality reagents, and we're here for you every step of the way. In the unlikely event that one of our products does not perform as expected, you're protected by our Product Promise.
For full details, please see our Terms & Conditions

Please note: All products are 'FOR RESEARCH USE ONLY. NOT FOR USE IN DIAGNOSTIC OR THERAPEUTIC PROCEDURES'.

For licensing inquiries, please contact partnerships@abcam.com