JavaScript is disabled in your browser. Please enable JavaScript to view this website.
AB188788

Anti-BAI3 antibody - N-terminal

Be the first to review this product! Submit a review

|

(0 Publication)

Rabbit Polyclonal BAI3 antibody. N-terminal. Suitable for IHC-P and reacts with Human samples. Immunogen corresponding to Synthetic Peptide within Human ADGRB3.

View Alternative Names

BAI3, KIAA0550, ADGRB3, Adhesion G protein-coupled receptor B3, Brain-specific angiogenesis inhibitor 3

1 Images
Immunohistochemistry (Formalin/PFA-fixed paraffin-embedded sections) - Anti-BAI3 antibody - N-terminal (AB188788)
  • IHC-P

Supplier Data

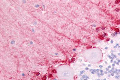
Immunohistochemistry (Formalin/PFA-fixed paraffin-embedded sections) - Anti-BAI3 antibody - N-terminal (AB188788)

Immunohistochemical analysis of formalin-fixed, paraffin-embedded human brain, cerebellum tissue labeling BAI3 with ab188788 at 20μg/ml.

Key facts

Host species

Rabbit

Clonality

Polyclonal

Isotype

IgG

Carrier free

No

Reacts with

Human

Applications

IHC-P

applications

Immunogen

Synthetic Peptide within Human ADGRB3. The exact immunogen used to generate this antibody is proprietary information.

O60242

Specificity

BLAST analysis of the peptide immunogen showed no homology with other Human proteins, except ABCA13 (50%).

Reactivity data

{ "title": "Reactivity Data", "filters": { "stats": ["", "Species", "Dilution Info", "Notes"], "tabs": { "all-applications": {"fullname" : "All Applications", "shortname": "All Applications"}, "IHCP" : {"fullname" : "Immunohistochemistry (Formalin/PFA-fixed paraffin-embedded sections)", "shortname":"IHC-P"} }, "product-promise": { "all": "all", "testedAndGuaranteed": "tested", "guaranteed": "expected", "predicted": "predicted", "notRecommended": "not-recommended" } }, "values": { "Human": { "IHCP-species-checked": "testedAndGuaranteed", "IHCP-species-dilution-info": "20 µg/mL", "IHCP-species-notes": "<p></p> Perform heat-mediated antigen retrieval before commencing with IHC staining protocol." }, "Mouse": { "IHCP-species-checked": "predicted", "IHCP-species-dilution-info": "", "IHCP-species-notes": "" }, "Rat": { "IHCP-species-checked": "predicted", "IHCP-species-dilution-info": "", "IHCP-species-notes": "" }, "Chicken": { "IHCP-species-checked": "predicted", "IHCP-species-dilution-info": "", "IHCP-species-notes": "" }, "Common marmoset": { "IHCP-species-checked": "predicted", "IHCP-species-dilution-info": "", "IHCP-species-notes": "" }, "Horse": { "IHCP-species-checked": "predicted", "IHCP-species-dilution-info": "", "IHCP-species-notes": "" } } }

Properties and storage information

Form
Liquid
Purification technique
Affinity purification Immunogen
Storage buffer
pH: 7.4 Preservative: 0.1% Sodium azide Constituents: 99% PBS
Shipped at conditions
Blue Ice
Appropriate short-term storage duration
1-2 weeks
Appropriate short-term storage conditions
+4°C
Appropriate long-term storage conditions
-20°C
Aliquoting information
Upon delivery aliquot
Storage information
Avoid freeze / thaw cycle

Product protocols

For this product, it's our understanding that no specific protocols are required. You can visit:

Target data

Receptor that plays a role in the regulation of synaptogenesis and dendritic spine formation at least partly via interaction with ELMO1 and RAC1 activity (By similarity). Promotes myoblast fusion through ELMO/DOCK1 (PubMed : 24567399).
See full target information ADGRB3

Product promise

We are committed to supporting your work with high-quality reagents, and we're here for you every step of the way. In the unlikely event that one of our products does not perform as expected, you're protected by our Product Promise.
For full details, please see our Terms & Conditions

Associated Products

Select an associated product type
Alternative Product
Primary Antibodies

AB200684

Anti-BAI3 antibody

primary-antibodies

bai3-antibody-ab200684

0

(0 reviews)

Alternative Product
Primary Antibodies

AB189121

Anti-BAI3 antibody - C-terminal

primary-antibodies

bai3-antibody-c-terminal-ab189121

3

(1 reviews)

Please note: All products are 'FOR RESEARCH USE ONLY. NOT FOR USE IN DIAGNOSTIC OR THERAPEUTIC PROCEDURES'.

For licensing inquiries, please contact partnerships@abcam.com