JavaScript is disabled in your browser. Please enable JavaScript to view this website.
AB251753

Anti-BAIAP2L1/IRTKS antibody

Be the first to review this product! Submit a review

|

(1 Publication)

Rabbit Polyclonal BAIAP2L1/IRTKS antibody. Suitable for IHC-P, WB, ICC/IF and reacts with Human samples. Cited in 1 publication. Immunogen corresponding to Recombinant Fragment Protein within Human BAIAP2L1 aa 400 to C-terminus.

View Alternative Names

IRTKS, BAIAP2L1, BAR/IMD domain-containing adapter protein 2-like 1, Brain-specific angiogenesis inhibitor 1-associated protein 2-like protein 1, Insulin receptor tyrosine kinase substrate, BAI1-associated protein 2-like protein 1

5 Images
Immunocytochemistry/ Immunofluorescence - Anti-BAIAP2L1/IRTKS antibody (AB251753)
  • ICC/IF

Unknown

Immunocytochemistry/ Immunofluorescence - Anti-BAIAP2L1/IRTKS antibody (AB251753)

PFA-fixed, Triton X-100 permeabilized U-2 OS (human bone osteosarcoma epithelial cell line) cells stained for BAIAP2L1/IRTKS (green) using ab251753 at 4 μg/ml in ICC/IF.

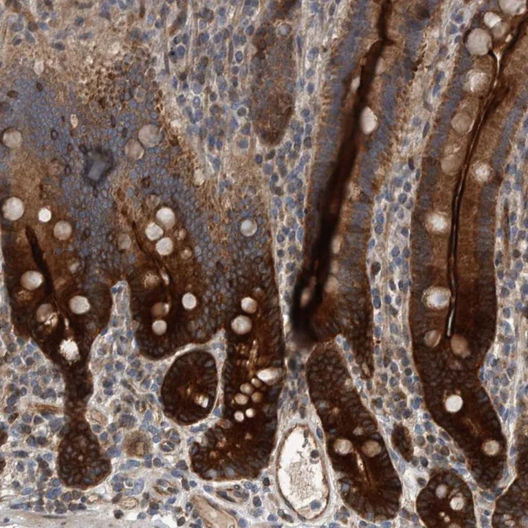
Immunohistochemistry (Formalin/PFA-fixed paraffin-embedded sections) - Anti-BAIAP2L1/IRTKS antibody (AB251753)
  • IHC-P

Unknown

Immunohistochemistry (Formalin/PFA-fixed paraffin-embedded sections) - Anti-BAIAP2L1/IRTKS antibody (AB251753)

Paraffin-embedded human duodenum tissue stained for BAIAP2L1/IRTKS using ab251753 at 1/200 dilution in immunohistochemical analysis.

Western blot - Anti-BAIAP2L1/IRTKS antibody (AB251753)
  • WB

Unknown

Western blot - Anti-BAIAP2L1/IRTKS antibody (AB251753)

All lanes:

Western blot - Anti-BAIAP2L1/IRTKS antibody (ab251753) at 0.4 µg/mL

Lane 1:

Caco-2 (human colorectal adenocarcinoma cell line) whole cell lysate

Lane 2:

U-251 MG (human brain glioma cell line) whole cell lysate

Predicted band size: 57 kDa

false

Western blot - Anti-BAIAP2L1/IRTKS antibody (AB251753)
  • WB

Unknown

Western blot - Anti-BAIAP2L1/IRTKS antibody (AB251753)

All lanes:

Western blot - Anti-BAIAP2L1/IRTKS antibody (ab251753) at 0.4 µg/mL

Lane 1:

RT4 (human urinary bladder cancer cell line) whole cell lysate

Lane 2:

U-251 MG (human brain glioma cell line) whole cell lysate

Predicted band size: 57 kDa

false

Immunohistochemistry (Formalin/PFA-fixed paraffin-embedded sections) - Anti-BAIAP2L1/IRTKS antibody (AB251753)
  • IHC-P

Unknown

Immunohistochemistry (Formalin/PFA-fixed paraffin-embedded sections) - Anti-BAIAP2L1/IRTKS antibody (AB251753)

Paraffin-embedded human skeletal muscle tissue stained for BAIAP2L1/IRTKS using ab251753 at 1/200 dilution in immunohistochemical analysis.

Key facts

Host species

Rabbit

Clonality

Polyclonal

Isotype

IgG

Carrier free

No

Reacts with

Human

Applications

IHC-P, WB, ICC/IF

applications

Immunogen

Recombinant Fragment Protein within Human BAIAP2L1 aa 400 to C-terminus. The exact immunogen used to generate this antibody is proprietary information.

Q9UHR4

Reactivity data

{ "title": "Reactivity Data", "filters": { "stats": ["", "Species", "Dilution Info", "Notes"], "tabs": { "all-applications": {"fullname" : "All Applications", "shortname": "All Applications"}, "IHCP" : {"fullname" : "Immunohistochemistry (Formalin/PFA-fixed paraffin-embedded sections)", "shortname":"IHC-P"}, "WB" : {"fullname" : "Western blot", "shortname":"WB"}, "ICCIF" : {"fullname" : "Immunocytochemistry/ Immunofluorescence", "shortname":"ICC/IF"} }, "product-promise": { "all": "all", "testedAndGuaranteed": "tested", "guaranteed": "expected", "predicted": "predicted", "notRecommended": "not-recommended" } }, "values": { "Human": { "IHCP-species-checked": "testedAndGuaranteed", "IHCP-species-dilution-info": "1/200 - 1/500", "IHCP-species-notes": "<p></p> Perform heat-mediated antigen retrieval with citrate buffer pH 6 before commencing with IHC staining protocol.", "WB-species-checked": "testedAndGuaranteed", "WB-species-dilution-info": "0.04-0.4 µg/mL", "WB-species-notes": "<p></p>", "ICCIF-species-checked": "testedAndGuaranteed", "ICCIF-species-dilution-info": "0.25-2 µg/mL", "ICCIF-species-notes": "<p>Fixation/Permeabilization: PFA/Triton X-100.</p>" } } }

Properties and storage information

Form
Liquid
Purification technique
Affinity purification Immunogen
Storage buffer
pH: 7.2 Preservative: 0.02% Sodium azide Constituents: PBS, 40% Glycerol (glycerin, glycerine)
Shipped at conditions
Blue Ice
Appropriate short-term storage duration
1-2 weeks
Appropriate short-term storage conditions
+4°C
Appropriate long-term storage conditions
-20°C
Aliquoting information
Upon delivery aliquot
Storage information
Avoid freeze / thaw cycle

Product protocols

For this product, it's our understanding that no specific protocols are required. You can visit:

Target data

May function as adapter protein. Involved in the formation of clusters of actin bundles. Plays a role in the reorganization of the actin cytoskeleton in response to bacterial infection.
See full target information BAIAP2L1

Publications (1)

Recent publications for all applications. Explore the full list and refine your search

Nature communications 12:6653 PubMed34789768

2021

RNF19A-mediated ubiquitination of BARD1 prevents BRCA1/BARD1-dependent homologous recombination.

Applications

Unspecified application

Species

Unspecified reactive species

Qian Zhu,Jinzhou Huang,Hongyang Huang,Huan Li,Peiqiang Yi,Jake A Kloeber,Jian Yuan,Yuping Chen,Min Deng,Kuntian Luo,Ming Gao,Guijie Guo,Xinyi Tu,Ping Yin,Yong Zhang,Jun Su,Jiayi Chen,Zhenkun Lou
View all publications

Product promise

We are committed to supporting your work with high-quality reagents, and we're here for you every step of the way. In the unlikely event that one of our products does not perform as expected, you're protected by our Product Promise.
For full details, please see our Terms & Conditions

Please note: All products are 'FOR RESEARCH USE ONLY. NOT FOR USE IN DIAGNOSTIC OR THERAPEUTIC PROCEDURES'.

For licensing inquiries, please contact partnerships@abcam.com