JavaScript is disabled in your browser. Please enable JavaScript to view this website.
AB252251

Anti-Bak antibody [7D10] - BSA and Azide free

Be the first to review this product! Submit a review

|

(0 Publication)

Rat Recombinant Monoclonal BAK antibody. Carrier free. Suitable for WB, IHC-P and reacts with Human samples.

View Alternative Names

BAK, BCL2L7, CDN1, BAK1, Bcl-2 homologous antagonist/killer, Apoptosis regulator BAK, Bcl-2-like protein 7, Bcl2-L-7

4 Images
Immunohistochemistry (Formalin/PFA-fixed paraffin-embedded sections) - Anti-Bak antibody [7D10] - BSA and Azide free (AB252251)
  • IHC-P

Supplier Data

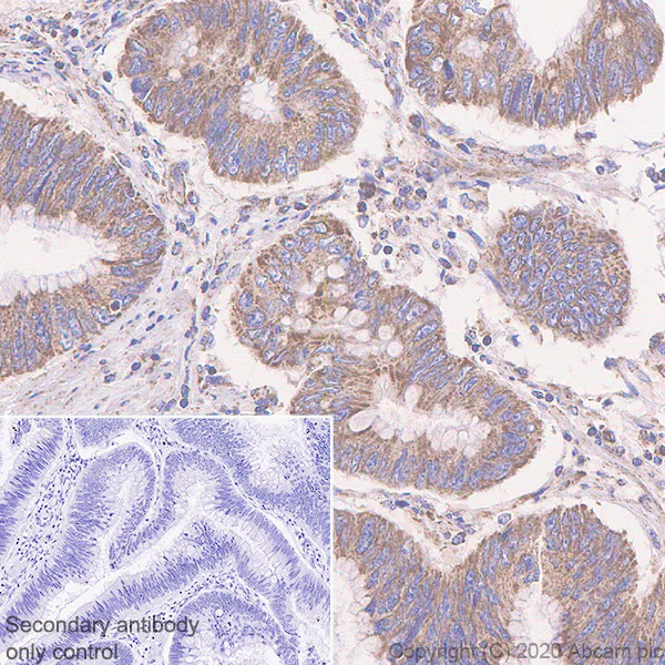
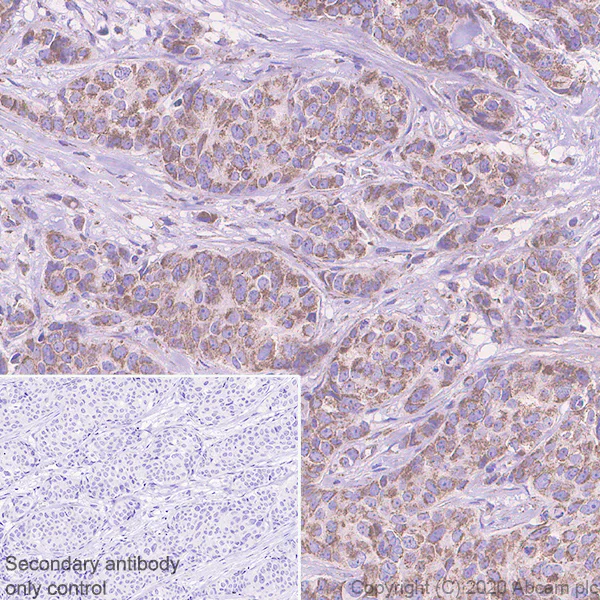
Immunohistochemistry (Formalin/PFA-fixed paraffin-embedded sections) - Anti-Bak antibody [7D10] - BSA and Azide free (AB252251)

This data was developed using ab243151 the same antibody clone in a different buffer formulation.

Immunohistochemical analysis of paraffin-embedded human breast carcinoma tissue labeling Bak with ab243151 at 1/50 dilution followed by ready to use Goat Anti-Rat IgG H&L (HRP polymer) (ab214882). Cytoplasmic staining on human breast carcinoma. Counterstained with Hematoxylin.

Secondary antibody only control : Secondary antibody is ready to use Goat Anti-Rat IgG H&L (HRP polymer) (ab214882).

Heat mediated antigen retrieval with Tris-EDTA buffer (pH 9.0, epitope retrieval solution2) for 20 mins.

Immunohistochemistry (Formalin/PFA-fixed paraffin-embedded sections) - Anti-Bak antibody [7D10] - BSA and Azide free (AB252251)
  • IHC-P

Supplier Data

Immunohistochemistry (Formalin/PFA-fixed paraffin-embedded sections) - Anti-Bak antibody [7D10] - BSA and Azide free (AB252251)

This data was developed using ab243151 the same antibody clone in a different buffer formulation.

Immunohistochemical analysis of paraffin-embedded human colon carcinoma tissue labeling Bak with ab243151 at 1/50 dilution followed by ready to use Goat Anti-Rat IgG H&L (HRP polymer) (ab214882). Cytoplasmic staining on human colon carcinoma. Counterstained with Hematoxylin.

Secondary antibody only control : Secondary antibody is ready to use Goat Anti-Rat IgG H&L (HRP polymer) (ab214882).

Heat mediated antigen retrieval with Tris-EDTA buffer (pH 9.0, epitope retrieval solution2) for 20 mins.

Western blot - Anti-Bak antibody [7D10] - BSA and Azide free (AB252251)
  • WB

Lab

Western blot - Anti-Bak antibody [7D10] - BSA and Azide free (AB252251)

This data was developed using ab243151, the same antibody clone in a different buffer formulation.

Blocking and diluting buffer and concentration : 5% NFDM/TBST.

The expression profile/ molecular weight observed is consistent with what has been described in the literature (PMID : 12881569).

This antibody reacts with an unidentifiable protein around 150kDa.

Exposure time : 1 second.

All lanes:

Western blot - Anti-Bak antibody [7D10] (<a href='/en-us/products/primary-antibodies/bak-antibody-7d10-ab243151'>ab243151</a>) at 1/5000 dilution

Lane 1:

HeLa (human cervix adenocarcinoma epithelial cell), whole cell lysate at 10 µg

Lane 2:

Jurkat (human T cell leukemia T lymphocyte), whole cell lysate at 10 µg

Lane 3:

HEK-293 (human embryonic kidney epithelial cell), whole cell lysate at 10 µg

Lane 4:

MCF7 (human breast adenocarcinoma epithelial cell), whole cell lysate at 10 µg

Lane 5:

T47D (human ductal breast epithelial tumor epithelial cell), whole cell lysate at 10 µg

Lane 6:

Human heart tissue lysate at 10 µg

Secondary

All lanes:

Western blot - Goat Anti-Rat IgG H&L (HRP) (<a href='/en-us/products/secondary-antibodies/goat-rat-igg-h-l-hrp-ab205720'>ab205720</a>) at 1/5000 dilution

Predicted band size: 23 kDa

Observed band size: 20 kDa,25 kDa

false

Western blot - Anti-Bak antibody [7D10] - BSA and Azide free (AB252251)
  • WB

Lab

Western blot - Anti-Bak antibody [7D10] - BSA and Azide free (AB252251)

This data was developed using ab243151, the same antibody clone in a different buffer formulation.

Blocking and diluting buffer and concentration : Intercept® (TBS) Blocking Buffer diluted with an equal volume of 0.1% TBS.

Lanes 1-5 : Merged signal (red and green). Green - ab243151 observed at 25kDa. Red - loading control ab8245 (Mouse monoclonal [6C5] to GAPDH) observed at 36 kDa.

Lanes 1-2 : ab243151 Anti-BAK1 antibody [7D10] was shown to react with BAK1 in HeLa cells in Western blot. Loss of signal was observed when BAK1 knockout sample was used. Wild-type and BAK1 knockout samples were subjected to SDS-PAGE.

Lanes 3-4 : ab243151 Anti-BAK1 antibody [7D10] was shown to react with BAK1 in HAP1 cells in Western blot. Loss of signal was observed when BAK1 knockout sample was used. Wild-type and BAK1 knockout samples were subjected to SDS-PAGE.

ab243151 and Anti-GAPDH antibody [6C5] (ab8245) were incubated at 4℃ overnight at 1 in 1000 dilution and 1 in 20000 dilution respectively. Blots were developed with Goat Anti-Rat IgG H&L (IRDye® 800CW) (ab253031) and Goat Anti-Mouse IgG H&L (IRDye® 680RD) (ab216776) secondary antibodies at 1 in 10000 dilution for 1 hour at room temperature before imaging.

All lanes:

Western blot - Anti-Bak antibody [7D10] (<a href='/en-us/products/primary-antibodies/bak-antibody-7d10-ab243151'>ab243151</a>) at 1/1000 dilution

Lane 1:

Wild-type HeLa (human cervix adenocarcinoma epithelial cell), whole cell lysate at 20 µg

Lane 2:

BAK1 knockout HeLa (human cervix adenocarcinoma epithelial cell), whole cell lysate at 20 µg

Lane 3:

Wild-type HAP1 (human chronic myelogenous leukemia near-haploid cell), whole cell lysate at 20 µg

Lane 4:

BAK1 knockout HAP1 (human chronic myelogenous leukemia near-haploid cell), whole cell lysate at 20 µg

Lane 5:

Jurkat (human T cell leukemia T lymphocyte), whole cell lysate at 20 µg

Secondary

All lanes:

Goat Anti-Rat IgG H&L (IRDye® 800CW) (ab253031) and Goat Anti-Mouse IgG H&L (IRDye® 680RD) (<a href='/en-us/products/secondary-antibodies/goat-mouse-igg-h-l-irdye-680rd-preadsorbed-ab216776'>ab216776</a>) at 1/10000 dilution

Predicted band size: 23 kDa

Observed band size: 25 kDa

false

Key facts

Host species

Rat

Clonality

Monoclonal

Clone number

7D10

Isotype

IgG2a

Carrier free

Yes

Reacts with

Human

Applications

WB, IHC-P

applications

Reactivity data

{ "title": "Reactivity Data", "filters": { "stats": ["", "Species", "Dilution Info", "Notes"], "tabs": { "all-applications": {"fullname" : "All Applications", "shortname": "All Applications"}, "IP" : {"fullname" : "Immunoprecipitation", "shortname":"IP"}, "WB" : {"fullname" : "Western blot", "shortname":"WB"}, "IHCP" : {"fullname" : "Immunohistochemistry (Formalin/PFA-fixed paraffin-embedded sections)", "shortname":"IHC-P"} }, "product-promise": { "all": "all", "testedAndGuaranteed": "tested", "guaranteed": "expected", "predicted": "predicted", "notRecommended": "not-recommended" } }, "values": { "Human": { "IP-species-checked": "notRecommended", "IP-species-dilution-info": "", "IP-species-notes": "<p></p>", "WB-species-checked": "testedAndGuaranteed", "WB-species-dilution-info": "", "WB-species-notes": "<p></p>", "IHCP-species-checked": "testedAndGuaranteed", "IHCP-species-dilution-info": "", "IHCP-species-notes": "<p></p>" }, "Mouse": { "IP-species-checked": "notRecommended", "IP-species-dilution-info": "", "IP-species-notes": "", "WB-species-checked": "notRecommended", "WB-species-dilution-info": "", "WB-species-notes": "<p></p>", "IHCP-species-checked": "notRecommended", "IHCP-species-dilution-info": "", "IHCP-species-notes": "<p></p>" }, "Rat": { "IP-species-checked": "notRecommended", "IP-species-dilution-info": "", "IP-species-notes": "", "WB-species-checked": "notRecommended", "WB-species-dilution-info": "", "WB-species-notes": "<p></p>", "IHCP-species-checked": "notRecommended", "IHCP-species-dilution-info": "", "IHCP-species-notes": "<p></p>" } } }

Product details

ab252251 is the carrier-free version of ab243151.

What are the advantages of a recombinant monoclonal antibody?
This product is a recombinant monoclonal antibody, which offers several advantages including:

  • - High batch-to-batch consistency and reproducibility
  • - Improved sensitivity and specificity
  • - Long-term security of supply
  • - Animal-free batch production

For more information, read more on recombinant antibodies.

Conjugation ready
Our carrier-free antibodies are typically supplied in a PBS-only formulation, purified and free of BSA, sodium azide and glycerol. This conjugation-ready format is designed for use with fluorochromes, metal isotopes, oligonucleotides, and enzymes, which makes them ideal for antibody labelling, functional and cell-based assays, flow-based assays (e.g. mass cytometry) and Multiplex Imaging applications.

Use our conjugation kits for antibody conjugates that are ready-to-use in as little as 20 minutes with 1 minute hands-on-time and 100% antibody recovery: available for fluorescent dyes, HRP, biotin and gold.

Compatibility
This product is compatible with the Maxpar® Antibody Labeling Kit from Fluidigm, without the need for antibody preparation. Maxpar® is a trademark of Fluidigm Canada Inc.

Properties and storage information

Form
Liquid
Purification technique
Ion exchange chromatography
Storage buffer
pH: 7.2 - 7.4 Constituents: PBS
Shipped at conditions
Blue Ice
Appropriate short-term storage conditions
+4°C
Appropriate long-term storage conditions
+4°C
Storage information
Do Not Freeze

Supplementary information

This supplementary information is collated from multiple sources and compiled automatically.

The Bak protein also known as Bcl-2 homologous antagonist killer plays a mechanical role in the mitochondrial apoptosis pathway. It often functions as a pro-apoptotic member of the Bcl-2 protein family. Bak is expressed widely in the body being present in tissues such as the brain and heart. The molecular weight of Bak is approximately 23 kilodaltons. Bak interacts with other mitochondrial proteins to trigger cell death processes.
Biological function summary

Bak engages in promoting apoptosis by disrupting the mitochondrial outer membrane potential. It is part of the Bcl-2 family complex which balances cell survival and cell death. Bak collaborates with Bax protein to form pores in the mitochondrial membrane releasing cytochrome c and other apoptotic factors. This process initiates the cascade of caspases leading to programmed cell death.

Pathways

Bak is a critical component of the intrinsic apoptotic pathway. It directly interacts with pro-apoptotic proteins like Bax and anti-apoptotic proteins such as Bcl-2 and Bcl-xL. Bak's action in the apoptotic pathway involves a delicate balance between survival and death signals affecting cellular homeostasis. In addition Bak's interaction with the p53 pathway emphasizes its role in response to DNA damage ensuring damaged cells do not proliferate uncontrollably.

Malfunction or dysregulation of Bak can lead to cancer and neurodegenerative disorders. In cancer reduced Bak activity may allow cells to evade apoptosis promoting tumor survival and growth. Conversely in diseases like Parkinson's excessive Bak activity may result in enhanced neuronal apoptosis. Bak's interaction with proteins such as Bcl-2 also makes it a potential target for therapies aimed at restoring apoptotic balance in affected cells.

Product protocols

For this product, it's our understanding that no specific protocols are required. You can visit:

Target data

Plays a role in the mitochondrial apoptotic process. Upon arrival of cell death signals, promotes mitochondrial outer membrane (MOM) permeabilization by oligomerizing to form pores within the MOM. This releases apoptogenic factors into the cytosol, including cytochrome c, promoting the activation of caspase 9 which in turn processes and activates the effector caspases.
See full target information BAK1

Product promise

We are committed to supporting your work with high-quality reagents, and we're here for you every step of the way. In the unlikely event that one of our products does not perform as expected, you're protected by our Product Promise.
For full details, please see our Terms & Conditions

Please note: All products are 'FOR RESEARCH USE ONLY. NOT FOR USE IN DIAGNOSTIC OR THERAPEUTIC PROCEDURES'.

For licensing inquiries, please contact partnerships@abcam.com