JavaScript is disabled in your browser. Please enable JavaScript to view this website.
AB317254

Anti-Bak antibody [EPR27487-15]

  • BOND RX™ Validated
  • 20ul selling size
  • Recombinant
  • RabMAb
  • What is this?

Be the first to review this product! Submit a review

|

(0 Publication)

Rabbit Recombinant Monoclonal BAK antibody. Suitable for WB, ICC/IF, IP, IHC-P, Flow Cyt (Intra) and reacts with Mouse samples.

View Alternative Names

Bak, Bcl-2 homologous antagonist/killer, Apoptosis regulator BAK

7 Images
Immunohistochemistry (Formalin/PFA-fixed paraffin-embedded sections) - Anti-Bak antibody [EPR27487-15] (AB317254)
  • IHC-P

Supplier Data

Immunohistochemistry (Formalin/PFA-fixed paraffin-embedded sections) - Anti-Bak antibody [EPR27487-15] (AB317254)

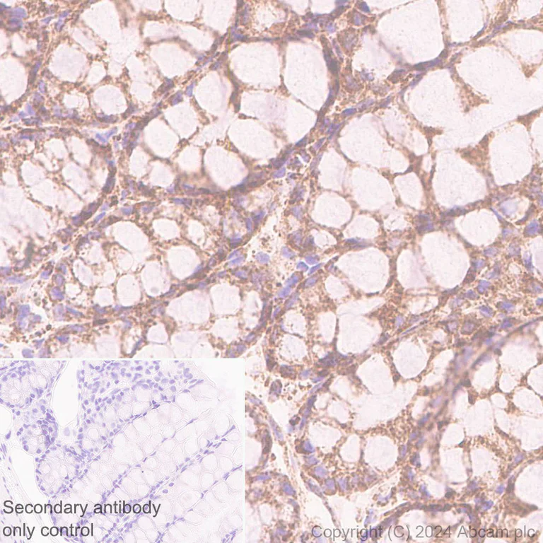
Immunohistochemical analysis of paraffin-embedded Mouse colon tissue labeling Bak with ab317254 at 1/500 (1.004 ug/ml) dilution, followed by a ready to use LeicaDS9800 (Bond™ Polymer Refine Detection).

Positive staining in mouse colon.
The section was incubated with ab317254 for 30 mins at room temperature.
The immunostaining was performed on a Leica Biosystems BOND® RX instrument.

Counterstained with Hematoxylin.

Secondary antibody only control : Secondary antibody is a ready to use LeicaDS9800 (Bond™ Polymer Refine Detection).

Heat mediated antigen retrieval was performed with Tris-EDTA buffer (pH 9.0, Epitope Retrieval Solution2) for 20 mins.

Immunocytochemistry/ Immunofluorescence - Anti-Bak antibody [EPR27487-15] (AB317254)
  • ICC/IF

Supplier Data

Immunocytochemistry/ Immunofluorescence - Anti-Bak antibody [EPR27487-15] (AB317254)

Immunofluorescent analysis of 4% Paraformaldehyde-fixed, 0.1% TritonX-100 permeabilized C2C12 (mouse myoblast) cells labelling Bak with ab317254 at 1/500 (1.004 ug/ml) dilution, followed by ab150081 Goat Anti-Rabbit IgG H&L (Alexa Fluor® 488) preadsorbed antibody at 1/1000 (2 ug/ml) dilution (Green).

Confocal image showing mitochondrial staining in C2C12 cell line (shown in green). The counterstain was observed in magenta. Nuclear DNA was labeled with DAPI (shown in blue).
Image was taken with a confocal microscope(Leica-Microsystems, TCS SP8).

anti-COX IV mouse monoclonal antibody - Mitochondrial Marker was used to counterstain at 1/200 (2.5ug/ml) dilution (Magenta). The Nuclear counterstain was DAPI (Blue).

Secondary antibody only control : Secondary antibody is ab150081 Goat Anti-Rabbit IgG H&L (Alexa Fluor® 488) preadsorbed at 1/1000 (2 ug/ml) dilution.

Flow Cytometry (Intracellular) - Anti-Bak antibody [EPR27487-15] (AB317254)
  • Flow Cyt (Intra)

Supplier Data

Flow Cytometry (Intracellular) - Anti-Bak antibody [EPR27487-15] (AB317254)

Flow cytometric analysis of 4% paraformaldehyde fixed 90% methanol permeabilized C2C12 (mouse myoblast) cells labelling Bak with ab317254 at 1/500 dilution (0.1ug)/Red compared with a Rabbit monoclonal IgG (ab172730) (Black) isotype control and an unlabelled control (cells without incubation with primary antibody and secondary antibody) (Blue).

Goat Anti-Rabbit IgG (Alexa Fluor® 488, ab150081) at 1/5000 dilution was used as the secondary antibody.

Immunohistochemistry (Formalin/PFA-fixed paraffin-embedded sections) - Anti-Bak antibody [EPR27487-15] (AB317254)
  • IHC-P

Supplier Data

Immunohistochemistry (Formalin/PFA-fixed paraffin-embedded sections) - Anti-Bak antibody [EPR27487-15] (AB317254)

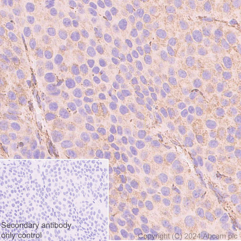
Immunohistochemical analysis of paraffin-embedded Mouse breast cancer tissue labeling Bak with ab317254 at 1/500 (1.004 ug/ml) dilution, followed by a ready to use LeicaDS9800 (Bond™ Polymer Refine Detection).

Positive staining in mouse breast cancer.
The section was incubated with ab317254 for 30 mins at room temperature.
The immunostaining was performed on a Leica Biosystems BOND® RX instrument.

Counterstained with Hematoxylin.

Secondary antibody only control : Secondary antibody is a ready to use LeicaDS9800 (Bond™ Polymer Refine Detection).

Heat mediated antigen retrieval was performed with Tris-EDTA buffer (pH 9.0, Epitope Retrieval Solution2) for 20 mins.

Immunohistochemistry (Formalin/PFA-fixed paraffin-embedded sections) - Anti-Bak antibody [EPR27487-15] (AB317254)
  • IHC-P

Supplier Data

Immunohistochemistry (Formalin/PFA-fixed paraffin-embedded sections) - Anti-Bak antibody [EPR27487-15] (AB317254)

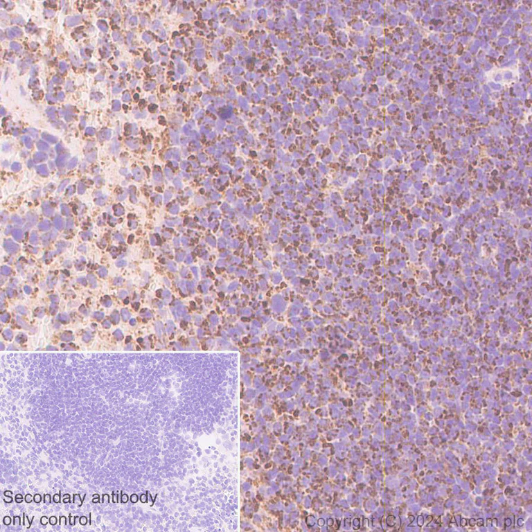
Immunohistochemical analysis of paraffin-embedded Mouse spleen tissue labeling Bak with ab317254 at 1/500 (1.004 ug/ml) dilution, followed by a ready to use LeicaDS9800 (Bond™ Polymer Refine Detection).

Positive staining in mouse spleen.
The section was incubated with ab317254 for 30 mins at room temperature.
The immunostaining was performed on a Leica Biosystems BOND® RX instrument.

Counterstained with Hematoxylin.

Secondary antibody only control : Secondary antibody is a ready to use LeicaDS9800 (Bond™ Polymer Refine Detection).

Heat mediated antigen retrieval was performed with Tris-EDTA buffer (pH 9.0, Epitope Retrieval Solution2) for 20 mins.

Immunoprecipitation - Anti-Bak antibody [EPR27487-15] (AB317254)
  • IP

Supplier Data

Immunoprecipitation - Anti-Bak antibody [EPR27487-15] (AB317254)

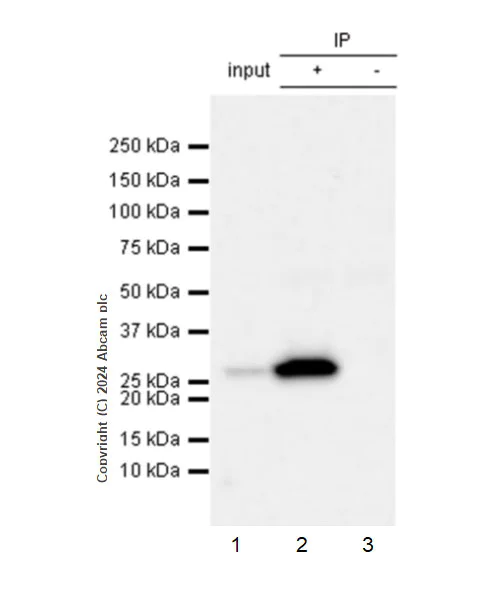
Bak was immunoprecipitated from 0.35 mg C2C12 (mouse myoblast) whole cell lysate with ab317254 at 1/30 dilution (2ug in 0.35mg lysates). Western blot was performed on the immunoprecipitate using ab317254 at 1/1000 dilution. VeriBlot for IP secondary antibody(HRP)(ab131366) was used at 1/5000 dilution.

Lane 1 : C2C12 (mouse myoblast) whole cell lysate
Lane 2 : ab317254 IP in C2C12 (mouse myoblast) whole cell lysate
Lane 3 : Rabbit monoclonal IgG (ab172730) instead of ab317254 in C2C12 whole cell lysate.

All lanes:

Immunoprecipitation - Anti-Bak antibody [EPR27487-15] (ab317254) at 1/30 dilution

All lanes:

C2C12 (mouse myoblast) whole cell lysate

Secondary

All lanes:

Immunoprecipitation - VeriBlot for IP Detection Reagent (HRP) (<a href='/en-us/products/reagents/veriblot-for-ip-detection-reagent-hrp-ab131366'>ab131366</a>) at 1/5000 dilution

false

Exposure time: 8s

Western blot - Anti-Bak antibody [EPR27487-15] (AB317254)
  • WB

Supplier Data

Western blot - Anti-Bak antibody [EPR27487-15] (AB317254)

In Western blot, Anti-GAPDH antibody [EPR16891] - Loading Control (ab181602) staining at 1/200000 dilution.

Exposure time : Lanes 1-4 : 15 seconds, lane 5 : 48 seconds

All lanes:

Western blot - Anti-Bak antibody [EPR27487-15] (ab317254) at 1/1000 dilution

Lane 1:

C2C12 (mouse myoblast) transfected with scrambled siRNA control whole cell lysate at 20 µg

Lane 2:

C2C12 transfected with siRNA specifically targeti Bak whole cell lysate at 20 µg

Lane 3:

A20 (mouse reticum sarcoma b lymphocyte) whole cell lysate at 20 µg

Lane 4:

NIH/3T3 (mouse embryonic fibroblast) whole cell lysate at 20 µg

Lane 5:

Mouse spleen tissue lysate at 20 µg

Secondary

All lanes:

Western blot - Goat Anti-Rabbit IgG H&L (HRP) (<a href='/en-us/products/secondary-antibodies/goat-rabbit-igg-h-l-hrp-ab97051'>ab97051</a>) at 1/100000 dilution

Observed band size: 23 kDa,36 kDa

false

  • Carrier free

    Anti-Bak antibody [EPR27487-15] - BSA and Azide free

Key facts

Host species

Rabbit

Clonality

Monoclonal

Clone number

EPR27487-15

Isotype

IgG

Carrier free

No

Reacts with

Mouse

Applications

ICC/IF, IP, Flow Cyt (Intra), IHC-P, WB

applications

Immunogen

The exact immunogen used to generate this antibody is proprietary information.

Reactivity data

{ "title": "Reactivity Data", "filters": { "stats": ["", "Species", "Dilution Info", "Notes"], "tabs": { "all-applications": {"fullname" : "All Applications", "shortname": "All Applications"}, "WB" : {"fullname" : "Western blot", "shortname":"WB"}, "ICCIF" : {"fullname" : "Immunocytochemistry/ Immunofluorescence", "shortname":"ICC/IF"}, "IP" : {"fullname" : "Immunoprecipitation", "shortname":"IP"}, "IHCP" : {"fullname" : "Immunohistochemistry (Formalin/PFA-fixed paraffin-embedded sections)", "shortname":"IHC-P"}, "FlowCytIntra" : {"fullname" : "Flow Cytometry (Intracellular)", "shortname":"Flow Cyt (Intra)"} }, "product-promise": { "all": "all", "testedAndGuaranteed": "tested", "guaranteed": "expected", "predicted": "predicted", "notRecommended": "not-recommended" } }, "values": { "Human": { "WB-species-checked": "notRecommended", "WB-species-dilution-info": "", "WB-species-notes": "<p></p>", "ICCIF-species-checked": "notRecommended", "ICCIF-species-dilution-info": "", "ICCIF-species-notes": "", "IP-species-checked": "notRecommended", "IP-species-dilution-info": "", "IP-species-notes": "", "IHCP-species-checked": "notRecommended", "IHCP-species-dilution-info": "", "IHCP-species-notes": "<p></p>", "FlowCytIntra-species-checked": "notRecommended", "FlowCytIntra-species-dilution-info": "", "FlowCytIntra-species-notes": "" }, "Mouse": { "WB-species-checked": "testedAndGuaranteed", "WB-species-dilution-info": "1/1000", "WB-species-notes": "<p></p>", "ICCIF-species-checked": "testedAndGuaranteed", "ICCIF-species-dilution-info": "1/500", "ICCIF-species-notes": "<p></p>", "IP-species-checked": "testedAndGuaranteed", "IP-species-dilution-info": "1/30", "IP-species-notes": "<p></p>", "IHCP-species-checked": "testedAndGuaranteed", "IHCP-species-dilution-info": "1/500", "IHCP-species-notes": "<p></p> Perform heat-mediated antigen retrieval with Tris/EDTA buffer pH 9.0 before commencing with IHC staining protocol.", "FlowCytIntra-species-checked": "testedAndGuaranteed", "FlowCytIntra-species-dilution-info": "1/500", "FlowCytIntra-species-notes": "<p></p>" }, "Rat": { "WB-species-checked": "notRecommended", "WB-species-dilution-info": "", "WB-species-notes": "<p></p>", "ICCIF-species-checked": "notRecommended", "ICCIF-species-dilution-info": "", "ICCIF-species-notes": "", "IP-species-checked": "notRecommended", "IP-species-dilution-info": "", "IP-species-notes": "", "IHCP-species-checked": "notRecommended", "IHCP-species-dilution-info": "", "IHCP-species-notes": "<p></p>", "FlowCytIntra-species-checked": "notRecommended", "FlowCytIntra-species-dilution-info": "", "FlowCytIntra-species-notes": "" } } }

Product details

Patented technology
Our RabMAb® technology is a patented hybridoma-based technology for making rabbit monoclonal antibodies. For details on our patents, please refer to RabMAb® patents.

What are the advantages of a recombinant monoclonal antibody?
This product is a recombinant monoclonal antibody, which offers several advantages including:

  • - High batch-to-batch consistency and reproducibility
  • - Improved sensitivity and specificity
  • - Long-term security of supply
  • - Animal-free batch production

For more information, read more on recombinant antibodies.

Properties and storage information

Form
Liquid
Purification technique
Affinity purification Protein A
Storage buffer
pH: 7.2 - 7.4 Preservative: 0.01% Sodium azide Constituents: PBS, 40% Glycerol (glycerin, glycerine), 0.05% BSA
Shipped at conditions
Blue Ice
Appropriate short-term storage duration
1-2 weeks
Appropriate short-term storage conditions
+4°C
Appropriate long-term storage conditions
-20°C
Aliquoting information
Upon delivery aliquot
Storage information
Avoid freeze / thaw cycle

Supplementary information

This supplementary information is collated from multiple sources and compiled automatically.

The Bak protein also known as Bcl-2 homologous antagonist killer plays a mechanical role in the mitochondrial apoptosis pathway. It often functions as a pro-apoptotic member of the Bcl-2 protein family. Bak is expressed widely in the body being present in tissues such as the brain and heart. The molecular weight of Bak is approximately 23 kilodaltons. Bak interacts with other mitochondrial proteins to trigger cell death processes.
Biological function summary

Bak engages in promoting apoptosis by disrupting the mitochondrial outer membrane potential. It is part of the Bcl-2 family complex which balances cell survival and cell death. Bak collaborates with Bax protein to form pores in the mitochondrial membrane releasing cytochrome c and other apoptotic factors. This process initiates the cascade of caspases leading to programmed cell death.

Pathways

Bak is a critical component of the intrinsic apoptotic pathway. It directly interacts with pro-apoptotic proteins like Bax and anti-apoptotic proteins such as Bcl-2 and Bcl-xL. Bak's action in the apoptotic pathway involves a delicate balance between survival and death signals affecting cellular homeostasis. In addition Bak's interaction with the p53 pathway emphasizes its role in response to DNA damage ensuring damaged cells do not proliferate uncontrollably.

Malfunction or dysregulation of Bak can lead to cancer and neurodegenerative disorders. In cancer reduced Bak activity may allow cells to evade apoptosis promoting tumor survival and growth. Conversely in diseases like Parkinson's excessive Bak activity may result in enhanced neuronal apoptosis. Bak's interaction with proteins such as Bcl-2 also makes it a potential target for therapies aimed at restoring apoptotic balance in affected cells.

Product protocols

For this product, it's our understanding that no specific protocols are required. You can visit:

Target data

In the presence of an appropriate stimulus, accelerates programmed cell death by binding to, and antagonizing the anti-apoptotic action of BCL2.
See full target information Bak

Product promise

We are committed to supporting your work with high-quality reagents, and we're here for you every step of the way. In the unlikely event that one of our products does not perform as expected, you're protected by our Product Promise.
For full details, please see our Terms & Conditions

Please note: All products are 'FOR RESEARCH USE ONLY. NOT FOR USE IN DIAGNOSTIC OR THERAPEUTIC PROCEDURES'.

For licensing inquiries, please contact partnerships@abcam.com