JavaScript is disabled in your browser. Please enable JavaScript to view this website.
AB220790

Anti-Bak antibody [Y164] - BSA and Azide free

  • BOND RX™ Validated
  • RabMAb
  • Recombinant
  • KO Validated
  • What is this?

Be the first to review this product! Submit a review

|

(21 Publications)

Knockout Tested Rabbit Recombinant Monoclonal BAK antibody. Carrier free. Suitable for IP, WB, Flow Cyt (Intra), IHC-P and reacts with Human samples. Cited in 21 publications.

View Alternative Names

BAK, BCL2L7, CDN1, BAK1, Bcl-2 homologous antagonist/killer, Apoptosis regulator BAK, Bcl-2-like protein 7, Bcl2-L-7

11 Images
Immunohistochemistry (Formalin/PFA-fixed paraffin-embedded sections) - Anti-Bak antibody [Y164] - BSA and Azide free (AB220790)
  • IHC-P

Supplier Data

Immunohistochemistry (Formalin/PFA-fixed paraffin-embedded sections) - Anti-Bak antibody [Y164] - BSA and Azide free (AB220790)

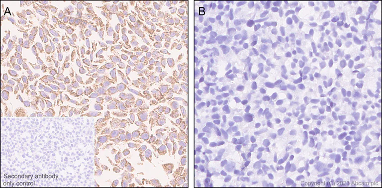
This data was developed using the same antibody clone in a different buffer formulation containing PBS, BSA, glycerol, and sodium azide (ab32371). Immunohistochemical analysis of paraffin-embedded fixed (A) Wild-type HeLa (human cervix adenocarcinoma epithelial cell) cell pellet. (B) BAK1 knockout HeLa (ab265277) cell pellet staining Bak with ab32371 at 1/2000 dilution followed by a ready to use LeicaDS9800 (Bond™ Polymer Refine Detection). Counter-staining used was hematoxylin. Positive staining on (A) Wild-type HeLa cell pellet, no staining on (B) BAK1 knockout HeLa (ab265277) cell pellet. The section was incubated with ab32371 for 30 mins at room temperature. The immunostaining was performed on a Leica Biosystems BOND® RX instrument Heat mediated antigen retrieval was performed with Tris-EDTA buffer (pH 9.0, Epitope Retrieval Solution2) for 20 mins.

Immunohistochemistry (Formalin/PFA-fixed paraffin-embedded sections) - Anti-Bak antibody [Y164] - BSA and Azide free (AB220790)
  • IHC-P

Unknown

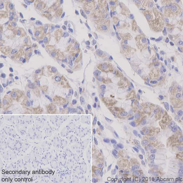
Immunohistochemistry (Formalin/PFA-fixed paraffin-embedded sections) - Anti-Bak antibody [Y164] - BSA and Azide free (AB220790)

Immunohistochemistry (Formalin/PFA-fixed paraffin-embedded sections) analysis of Human stomach tissue sections labeling Bak with Purified ab32371 at 1 : 200 dilution (2.98 μg/ml). Heat mediated antigen retrieval was performed using ab93684 (Tris/EDTA buffer, pH 9.0). Tissue was counterstained with Hematoxylin. ab97051 Goat Anti-Rabbit IgG H&L (HRP)
secondary antibody was used at 1 : 500 dilution. PBS instead of the primary antibody was used as the negative control.

This data was developed using the same antibody clone in a different buffer formulation containing PBS, BSA, glycerol, and sodium azide (ab32371).

Immunohistochemistry (Formalin/PFA-fixed paraffin-embedded sections) - Anti-Bak antibody [Y164] - BSA and Azide free (AB220790)
  • IHC-P

Unknown

Immunohistochemistry (Formalin/PFA-fixed paraffin-embedded sections) - Anti-Bak antibody [Y164] - BSA and Azide free (AB220790)

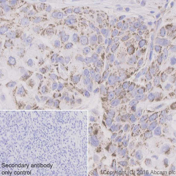
Immunohistochemistry (Formalin/PFA-fixed paraffin-embedded sections) analysis of Human pancreatic carcinoma tissue sections labeling Bak with Purified ab32371 at 1 : 200 dilution (2.98 μg/ml). Heat mediated antigen retrieval was performed using ab93684 (Tris/EDTA buffer, pH 9.0). Tissue was counterstained with Hematoxylin. ab97051 Goat Anti-Rabbit IgG H&L (HRP)
secondary antibody was used at 1 : 500 dilution. PBS instead of the primary antibody was used as the negative control.

This data was developed using the same antibody clone in a different buffer formulation containing PBS, BSA, glycerol, and sodium azide (ab32371).

Immunohistochemistry (Formalin/PFA-fixed paraffin-embedded sections) - Anti-Bak antibody [Y164] - BSA and Azide free (AB220790)
  • IHC-P

Unknown

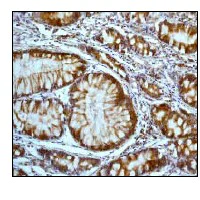
Immunohistochemistry (Formalin/PFA-fixed paraffin-embedded sections) - Anti-Bak antibody [Y164] - BSA and Azide free (AB220790)

Immunohistochemical analysis of Bak expression in paraffin embedded human stomach carcinoma, using 1/250 unpurified ab32371.

This data was developed using the same antibody clone in a different buffer formulation containing PBS, BSA, glycerol, and sodium azide (ab32371).

Flow Cytometry (Intracellular) - Anti-Bak antibody [Y164] - BSA and Azide free (AB220790)
  • Flow Cyt (Intra)

Supplier Data

Flow Cytometry (Intracellular) - Anti-Bak antibody [Y164] - BSA and Azide free (AB220790)

This data was developed using the same antibody clone in a different buffer formulation containing PBS, BSA, glycerol, and sodium azide (ab32371). Flow cytometric analysis of 4% paraformaldehyde fixed, 90% methanol permeabilized BAK1 KO Hela (human BAK1 knockout cervical adenocarcinoma epithelial cell, Left) /Parental Hela (Right) cells labelling Bak with ab32371 at 1/500 dilution (0.1 µg)(Red) compared with a Rabbit monoclonal IgG (ab172730) (Black) isotype control and an unlabelled control (cells without incubation with primary antibody and secondary antibody) (Blue). Goat Anti-Rabbit IgG (Alexa Fluor® 488, ab150081) at 1/5000 dilution was used as the secondary antibody.

Western blot - Anti-Bak antibody [Y164] - BSA and Azide free (AB220790)
  • WB

Lab

Western blot - Anti-Bak antibody [Y164] - BSA and Azide free (AB220790)

This WB data was generated using the same anti-Bak antibody clone, Y164, in a different buffer formulation (cat# ab32371).

Lanes 1 - 3 : Merged signal (red and green). Green - ab32371 observed at 25 kDa. Red - loading control, ab9484, observed at 37 kDa.

Unpurified ab32371 was shown to specifically recognize BAK in wild-type HAP1 cells. No band was observed when BAK knockout cells were examined. Wild-type and BAK knockout samples were subjected to SDS-PAGE. Unpurified ab32371 and ab9484 (Mouse anti GAPDH loading control) were incubated overnight at 4°C at 1/1000 dilution and 1/20,000 dilution respectively. Blots were developed with Goat anti-Rabbit IgG H&L (IRDye® 800CW) preabsorbed ab216773 and Goat anti-Mouse IgG H&L (IRDye® 680RD) preabsorbed ab216776 secondary antibodies at 1/20,000 dilution for 1 hour at room temperature before imaging.

All lanes:

Western blot - Anti-Bak antibody [Y164] (<a href='/en-us/products/primary-antibodies/bak-antibody-y164-ab32371'>ab32371</a>)

Lane 1:

Wild-type HAP1 whole cell lysate at 20 µg

Lane 2:

BAK knockout HAP1 whole cell lysate at 20 µg

Lane 3:

Human Heart whole cell lysate at 20 µg

Predicted band size: 23 kDa

false

Immunocytochemistry/ Immunofluorescence - Anti-Bak antibody [Y164] - BSA and Azide free (AB220790)
  • ICC/IF

Unknown

Immunocytochemistry/ Immunofluorescence - Anti-Bak antibody [Y164] - BSA and Azide free (AB220790)

Immunocytochemistry/ Immunofluorescence analysis of HeLa (Human cervix adenocarcinoma epithelial cell) cells labeling Bak with Purified ab32371 at 1 : 100 dilution. Cells were fixed in 4% Paraformaldehyde and permeabilized with 0.1% tritonX-100. Cells were counterstained with ab195889 Anti-alpha Tubulin antibody [DM1A] - Microtubule Marker (Alexa Fluor® 594) 1 : 200. ab150077 Goat anti rabbit IgG(Alexa Fluor® 488) was used as the secondary antibody at 1 : 1000 dilution. DAPI nuclear counterstain. PBS instead of the primary antibody was used as the secondary antibody only control.

This data was developed using the same antibody clone in a different buffer formulation containing PBS, BSA, glycerol, and sodium azide (ab32371).

Immunocytochemistry/ Immunofluorescence - Anti-Bak antibody [Y164] - BSA and Azide free (AB220790)
  • ICC/IF

Unknown

Immunocytochemistry/ Immunofluorescence - Anti-Bak antibody [Y164] - BSA and Azide free (AB220790)

This ICC/IF data was generated using the same anti-Bak antibody clone, Y164, in a different buffer formulation (cat# ab32371).

ICC/IF image of unpurified ab32371 stained HeLa cells. The cells were 4% PFA fixed (10 min) and then incubated in 1%BSA / 10% normal goat serum / 0.3M glycine in 0.1% PBS-Tween for 1h to permeabilise the cells and block non-specific protein-protein interactions. The cells were then incubated with the antibody (unpurified ab32371, 1μg/ml) overnight at +4°C. The secondary antibody (green) was Alexa Fluor® 488 goat anti-rabbit IgG (H+L) used at a 1/1000 dilution for 1h. Alexa Fluor® 594 WGA was used to label plasma membranes (red) at a 1/200 dilution for 1h. DAPI was used to stain the cell nuclei (blue) at a concentration of 1.43μM.

Immunoprecipitation - Anti-Bak antibody [Y164] - BSA and Azide free (AB220790)
  • IP

Lab

Immunoprecipitation - Anti-Bak antibody [Y164] - BSA and Azide free (AB220790)

ab32371 (purified) at 1 : 20 dilution (2μg) immunoprecipitating Bak in HeLa (Human cervix adenocarcinoma epithelial cell) whole cell lysate.

Lane 1 (input) : HeLa (Human cervix adenocarcinoma epithelial cell) whole cell lysate 10μg
Lane 2 (+) : ab32371 & HeLa (Human cervix adenocarcinoma epithelial cell) whole cell lysate
Lane 3 (-) : Rabbit monoclonal IgG (ab172730) instead of ab32371 in HeLa (Human cervix adenocarcinoma epithelial cell) whole cell lysate

For western blotting, VeriBlot for IP Detection Reagent (HRP) (ab131366) was used for detection at 1 : 1000 dilution.
Blocking and diluting buffer : 5% NFDM/TBST.

This data was developed using the same antibody clone in a different buffer formulation containing PBS, BSA, glycerol, and sodium azide (ab32371).

All lanes:

Immunoprecipitation - Anti-Bak antibody [Y164] (<a href='/en-us/products/primary-antibodies/bak-antibody-y164-ab32371'>ab32371</a>)

Predicted band size: 23 kDa

false

Immunoprecipitation - Anti-Bak antibody [Y164] - BSA and Azide free (AB220790)
  • IP

AbReview37813****

Immunoprecipitation - Anti-Bak antibody [Y164] - BSA and Azide free (AB220790)

Bak was immunoprecipitated from HCT116 p53-/- cell line whole cell lysate with unpurified ab32371 at 1/100 dilution.

Western blot was performed from the immunoprecipitate using ab32371 at 1/2000 dilution.

This data was developed using the same antibody clone in a different buffer formulation containing PBS, BSA, glycerol, and sodium azide (ab32371).

All lanes:

Immunoprecipitation - Anti-Bak antibody [Y164] (<a href='/en-us/products/primary-antibodies/bak-antibody-y164-ab32371'>ab32371</a>)

Predicted band size: 23 kDa

false

Western blot - Anti-Bak antibody [Y164] - BSA and Azide free (AB220790)
  • WB

Lab

Western blot - Anti-Bak antibody [Y164] - BSA and Azide free (AB220790)

This data was developed using the same antibody clone in a different buffer formulation (ab32371).

Lanes 1- 2 : Merged signal (red and green). Green - ab32371 observed at 23 kDa. Red - Anti-GAPDH antibody [6C5] - Loading Control (ab8245) observed at 37 kDa.

ab32371 was shown to react with Bak in wild-type HeLa cells in western blot. Loss of signal was observed when knockout cell line ab265277 (knockout cell lysate ab257077) was used. Wild-type HeLa and BAK1 knockout HeLa cell lysates were subjected to SDS-PAGE. Membrane was blocked for 1 hour at room temperature in 0.1% TBST with 3% non-fat dried milk. ab32371 and Anti-GAPDH antibody [6C5] - Loading Control (ab8245) overnight at 4°C at a 1 in 1000 dilution and a 1 in 20000 dilution respectively. Blots were developed with Goat anti-Rabbit IgG H&L (IRDye®800CW) preadsorbed (ab216773) and Goat anti-Mouse IgG H&L (IRDye®680RD) preadsorbed (ab216776) secondary antibodies at 1 in 20000 dilution for 1 hour at room temperature before imaging.

All lanes:

Western blot - Anti-Bak antibody [Y164] (<a href='/en-us/products/primary-antibodies/bak-antibody-y164-ab32371'>ab32371</a>) at 1/1000 dilution

Lane 1:

Wild-type HeLa cell lysate at 20 µg

Lane 2:

BAK1 knockout HeLa cell lysate at 20 µg

Lane 2:

Western blot - Human BAK1 (Bak) knockout HeLa cell line (<a href='/en-us/products/cell-lines/human-bak1-bak-knockout-hela-cell-line-ab265277'>ab265277</a>)

Predicted band size: 23 kDa

Observed band size: 23 kDa

false

Key facts

Host species

Rabbit

Clonality

Monoclonal

Clone number

Y164

Isotype

IgG

Carrier free

Yes

Reacts with

Human

Applications

Flow Cyt (Intra), IHC-P, IP, WB

applications

Immunogen

The exact immunogen used to generate this antibody is proprietary information.

Specificity

This antibody recognises Bak. The antibody does not cross-react with other Bcl2 members.

Reactivity data

{ "title": "Reactivity Data", "filters": { "stats": ["", "Species", "Dilution Info", "Notes"], "tabs": { "all-applications": {"fullname" : "All Applications", "shortname": "All Applications"}, "IP" : {"fullname" : "Immunoprecipitation", "shortname":"IP"}, "WB" : {"fullname" : "Western blot", "shortname":"WB"}, "FlowCytIntra" : {"fullname" : "Flow Cytometry (Intracellular)", "shortname":"Flow Cyt (Intra)"}, "IHCP" : {"fullname" : "Immunohistochemistry (Formalin/PFA-fixed paraffin-embedded sections)", "shortname":"IHC-P"}, "ICCIF" : {"fullname" : "Immunocytochemistry/ Immunofluorescence", "shortname":"ICC/IF"} }, "product-promise": { "all": "all", "testedAndGuaranteed": "tested", "guaranteed": "expected", "predicted": "predicted", "notRecommended": "not-recommended" } }, "values": { "Human": { "IP-species-checked": "testedAndGuaranteed", "IP-species-dilution-info": "", "IP-species-notes": "<p></p>", "WB-species-checked": "testedAndGuaranteed", "WB-species-dilution-info": "", "WB-species-notes": "<p></p>", "FlowCytIntra-species-checked": "testedAndGuaranteed", "FlowCytIntra-species-dilution-info": "", "FlowCytIntra-species-notes": "<p><a href='/en-us/products/primary-antibodies/rabbit-igg-monoclonal-epr25a-isotype-control-low-endotoxin-azide-free-ab199376'>ab199376</a> - Rabbit monoclonal IgG, is suitable for use as an isotype control with this antibody.</p>", "IHCP-species-checked": "testedAndGuaranteed", "IHCP-species-dilution-info": "", "IHCP-species-notes": "<p></p> Perform heat-mediated antigen retrieval with Tris/EDTA buffer pH 9.0 before commencing with IHC staining protocol.", "ICCIF-species-checked": "notRecommended", "ICCIF-species-dilution-info": "", "ICCIF-species-notes": "<p></p>" } } }

Product details

ab220790 is the carrier-free version of ab32371.

Species reactivity
Mouse, Rat: We have preliminary internal testing data to indicate this antibody may not react with these species.
Please contact us for more information.

Patented technology
Our RabMAb® technology is a patented hybridoma-based technology for making rabbit monoclonal antibodies. For details on our patents, please refer to RabMAb® patents.

Conjugation ready
Our carrier-free antibodies are typically supplied in a PBS-only formulation, purified and free of BSA, sodium azide and glycerol. This conjugation-ready format is designed for use with fluorochromes, metal isotopes, oligonucleotides, and enzymes, which makes them ideal for antibody labelling, functional and cell-based assays, flow-based assays (e.g. mass cytometry) and Multiplex Imaging applications.

Use our conjugation kits for antibody conjugates that are ready-to-use in as little as 20 minutes with 1 minute hands-on-time and 100% antibody recovery: available for fluorescent dyes, HRP, biotin and gold.

Compatibility
This product is compatible with the Maxpar® Antibody Labeling Kit from Fluidigm, without the need for antibody preparation. Maxpar® is a trademark of Fluidigm Canada Inc.

Properties and storage information

Form
Liquid
Purification technique
Affinity purification Protein A
Storage buffer
pH: 7.2 - 7.4 Constituents: PBS
Shipped at conditions
Blue Ice
Appropriate short-term storage conditions
+4°C
Appropriate long-term storage conditions
+4°C
Storage information
Do Not Freeze

Supplementary information

This supplementary information is collated from multiple sources and compiled automatically.

The Bak protein also known as Bcl-2 homologous antagonist killer plays a mechanical role in the mitochondrial apoptosis pathway. It often functions as a pro-apoptotic member of the Bcl-2 protein family. Bak is expressed widely in the body being present in tissues such as the brain and heart. The molecular weight of Bak is approximately 23 kilodaltons. Bak interacts with other mitochondrial proteins to trigger cell death processes.
Biological function summary

Bak engages in promoting apoptosis by disrupting the mitochondrial outer membrane potential. It is part of the Bcl-2 family complex which balances cell survival and cell death. Bak collaborates with Bax protein to form pores in the mitochondrial membrane releasing cytochrome c and other apoptotic factors. This process initiates the cascade of caspases leading to programmed cell death.

Pathways

Bak is a critical component of the intrinsic apoptotic pathway. It directly interacts with pro-apoptotic proteins like Bax and anti-apoptotic proteins such as Bcl-2 and Bcl-xL. Bak's action in the apoptotic pathway involves a delicate balance between survival and death signals affecting cellular homeostasis. In addition Bak's interaction with the p53 pathway emphasizes its role in response to DNA damage ensuring damaged cells do not proliferate uncontrollably.

Malfunction or dysregulation of Bak can lead to cancer and neurodegenerative disorders. In cancer reduced Bak activity may allow cells to evade apoptosis promoting tumor survival and growth. Conversely in diseases like Parkinson's excessive Bak activity may result in enhanced neuronal apoptosis. Bak's interaction with proteins such as Bcl-2 also makes it a potential target for therapies aimed at restoring apoptotic balance in affected cells.

Product protocols

For this product, it's our understanding that no specific protocols are required. You can visit:

Target data

Plays a role in the mitochondrial apoptotic process. Upon arrival of cell death signals, promotes mitochondrial outer membrane (MOM) permeabilization by oligomerizing to form pores within the MOM. This releases apoptogenic factors into the cytosol, including cytochrome c, promoting the activation of caspase 9 which in turn processes and activates the effector caspases.
See full target information BAK1

Publications (21)

Recent publications for all applications. Explore the full list and refine your search

Proceedings of the National Academy of Sciences of 112:E3800-5 PubMed26162681

2015

Potent organo-osmium compound shifts metabolism in epithelial ovarian cancer cells.

Applications

Unspecified application

Species

Human

Jessica M Hearn,Isolda Romero-Canelón,Alison F Munro,Ying Fu,Ana M Pizarro,Mathew J Garnett,Ultan McDermott,Neil O Carragher,Peter J Sadler

Molecular cancer therapeutics 14:1837-47 PubMed26013319

2015

MCL-1 Is a Key Determinant of Breast Cancer Cell Survival: Validation of MCL-1 Dependency Utilizing a Highly Selective Small Molecule Inhibitor.

Applications

WB

Species

Human

Yu Xiao,Paul Nimmer,George S Sheppard,Milan Bruncko,Paul Hessler,Xin Lu,Lisa Roberts-Rapp,William N Pappano,Steven W Elmore,Andrew J Souers,Joel D Leverson,Darren C Phillips

International journal of cancer 136:2831-43 PubMed25408501

2014

Resistance to UV-induced apoptosis by β-HPV5 E6 involves targeting of activated BAK for proteolysis by recruitment of the HERC1 ubiquitin ligase.

Applications

Unspecified application

Species

Unspecified reactive species

Amy Holloway,Mark Simmonds,Abul Azad,Joanna L Fox,Alan Storey

American journal of physiology. Cell physiology 308:C51-60 PubMed25318106

2014

Interaction between Na-K-ATPase and Bcl-2 proteins BclXL and Bak.

Applications

Unspecified application

Species

Human

Peter K Lauf,Tariq Alqahtani,Karin Flues,Jaroslaw Meller,Norma C Adragna

World journal of surgical oncology 12:189 PubMed24947165

2014

Anti-apoptotic effects of osteopontin through the up-regulation of Mcl-1 in gastrointestinal stromal tumors.

Applications

WB

Species

Human

Kai-Hsi Hsu,Hung-Wen Tsai,Pin-Wen Lin,Yun-Shang Hsu,Pei-Jung Lu,Yan-Shen Shan

Biochemical and biophysical research communications 450:1-6 PubMed24853801

2014

Up-regulation of eEF1A2 promotes proliferation and inhibits apoptosis in prostate cancer.

Applications

WB

Species

Human

Yue Sun,Chengli Du,Bo Wang,Yanling Zhang,Xiaoyan Liu,Guoping Ren

Cell death and differentiation 21:1160-9 PubMed24769731

2014

Role of Ku70 in deubiquitination of Mcl-1 and suppression of apoptosis.

Applications

Unspecified application

Species

Unspecified reactive species

B Wang,M Xie,R Li,T K Owonikoko,S S Ramalingam,F R Khuri,W J Curran,Y Wang,X Deng

Autophagy 9:2056-68 PubMed24157892

2013

Autophagy inhibition suppresses pulmonary metastasis of HCC in mice via impairing anoikis resistance and colonization of HCC cells.

Applications

WB

Species

Human

Yuan-Fei Peng,Ying-Hong Shi,Zhen-Bin Ding,Ai-Wu Ke,Cheng-Yu Gu,Bo Hui,Jian Zhou,Shuang-Jian Qiu,Zhi Dai,Jia Fan

Molecular cancer 12:65 PubMed23782464

2013

BAK multimerization for apoptosis, but not bid binding, is inhibited by negatively charged residue in the BAK hydrophobic groove.

Applications

WB

Species

Unspecified reactive species

Abul Azad,Alan Storey

British journal of cancer 108:1870-8 PubMed23558901

2013

An antiapoptotic Bcl-2 family protein index predicts the response of leukaemic cells to the pan-Bcl-2 inhibitor S1.

Applications

WB

Species

Human

Z Zhang,Y Liu,T Song,Z Xue,X Shen,F Liang,Y Zhao,Z Li,H Sheng
View all publications

Product promise

We are committed to supporting your work with high-quality reagents, and we're here for you every step of the way. In the unlikely event that one of our products does not perform as expected, you're protected by our Product Promise.
For full details, please see our Terms & Conditions

Please note: All products are 'FOR RESEARCH USE ONLY. NOT FOR USE IN DIAGNOSTIC OR THERAPEUTIC PROCEDURES'.

For licensing inquiries, please contact partnerships@abcam.com