JavaScript is disabled in your browser. Please enable JavaScript to view this website.
AB230492

Anti-BANK1 antibody [EPR20788] - BSA and Azide free

Be the first to review this product! Submit a review

|

(1 Publication)

Rabbit Recombinant Monoclonal BANK1 antibody. Carrier free. Suitable for Flow Cyt (Intra), IHC-P and reacts with Human samples. Cited in 1 publication.

View Alternative Names

B-cell scaffold protein with ankyrin repeats, BANK1

3 Images
Flow Cytometry (Intracellular) - Anti-BANK1 antibody [EPR20788] - BSA and Azide free (AB230492)
  • Flow Cyt (Intra)

Supplier Data

Flow Cytometry (Intracellular) - Anti-BANK1 antibody [EPR20788] - BSA and Azide free (AB230492)

Intracellular flow cytometric analysis of 4% paraformaldehyde-fixed, 90% methanol permeabilized Jurkat (Human T cell leukemia T lymphocyte, Left panel) / Daudi (human Burkitt's lymphoma lymphoblast, Right panel) cell lines labeling BANK1 with ab229190 at 1/400 (red) compared with a Rabbit monoclonal IgG (ab172730) (black) and an unlabeled control (cells without incubation with primary antibody and secondary antibody) (blue). Goat anti rabbit IgG (Alexa Fluor� 488, ab150077), at 1/2000 dilution was used as the secondary antibody.

The Jurkat cell line is a negative control for BANK1.

This data was developed using the same antibody clone in a different buffer formulation containing PBS, BSA, glycerol, and sodium azide (ab229190).

Immunohistochemistry (Formalin/PFA-fixed paraffin-embedded sections) - Anti-BANK1 antibody [EPR20788] - BSA and Azide free (AB230492)
  • IHC-P

Supplier Data

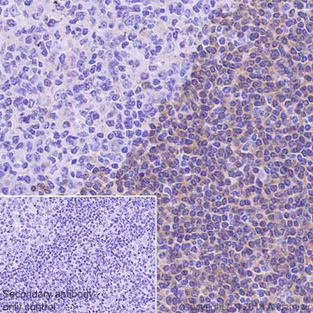
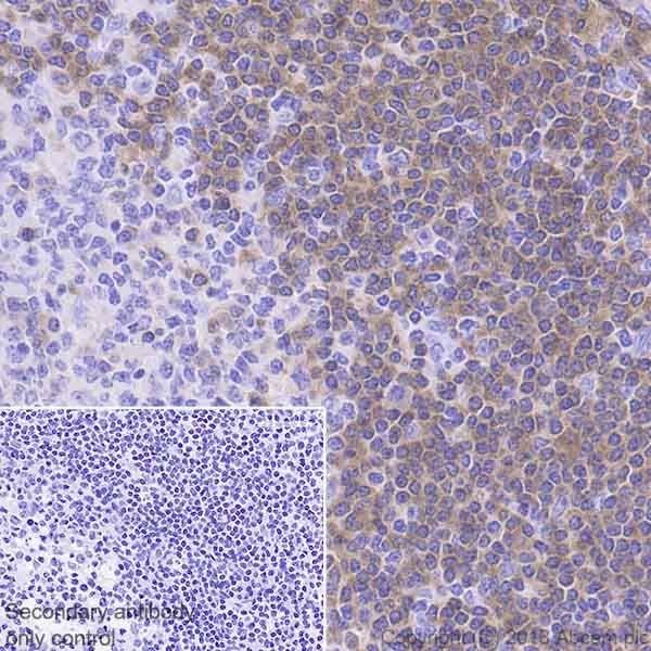
Immunohistochemistry (Formalin/PFA-fixed paraffin-embedded sections) - Anti-BANK1 antibody [EPR20788] - BSA and Azide free (AB230492)

Immunohistochemical analysis of paraffin-embedded human tonsil tissue labeling BANK1 with ab229190 at 1/4000 dilution, followed by a ready to use Goat Anti-Rabbit IgG H&L (HRP). Cytoplasmic staining is weak in the germinal center but strong in the mantle zones of human tonsil (PMID : 24879116). Counter stained with Hematoxylin.
Secondary antibody only control : Used PBS instead of primary antibody, secondary antibody is a ready to use Goat Anti-Rabbit IgG H&L (HRP).
Perform heat mediated antigen retrieval using ab93684 (Tris/EDTA buffer, pH 9.0).

This data was developed using the same antibody clone in a different buffer formulation containing PBS, BSA, glycerol, and sodium azide (ab229190).

Immunohistochemistry (Formalin/PFA-fixed paraffin-embedded sections) - Anti-BANK1 antibody [EPR20788] - BSA and Azide free (AB230492)
  • IHC-P

Supplier Data

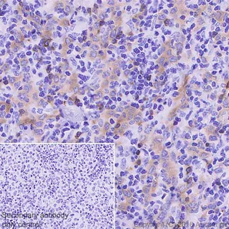
Immunohistochemistry (Formalin/PFA-fixed paraffin-embedded sections) - Anti-BANK1 antibody [EPR20788] - BSA and Azide free (AB230492)

Immunohistochemical analysis of paraffin-embedded human Large B cell lymphoma tissue labeling BANK1 with ab229190 at 1/4000 dilution, followed by a ready to use Goat Anti-Rabbit IgG H&L (HRP). Cytoplasmic staining in human Large B Cell Lymphoma cells (PMID : 24879116) is observed. Counter stained with Hematoxylin.
Secondary antibody only control : Used PBS instead of primary antibody, secondary antibody is a ready to use Goat Anti-Rabbit IgG H&L (HRP).
Perform heat mediated antigen retrieval using ab93684 (Tris/EDTA buffer, pH 9.0).

This data was developed using the same antibody clone in a different buffer formulation containing PBS, BSA, glycerol, and sodium azide (ab229190).

Key facts

Host species

Rabbit

Clonality

Monoclonal

Clone number

EPR20788

Isotype

IgG

Carrier free

Yes

Reacts with

Human

Applications

Flow Cyt (Intra), IHC-P

applications

Immunogen

The exact immunogen used to generate this antibody is proprietary information.

Reactivity data

{ "title": "Reactivity Data", "filters": { "stats": ["", "Species", "Dilution Info", "Notes"], "tabs": { "all-applications": {"fullname" : "All Applications", "shortname": "All Applications"}, "FlowCytIntra" : {"fullname" : "Flow Cytometry (Intracellular)", "shortname":"Flow Cyt (Intra)"}, "IHCP" : {"fullname" : "Immunohistochemistry (Formalin/PFA-fixed paraffin-embedded sections)", "shortname":"IHC-P"} }, "product-promise": { "all": "all", "testedAndGuaranteed": "tested", "guaranteed": "expected", "predicted": "predicted", "notRecommended": "not-recommended" } }, "values": { "Human": { "FlowCytIntra-species-checked": "testedAndGuaranteed", "FlowCytIntra-species-dilution-info": "", "FlowCytIntra-species-notes": "<p></p>", "IHCP-species-checked": "testedAndGuaranteed", "IHCP-species-dilution-info": "", "IHCP-species-notes": "<p></p>" } } }

Product details

ab230492 is the carrier-free version of ab229190.

Patented technology
Our RabMAb® technology is a patented hybridoma-based technology for making rabbit monoclonal antibodies. For details on our patents, please refer to RabMAb® patents.

What are the advantages of a recombinant monoclonal antibody?
This product is a recombinant monoclonal antibody, which offers several advantages including:

  • - High batch-to-batch consistency and reproducibility
  • - Improved sensitivity and specificity
  • - Long-term security of supply
  • - Animal-free batch production

For more information, read more on recombinant antibodies.

Conjugation ready
Our carrier-free antibodies are typically supplied in a PBS-only formulation, purified and free of BSA, sodium azide and glycerol. This conjugation-ready format is designed for use with fluorochromes, metal isotopes, oligonucleotides, and enzymes, which makes them ideal for antibody labelling, functional and cell-based assays, flow-based assays (e.g. mass cytometry) and Multiplex Imaging applications.

Use our conjugation kits for antibody conjugates that are ready-to-use in as little as 20 minutes with 1 minute hands-on-time and 100% antibody recovery: available for fluorescent dyes, HRP, biotin and gold.

Compatibility
This product is compatible with the Maxpar® Antibody Labeling Kit from Fluidigm, without the need for antibody preparation. Maxpar® is a trademark of Fluidigm Canada Inc.

Properties and storage information

Form
Liquid
Purification technique
Affinity purification Protein A
Storage buffer
pH: 7.2 - 7.4 Constituents: PBS
Shipped at conditions
Blue Ice
Appropriate short-term storage conditions
+4°C
Appropriate long-term storage conditions
+4°C
Storage information
Do Not Freeze

Product protocols

For this product, it's our understanding that no specific protocols are required. You can visit:

Target data

Involved in B-cell receptor (BCR)-induced Ca(2+) mobilization from intracellular stores. Promotes Lyn-mediated phosphorylation of IP3 receptors 1 and 2.
See full target information BANK1

Publications (1)

Recent publications for all applications. Explore the full list and refine your search

Carcinogenesis 45:475-486 PubMed38366633

2024

LMO3 is a suppressor of the basal-like/squamous subtype and reduces disease aggressiveness of pancreatic cancer through glycerol 3-phosphate metabolism.

Applications

Unspecified application

Species

Unspecified reactive species

Yuuki Ohara,Amanda J Craig,Huaitian Liu,Shouhui Yang,Paloma Moreno,Tiffany H Dorsey,Helen Cawley,Azadeh Azizian,Jochen Gaedcke,Michael Ghadimi,Nader Hanna,Stefan Ambs,S Perwez Hussain
View all publications

Product promise

We are committed to supporting your work with high-quality reagents, and we're here for you every step of the way. In the unlikely event that one of our products does not perform as expected, you're protected by our Product Promise.
For full details, please see our Terms & Conditions

Please note: All products are 'FOR RESEARCH USE ONLY. NOT FOR USE IN DIAGNOSTIC OR THERAPEUTIC PROCEDURES'.

For licensing inquiries, please contact partnerships@abcam.com