JavaScript is disabled in your browser. Please enable JavaScript to view this website.
AB256480

Anti-BAP1 antibody [EPR22826-65] - BSA and Azide free

Be the first to review this product! Submit a review

|

(0 Publication)

Rabbit Recombinant Monoclonal BAP1 antibody. Carrier free. Suitable for WB, IHC-P, Flow Cyt (Intra) and reacts with Human, Mouse, Rat samples.

View Alternative Names

KIAA0272, hucep-6, BAP1, Ubiquitin carboxyl-terminal hydrolase BAP1, BRCA1-associated protein 1, Cerebral protein 6

5 Images
Immunohistochemistry (Formalin/PFA-fixed paraffin-embedded sections) - Anti-BAP1 antibody [EPR22826-65] - BSA and Azide free (AB256480)
  • IHC-P

Unknown

Immunohistochemistry (Formalin/PFA-fixed paraffin-embedded sections) - Anti-BAP1 antibody [EPR22826-65] - BSA and Azide free (AB256480)

Immunohistochemistry (Formalin/PFA-fixed paraffin-embedded sections) analysis of Human lung carcinoma tissue labelling BAP1 with ab255611 at 1/100 dilution. Heat mediated antigen retrieval was performed usingTris-EDTA buffer (pH 9.0, epitope retrieval solution2) for 20 mins, LeicaDS9800 (Bond™ Polymer Refine Detection) was used as the secondary antibody. Negative control using PBS instead of primary antibody. Counterstained with hematoxylin. Nuclear staining on human lung carcinoma. The section was incubated with ab255611 for 30 mins at room temperature.
The immunostaining was performed on a Leica Biosystems BOND® RX instrument

This data was developed using the same antibody clone in a different buffer formulation containing PBS, BSA, glycerol, and sodium azide (ab255611).

Flow Cytometry (Intracellular) - Anti-BAP1 antibody [EPR22826-65] - BSA and Azide free (AB256480)
  • Flow Cyt (Intra)

Unknown

Flow Cytometry (Intracellular) - Anti-BAP1 antibody [EPR22826-65] - BSA and Azide free (AB256480)

Intracellular flow cytometric analysis of 4% paraformaldehyde-fixed, 90% methanol permeabilized PC-3 (human prostate adenocarcinoma epithelial cell) cells labeling BAP1 with ab255611 at 1/60 (Red) compared with a Rabbit monoclonal IgG (ab172730) (Black) isotype control and an unlabeled control (cells without incubation with primary antibody and secondary antibody) (Blue). A Goat anti rabbit IgG (Alexa Fluor®488, ab150077) at 1/2000 dilution was used as the secondary antibody.

This data was developed using the same antibody clone in a different buffer formulation containing PBS, BSA, glycerol, and sodium azide (ab255611).

Immunohistochemistry (Formalin/PFA-fixed paraffin-embedded sections) - Anti-BAP1 antibody [EPR22826-65] - BSA and Azide free (AB256480)
  • IHC-P

Unknown

Immunohistochemistry (Formalin/PFA-fixed paraffin-embedded sections) - Anti-BAP1 antibody [EPR22826-65] - BSA and Azide free (AB256480)

Immunohistochemistry (Formalin/PFA-fixed paraffin-embedded sections) analysis of Human colon carcinoma tissue labelling BAP1 with ab255611 at 1/100 dilution. Heat mediated antigen retrieval was performed usingTris-EDTA buffer (pH 9.0, epitope retrieval solution2) for 20 mins, LeicaDS9800 (Bond™ Polymer Refine Detection) was used as the secondary antibody. Negative control using PBS instead of primary antibody. Counterstained with hematoxylin. Nuclear staining on human colon carcinoma. The section was incubated with ab255611 for 30 mins at room temperature.
The immunostaining was performed on a Leica Biosystems BOND® RX instrument

This data was developed using the same antibody clone in a different buffer formulation containing PBS, BSA, glycerol, and sodium azide (ab255611).

Immunohistochemistry (Formalin/PFA-fixed paraffin-embedded sections) - Anti-BAP1 antibody [EPR22826-65] - BSA and Azide free (AB256480)
  • IHC-P

Unknown

Immunohistochemistry (Formalin/PFA-fixed paraffin-embedded sections) - Anti-BAP1 antibody [EPR22826-65] - BSA and Azide free (AB256480)

Immunohistochemistry (Formalin/PFA-fixed paraffin-embedded sections) analysis of Rat cerebrum tissue labelling BAP1 with ab255611 at 1/100 dilution. Heat mediated antigen retrieval was performed usingTris-EDTA buffer (pH 9.0, epitope retrieval solution2) for 20 mins, LeicaDS9800 (Bond™ Polymer Refine Detection) was used as the secondary antibody. Negative control using PBS instead of primary antibody. Counterstained with hematoxylin. Nuclear staining on rat cerebrum. The section was incubated with ab255611 for 30 mins at room temperature.
The immunostaining was performed on a Leica Biosystems BOND® RX instrument

This data was developed using the same antibody clone in a different buffer formulation containing PBS, BSA, glycerol, and sodium azide (ab255611).

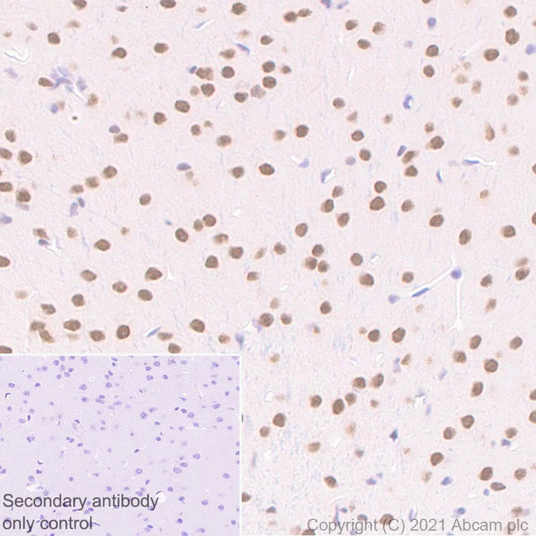
Immunohistochemistry (Formalin/PFA-fixed paraffin-embedded sections) - Anti-BAP1 antibody [EPR22826-65] - BSA and Azide free (AB256480)
  • IHC-P

Unknown

Immunohistochemistry (Formalin/PFA-fixed paraffin-embedded sections) - Anti-BAP1 antibody [EPR22826-65] - BSA and Azide free (AB256480)

Immunohistochemistry (Formalin/PFA-fixed paraffin-embedded sections) analysis of Mouse cerebrum tissue labelling BAP1 with ab255611 at 1/100 dilution. Heat mediated antigen retrieval was performed usingTris-EDTA buffer (pH 9.0, epitope retrieval solution2) for 20 mins, LeicaDS9800 (Bond™ Polymer Refine Detection) was used as the secondary antibody. Negative control using PBS instead of primary antibody. Counterstained with hematoxylin. Nuclear staining on mouse cerebrum. The section was incubated with ab255611 for 30 mins at room temperature.
The immunostaining was performed on a Leica Biosystems BOND® RX instrument

This data was developed using the same antibody clone in a different buffer formulation containing PBS, BSA, glycerol, and sodium azide (ab255611).

Key facts

Host species

Rabbit

Clonality

Monoclonal

Clone number

EPR22826-65

Isotype

IgG

Carrier free

Yes

Reacts with

Rat, Mouse, Human

Applications

IHC-P, WB, Flow Cyt (Intra)

applications

Immunogen

The exact immunogen used to generate this antibody is proprietary information.

Reactivity data

{ "title": "Reactivity Data", "filters": { "stats": ["", "Species", "Dilution Info", "Notes"], "tabs": { "all-applications": {"fullname" : "All Applications", "shortname": "All Applications"}, "IP" : {"fullname" : "Immunoprecipitation", "shortname":"IP"}, "WB" : {"fullname" : "Western blot", "shortname":"WB"}, "IHCP" : {"fullname" : "Immunohistochemistry (Formalin/PFA-fixed paraffin-embedded sections)", "shortname":"IHC-P"}, "ICCIF" : {"fullname" : "Immunocytochemistry/ Immunofluorescence", "shortname":"ICC/IF"}, "FlowCytIntra" : {"fullname" : "Flow Cytometry (Intracellular)", "shortname":"Flow Cyt (Intra)"} }, "product-promise": { "all": "all", "testedAndGuaranteed": "tested", "guaranteed": "expected", "predicted": "predicted", "notRecommended": "not-recommended" } }, "values": { "Human": { "IP-species-checked": "notRecommended", "IP-species-dilution-info": "", "IP-species-notes": "<p></p>", "WB-species-checked": "testedAndGuaranteed", "WB-species-dilution-info": "", "WB-species-notes": "<p></p>", "IHCP-species-checked": "testedAndGuaranteed", "IHCP-species-dilution-info": "1/100", "IHCP-species-notes": "<p></p>", "ICCIF-species-checked": "notRecommended", "ICCIF-species-dilution-info": "", "ICCIF-species-notes": "<p></p>", "FlowCytIntra-species-checked": "testedAndGuaranteed", "FlowCytIntra-species-dilution-info": "", "FlowCytIntra-species-notes": "<p></p>" }, "Mouse": { "IP-species-checked": "notRecommended", "IP-species-dilution-info": "", "IP-species-notes": "", "WB-species-checked": "guaranteed", "WB-species-dilution-info": "", "WB-species-notes": "", "IHCP-species-checked": "testedAndGuaranteed", "IHCP-species-dilution-info": "1/100", "IHCP-species-notes": "<p></p>", "ICCIF-species-checked": "notRecommended", "ICCIF-species-dilution-info": "", "ICCIF-species-notes": "", "FlowCytIntra-species-checked": "guaranteed", "FlowCytIntra-species-dilution-info": "", "FlowCytIntra-species-notes": "" }, "Rat": { "IP-species-checked": "notRecommended", "IP-species-dilution-info": "", "IP-species-notes": "", "WB-species-checked": "guaranteed", "WB-species-dilution-info": "", "WB-species-notes": "", "IHCP-species-checked": "testedAndGuaranteed", "IHCP-species-dilution-info": "1/100", "IHCP-species-notes": "<p></p>", "ICCIF-species-checked": "notRecommended", "ICCIF-species-dilution-info": "", "ICCIF-species-notes": "", "FlowCytIntra-species-checked": "guaranteed", "FlowCytIntra-species-dilution-info": "", "FlowCytIntra-species-notes": "" } } }

Product details

ab256480 is the carrier-free version of ab255611.

Patented technology
Our RabMAb® technology is a patented hybridoma-based technology for making rabbit monoclonal antibodies. For details on our patents, please refer to RabMAb® patents.

What are the advantages of a recombinant monoclonal antibody?
This product is a recombinant monoclonal antibody, which offers several advantages including:

  • - High batch-to-batch consistency and reproducibility
  • - Improved sensitivity and specificity
  • - Long-term security of supply
  • - Animal-free batch production

For more information, read more on recombinant antibodies.

Conjugation ready
Our carrier-free antibodies are typically supplied in a PBS-only formulation, purified and free of BSA, sodium azide and glycerol. This conjugation-ready format is designed for use with fluorochromes, metal isotopes, oligonucleotides, and enzymes, which makes them ideal for antibody labelling, functional and cell-based assays, flow-based assays (e.g. mass cytometry) and Multiplex Imaging applications.

Use our conjugation kits for antibody conjugates that are ready-to-use in as little as 20 minutes with 1 minute hands-on-time and 100% antibody recovery: available for fluorescent dyes, HRP, biotin and gold.

Compatibility
This product is compatible with the Maxpar® Antibody Labeling Kit from Fluidigm, without the need for antibody preparation. Maxpar® is a trademark of Fluidigm Canada Inc.

Properties and storage information

Form
Liquid
Purification technique
Affinity purification Protein A
Storage buffer
pH: 7.2 - 7.4 Constituents: PBS
Shipped at conditions
Blue Ice
Appropriate short-term storage conditions
+4°C
Appropriate long-term storage conditions
+4°C
Storage information
Do Not Freeze

Product protocols

For this product, it's our understanding that no specific protocols are required. You can visit:

Target data

Deubiquitinating enzyme that plays a key role in chromatin by mediating deubiquitination of histone H2A and HCFC1 (PubMed : 12485996, PubMed : 18757409, PubMed : 20436459, PubMed : 25451922, PubMed : 35051358). Catalytic component of the polycomb repressive deubiquitinase (PR-DUB) complex, a complex that specifically mediates deubiquitination of histone H2A monoubiquitinated at 'Lys-120' (H2AK119ub1) (PubMed : 20436459, PubMed : 25451922, PubMed : 30664650, PubMed : 35051358). Does not deubiquitinate monoubiquitinated histone H2B (PubMed : 20436459, PubMed : 30664650). The PR-DUB complex is an epigenetic regulator of gene expression and acts as a transcriptional coactivator, affecting genes involved in development, cell communication, signaling, cell proliferation and cell viability (PubMed : 20805357, PubMed : 30664650, PubMed : 36180891). Antagonizes PRC1 mediated H2AK119ub1 monoubiquitination (PubMed : 30664650). As part of the PR-DUB complex, associates with chromatin enriched in histone marks H3K4me1, H3K4me3, and H3K27Ac, but not in H3K27me3 (PubMed : 36180891). Recruited to specific gene-regulatory regions by YY1 (PubMed : 20805357). Acts as a regulator of cell growth by mediating deubiquitination of HCFC1 N-terminal and C-terminal chains, with some specificity toward 'Lys-48'-linked polyubiquitin chains compared to 'Lys-63'-linked polyubiquitin chains (PubMed : 19188440, PubMed : 19815555). Deubiquitination of HCFC1 does not lead to increase stability of HCFC1 (PubMed : 19188440, PubMed : 19815555). Interferes with the BRCA1 and BARD1 heterodimer activity by inhibiting their ability to mediate ubiquitination and autoubiquitination (PubMed : 19117993). It however does not mediate deubiquitination of BRCA1 and BARD1 (PubMed : 19117993). Able to mediate autodeubiquitination via intramolecular interactions to counteract monoubiquitination at the nuclear localization signal (NLS), thereby protecting it from cytoplasmic sequestration (PubMed : 24703950). Negatively regulates epithelial-mesenchymal transition (EMT) of trophoblast stem cells during placental development by regulating genes involved in epithelial cell integrity, cell adhesion and cytoskeletal organization (PubMed : 34170818).
See full target information BAP1

Product promise

We are committed to supporting your work with high-quality reagents, and we're here for you every step of the way. In the unlikely event that one of our products does not perform as expected, you're protected by our Product Promise.
For full details, please see our Terms & Conditions

Please note: All products are 'FOR RESEARCH USE ONLY. NOT FOR USE IN DIAGNOSTIC OR THERAPEUTIC PROCEDURES'.

For licensing inquiries, please contact partnerships@abcam.com