JavaScript is disabled in your browser. Please enable JavaScript to view this website.
AB37120

Anti-BAP31 antibody

4

(1 Review)

|

(8 Publications)

Rabbit Polyclonal BAP31 antibody. Suitable for WB, IHC-P and reacts with Mouse, Rat, Human samples. Cited in 8 publications. Immunogen corresponding to Synthetic Peptide within Human BCAP31.

View Alternative Names

BAP31, DXS1357E, BCAP31, B-cell receptor-associated protein 31, BCR-associated protein 31, Bap31, 6C6-AG tumor-associated antigen, Protein CDM, p28

3 Images
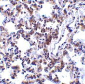
Immunohistochemistry (Formalin/PFA-fixed paraffin-embedded sections) - Anti-BAP31 antibody (AB37120)
  • IHC-P

Unknown

Immunohistochemistry (Formalin/PFA-fixed paraffin-embedded sections) - Anti-BAP31 antibody (AB37120)

ab37120 at 2μg/ml staining BAP31 in rat lung tissue by IHC

Western blot - Anti-BAP31 antibody (AB37120)
  • WB

Supplier Data

Western blot - Anti-BAP31 antibody (AB37120)

All lanes:

Western blot - Anti-BAP31 antibody (ab37120) at 0.5 µg/mL

Lane 1:

293 cell lysate at 15 µg

Lane 2:

A431 cell lysates at 15 µg

Lane 3:

A559 cell lysate at 15 µg

Lane 4:

Caco-2 (Human colorectal adenocarcinoma) cell lysate at 15 µg

Lane 5:

Daudi cell lysate at 15 µg

Lane 6:

HeLa cell lysate at 15 µg

Lane 7:

HepG2 cell lysate at 15 µg

Lane 8:

K562 cell lysate at 15 µg

Lane 9:

MCF-7 cell lysate at 15 µg

Lane 10:

Jurkat cell lysate at 15 µg

Lane 11:

SK-N-SH cell lysate at 15 µg

Lane 12:

THP-1 cell lysate at 15 µg

Lane 13:

3T3/NIH at 15 µg

Lane 14:

YB2/0 cell lysate at 15 µg

Secondary

All lanes:

Goat anti-rabbit IgG HRP conjugate at 1/10000 dilution

Predicted band size: 28 kDa

false

Western blot - Anti-BAP31 antibody (AB37120)
  • WB

Unknown

Western blot - Anti-BAP31 antibody (AB37120)

Lane 1:

Western blot - Anti-BAP31 antibody (ab37120) at 0.5 µg/mL

Lane 2:

Western blot - Anti-BAP31 antibody (ab37120) at 1 µg/mL

Lane 3:

Western blot - Anti-BAP31 antibody (ab37120) at 2 µg/mL

All lanes:

Ramos cell lysate at 15 µg

Predicted band size: 28 kDa

Observed band size: 31 kDa

false

Key facts

Host species

Rabbit

Clonality

Polyclonal

Isotype

IgG

Carrier free

No

Reacts with

Mouse, Rat, Human

Applications

IHC-P, WB

applications

Immunogen

Synthetic Peptide within Human BCAP31. The exact immunogen used to generate this antibody is proprietary information.

P51572

Reactivity data

{ "title": "Reactivity Data", "filters": { "stats": ["", "Species", "Dilution Info", "Notes"], "tabs": { "all-applications": {"fullname" : "All Applications", "shortname": "All Applications"}, "WB" : {"fullname" : "Western blot", "shortname":"WB"}, "IHCP" : {"fullname" : "Immunohistochemistry (Formalin/PFA-fixed paraffin-embedded sections)", "shortname":"IHC-P"} }, "product-promise": { "all": "all", "testedAndGuaranteed": "tested", "guaranteed": "expected", "predicted": "predicted", "notRecommended": "not-recommended" } }, "values": { "Human": { "WB-species-checked": "testedAndGuaranteed", "WB-species-dilution-info": "0.5-1 µg/mL", "WB-species-notes": "<p></p>", "IHCP-species-checked": "guaranteed", "IHCP-species-dilution-info": "", "IHCP-species-notes": "" }, "Mouse": { "WB-species-checked": "testedAndGuaranteed", "WB-species-dilution-info": "0.5-1 µg/mL", "WB-species-notes": "<p></p>", "IHCP-species-checked": "guaranteed", "IHCP-species-dilution-info": "", "IHCP-species-notes": "" }, "Rat": { "WB-species-checked": "testedAndGuaranteed", "WB-species-dilution-info": "0.5-1 µg/mL", "WB-species-notes": "<p></p>", "IHCP-species-checked": "testedAndGuaranteed", "IHCP-species-dilution-info": "2 µg/mL", "IHCP-species-notes": "<p></p>" } } }

Properties and storage information

Form
Liquid
Purification technique
Affinity purification Immunogen
Storage buffer
pH: 7.2 Preservative: 0.02% Sodium azide Constituents: PBS
Shipped at conditions
Blue Ice
Appropriate short-term storage conditions
+4°C
Appropriate long-term storage conditions
-20°C
Aliquoting information
Upon delivery aliquot
Storage information
Avoid freeze / thaw cycle

Product protocols

For this product, it's our understanding that no specific protocols are required. You can visit:

Target data

Functions as a chaperone protein (PubMed : 18287538, PubMed : 9396746). Is one of the most abundant endoplasmic reticulum (ER) proteins (PubMed : 18287538, PubMed : 9396746). Plays a role in the export of secreted proteins in the ER, the recognition of abnormally folded protein and their targeting to the ER associated-degradation (ERAD) (PubMed : 18287538, PubMed : 9396746). Also serves as a cargo receptor for the export of transmembrane proteins (By similarity). Plays a role in the assembly of the mitochondrial membrane respiratory chain NADH dehydrogenase (Complex I) by stimulating the translocation of NDUFS4 and NDUFB11 from the cytosol to the mitochondria via interaction with TOMM40 (PubMed : 31206022). In response to ER stress, delocalizes from the ER-mitochondria contact sites and binds BCL2 (PubMed : 31206022). May be involved in CASP8-mediated apoptosis (PubMed : 10958671).
See full target information BCAP31

Publications (8)

Recent publications for all applications. Explore the full list and refine your search

Cell death & disease 15:48 PubMed38218922

2024

Akt enhances the vulnerability of cancer cells to VCP/p97 inhibition-mediated paraptosis.

Applications

Unspecified application

Species

Unspecified reactive species

Dong Min Lee,In Young Kim,Hong Jae Lee,Min Ji Seo,Mi-Young Cho,Hae In Lee,Gyesoon Yoon,Jae-Hoon Ji,Seok Soon Park,Seong-Yun Jeong,Eun Kyung Choi,Yong Hyeon Choi,Chae-Ok Yun,Mirae Yeo,Eunhee Kim,Kyeong Sook Choi

Biochemical pharmacology 162:41-54 PubMed30529689

2018

Loperamide overcomes the resistance of colon cancer cells to bortezomib by inducing CHOP-mediated paraptosis-like cell death.

Applications

Unspecified application

Species

Unspecified reactive species

In Young Kim,Min June Shim,Dong Min Lee,A Reum Lee,Mi Ae Kim,Mi Jin Yoon,Mi Ri Kwon,Hae In Lee,Min Ji Seo,Yong Won Choi,Kyeong Sook Choi

Pathology, research and practice 214:661-666 PubMed29653744

2018

Low expression of B-Cell-Associated protein 31 is associated with unfavorable prognosis in human colorectal cancer.

Applications

Unspecified application

Species

Unspecified reactive species

Chong Ma,Ri-Ming Jin,Ke-Ji Chen,Tao Hao,Bao-Song Li,Da-Hua Zhao,Hong Jiang

Histopathology 68:221-9 PubMed25980696

2015

Low expression of B-cell-associated protein 31 in human primary hepatocellular carcinoma correlates with poor prognosis.

Applications

Unspecified application

Species

Unspecified reactive species

Ning Tan,Qinyi Liu,Xiaojia Liu,Zhiwei Gong,Yonglian Zeng,Guangdong Pan,Qing Xu,Songqing He

Virology 482:105-10 PubMed25854864

2015

Interaction between human BAP31 and respiratory syncytial virus small hydrophobic (SH) protein.

Applications

Unspecified application

Species

Unspecified reactive species

Yan Li,Neeraj Jain,Suweeraya Limpanawat,Janet To,Esben M Quistgaard,Par Nordlund,Thirumaran Thanabalu,Jaume Torres

Cell death & disease 3:e341 PubMed22764100

2012

The ATF6 branch of unfolded protein response and apoptosis are activated to promote African swine fever virus infection.

Applications

WB

Species

Unspecified reactive species

I Galindo,B Hernáez,R Muñoz-Moreno,M A Cuesta-Geijo,I Dalmau-Mena,C Alonso

Journal of immunology (Baltimore, Md. : 1950) 182:5382-92 PubMed19380785

2009

Developmental acquisition of the Lyn-CD22-SHP-1 inhibitory pathway promotes B cell tolerance.

Applications

WB

Species

Mouse

Andrew J Gross,Julia R Lyandres,Anil K Panigrahi,Eline T Luning Prak,Anthony L DeFranco

The EMBO journal 28:578-90 PubMed19165151

2009

Mechanisms of pre-apoptotic calreticulin exposure in immunogenic cell death.

Applications

WB

Species

Mouse

Theocharis Panaretakis,Oliver Kepp,Ulf Brockmeier,Antoine Tesniere,Ann-Charlotte Bjorklund,Daniel C Chapman,Michael Durchschlag,Nicholas Joza,Gérard Pierron,Peter van Endert,Junying Yuan,Laurence Zitvogel,Frank Madeo,David B Williams,Guido Kroemer
View all publications

Product promise

We are committed to supporting your work with high-quality reagents, and we're here for you every step of the way. In the unlikely event that one of our products does not perform as expected, you're protected by our Product Promise.
For full details, please see our Terms & Conditions

Please note: All products are 'FOR RESEARCH USE ONLY. NOT FOR USE IN DIAGNOSTIC OR THERAPEUTIC PROCEDURES'.

For licensing inquiries, please contact partnerships@abcam.com