JavaScript is disabled in your browser. Please enable JavaScript to view this website.
AB247829

Anti-BAP31 antibody [EPR3878(2)] - BSA and Azide free

Be the first to review this product! Submit a review

|

(0 Publication)

Rabbit Recombinant Monoclonal BAP31 antibody. Carrier free. Suitable for IHC-P, ICC/IF, WB and reacts with Human samples.

View Alternative Names

BAP31, DXS1357E, BCAP31, B-cell receptor-associated protein 31, BCR-associated protein 31, Bap31, 6C6-AG tumor-associated antigen, Protein CDM, p28

5 Images
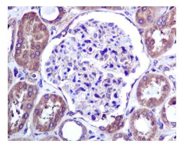
Immunohistochemistry (Formalin/PFA-fixed paraffin-embedded sections) - Anti-BAP31 antibody [EPR3878(2)] - BSA and Azide free (AB247829)
  • IHC-P

Unknown

Immunohistochemistry (Formalin/PFA-fixed paraffin-embedded sections) - Anti-BAP31 antibody [EPR3878(2)] - BSA and Azide free (AB247829)

This data was developed using ab109304, the same antibody clone in a different buffer formulation.

ab109304, at 1/250 dilution, staining Human kidney tissue by immunohistochemistry.

Perform heat mediated antigen retrieval with citrate buffer pH 6 before commencing with IHC staining protocol.

Immunohistochemistry (Formalin/PFA-fixed paraffin-embedded sections) - Anti-BAP31 antibody [EPR3878(2)] - BSA and Azide free (AB247829)
  • IHC-P

Unknown

Immunohistochemistry (Formalin/PFA-fixed paraffin-embedded sections) - Anti-BAP31 antibody [EPR3878(2)] - BSA and Azide free (AB247829)

This data was developed using ab109304, the same antibody clone in a different buffer formulation.

ab109304, at 1/250 dilution, staining Human brain tissue by immunohistochemistry.

Perform heat mediated antigen retrieval with citrate buffer pH 6 before commencing with IHC staining protocol.

Immunocytochemistry/ Immunofluorescence - Anti-BAP31 antibody [EPR3878(2)] - BSA and Azide free (AB247829)
  • ICC/IF

Unknown

Immunocytochemistry/ Immunofluorescence - Anti-BAP31 antibody [EPR3878(2)] - BSA and Azide free (AB247829)

This data was developed using ab109304, the same antibody clone in a different buffer formulation.ab109304, at 1/100 dilution, staining HeLa cells by immunofluorescence.

Western blot - Anti-BAP31 antibody [EPR3878(2)] - BSA and Azide free (AB247829)
  • WB

Unknown

Western blot - Anti-BAP31 antibody [EPR3878(2)] - BSA and Azide free (AB247829)

This data was developed using ab109304, the same antibody clone in a different buffer formulation.

All lanes:

Western blot - Anti-BAP31 antibody [EPR3878(2)] (<a href='/en-us/products/primary-antibodies/bap31-antibody-epr38782-ab109304'>ab109304</a>) at 1/1000 dilution

Lane 1:

HeLa cell lysate at 10 µg

Lane 2:

Human placenta tissue lysate at 10 µg

Lane 3:

NCCIT cell lysate at 10 µg

Predicted band size: 28 kDa

false

Western blot - Anti-BAP31 antibody [EPR3878(2)] - BSA and Azide free (AB247829)
  • WB

Lab

Western blot - Anti-BAP31 antibody [EPR3878(2)] - BSA and Azide free (AB247829)

This data was developed using the same antibody clone in a different buffer formulation (ab109304).

Lanes 1-4 : Merged signal (red and green). Green - ab109304 observed at 28 kDa. Red - loading control ab7291 observed at 50 kDa.

ab109304 Anti-BAP31 antibody [EPR3878(2)] was shown to specifically react with BAP31 in wild-type HEK293T cells. Loss of signal was observed when knockout cell line ab266634 (knockout cell lysate ab257857) was used. Wild-type and BAP31 knockout samples were subjected to SDS-PAGE. ab109304 and Anti-alpha Tubulin antibody [DM1A] - Loading Control (ab7291) were incubated overnight at 4°C at 1 in 1000 dilution and 1 in 20000 dilution respectively. Blots were developed with Goat anti-Rabbit IgG H&L (IRDye® 800CW) preadsorbed (ab216773) and Goat anti-Mouse IgG H&L (IRDye® 680RD) preadsorbed (ab216776) secondary antibodies at 1 in 20000 dilution for 1 hour at room temperature before imaging.

All lanes:

Western blot - Anti-BAP31 antibody [EPR3878(2)] (<a href='/en-us/products/primary-antibodies/bap31-antibody-epr38782-ab109304'>ab109304</a>) at 1/1000 dilution

Lane 1:

Wild-type HEK293T cell lysate at 20 µg

Lane 2:

BCAP31 knockout HEK293T cell lysate at 20 µg

Lane 2:

Western blot - Human BCAP31 (BAP31) knockout HEK-293T cell line (<a href='/en-us/products/cell-lines/human-bcap31-bap31-knockout-hek-293t-cell-line-ab266634'>ab266634</a>)

Lane 3:

HeLa cell lysate at 20 µg

Lane 4:

NCCIT cell lysate at 20 µg

Secondary

All lanes:

Western blot - Goat anti-Rabbit IgG H&L (IRDye® 800CW) preadsorbed (<a href='/en-us/products/secondary-antibodies/goat-rabbit-igg-h-l-irdye-800cw-preadsorbed-ab216773'>ab216773</a>) at 1/10000 dilution

Predicted band size: 28 kDa

Observed band size: 28 kDa

false

Key facts

Host species

Rabbit

Clonality

Monoclonal

Clone number

EPR3878(2)

Isotype

IgG

Carrier free

Yes

Reacts with

Human

Applications

IHC-P, ICC/IF, WB

applications

Immunogen

The exact immunogen used to generate this antibody is proprietary information.

Reactivity data

{ "title": "Reactivity Data", "filters": { "stats": ["", "Species", "Dilution Info", "Notes"], "tabs": { "all-applications": {"fullname" : "All Applications", "shortname": "All Applications"}, "IHCP" : {"fullname" : "Immunohistochemistry (Formalin/PFA-fixed paraffin-embedded sections)", "shortname":"IHC-P"}, "ICCIF" : {"fullname" : "Immunocytochemistry/ Immunofluorescence", "shortname":"ICC/IF"}, "IP" : {"fullname" : "Immunoprecipitation", "shortname":"IP"}, "WB" : {"fullname" : "Western blot", "shortname":"WB"} }, "product-promise": { "all": "all", "testedAndGuaranteed": "tested", "guaranteed": "expected", "predicted": "predicted", "notRecommended": "not-recommended" } }, "values": { "Human": { "IHCP-species-checked": "testedAndGuaranteed", "IHCP-species-dilution-info": "", "IHCP-species-notes": "<p></p>", "ICCIF-species-checked": "testedAndGuaranteed", "ICCIF-species-dilution-info": "", "ICCIF-species-notes": "<p></p>", "IP-species-checked": "notRecommended", "IP-species-dilution-info": "", "IP-species-notes": "<p></p>", "WB-species-checked": "testedAndGuaranteed", "WB-species-dilution-info": "", "WB-species-notes": "<p></p>" }, "Mouse": { "IHCP-species-checked": "predicted", "IHCP-species-dilution-info": "", "IHCP-species-notes": "", "ICCIF-species-checked": "predicted", "ICCIF-species-dilution-info": "", "ICCIF-species-notes": "", "IP-species-checked": "notRecommended", "IP-species-dilution-info": "", "IP-species-notes": "", "WB-species-checked": "predicted", "WB-species-dilution-info": "", "WB-species-notes": "" } } }

Product details

ab247829 is the carrier-free version of ab109304.

Patented technology
Our RabMAb® technology is a patented hybridoma-based technology for making rabbit monoclonal antibodies. For details on our patents, please refer to RabMAb® patents.

What are the advantages of a recombinant monoclonal antibody?
This product is a recombinant monoclonal antibody, which offers several advantages including:

  • - High batch-to-batch consistency and reproducibility
  • - Improved sensitivity and specificity
  • - Long-term security of supply
  • - Animal-free batch production

For more information, read more on recombinant antibodies.

Species reactivity
Rat: We have preliminary internal testing data to indicate this antibody may not react with this species.
Please contact us for more information.

Conjugation ready
Our carrier-free antibodies are typically supplied in a PBS-only formulation, purified and free of BSA, sodium azide and glycerol. This conjugation-ready format is designed for use with fluorochromes, metal isotopes, oligonucleotides, and enzymes, which makes them ideal for antibody labelling, functional and cell-based assays, flow-based assays (e.g. mass cytometry) and Multiplex Imaging applications.

Use our conjugation kits for antibody conjugates that are ready-to-use in as little as 20 minutes with 1 minute hands-on-time and 100% antibody recovery: available for fluorescent dyes, HRP, biotin and gold.

Compatibility
This product is compatible with the Maxpar® Antibody Labeling Kit from Fluidigm, without the need for antibody preparation. Maxpar® is a trademark of Fluidigm Canada Inc.

Properties and storage information

Form
Liquid
Purification technique
Affinity purification Protein A
Storage buffer
pH: 7.2 - 7.4 Constituents: PBS
Shipped at conditions
Blue Ice
Appropriate short-term storage conditions
+4°C
Appropriate long-term storage conditions
+4°C
Storage information
Do Not Freeze

Product protocols

For this product, it's our understanding that no specific protocols are required. You can visit:

Target data

Functions as a chaperone protein (PubMed : 18287538, PubMed : 9396746). Is one of the most abundant endoplasmic reticulum (ER) proteins (PubMed : 18287538, PubMed : 9396746). Plays a role in the export of secreted proteins in the ER, the recognition of abnormally folded protein and their targeting to the ER associated-degradation (ERAD) (PubMed : 18287538, PubMed : 9396746). Also serves as a cargo receptor for the export of transmembrane proteins (By similarity). Plays a role in the assembly of the mitochondrial membrane respiratory chain NADH dehydrogenase (Complex I) by stimulating the translocation of NDUFS4 and NDUFB11 from the cytosol to the mitochondria via interaction with TOMM40 (PubMed : 31206022). In response to ER stress, delocalizes from the ER-mitochondria contact sites and binds BCL2 (PubMed : 31206022). May be involved in CASP8-mediated apoptosis (PubMed : 10958671).
See full target information BCAP31

Product promise

We are committed to supporting your work with high-quality reagents, and we're here for you every step of the way. In the unlikely event that one of our products does not perform as expected, you're protected by our Product Promise.
For full details, please see our Terms & Conditions

Please note: All products are 'FOR RESEARCH USE ONLY. NOT FOR USE IN DIAGNOSTIC OR THERAPEUTIC PROCEDURES'.

For licensing inquiries, please contact partnerships@abcam.com