JavaScript is disabled in your browser. Please enable JavaScript to view this website.
AB226854

Anti-BARD1 antibody

Be the first to review this product! Submit a review

|

(11 Publications)

Rabbit Polyclonal BARD1 antibody. Suitable for WB, IHC-P, ICC/IF and reacts with Human, Mouse, Rat samples. Cited in 11 publications. Immunogen corresponding to Recombinant Fragment Protein within Human BARD1.

View Alternative Names

BRCA1-associated RING domain protein 1, BARD-1, RING-type E3 ubiquitin transferase BARD1, BARD1

4 Images
Immunocytochemistry/ Immunofluorescence - Anti-BARD1 antibody (AB226854)
  • ICC/IF

Supplier Data

Immunocytochemistry/ Immunofluorescence - Anti-BARD1 antibody (AB226854)

4% paraformaldehyde-fixed A431 (human epidermoid carcinoma cell line) cells stained for BARD1 (green) using ab226854 at 1/500 dilution in ICC/IF.

Blue : Hoechst 33342 staining.

Immunohistochemistry (Formalin/PFA-fixed paraffin-embedded sections) - Anti-BARD1 antibody (AB226854)
  • IHC-P

Supplier Data

Immunohistochemistry (Formalin/PFA-fixed paraffin-embedded sections) - Anti-BARD1 antibody (AB226854)

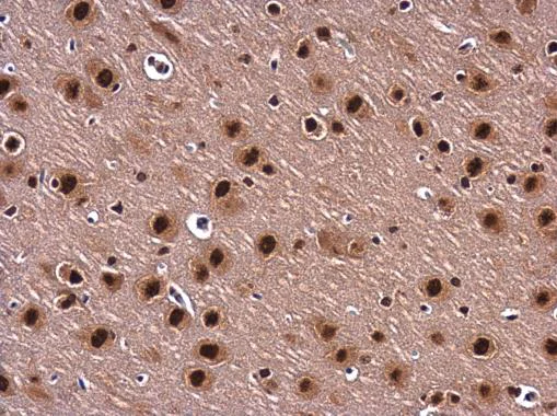
Paraffin-embedded mouse brain tissue stained for BARD1 with ab226854 at 1/400 dilution in immunohistochemical analysis

Immunohistochemistry (Formalin/PFA-fixed paraffin-embedded sections) - Anti-BARD1 antibody (AB226854)
  • IHC-P

Supplier Data

Immunohistochemistry (Formalin/PFA-fixed paraffin-embedded sections) - Anti-BARD1 antibody (AB226854)

Paraffin-embedded rat brain tissue stained for BARD1 with ab226854 at 1/400 dilution in immunohistochemical analysis

Western blot - Anti-BARD1 antibody (AB226854)
  • WB

Supplier Data

Western blot - Anti-BARD1 antibody (AB226854)

7.5% SDS-PAGE gel.

All lanes:

Western blot - Anti-BARD1 antibody (ab226854) at 1/1000 dilution

Lane 1:

A431 (human epidermoid carcinoma cell line) whole cell extract at 30 µg

Lane 2:

A431 nuclear extract at 30 µg

Predicted band size: 87 kDa

false

Key facts

Host species

Rabbit

Clonality

Polyclonal

Isotype

IgG

Carrier free

No

Reacts with

Mouse, Rat, Human

Applications

IHC-P, ICC/IF, WB

applications

Immunogen

Recombinant Fragment Protein within Human BARD1. The exact immunogen used to generate this antibody is proprietary information.

Q99728

Reactivity data

{ "title": "Reactivity Data", "filters": { "stats": ["", "Species", "Dilution Info", "Notes"], "tabs": { "all-applications": {"fullname" : "All Applications", "shortname": "All Applications"}, "WB" : {"fullname" : "Western blot", "shortname":"WB"}, "IHCP" : {"fullname" : "Immunohistochemistry (Formalin/PFA-fixed paraffin-embedded sections)", "shortname":"IHC-P"}, "ICCIF" : {"fullname" : "Immunocytochemistry/ Immunofluorescence", "shortname":"ICC/IF"} }, "product-promise": { "all": "all", "testedAndGuaranteed": "tested", "guaranteed": "expected", "predicted": "predicted", "notRecommended": "not-recommended" } }, "values": { "Human": { "WB-species-checked": "testedAndGuaranteed", "WB-species-dilution-info": "1/500 - 1/3000", "WB-species-notes": "<p></p>", "IHCP-species-checked": "guaranteed", "IHCP-species-dilution-info": "", "IHCP-species-notes": "", "ICCIF-species-checked": "testedAndGuaranteed", "ICCIF-species-dilution-info": "1/100 - 1/1000", "ICCIF-species-notes": "<p></p>" }, "Mouse": { "WB-species-checked": "guaranteed", "WB-species-dilution-info": "", "WB-species-notes": "", "IHCP-species-checked": "testedAndGuaranteed", "IHCP-species-dilution-info": "1/100 - 1/1000", "IHCP-species-notes": "<p></p>", "ICCIF-species-checked": "guaranteed", "ICCIF-species-dilution-info": "", "ICCIF-species-notes": "" }, "Rat": { "WB-species-checked": "guaranteed", "WB-species-dilution-info": "", "WB-species-notes": "", "IHCP-species-checked": "testedAndGuaranteed", "IHCP-species-dilution-info": "1/100 - 1/1000", "IHCP-species-notes": "<p></p>", "ICCIF-species-checked": "guaranteed", "ICCIF-species-dilution-info": "", "ICCIF-species-notes": "" } } }

Properties and storage information

Form
Liquid
Purification technique
Affinity purification Immunogen
Storage buffer
pH: 7 Preservative: 0.025% Proclin 300 Constituents: PBS, 20% Glycerol (glycerin, glycerine)
Shipped at conditions
Blue Ice
Appropriate short-term storage duration
1-2 weeks
Appropriate short-term storage conditions
+4°C
Appropriate long-term storage conditions
-20°C
Aliquoting information
Upon delivery aliquot
Storage information
Avoid freeze / thaw cycle

Product protocols

For this product, it's our understanding that no specific protocols are required. You can visit:

Target data

E3 ubiquitin-protein ligase. The BRCA1-BARD1 heterodimer specifically mediates the formation of 'Lys-6'-linked polyubiquitin chains and coordinates a diverse range of cellular pathways such as DNA damage repair, ubiquitination and transcriptional regulation to maintain genomic stability. Plays a central role in the control of the cell cycle in response to DNA damage. Acts by mediating ubiquitin E3 ligase activity that is required for its tumor suppressor function. Also forms a heterodimer with CSTF1/CSTF-50 to modulate mRNA processing and RNAP II stability by inhibiting pre-mRNA 3' cleavage.
See full target information BARD1

Publications (11)

Recent publications for all applications. Explore the full list and refine your search

Neoplasia (New York, N.Y.) 63:101152 PubMed40096771

2025

Targeting BARD1 suppresses a Myc-dependent transcriptional program and tumor growth in pancreatic ductal adenocarcinoma.

Applications

Unspecified application

Species

Unspecified reactive species

Sohum Patel,Eleanor Jenkins,Rutuj P Kusurkar,Sherry Lee,Wei Jiang,Avinoam Nevler,Matthew McCoy,Michael J Pishvaian,Rosalie C Sears,Jonathan R Brody,Charles J Yeo,Aditi Jain

Molecular carcinogenesis 64:91-107 PubMed39387837

2024

Functional Analysis of BARD1 Missense Variants on Homology-Directed Repair in Ovarian and Breast Cancers.

Applications

Unspecified application

Species

Unspecified reactive species

Wenjing Li,Guansheng Chen,Yongjun Wang,Yuening Jiang,Nanlin Wu,Mingjie Hu,Taju Wu,Wei Yue

iScience 27:109870 PubMed38799573

2024

IGF2BP3 modified GLI2 transcriptionally regulates SYVN1 and facilitates sepsis liver injury through autophagy.

Applications

Unspecified application

Species

Unspecified reactive species

Chuanzheng Sun,Min Gao,Haotian Hu,Jing Qi,Yishu Tang,Xiaoxue Cao,Runbang Zhang,Huaizheng Liu

Molecular therapy. Nucleic acids 34:102074 PubMed38074896

2023

Exosomal miRNA-155-5p from M1-polarized macrophages suppresses angiogenesis by targeting GDF6 to interrupt diabetic wound healing.

Applications

Unspecified application

Species

Unspecified reactive species

Ruohan Lou,Jiali Chen,Fei Zhou,Tian Zhang,Xiuping Chen,Chunming Wang,Bing Guo,Ligen Lin

Developmental cell 57:1776-1788.e8 PubMed35809564

2022

Genetic variation associated with condensate dysregulation in disease.

Applications

Unspecified application

Species

Unspecified reactive species

Salman F Banani,Lena K Afeyan,Susana W Hawken,Jonathan E Henninger,Alessandra Dall'Agnese,Victoria E Clark,Jesse M Platt,Ozgur Oksuz,Nancy M Hannett,Ido Sagi,Tong Ihn Lee,Richard A Young

Genetics in medicine : official journal of the American College of Medical Genetics 24:1821-1830 PubMed35616648

2022

Cancer Risk C (CR-C), a functional genomics test is a sensitive and rapid test for germline mismatch repair deficiency.

Applications

Unspecified application

Species

Unspecified reactive species

Ishraq Alim,Johnny Loke,Sarah Yam,Allyson S Templeton,Polly Newcomb,Noralane M Lindor,Rish K Pai,Mark A Jenkins,Daniel D Buchanan,Steven Gallinger,Susan Klugman,Harry Ostrer

Cell biology international 46:922-932 PubMed35143098

2022

USP25 inhibits DNA damage by stabilizing BARD1 protein in a house dust mite-induced asthmatic model in vitro and in vivo.

Applications

Unspecified application

Species

Unspecified reactive species

Cong Gan,Ye Wang,Qian Zhao,Mi Kong,Jinnan Chen,Wanying Zhang,Lingxiao Tan,Man Tian

EMBO reports 23:e51041 PubMed34758190

2021

POGZ promotes homology-directed DNA repair in an HP1-dependent manner.

Applications

Unspecified application

Species

Unspecified reactive species

John Heath,Estelle Simo Cheyou,Steven Findlay,Vincent M Luo,Edgar Pinedo Carpio,Jeesan Lee,Billel Djerir,Xiaoru Chen,Théo Morin,Benjamin Lebeau,Martin Karam,Halil Bagci,Damien Grapton,Josie Ursini-Siegel,Jean-Francois Côté,Michael Witcher,Stéphane Richard,Alexandre Maréchal,Alexandre Orthwein

Cell reports 34:108921 PubMed33789098

2021

SIRT2 promotes BRCA1-BARD1 heterodimerization through deacetylation.

Applications

Unspecified application

Species

Unspecified reactive species

Elizabeth V Minten,Priya Kapoor-Vazirani,Chunyang Li,Hui Zhang,Kamakshi Balakrishnan,David S Yu

Nature communications 12:1243 PubMed33623049

2021

A synergetic effect of BARD1 mutations on tumorigenesis.

Applications

Unspecified application

Species

Unspecified reactive species

Wenjing Li,Xiaoyang Gu,Chunhong Liu,Yanyan Shi,Pan Wang,Na Zhang,Rui Wu,Liang Leng,Bingteng Xie,Chen Song,Mo Li
View all publications

Product promise

We are committed to supporting your work with high-quality reagents, and we're here for you every step of the way. In the unlikely event that one of our products does not perform as expected, you're protected by our Product Promise.
For full details, please see our Terms & Conditions

Please note: All products are 'FOR RESEARCH USE ONLY. NOT FOR USE IN DIAGNOSTIC OR THERAPEUTIC PROCEDURES'.

For licensing inquiries, please contact partnerships@abcam.com