JavaScript is disabled in your browser. Please enable JavaScript to view this website.
AB214322

Anti-BASP1 antibody

1

(1 Review)

|

(5 Publications)

Rabbit Polyclonal BASP1 antibody. Suitable for IHC-P, WB and reacts with Rat, Mouse samples. Cited in 5 publications. Immunogen corresponding to Synthetic Peptide within Human BASP1 aa 1-100 conjugated to Keyhole Limpet Haemocyanin.

View Alternative Names

NAP22, BASP1, Brain acid soluble protein 1, 22 kDa neuronal tissue-enriched acidic protein, Neuronal axonal membrane protein NAP-22

2 Images
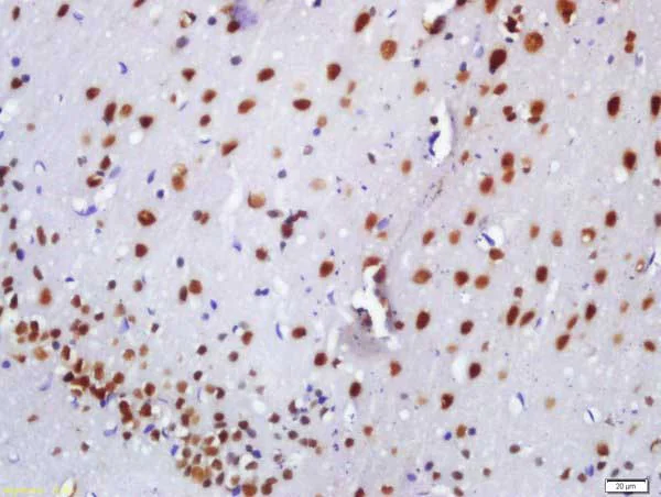
Immunohistochemistry (Formalin/PFA-fixed paraffin-embedded sections) - Anti-BASP1 antibody (AB214322)
  • IHC-P

Supplier Data

Immunohistochemistry (Formalin/PFA-fixed paraffin-embedded sections) - Anti-BASP1 antibody (AB214322)

Immunohistochemical analysis of formalin-fixed, paraffin-embedded rat brain tissue labeling with BASP1 with ab214322 at 1/200 dilution, followed by conjugation to the secondary antibody and DAB staining.

Western blot - Anti-BASP1 antibody (AB214322)
  • WB

Supplier Data

Western blot - Anti-BASP1 antibody (AB214322)

15% gel

All lanes:

Western blot - Anti-BASP1 antibody (ab214322) at 1/200 dilution

All lanes:

Mouse brain lysate

Secondary

All lanes:

Goat Anti-Rabbit IgG Antibody (H+L), HRP Conjugated at 1/3000 dilution

Predicted band size: 23 kDa

false

Key facts

Host species

Rabbit

Clonality

Polyclonal

Isotype

IgG

Carrier free

No

Reacts with

Mouse, Rat

Applications

IHC-P, WB

applications

Immunogen

Synthetic Peptide within Human BASP1 aa 1-100 conjugated to Keyhole Limpet Haemocyanin. The exact immunogen used to generate this antibody is proprietary information.

P80723

Reactivity data

{ "title": "Reactivity Data", "filters": { "stats": ["", "Species", "Dilution Info", "Notes"], "tabs": { "all-applications": {"fullname" : "All Applications", "shortname": "All Applications"}, "IHCP" : {"fullname" : "Immunohistochemistry (Formalin/PFA-fixed paraffin-embedded sections)", "shortname":"IHC-P"}, "WB" : {"fullname" : "Western blot", "shortname":"WB"} }, "product-promise": { "all": "all", "testedAndGuaranteed": "tested", "guaranteed": "expected", "predicted": "predicted", "notRecommended": "not-recommended" } }, "values": { "Human": { "IHCP-species-checked": "predicted", "IHCP-species-dilution-info": "", "IHCP-species-notes": "", "WB-species-checked": "predicted", "WB-species-dilution-info": "", "WB-species-notes": "" }, "Mouse": { "IHCP-species-checked": "guaranteed", "IHCP-species-dilution-info": "", "IHCP-species-notes": "", "WB-species-checked": "testedAndGuaranteed", "WB-species-dilution-info": "1/100 - 1/1000", "WB-species-notes": "<p></p>" }, "Rat": { "IHCP-species-checked": "testedAndGuaranteed", "IHCP-species-dilution-info": "1/100 - 1/500", "IHCP-species-notes": "<p></p> Perform heat-mediated antigen retrieval with citrate buffer pH 6 before commencing with IHC staining protocol.", "WB-species-checked": "guaranteed", "WB-species-dilution-info": "", "WB-species-notes": "" } } }

Properties and storage information

Form
Liquid
Purification technique
Affinity purification Protein A
Storage buffer
pH: 7.4 Preservative: 0.02% Proclin 300 Constituents: 50% Glycerol (glycerin, glycerine), 48.98% TBS, 1X, 1% BSA
Shipped at conditions
Blue Ice
Appropriate short-term storage duration
1-2 weeks
Appropriate short-term storage conditions
+4°C
Appropriate long-term storage conditions
-20°C
Aliquoting information
Upon delivery aliquot
Storage information
Avoid freeze / thaw cycle

Product protocols

For this product, it's our understanding that no specific protocols are required. You can visit:

Publications (5)

Recent publications for all applications. Explore the full list and refine your search

Signal transduction and targeted therapy 9:32 PubMed38351062

2024

Docking protein 6 (DOK6) selectively docks the neurotrophic signaling transduction to restrain peripheral neuropathy.

Applications

Unspecified application

Species

Unspecified reactive species

Yan Guo,Pan Xiang,Xiaojiao Sun,Wei Liu,Jiafeng Zhou,Bin Yin,Lin Hou,Boqin Qiang,Huiliang Li,Pengcheng Shu,Xiaozhong Peng

Current protocols 2:e330 PubMed35030297

2022

Triple-Decker Sandwich Cultures of Intestinal Organoids for Long-Term Live Imaging, Uniform Perturbation, and Statistical Sampling.

Applications

Unspecified application

Species

Unspecified reactive species

Hailey M Cambra,Naren P Tallapragada,Prabhath Mannam,David T Breault,Allon M Klein

Cell stem cell 28:1516-1532.e14 PubMed33915079

2021

Inflation-collapse dynamics drive patterning and morphogenesis in intestinal organoids.

Applications

Unspecified application

Species

Unspecified reactive species

Naren P Tallapragada,Hailey M Cambra,Tomas Wald,Samantha Keough Jalbert,Diana M Abraham,Ophir D Klein,Allon M Klein

Acta physiologica (Oxford, England) 232:e13634 PubMed33615732

2021

Podocyte apoptosis in diabetic nephropathy by BASP1 activation of the p53 pathway via WT1.

Applications

Unspecified application

Species

Unspecified reactive species

Yingying Zhang,Chengxian Xu,Qing Ye,Lingxiao Tong,Hong Jiang,Xiujuan Zhu,Limin Huang,Weiqiang Lin,Haidong Fu,Jingjing Wang,Pontus B Persson,En Yin Lai,Jianhua Mao

Oncology letters 15:6361-6367 PubMed29731849

2018

miR-130b-5p promotes proliferation, migration and invasion of gastric cancer cells via targeting RASAL1.

Applications

Unspecified application

Species

Unspecified reactive species

Hong Chen,Yiqiong Yang,Jing Wang,Duo Shen,Jiyi Zhao,Qian Yu
View all publications

Product promise

We are committed to supporting your work with high-quality reagents, and we're here for you every step of the way. In the unlikely event that one of our products does not perform as expected, you're protected by our Product Promise.
For full details, please see our Terms & Conditions

Please note: All products are 'FOR RESEARCH USE ONLY. NOT FOR USE IN DIAGNOSTIC OR THERAPEUTIC PROCEDURES'.

For licensing inquiries, please contact partnerships@abcam.com