JavaScript is disabled in your browser. Please enable JavaScript to view this website.
AB283680

Anti-Bassoon/BSN antibody [EPR25379-3]

  • BOND RX™ Validated
  • 20ul selling size
  • RabMAb
  • Recombinant
  • What is this?

Be the first to review this product! Submit a review

|

(0 Publication)

Rabbit Recombinant Monoclonal Bassoon/BSN antibody. Suitable for IHC-Fr, Flow Cyt (Intra), IHC-P and reacts with Mouse, Rat samples.

View Alternative Names

Kiaa0434, Bsn, Protein bassoon

14 Images
Immunohistochemistry (Formalin/PFA-fixed paraffin-embedded sections) - Anti-Bassoon/BSN antibody [EPR25379-3] (AB283680)
  • IHC-P

Supplier Data

Immunohistochemistry (Formalin/PFA-fixed paraffin-embedded sections) - Anti-Bassoon/BSN antibody [EPR25379-3] (AB283680)

Immunohistochemical analysis of paraffin-embedded Mouse cardiac muscle tissue labelling Bassoon/BSN with ab283680 at 1/500 (1.122 ug/ml) dilution followed by a ready to use LeicaDS9800 (Bond™ Polymer Refine Detection). The section was incubated with ab283680 for 30 mins at room temperature. The immunostaining was performed on a Leica Biosystems BOND® RX instrument Counterstained with Hematoxylin.

Negative control : No staining on mouse cardiac muscle (PMID : 9679147)

Secondary antibody only control : Secondary antibody is a ready to use LeicaDS9800 (Bond™ Polymer Refine Detection).

Heat mediated antigen retrieval with Tris-EDTA buffer (pH 9.0, epitope retrieval solution2) for 20 mins

Flow Cytometry (Intracellular) - Anti-Bassoon/BSN antibody [EPR25379-3] (AB283680)
  • Flow Cyt (Intra)

Supplier Data

Flow Cytometry (Intracellular) - Anti-Bassoon/BSN antibody [EPR25379-3] (AB283680)

Flow cytometric analysis of 4% paraformaldehyde fixed 90% methanol permeabilized Mouse primary neuron cells cells labelling Bassoon/BSN with ab283680 at 1/50 dilution (1ug) (Red) compared with a Rabbit monoclonal IgG (ab172730) (Black) isotype control and an unlabelled control (cells without incubation with primary antibody and secondary antibody) (Blue). A Goat F(ab')2 Anti-Rabbit IgG(DyLight® 488, ab98507) at 1/500 dilution was used as the secondary antibody.

Immunohistochemistry (Frozen sections) - Anti-Bassoon/BSN antibody [EPR25379-3] (AB283680)
  • IHC-Fr

Supplier Data

Immunohistochemistry (Frozen sections) - Anti-Bassoon/BSN antibody [EPR25379-3] (AB283680)

Immunohistochemical analysis of 4% PFA-fixed, 0.2% Triton X-100 permeabilized frozen Rat cerebellum (fresh) tissue labeling Bassoon/BSN with ab283680 at 1/100 (5.61 ug/ml) dilution followed by ab150081 Goat Anti-Rabbit IgG H&L (Alexa Fluor® 488) preadsorbed at 1/1000 (2 ug/ml) dilution (Green). Positive staining on rat cerebellum is observed. The nuclear counterstain was DAPI (Blue).

Secondary antibody control : Secondary antibody is ab150081 Goat Anti-Rabbit IgG H&L (Alexa Fluor® 488) preadsorbed at 1/1000 (2 ug/ml) dilution.

Immunohistochemistry (Formalin/PFA-fixed paraffin-embedded sections) - Anti-Bassoon/BSN antibody [EPR25379-3] (AB283680)
  • IHC-P

Supplier Data

Immunohistochemistry (Formalin/PFA-fixed paraffin-embedded sections) - Anti-Bassoon/BSN antibody [EPR25379-3] (AB283680)

Immunohistochemical analysis of paraffin-embedded Rat cerebrum tissue labelling Bassoon/BSN with ab283680 at 1/500 (1.122 ug/ml) dilution followed by a ready to use LeicaDS9800 (Bond™ Polymer Refine Detection). Cytoplasmic staining on rat cerebrum (PMID : 9679147). The section was incubated with ab283680 for 30 mins at room temperature. The immunostaining was performed on a Leica Biosystems BOND® RX instrument Counterstained with Hematoxylin.

Secondary antibody only control : Secondary antibody is a ready to use LeicaDS9800 (Bond™ Polymer Refine Detection).

Heat mediated antigen retrieval with Tris-EDTA buffer (pH 9.0, epitope retrieval solution2) for 20 mins

Immunohistochemistry (Formalin/PFA-fixed paraffin-embedded sections) - Anti-Bassoon/BSN antibody [EPR25379-3] (AB283680)
  • IHC-P

Supplier Data

Immunohistochemistry (Formalin/PFA-fixed paraffin-embedded sections) - Anti-Bassoon/BSN antibody [EPR25379-3] (AB283680)

Immunohistochemical analysis of paraffin-embedded Mouse cerebrum tissue labelling Bassoon/BSN with ab283680 at 1/500 (1.122 ug/ml) dilution followed by a ready to use LeicaDS9800 (Bond­™ Polymer Refine Detection). Cytoplasmic staining on mouse cerebrum (PMID : 9679147). The section was incubated with ab283680 for 30 mins at room temperature. The immunostaining was performed on a Leica Biosystems BOND® RX instrument Counterstained with Hematoxylin.

Secondary antibody only control : Secondary antibody is a ready to use LeicaDS9800 (Bond™ Polymer Refine Detection).

Heat mediated antigen retrieval with Tris-EDTA buffer (pH 9.0, epitope retrieval solution2) for 20 mins

Immunohistochemistry (Formalin/PFA-fixed paraffin-embedded sections) - Anti-Bassoon/BSN antibody [EPR25379-3] (AB283680)
  • IHC-P

Supplier Data

Immunohistochemistry (Formalin/PFA-fixed paraffin-embedded sections) - Anti-Bassoon/BSN antibody [EPR25379-3] (AB283680)

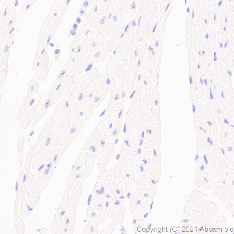
Immunohistochemical analysis of paraffin-embedded Rat cardiac muscle tissue labelling Bassoon/BSN with ab283680 at 1/500 (1.122 ug/ml) dilution followed by a ready to use LeicaDS9800 (Bond™ Polymer Refine Detection). The section was incubated with ab283680 for 30 mins at room temperature. The immunostaining was performed on a Leica Biosystems BOND® RX instrument Counterstained with Hematoxylin.

Negative control : No staining on rat cardiac muscle (PMID : 9679147).

Secondary antibody only control : Secondary antibody is a ready to use LeicaDS9800 (Bond™ Polymer Refine Detection).

Heat mediated antigen retrieval with Tris-EDTA buffer (pH 9.0, epitope retrieval solution2) for 20 mins

Immunohistochemistry (Formalin/PFA-fixed paraffin-embedded sections) - Anti-Bassoon/BSN antibody [EPR25379-3] (AB283680)
  • IHC-P

Supplier Data

Immunohistochemistry (Formalin/PFA-fixed paraffin-embedded sections) - Anti-Bassoon/BSN antibody [EPR25379-3] (AB283680)

Immunohistochemical analysis of paraffin-embedded Rat cerebellum tissue labelling Bassoon/BSN with ab283680 at 1/500 (1.122 ug/ml) dilution followed by a ready to use LeicaDS9800 (Bond™ Polymer Refine Detection). Cytoplasmic staining on rat cerebellum (PMID : 9679147). The section was incubated with ab283680 for 30 mins at room temperature. The immunostaining was performed on a Leica Biosystems BOND® RX instrument Counterstained with Hematoxylin.

Secondary antibody only control : Secondary antibody is a ready to use LeicaDS9800 (Bond™ Polymer Refine Detection).

Heat mediated antigen retrieval with Tris-EDTA buffer (pH 9.0, epitope retrieval solution2) for 20 mins

Immunohistochemistry (Frozen sections) - Anti-Bassoon/BSN antibody [EPR25379-3] (AB283680)
  • IHC-Fr

Supplier Data

Immunohistochemistry (Frozen sections) - Anti-Bassoon/BSN antibody [EPR25379-3] (AB283680)

Immunohistochemical analysis of 4% PFA-fixed, 0.2% Triton X-100 permeabilized frozen Mouse liver (fresh) tissue labeling Bassoon/BSN with ab283680 at 1/100 (5.61 ug/ml) dilution followed by ab150081 Goat Anti-Rabbit IgG H&L (Alexa Fluor® 488) preadsorbed at 1/1000 (2 ug/ml) dilution (Green). The nuclear counterstain was DAPI (Blue).

Negative control : No staining on mouse liver is observed (PMID : 9679147).

Secondary antibody control : Secondary antibody is ab150081 Goat Anti-Rabbit IgG H&L (Alexa Fluor® 488) preadsorbed at 1/1000 (2 ug/ml) dilution.

Immunohistochemistry (Formalin/PFA-fixed paraffin-embedded sections) - Anti-Bassoon/BSN antibody [EPR25379-3] (AB283680)
  • IHC-P

Supplier Data

Immunohistochemistry (Formalin/PFA-fixed paraffin-embedded sections) - Anti-Bassoon/BSN antibody [EPR25379-3] (AB283680)

Immunohistochemical analysis of paraffin-embedded Mouse cerebellum tissue labelling Bassoon/BSN with ab283680 at 1/500 (1.122 ug/ml) diltution followed by a ready to use LeicaDS9800 (Bond™ Polymer Refine Detection). Cytoplasmic staining on mouse cerebellum (PMID : 9679147). The section was incubated with ab283680 for 30 mins at room temperature. The immunostaining was performed on a Leica Biosystems BOND® RX instrument Counterstained with Hematoxylin.

Secondary antibody only control : Secondary antibody is a ready to use LeicaDS9800 (Bond™ Polymer Refine Detection).

Heat mediated antigen retrieval with Tris-EDTA buffer (pH 9.0, epitope retrieval solution2) for 20 mins

Immunohistochemistry (Frozen sections) - Anti-Bassoon/BSN antibody [EPR25379-3] (AB283680)
  • IHC-Fr

Supplier Data

Immunohistochemistry (Frozen sections) - Anti-Bassoon/BSN antibody [EPR25379-3] (AB283680)

Immunohistochemical analysis of 4% PFA-fixed, 0.2% Triton X-100 permeabilized frozen Rat liver (fresh) tissue labeling Bassoon/BSN with ab283680 at 1/100 (5.61 ug/ml) dilution followed by ab150081 Goat Anti-Rabbit IgG H&L (Alexa Fluor® 488) preadsorbed at 1/1000 (2 ug/ml) dilution (Green). The nuclear counterstain was DAPI (Blue).

Negative control : No staining on rat liver is observed (PMID : 9679147).

Secondary antibody control : Secondary antibody is ab150081 Goat Anti-Rabbit IgG H&L (Alexa Fluor® 488) preadsorbed at 1/1000 (2 ug/ml) dilution.

Flow Cytometry (Intracellular) - Anti-Bassoon/BSN antibody [EPR25379-3] (AB283680)
  • Flow Cyt (Intra)

Supplier Data

Flow Cytometry (Intracellular) - Anti-Bassoon/BSN antibody [EPR25379-3] (AB283680)

Flow cytometric analysis of 4% paraformaldehyde fixed 90% methanol permeabilized Rat primary neuron cells cells labelling Bassoon/BSN with ab283680 at 1/50 dilution (1ug) (Red) compared with a Rabbit monoclonal IgG (ab172730) (Black) isotype control and an unlabelled control (cells without incubation with primary antibody and secondary antibody) (Blue). A Goat F(ab')2 Anti-Rabbit IgG(DyLight® 488, ab98507) at 1/500 dilution was used as the secondary antibody.

Immunohistochemistry (Frozen sections) - Anti-Bassoon/BSN antibody [EPR25379-3] (AB283680)
  • IHC-Fr

Supplier Data

Immunohistochemistry (Frozen sections) - Anti-Bassoon/BSN antibody [EPR25379-3] (AB283680)

Immunohistochemical analysis of 4% PFA-fixed, 0.2% Triton X-100 permeabilized frozen Mouse cerebellum (fresh) tissue labeling Bassoon/BSN with ab283680 at 1/100 (5.61 ug/ml) dilution followed by ab150081 Goat Anti-Rabbit IgG H&L (Alexa Fluor® 488) preadsorbed at 1/1000 (2 ug/ml) dilution (Green). Positive staining on mouse cerebellum is observed. The nuclear counterstain was DAPI (Blue).

Secondary antibody control : Secondary antibody is ab150081 Goat Anti-Rabbit IgG H&L (Alexa Fluor® 488) preadsorbed at 1/1000 (2 ug/ml) dilution.

Immunohistochemistry (Frozen sections) - Anti-Bassoon/BSN antibody [EPR25379-3] (AB283680)
  • IHC-Fr

Supplier Data

Immunohistochemistry (Frozen sections) - Anti-Bassoon/BSN antibody [EPR25379-3] (AB283680)

Immunohistochemical analysis of 4% PFA-fixed, 0.2% Triton X-100 permeabilized frozen Mouse hippocampus (fresh) tissue labeling Bassoon/BSN with ab283680 at 1/100 (5.61 ug/ml) dilution followed by ab150081 Goat Anti-Rabbit IgG H&L (Alexa Fluor® 488) preadsorbed at 1/1000 (2 ug/ml) dilution (Green). Positive staining on mouse hippocampus is observed. The nuclear counterstain was DAPI (Blue).

Secondary antibody control : Secondary antibody is ab150081 Goat Anti-Rabbit IgG H&L (Alexa Fluor® 488) preadsorbed at 1/1000 (2 ug/ml) dilution.

Immunohistochemistry (Frozen sections) - Anti-Bassoon/BSN antibody [EPR25379-3] (AB283680)
  • IHC-Fr

Supplier Data

Immunohistochemistry (Frozen sections) - Anti-Bassoon/BSN antibody [EPR25379-3] (AB283680)

Immunohistochemical analysis of 4% PFA-fixed, 0.2% Triton X-100 permeabilized frozen Rat hippocampus (fresh) tissue labeling Bassoon/BSN with ab283680 at 1/100 (5.61 ug/ml) dilution followed by ab150081 Goat Anti-Rabbit IgG H&L (Alexa Fluor® 488) preadsorbed at 1/1000 (2 ug/ml) dilution (Green). Positive staining on rat hippocampus is observed. The nuclear counterstain was DAPI (Blue).

Secondary antibody control : Secondary antibody is ab150081 Goat Anti-Rabbit IgG H&L (Alexa Fluor® 488) preadsorbed at 1/1000 (2 ug/ml) dilution.

  • Carrier free

    Anti-Bassoon/BSN antibody [EPR25379-3] - BSA and Azide free

  • 665 Alexa Fluor® 647

    Alexa Fluor® 647 Anti-Bassoon/BSN antibody [EPR25379-3]

Key facts

Host species

Rabbit

Clonality

Monoclonal

Clone number

EPR25379-3

Isotype

IgG

Carrier free

No

Reacts with

Mouse, Rat

Applications

Flow Cyt (Intra), IHC-Fr, IHC-P

applications

Immunogen

The exact immunogen used to generate this antibody is proprietary information.

Reactivity data

{ "title": "Reactivity Data", "filters": { "stats": ["", "Species", "Dilution Info", "Notes"], "tabs": { "all-applications": {"fullname" : "All Applications", "shortname": "All Applications"}, "IP" : {"fullname" : "Immunoprecipitation", "shortname":"IP"}, "WB" : {"fullname" : "Western blot", "shortname":"WB"}, "ICCIF" : {"fullname" : "Immunocytochemistry/ Immunofluorescence", "shortname":"ICC/IF"}, "IHCFr" : {"fullname" : "Immunohistochemistry (Frozen sections)", "shortname":"IHC-Fr"}, "FlowCytIntra" : {"fullname" : "Flow Cytometry (Intracellular)", "shortname":"Flow Cyt (Intra)"}, "IHCP" : {"fullname" : "Immunohistochemistry (Formalin/PFA-fixed paraffin-embedded sections)", "shortname":"IHC-P"} }, "product-promise": { "all": "all", "testedAndGuaranteed": "tested", "guaranteed": "expected", "predicted": "predicted", "notRecommended": "not-recommended" } }, "values": { "Human": { "IP-species-checked": "notRecommended", "IP-species-dilution-info": "", "IP-species-notes": "", "WB-species-checked": "notRecommended", "WB-species-dilution-info": "", "WB-species-notes": "<p></p>", "ICCIF-species-checked": "notRecommended", "ICCIF-species-dilution-info": "", "ICCIF-species-notes": "", "IHCFr-species-checked": "notRecommended", "IHCFr-species-dilution-info": "", "IHCFr-species-notes": "", "FlowCytIntra-species-checked": "notRecommended", "FlowCytIntra-species-dilution-info": "", "FlowCytIntra-species-notes": "", "IHCP-species-checked": "notRecommended", "IHCP-species-dilution-info": "1/50", "IHCP-species-notes": "<p></p>" }, "Mouse": { "IP-species-checked": "notRecommended", "IP-species-dilution-info": "", "IP-species-notes": "<p></p>", "WB-species-checked": "notRecommended", "WB-species-dilution-info": "", "WB-species-notes": "<p></p>", "ICCIF-species-checked": "notRecommended", "ICCIF-species-dilution-info": "", "ICCIF-species-notes": "<p></p>", "IHCFr-species-checked": "testedAndGuaranteed", "IHCFr-species-dilution-info": "1/100", "IHCFr-species-notes": "<p></p>", "FlowCytIntra-species-checked": "testedAndGuaranteed", "FlowCytIntra-species-dilution-info": "1/50", "FlowCytIntra-species-notes": "<p></p>", "IHCP-species-checked": "testedAndGuaranteed", "IHCP-species-dilution-info": "1/500", "IHCP-species-notes": "<p></p>" }, "Rat": { "IP-species-checked": "notRecommended", "IP-species-dilution-info": "", "IP-species-notes": "<p></p>", "WB-species-checked": "notRecommended", "WB-species-dilution-info": "", "WB-species-notes": "<p></p>", "ICCIF-species-checked": "notRecommended", "ICCIF-species-dilution-info": "", "ICCIF-species-notes": "<p></p>", "IHCFr-species-checked": "testedAndGuaranteed", "IHCFr-species-dilution-info": "1/100", "IHCFr-species-notes": "<p></p>", "FlowCytIntra-species-checked": "testedAndGuaranteed", "FlowCytIntra-species-dilution-info": "1/50", "FlowCytIntra-species-notes": "<p></p>", "IHCP-species-checked": "testedAndGuaranteed", "IHCP-species-dilution-info": "1/500", "IHCP-species-notes": "<p></p>" } } }

Product details

Patented technology
Our RabMAb® technology is a patented hybridoma-based technology for making rabbit monoclonal antibodies. For details on our patents, please refer to RabMAb® patents.

What are the advantages of a recombinant monoclonal antibody?
This product is a recombinant monoclonal antibody, which offers several advantages including:

  • - High batch-to-batch consistency and reproducibility
  • - Improved sensitivity and specificity
  • - Long-term security of supply
  • - Animal-free batch production

For more information, read more on recombinant antibodies.

Properties and storage information

Form
Liquid
Purification technique
Affinity purification Protein A
Storage buffer
pH: 7.2 - 7.4 Preservative: 0.01% Sodium azide Constituents: PBS, 40% Glycerol (glycerin, glycerine), 0.05% BSA
Shipped at conditions
Blue Ice
Appropriate short-term storage duration
1-2 weeks
Appropriate short-term storage conditions
+4°C
Appropriate long-term storage conditions
-20°C
Aliquoting information
Upon delivery aliquot
Storage information
Avoid freeze / thaw cycle

Supplementary information

This supplementary information is collated from multiple sources and compiled automatically.

Bassoon also known as BSN or Bassoon protein functions as a major component in the active zone of synapses participating in the organization and regulation of neurotransmitter release. The protein has a reported molecular mass of approximately 420 kDa. Expression of the Bassoon protein takes place prominently in neuronal tissues especially within the central nervous system. Its structure and size contribute to its role in maintaining the integrity of synaptic architecture.
Biological function summary

Bassoon plays an important role in the presynaptic active zone by facilitating efficient synaptic vesicle docking and priming. It acts as a scaffold protein within the presynaptic terminal forming part of a larger molecular complex that includes Piccolo and other cytomatrix proteins. These scaffolding arrangements help ensure precise neurotransmitter release affecting synaptic strength and plasticity. Its integration into these complexes highlights its significance in neuronal communication and functionality.

Pathways

Bassoon actively participates in neurotransmission pathways especially those related to synaptic vesicle cycle and neurotransmitter release. It collaborates with proteins like RIM and Munc13 in these processes stabilizing the apparatus required for synaptic vesicle fusion and exocytosis. Through these interactions Bassoon contributes to the regulation of neurotransmitter release and is essential for proper synaptic function.

Bassoon links to various neurological conditions prominently neurodegenerative disorders like Alzheimer's disease and bipolar disorder. Changes in Bassoon expression or function could disrupt synaptic integrity thereby contributing to disease pathology. Research has associated alterations in calcium channel complexes which involve Bassoon with these disorders. Understanding Bassoon's molecular interactions may provide insights into the development and progression of such neurological diseases highlighting its significance in biomedical research.

Product protocols

For this product, it's our understanding that no specific protocols are required. You can visit:

Target data

Scaffold protein of the presynaptic cytomatrix at the active zone (CAZ) which is the place in the synapse where neurotransmitter is released (PubMed : 12628168, PubMed : 12628169, PubMed : 19812333). After synthesis, participates in the formation of Golgi-derived membranous organelles termed Piccolo-Bassoon transport vesicles (PTVs) that are transported along axons to sites of nascent synaptic contacts (By similarity). At the presynaptic active zone, regulates the spatial organization of synaptic vesicle cluster, the protein complexes that execute membrane fusion and compensatory endocytosis (By similarity). Functions also in processes other than assembly such as the regulation of specific presynaptic protein ubiquitination by interacting with SIAH1 or the regulation of presynaptic autophagy by associating with ATG5 (By similarity) (PubMed : 28231469). Mediates also synapse to nucleus communication leading to reconfiguration of gene expression by associating with the transcriptional corepressor CTBP1 and by subsequently reducing the size of its pool available for nuclear import (By similarity). Inhibits the activity of the proportion of DAO enzyme that localizes to the presynaptic active zone, which may modulate synaptic transmission (By similarity).
See full target information Bsn

Product promise

We are committed to supporting your work with high-quality reagents, and we're here for you every step of the way. In the unlikely event that one of our products does not perform as expected, you're protected by our Product Promise.
For full details, please see our Terms & Conditions

Please note: All products are 'FOR RESEARCH USE ONLY. NOT FOR USE IN DIAGNOSTIC OR THERAPEUTIC PROCEDURES'.

For licensing inquiries, please contact partnerships@abcam.com