JavaScript is disabled in your browser. Please enable JavaScript to view this website.
AB82958

Anti-Bassoon/BSN antibody [SAP7F407]

4

(12 Reviews)

|

(90 Publications)

Anti-Bassoon/BSN antibody [SAP7F407] (ab82958) is a mouse monoclonal antibody detecting Bassoon/BSN in Western Blot, IHC-P, ICC/IF. Suitable for Human, Mouse, Rat.

- Over 60 publications
- Trusted since 2009

View Alternative Names

KIAA0434, ZNF231, BSN, Protein bassoon, Zinc finger protein 231

5 Images
Immunohistochemistry (Formalin/PFA-fixed paraffin-embedded sections) - Anti-Bassoon/BSN antibody [SAP7F407] (AB82958)
  • IHC-P

Collaborator

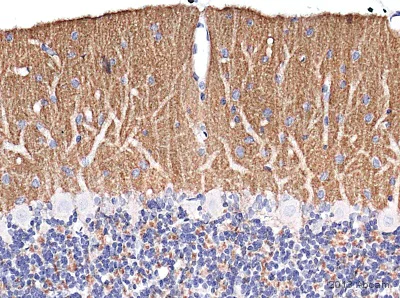
Immunohistochemistry (Formalin/PFA-fixed paraffin-embedded sections) - Anti-Bassoon/BSN antibody [SAP7F407] (AB82958)

IHC-P image of Bassoon/BSN staining on mouse cerebellum sections using ab82958 (1 : 1500). The sections were deparaffinized and subjected to heat mediated antigen retrieval using HEIR. The sections were blocked using 1% BSA for 10 mins at 21°C. ab82958 was diluted 1 : 1500 and incubated with the sctions for 2 hours at 21°C. The secondary antibody used was goat polyclonal to mouse IgG conjugated to Biotin (1 : 200).

This image was generated using the ascites version of the product.

This image is courtesy of an abreview submitted by Carl Hobbs, Kings's College London, United Kingdom.

Immunohistochemistry (Formalin/PFA-fixed paraffin-embedded sections) - Anti-Bassoon/BSN antibody [SAP7F407] (AB82958)
  • IHC-P

Unknown

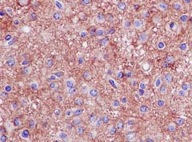
Immunohistochemistry (Formalin/PFA-fixed paraffin-embedded sections) - Anti-Bassoon/BSN antibody [SAP7F407] (AB82958)

IHC image of Bassoon/BSN staining in Human normal cerebral cortex formalin fixed paraffin embedded tissue section, performed on a Leica Bond™ system using the standard protocol F. The section was pre-treated using heat mediated antigen retrieval with sodium citrate buffer (pH6, epitope retrieval solution 1) for 20 mins. The section was then incubated with ab82958, 5μg/ml, for 15 mins at room temperature and detected using an HRP conjugated compact polymer system. DAB was used as the chromogen. The section was then counterstained with haematoxylin and mounted with DPX.

This image was generated using the ascites version of the product.

For other IHC staining systems (automated and non-automated) customers should optimize variable parameters such as antigen retrieval conditions, primary antibody concentration and antibody incubation times.

Immunohistochemistry (Formalin/PFA-fixed paraffin-embedded sections) - Anti-Bassoon/BSN antibody [SAP7F407] (AB82958)
  • IHC-P

Collaborator

Immunohistochemistry (Formalin/PFA-fixed paraffin-embedded sections) - Anti-Bassoon/BSN antibody [SAP7F407] (AB82958)

IHC-P image of Bassoon/BSN staining on rat cerebellum sections using ab82958 (1 : 1000). The sections were deparaffinized and subjected to heat mediated antigen retrieval using citric acid. The sections were blocked using 1% BSA for 10 mins at 21°C. ab82958 was diluted 1 : 1000 and incubated with the sections for 2 hours at 21°C. The secondary antibody used was goat polyclonal to mouse IgG conjugated to biotin (1 : 200).

This image was generated using the ascites version of the product.

This image is courtesy of an abreview submitted by Carl Hobbs, Kings's College London, United Kingdom.

Immunocytochemistry/ Immunofluorescence - Anti-Bassoon/BSN antibody [SAP7F407] (AB82958)
  • ICC/IF

Unknown

Immunocytochemistry/ Immunofluorescence - Anti-Bassoon/BSN antibody [SAP7F407] (AB82958)

Bassoon/BSN localization in the rat brain cerebellar molecular layer using Bassoon/BSN monoclonal antibody (ab82958).

This image was generated using the ascites version of the product.

Western blot - Anti-Bassoon/BSN antibody [SAP7F407] (AB82958)
  • WB

Unknown

Western blot - Anti-Bassoon/BSN antibody [SAP7F407] (AB82958)

This image was generated using the ascites version of the product.

All lanes:

Western blot - Anti-Bassoon/BSN antibody [SAP7F407] (ab82958) at 1/500 dilution

All lanes:

rat brain tissue extract

Predicted band size: 416 kDa

true

Key facts

Host species

Mouse

Clonality

Monoclonal

Clone number

SAP7F407

Isotype

IgG2a

Carrier free

No

Reacts with

Mouse, Rat, Human

Applications

IHC-P, ICC/IF, WB

applications

Immunogen

The exact immunogen used to generate this antibody is proprietary information.

Reactivity data

{ "title": "Reactivity Data", "filters": { "stats": ["", "Species", "Dilution Info", "Notes"], "tabs": { "all-applications": {"fullname" : "All Applications", "shortname": "All Applications"}, "IHCP" : {"fullname" : "Immunohistochemistry (Formalin/PFA-fixed paraffin-embedded sections)", "shortname":"IHC-P"}, "WB" : {"fullname" : "Western blot", "shortname":"WB"}, "ICCIF" : {"fullname" : "Immunocytochemistry/ Immunofluorescence", "shortname":"ICC/IF"} }, "product-promise": { "all": "all", "testedAndGuaranteed": "tested", "guaranteed": "expected", "predicted": "predicted", "notRecommended": "not-recommended" } }, "values": { "Human": { "IHCP-species-checked": "testedAndGuaranteed", "IHCP-species-dilution-info": "", "IHCP-species-notes": "<p></p>", "WB-species-checked": "guaranteed", "WB-species-dilution-info": "", "WB-species-notes": "", "ICCIF-species-checked": "guaranteed", "ICCIF-species-dilution-info": "", "ICCIF-species-notes": "" }, "Mouse": { "IHCP-species-checked": "testedAndGuaranteed", "IHCP-species-dilution-info": "", "IHCP-species-notes": "<p></p>", "WB-species-checked": "guaranteed", "WB-species-dilution-info": "", "WB-species-notes": "", "ICCIF-species-checked": "guaranteed", "ICCIF-species-dilution-info": "", "ICCIF-species-notes": "" }, "Rat": { "IHCP-species-checked": "testedAndGuaranteed", "IHCP-species-dilution-info": "", "IHCP-species-notes": "<p></p>", "WB-species-checked": "testedAndGuaranteed", "WB-species-dilution-info": "", "WB-species-notes": "<p></p>", "ICCIF-species-checked": "testedAndGuaranteed", "ICCIF-species-dilution-info": "", "ICCIF-species-notes": "<p></p>" } } }

Product details

What is this antibody validated in?
Anti-Bassoon/BSN antibody [SAP7F407] (ab82958) is a mouse monoclonal antibody and is validated for use in Western Blot (WB), Immunohistochemistry (IHC-P), Immunocytochemistry/immunofluorescence (ICC/IF) in Human, Mouse, Rat samples.

What is the molecular weight of Bassoon/BSN?
Anti-Bassoon/BSN [SAP7F407] (ab82958) specifically detects a band for Bassoon/BSN (UniProt: O88778) at a molecular weight of 416kDa.

Trusted by the scientific community
Anti-Bassoon/BSN [SAP7F407] (ab82958) was first used in a scientific publication in 2009 and has been cited over 60 times in peer-reviewed journals.

Reviewed by scientists
Anti-Bassoon/BSN [SAP7F407] (ab82958) has over 10 independent reviews from customers.

Properties and storage information

Form
Liquid
Purity
Tissue culture supernatant
Purification notes
Purified from TCS.
Storage buffer
pH: 7.2 Preservative: 0.09% Sodium azide Constituents: PBS, 50% Glycerol (glycerin, glycerine)
Shipped at conditions
Blue Ice
Appropriate short-term storage conditions
+4°C
Appropriate long-term storage conditions
-20°C
Aliquoting information
Upon delivery aliquot
Storage information
Avoid freeze / thaw cycle

Supplementary information

This supplementary information is collated from multiple sources and compiled automatically.

Bassoon also known as BSN or Bassoon protein functions as a major component in the active zone of synapses participating in the organization and regulation of neurotransmitter release. The protein has a reported molecular mass of approximately 420 kDa. Expression of the Bassoon protein takes place prominently in neuronal tissues especially within the central nervous system. Its structure and size contribute to its role in maintaining the integrity of synaptic architecture.
Biological function summary

Bassoon plays an important role in the presynaptic active zone by facilitating efficient synaptic vesicle docking and priming. It acts as a scaffold protein within the presynaptic terminal forming part of a larger molecular complex that includes Piccolo and other cytomatrix proteins. These scaffolding arrangements help ensure precise neurotransmitter release affecting synaptic strength and plasticity. Its integration into these complexes highlights its significance in neuronal communication and functionality.

Pathways

Bassoon actively participates in neurotransmission pathways especially those related to synaptic vesicle cycle and neurotransmitter release. It collaborates with proteins like RIM and Munc13 in these processes stabilizing the apparatus required for synaptic vesicle fusion and exocytosis. Through these interactions Bassoon contributes to the regulation of neurotransmitter release and is essential for proper synaptic function.

Bassoon links to various neurological conditions prominently neurodegenerative disorders like Alzheimer's disease and bipolar disorder. Changes in Bassoon expression or function could disrupt synaptic integrity thereby contributing to disease pathology. Research has associated alterations in calcium channel complexes which involve Bassoon with these disorders. Understanding Bassoon's molecular interactions may provide insights into the development and progression of such neurological diseases highlighting its significance in biomedical research.

Product protocols

For this product, it's our understanding that no specific protocols are required. You can visit:

Target data

Scaffold protein of the presynaptic cytomatrix at the active zone (CAZ) which is the place in the synapse where neurotransmitter is released (PubMed : 12812759). After synthesis, participates in the formation of Golgi-derived membranous organelles termed Piccolo-Bassoon transport vesicles (PTVs) that are transported along axons to sites of nascent synaptic contacts (PubMed : 19380881). At the presynaptic active zone, regulates the spatial organization of synaptic vesicle cluster, the protein complexes that execute membrane fusion and compensatory endocytosis (By similarity). Functions also in processes other than assembly such as the regulation of specific presynaptic protein ubiquitination by interacting with SIAH1 or the regulation of presynaptic autophagy by associating with ATG5 (By similarity). Mediates also synapse to nucleus communication leading to reconfiguration of gene expression by associating with the transcriptional corepressor CTBP1 and by subsequently reducing the size of its pool available for nuclear import (By similarity). Inhibits the activity of the proportion of DAO enzyme that localizes to the presynaptic active zone, which may modulate synaptic transmission (By similarity).
See full target information BSN

Publications (90)

Recent publications for all applications. Explore the full list and refine your search

Nature communications 16:7951 PubMed40858618

2025

ALS/FTD-linked TBK1 deficiency in microglia induces an aged-like microglial signature and drives social recognition deficits in mice.

Applications

Unspecified application

Species

Unspecified reactive species

Isadora Lenoel,Matthieu Ribon,Félicie Lorenc,Aurélien Diebold,Clementine E Philibert,David Robaldo,Manel Badsi,Julianne Perronnet,Julie Lameth,Felix Berriat,Hidemi Misawa,Marie Coutelier,Raphaelle Cassel,Nadège Sarrazin,Coline Jost-Mousseau,Delphine Bohl,Stéphanie Millecamps,Michel Mallat,David Brenner,Jochen H Weishaupt,Séverine Boillée,Christian S Lobsiger

The Journal of neuroscience : the official journal of the Society for Neuroscience 45: PubMed40707357

2025

Optical Recordings of Unitary Synaptic Connections Reveal High and Random Local Connectivity between CA3 Pyramidal Cells.

Applications

Unspecified application

Species

Unspecified reactive species

Robert Layous,Bálint Tamás,Arpad Mike,Eszter Sipos,Antónia Arszovszki,János Brunner,Ádám Szatai,Farah Yaseen,Tibor Andrási,János Szabadics

eNeuro 12: PubMed40634123

2025

Novel Roles of the GPI-Anchor Cleaving Enzyme, GDE2, in Hippocampal Synaptic Morphology and Function.

Applications

Unspecified application

Species

Unspecified reactive species

Daniel Daudelin,Damani Sama-Borbon,Nan Zhang,Shanthini Sockanathan

Science advances 11:eadu7898 PubMed40532010

2025

Gating of hair cell Ca channels governs the activity of cochlear neurons.

Applications

Unspecified application

Species

Unspecified reactive species

Nare Karagulyan,Anupriya Thirumalai,Susann Michanski,Yumeng Qi,Qinghua Fang,Haoyu Wang,Nadine J Ortner,Jörg Striessnig,Nicola Strenzke,Carolin Wichmann,Yunfeng Hua,Tobias Moser

Nature communications 16:2174 PubMed40038284

2025

Functional optic tract rewiring via subtype- and target-specific axonal regeneration and presynaptic activity enhancement.

Applications

Unspecified application

Species

Unspecified reactive species

Xin Zhang,Chao Yang,Chengle Zhang,Junqiang Wu,Xiang Zhang,Jiayang Gao,Xuejie Wang,Leung Ting Chan,Yiren Zhou,Yujun Chen,Sindy Sing Ting Tam,Shuhang Chen,Yuqian Ma,Wing-Ho Yung,Liting Duan,Liwen Jiang,Yiwen Wang,Kai Liu

Science advances 11:eadq5842 PubMed39970202

2025

Activity-dependent regulation of microglia numbers by pyramidal cells during development shape cortical functions.

Applications

Unspecified application

Species

Unspecified reactive species

Sanjana Kumaraguru,James Morgan,Fong Kuan Wong

Nature protocols 20:2005-2033 PubMed39856342

2025

A multifunctional sensor for cell traction force, matrix remodeling and biomechanical assays in self-assembled 3D tissues in vitro.

Applications

Unspecified application

Species

Unspecified reactive species

Bashar Emon,Md Saddam Hossain Joy,William C Drennan,M Taher A Saif

Epilepsia 66:929-941 PubMed39718688

2024

Preferential superficial cortical layer activation during seizure propagation.

Applications

Unspecified application

Species

Unspecified reactive species

Anastasia Brodovskaya,Shinnosuke Shiono,Chengsan Sun,Edward Perez-Reyes,Jaideep Kapur

PLoS biology 22:e3002929 PubMed39621771

2024

Axons compensate for biophysical constraints of variable size to uniformize their action potentials.

Applications

Unspecified application

Species

Unspecified reactive species

János Brunner,Antónia Arszovszki,Gergely Tarcsay,János Szabadics

Development (Cambridge, England) 151: PubMed39576204

2024

WNT7A-positive dendritic cytonemes control synaptogenesis in cortical neurons.

Applications

Unspecified application

Species

Unspecified reactive species

Thomas M Piers,Kevin Fang,Seema C Namboori,Corin Liddle,Sally Rogers,Akshay Bhinge,Richard Killick,Steffen Scholpp
View all publications

Product promise

We are committed to supporting your work with high-quality reagents, and we're here for you every step of the way. In the unlikely event that one of our products does not perform as expected, you're protected by our Product Promise.
For full details, please see our Terms & Conditions

Please note: All products are 'FOR RESEARCH USE ONLY. NOT FOR USE IN DIAGNOSTIC OR THERAPEUTIC PROCEDURES'.

For licensing inquiries, please contact partnerships@abcam.com