JavaScript is disabled in your browser. Please enable JavaScript to view this website.
AB248802

Anti-BAT3/BAG-6 antibody [EPR9223] - BSA and Azide free

Be the first to review this product! Submit a review

|

(1 Publication)

Rabbit Recombinant Monoclonal BAT3/BAG-6 antibody. Carrier free. Suitable for WB, IHC-P, ICC/IF, Flow Cyt (Intra) and reacts with Mouse, Rat, Human samples. Cited in 1 publication.

View Alternative Names

BAT3, G3, BAG6, Large proline-rich protein BAG6, BAG family molecular chaperone regulator 6, BCL2-associated athanogene 6, HLA-B-associated transcript 3, Protein G3, Protein Scythe, BAG-6

10 Images
Flow Cytometry (Intracellular) - Anti-BAT3/BAG-6 antibody [EPR9223] - BSA and Azide free (AB248802)
  • Flow Cyt (Intra)

Unknown

Flow Cytometry (Intracellular) - Anti-BAT3/BAG-6 antibody [EPR9223] - BSA and Azide free (AB248802)

This data was developed using ab137076, the same antibody clone in a different buffer formulation.

Overlay histogram showing Hela cells stained with ab137076 (red line). The cells were fixed with 80% methanol (5 min) and then permeabilized with 0.1% PBS-Tween for 20 min. The cells were then incubated in 1x PBS / 10% normal goat serum / 0.3M glycine to block non-specific protein-protein interactions followed by the antibody (ab137076, 1/1000 dilution) for 30 min at 22°C. The secondary antibody used was Alexa Fluor® 488 goat anti-rabbit IgG (H&L) (ab150077) at 1/2000 dilution for 30 min at 22°C. Isotype control antibody (black line) was rabbit IgG (monoclonal) (0.1µg/1x106 cells) used under the same conditions. Unlabelled sample (blue line) was also used as a control. Acquisition of >5,000 events were collected using a 20mW Argon ion laser (488nm) and 525/30 bandpass filter. This antibody gave a positive signal in HeLa cells fixed with 4% paraformaldehyde (10 min)/permeabilized with 0.1% PBS-Tween for 20 min used under the same conditions.

Flow Cytometry (Intracellular) - Anti-BAT3/BAG-6 antibody [EPR9223] - BSA and Azide free (AB248802)
  • Flow Cyt (Intra)

Lab

Flow Cytometry (Intracellular) - Anti-BAT3/BAG-6 antibody [EPR9223] - BSA and Azide free (AB248802)

This data was developed using ab137076, the same antibody clone in a different buffer formulation.

Flow cytometry analysis of HeLa cells labelling BAT3/BAG-6 (red) with purified ab137076 at dilution of 1/30. Goat anti rabbit IgG (Alexa Fluor® 488) at 1/2000 was used as the secondary antibody. Cells were fixed with 4% paraformaldehyde. Isotype control antibody was Rabbit monoclonal IgG (black). The blue line shows cells without incubation with primary antibody and secondary antibody.

Flow Cytometry (Intracellular) - Anti-BAT3/BAG-6 antibody [EPR9223] - BSA and Azide free (AB248802)
  • Flow Cyt (Intra)

Lab

Flow Cytometry (Intracellular) - Anti-BAT3/BAG-6 antibody [EPR9223] - BSA and Azide free (AB248802)

This data was developed using ab137076, the same antibody clone in a different buffer formulation.

Overlay histogram showing HAP1 wildtype (green line) and HAP1-BAG6 knockout cells (red line) stained with ab137076. The cells were fixed with 80% methanol (5 min) and then permeabilized with 0.1% PBS-Triton X-100 for 15 min. The cells were then incubated in 1 x PBS/10% normal goat serum to block non-specific protein-protein interactions followed by the antibody (ab137076, 0.1μg/ml) for 30 min at 22°C. The secondary antibody used was Alexa Fluor® 488 goat anti-rabbit IgG (H&L) presorbed (ab150081) at 1/2000 dilution for 30 min at 22°C.

A rabbit IgG isotype control antibody (ab172730) was used at the same concentration and conditions as the primary antibody (HAP1 wildtype - black line, HAP1-BAG6 knockout - grey line). Unlabelled sample was also used as a control (this line is not shown for the purpose of simplicity).

Acquisition of >5,000 events were collected using a 50 mW Blue laser (488nm) and 530/30 bandpass filter.

This antibody can also be used in HAP1 cells fixed with 4% formaldehyde (10 min) permeabilized with 0.1% PBS-Triton X-100 for 15 min under the same conditions.

Immunocytochemistry/ Immunofluorescence - Anti-BAT3/BAG-6 antibody [EPR9223] - BSA and Azide free (AB248802)
  • ICC/IF

Unknown

Immunocytochemistry/ Immunofluorescence - Anti-BAT3/BAG-6 antibody [EPR9223] - BSA and Azide free (AB248802)

This data was developed using ab137076, the same antibody clone in a different buffer formulation.

Immunocytochemistry/Immunofluorescence analysis of HeLa (Human epithelial cell line from cervix adenocarcinoma) cells labeling BAT3/BAG-6 with purified ab137076 at 1/500. Cells were fixed with 4% paraformaldehyde and permeabilized with 0.1% Triton X-100. ab150077, Alexa Fluor® 488-conjugated goat anti-rabbit IgG (1/1000) was used as the secondary antibody. Cells were counter-stained with ab195889 Anti-Alpha Tubulin antibody [DM1A] - Microtubule Marker (Alexa Fluor® 594) at 1/200. DAPI (blue) was used as a nuclear counterstain. Secondary Only Control : PBS was used instead of the primary antibody as the negative control.

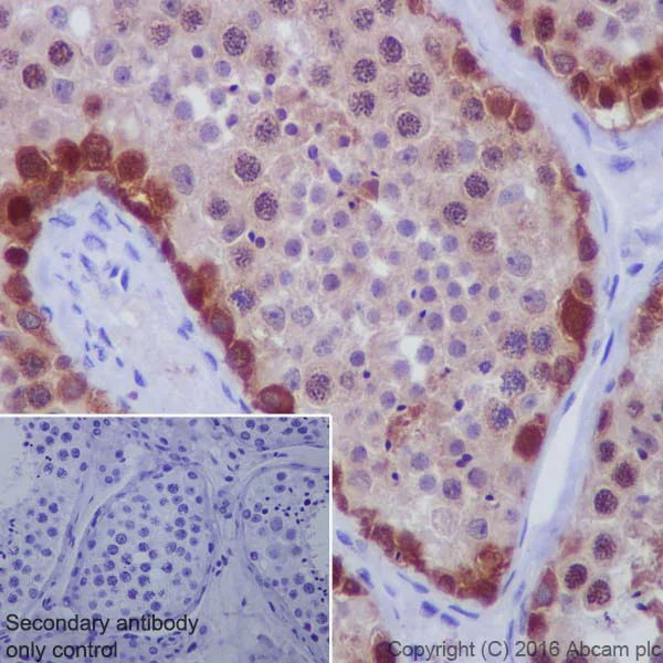
Immunohistochemistry (Formalin/PFA-fixed paraffin-embedded sections) - Anti-BAT3/BAG-6 antibody [EPR9223] - BSA and Azide free (AB248802)
  • IHC-P

Lab

Immunohistochemistry (Formalin/PFA-fixed paraffin-embedded sections) - Anti-BAT3/BAG-6 antibody [EPR9223] - BSA and Azide free (AB248802)

This data was developed using ab137076, the same antibody clone in a different buffer formulation.

Immunohistochemical analysis of Paraffin-embedded human testis tissue sections labeling BAT3/BAG-6 with purified ab137076 at a dilution of 1/50 dilution (7.1 μg/ml). ab97051 Goat Anti-Rabbit IgG H&L (HRP) at 1/500 was used as the secondary anitbody. Sections were counterstained with hematoxylin. Antigen retrieval was heat mediated using EDTA Buffer, pH 9.0. PBS was used instead of the primary antibody as the negative control and is shown in the inset.

Immunohistochemistry (Formalin/PFA-fixed paraffin-embedded sections) - Anti-BAT3/BAG-6 antibody [EPR9223] - BSA and Azide free (AB248802)
  • IHC-P

Unknown

Immunohistochemistry (Formalin/PFA-fixed paraffin-embedded sections) - Anti-BAT3/BAG-6 antibody [EPR9223] - BSA and Azide free (AB248802)

This data was developed using ab137076, the same antibody clone in a different buffer formulation.

Immunohistochemical analysis of paraffin-embedded Human kidney tissue labelling BAT3/BAG-6 with unpurified ab137076 at 1/50 dilution.

Western blot - Anti-BAT3/BAG-6 antibody [EPR9223] - BSA and Azide free (AB248802)
  • WB

Lab

Western blot - Anti-BAT3/BAG-6 antibody [EPR9223] - BSA and Azide free (AB248802)

This data was developed using ab137076, the same antibody clone in a different buffer formulation.

Lane 1 : Wild type HAP1 whole cell lysate (20 μg)

Lane 2 : BAT3/BAG-6 knockout HAP1 whole cell lysate (20 μg)

Lane 3 : HeLa whole cell lysate (20 μg)

Lanes 1 - 3 : Merged signal (red and green). Green - ab137076 observed at 155 kDa. Red - loading control, ab8245, observed at 37 kDa.

ab137076 was shown to specifically react with BAT3/BAG-6 when BAT3/BAG-6 knockout samples were used. Wild-type and BAT3/BAG-6 knockout samples were subjected to SDS-PAGE. ab137076 and ab8245 (Mouse anti GAPDH loading control) were incubated overnight at 4°C at 1/1000 dilution and 1/10000 dilution respectively. Blots were developed with Goat anti-Rabbit IgG H&L (IRDye® 800CW) preabsorbed ab216773 and Goat anti-Mouse IgG H&L (IRDye® 680RD) preabsorbed ab216776 secondary antibodies at 1/10000 dilution for 1 hour at room temperature before imaging.

All lanes:

Western blot - Anti-BAT3/BAG-6 antibody [EPR9223] (<a href='/en-us/products/primary-antibodies/bat3-bag-6-antibody-epr9223-ab137076'>ab137076</a>)

Predicted band size: 119 kDa

false

Western blot - Anti-BAT3/BAG-6 antibody [EPR9223] - BSA and Azide free (AB248802)
  • WB

Unknown

Western blot - Anti-BAT3/BAG-6 antibody [EPR9223] - BSA and Azide free (AB248802)

This data was developed using ab137076, the same antibody clone in a different buffer formulation.

All lanes:

Western blot - Anti-BAT3/BAG-6 antibody [EPR9223] (<a href='/en-us/products/primary-antibodies/bat3-bag-6-antibody-epr9223-ab137076'>ab137076</a>) at 1/1000 dilution

Lane 1:

HeLa cell lysate at 10 µg

Lane 2:

A431 cell lysate at 10 µg

Lane 3:

Human fetal brain lysate at 10 µg

Secondary

All lanes:

HRP labelled goat anti-rabbit at 1/2000 dilution

Predicted band size: 119 kDa

false

Western blot - Anti-BAT3/BAG-6 antibody [EPR9223] - BSA and Azide free (AB248802)
  • WB

Unknown

Western blot - Anti-BAT3/BAG-6 antibody [EPR9223] - BSA and Azide free (AB248802)

This data was developed using ab137076, the same antibody clone in a different buffer formulation.

Blocking and dilution buffer : 5% NFDM/TBST.

All lanes:

Western blot - Anti-BAT3/BAG-6 antibody [EPR9223] (<a href='/en-us/products/primary-antibodies/bat3-bag-6-antibody-epr9223-ab137076'>ab137076</a>) at 1/5000 dilution

All lanes:

Mouse brain tissue lysate at 15 µg

Secondary

All lanes:

Western blot - Goat Anti-Rabbit IgG H&L (HRP) (<a href='/en-us/products/secondary-antibodies/goat-rabbit-igg-h-l-hrp-ab97051'>ab97051</a>) at 1/20000 dilution

Predicted band size: 119 kDa

false

Western blot - Anti-BAT3/BAG-6 antibody [EPR9223] - BSA and Azide free (AB248802)
  • WB

Unknown

Western blot - Anti-BAT3/BAG-6 antibody [EPR9223] - BSA and Azide free (AB248802)

This data was developed using ab137076, the same antibody clone in a different buffer formulation.

Blocking and dilution buffer : 5% NFDM/TBST.

All lanes:

Western blot - Anti-BAT3/BAG-6 antibody [EPR9223] (<a href='/en-us/products/primary-antibodies/bat3-bag-6-antibody-epr9223-ab137076'>ab137076</a>) at 1/1000 dilution

Lane 1:

A431 (Human epidermoid carcinoma cell line) whole cell lysate at 20 µg

Lane 2:

Human fetal brain tissue lysate at 20 µg

Lane 3:

Rat brain tissue lysate at 20 µg

Secondary

All lanes:

Anti-Rabbit IgG (HRP), specific to the non-reduced form of IgG at 1/2000 dilution

Predicted band size: 119 kDa

Observed band size: 160 kDa

false

  • 775 Alexa Fluor® 750

    Alexa Fluor® 750 Anti-BAT3/BAG-6 antibody [EPR9223]

  • Unconjugated

    Anti-BAT3/BAG-6 antibody [EPR9223]

  • 578 PE

    PE Anti-BAT3/BAG-6 antibody [EPR9223]

  • 660 APC

    APC Anti-BAT3 / BAG-6 antibody [EPR9223]

  • HRP

    HRP Anti-BAT3 / BAG-6 antibody [EPR9223]

  • 603 Alexa Fluor® 568

    Alexa Fluor® 568 Anti-BAT3 / BAG-6 antibody [EPR9223]

Key facts

Host species

Rabbit

Clonality

Monoclonal

Clone number

EPR9223

Isotype

IgG

Carrier free

Yes

Reacts with

Mouse, Rat, Human

Applications

WB, ICC/IF, IHC-P, Flow Cyt (Intra)

applications

Immunogen

The exact immunogen used to generate this antibody is proprietary information.

Reactivity data

{ "title": "Reactivity Data", "filters": { "stats": ["", "Species", "Dilution Info", "Notes"], "tabs": { "all-applications": {"fullname" : "All Applications", "shortname": "All Applications"}, "WB" : {"fullname" : "Western blot", "shortname":"WB"}, "IHCP" : {"fullname" : "Immunohistochemistry (Formalin/PFA-fixed paraffin-embedded sections)", "shortname":"IHC-P"}, "ICCIF" : {"fullname" : "Immunocytochemistry/ Immunofluorescence", "shortname":"ICC/IF"}, "FlowCytIntra" : {"fullname" : "Flow Cytometry (Intracellular)", "shortname":"Flow Cyt (Intra)"} }, "product-promise": { "all": "all", "testedAndGuaranteed": "tested", "guaranteed": "expected", "predicted": "predicted", "notRecommended": "not-recommended" } }, "values": { "Human": { "WB-species-checked": "testedAndGuaranteed", "WB-species-dilution-info": "", "WB-species-notes": "<p></p>", "IHCP-species-checked": "testedAndGuaranteed", "IHCP-species-dilution-info": "", "IHCP-species-notes": "<p></p>", "ICCIF-species-checked": "testedAndGuaranteed", "ICCIF-species-dilution-info": "", "ICCIF-species-notes": "<p></p>", "FlowCytIntra-species-checked": "testedAndGuaranteed", "FlowCytIntra-species-dilution-info": "", "FlowCytIntra-species-notes": "<p></p>" }, "Mouse": { "WB-species-checked": "testedAndGuaranteed", "WB-species-dilution-info": "", "WB-species-notes": "<p></p>", "IHCP-species-checked": "guaranteed", "IHCP-species-dilution-info": "", "IHCP-species-notes": "", "ICCIF-species-checked": "guaranteed", "ICCIF-species-dilution-info": "", "ICCIF-species-notes": "", "FlowCytIntra-species-checked": "guaranteed", "FlowCytIntra-species-dilution-info": "", "FlowCytIntra-species-notes": "" }, "Rat": { "WB-species-checked": "testedAndGuaranteed", "WB-species-dilution-info": "", "WB-species-notes": "<p></p>", "IHCP-species-checked": "guaranteed", "IHCP-species-dilution-info": "", "IHCP-species-notes": "", "ICCIF-species-checked": "guaranteed", "ICCIF-species-dilution-info": "", "ICCIF-species-notes": "", "FlowCytIntra-species-checked": "guaranteed", "FlowCytIntra-species-dilution-info": "", "FlowCytIntra-species-notes": "" } } }

Product details

ab248802 is the carrier-free version of ab137076.

This antibody may not be suitable for IHC with mouse or rat samples.

Patented technology
Our RabMAb® technology is a patented hybridoma-based technology for making rabbit monoclonal antibodies. For details on our patents, please refer to RabMAb® patents.

What are the advantages of a recombinant monoclonal antibody?
This product is a recombinant monoclonal antibody, which offers several advantages including:

  • - High batch-to-batch consistency and reproducibility
  • - Improved sensitivity and specificity
  • - Long-term security of supply
  • - Animal-free batch production

For more information, read more on recombinant antibodies.

Conjugation ready
Our carrier-free antibodies are typically supplied in a PBS-only formulation, purified and free of BSA, sodium azide and glycerol. This conjugation-ready format is designed for use with fluorochromes, metal isotopes, oligonucleotides, and enzymes, which makes them ideal for antibody labelling, functional and cell-based assays, flow-based assays (e.g. mass cytometry) and Multiplex Imaging applications.

Use our conjugation kits for antibody conjugates that are ready-to-use in as little as 20 minutes with 1 minute hands-on-time and 100% antibody recovery: available for fluorescent dyes, HRP, biotin and gold.

Compatibility
This product is compatible with the Maxpar® Antibody Labeling Kit from Fluidigm, without the need for antibody preparation. Maxpar® is a trademark of Fluidigm Canada Inc.

Properties and storage information

Form
Liquid
Purification technique
Affinity purification Protein A
Storage buffer
pH: 7.2 - 7.4 Constituents: PBS
Shipped at conditions
Blue Ice
Appropriate short-term storage conditions
+4°C
Appropriate long-term storage conditions
+4°C
Storage information
Do Not Freeze

Product protocols

For this product, it's our understanding that no specific protocols are required. You can visit:

Target data

ATP-independent molecular chaperone preventing the aggregation of misfolded and hydrophobic patches-containing proteins (PubMed : 21636303). Functions as part of a cytosolic protein quality control complex, the BAG6/BAT3 complex, which maintains these client proteins in a soluble state and participates in their proper delivery to the endoplasmic reticulum or alternatively can promote their sorting to the proteasome where they undergo degradation (PubMed : 20516149, PubMed : 21636303, PubMed : 21743475, PubMed : 28104892). The BAG6/BAT3 complex is involved in the post-translational delivery of tail-anchored/type II transmembrane proteins to the endoplasmic reticulum membrane. Recruited to ribosomes, it interacts with the transmembrane region of newly synthesized tail-anchored proteins and together with SGTA and ASNA1 mediates their delivery to the endoplasmic reticulum (PubMed : 20516149, PubMed : 20676083, PubMed : 25535373, PubMed : 28104892). Client proteins that cannot be properly delivered to the endoplasmic reticulum are ubiquitinated by RNF126, an E3 ubiquitin-protein ligase associated with BAG6 and are sorted to the proteasome (PubMed : 24981174, PubMed : 27193484, PubMed : 28104892). SGTA which prevents the recruitment of RNF126 to BAG6 may negatively regulate the ubiquitination and the proteasomal degradation of client proteins (PubMed : 23129660, PubMed : 25179605, PubMed : 27193484). Similarly, the BAG6/BAT3 complex also functions as a sorting platform for proteins of the secretory pathway that are mislocalized to the cytosol either delivering them to the proteasome for degradation or to the endoplasmic reticulum (PubMed : 21743475). The BAG6/BAT3 complex also plays a role in the endoplasmic reticulum-associated degradation (ERAD), a quality control mechanism that eliminates unwanted proteins of the endoplasmic reticulum through their retrotranslocation to the cytosol and their targeting to the proteasome. It maintains these retrotranslocated proteins in an unfolded yet soluble state condition in the cytosol to ensure their proper delivery to the proteasome (PubMed : 21636303). BAG6 is also required for selective ubiquitin-mediated degradation of defective nascent chain polypeptides by the proteasome. In this context, it may participate in the production of antigenic peptides and play a role in antigen presentation in immune response (By similarity). BAG6 is also involved in endoplasmic reticulum stress-induced pre-emptive quality control, a mechanism that selectively attenuates the translocation of newly synthesized proteins into the endoplasmic reticulum and reroutes them to the cytosol for proteasomal degradation. BAG6 may ensure the proper degradation of these proteins and thereby protects the endoplasmic reticulum from protein overload upon stress (PubMed : 26565908). By inhibiting the polyubiquitination and subsequent proteasomal degradation of HSPA2 it may also play a role in the assembly of the synaptonemal complex during spermatogenesis (By similarity). Also positively regulates apoptosis by interacting with and stabilizing the proapoptotic factor AIFM1 (By similarity). By controlling the steady-state expression of the IGF1R receptor, indirectly regulates the insulin-like growth factor receptor signaling pathway (PubMed : 26692333).. Involved in DNA damage-induced apoptosis : following DNA damage, accumulates in the nucleus and forms a complex with p300/EP300, enhancing p300/EP300-mediated p53/TP53 acetylation leading to increase p53/TP53 transcriptional activity (PubMed : 17403783). When nuclear, may also act as a component of some chromatin regulator complex that regulates histone 3 'Lys-4' dimethylation (H3K4me2) (PubMed : 18765639).. Released extracellularly via exosomes, it is a ligand of the natural killer/NK cells receptor NCR3 and stimulates NK cells cytotoxicity. It may thereby trigger NK cells cytotoxicity against neighboring tumor cells and immature myeloid dendritic cells (DC).. Mediates ricin-induced apoptosis.
See full target information BAG6

Publications (1)

Recent publications for all applications. Explore the full list and refine your search

NPJ precision oncology 7:95 PubMed37723227

2023

Targeted single-cell proteomic analysis identifies new liquid biopsy biomarkers associated with multiple myeloma.

Applications

Unspecified application

Species

Unspecified reactive species

Sonia M Setayesh,Libere J Ndacayisaba,Kate E Rappard,Valerie Hennes,Luz Yurany Moreno Rueda,Guilin Tang,Pei Lin,Robert Z Orlowski,David E Symer,Elisabet E Manasanch,Stephanie N Shishido,Peter Kuhn
View all publications

Product promise

We are committed to supporting your work with high-quality reagents, and we're here for you every step of the way. In the unlikely event that one of our products does not perform as expected, you're protected by our Product Promise.
For full details, please see our Terms & Conditions

Please note: All products are 'FOR RESEARCH USE ONLY. NOT FOR USE IN DIAGNOSTIC OR THERAPEUTIC PROCEDURES'.

For licensing inquiries, please contact partnerships@abcam.com