JavaScript is disabled in your browser. Please enable JavaScript to view this website.
AB243140

Anti-Bax antibody [21C10]

Be the first to review this product! Submit a review

|

(10 Publications)

Rat Recombinant Monoclonal BAX antibody. Suitable for WB and reacts with Human samples. Cited in 10 publications.

View Alternative Names

BCL2L4, BAX, Apoptosis regulator BAX, Bcl-2-like protein 4, Bcl2-L-4

2 Images
Western blot - Anti-Bax antibody [21C10] (AB243140)
  • WB

Supplier Data

Western blot - Anti-Bax antibody [21C10] (AB243140)

Lanes 1-4 : Merged signal (red and green). Green - ab243140 observed at 21 kDa. Red - loading control ab8245 (Mouse monoclonal [6C5] to GAPDH) observed at 36 kDa.

Lanes 1-2 : ab243140 Anti-Bax antibody was shown to react with Bax in HAP1 cells in Western blot. Loss of signal was observed when Bax knockout sample was used. Wild-type and Bax knockout samples were subjected to SDS-PAGE.

ab243140 and Anti-GAPDH antibody [6C5] - Loading Control (ab8245) were incubated at 4℃ overnight at 1 in 500 dilution and 1 in 20000 dilution respectively. Blots were developed with Goat anti-Rat IgG H&L (IRDye® 800CW) preadsorbed (ab253031) and Goat anti-Mouse IgG H&L (IRDye® 680RD) preadsorbed (ab216776) secondary antibodies at 1 in 20000 dilution for 1 hour at room temperature before imaging.

Negative control : Jurkat (PMID : 9583678).

Blocking/Dilution buffer : ½ volume of Odyssey Blocking Buffer (TBS)+ ½ volume of 0.1% TBS.

All lanes:

Western blot - Anti-Bax antibody [21C10] (ab243140) at 1/500 dilution

Lane 1:

Wild-type HAP1 (human chronic myelogenous leukemia near-haploid cell), whole cell lysate at 20 µg

Lane 2:

BAX knockout HAP1 (human chronic myelogenous leukemia near-haploid cell), whole cell lysate at 20 µg

Lane 3:

Raji (human Burkitt's lymphoma B lymphocyte), whole cell lysate at 20 µg

Lane 4:

Jurkat (human T cell leukemia T lymphocyte), whole cell lysate at 20 µg

Secondary

All lanes:

Goat Anti-Rat IgG H&L (IRDye® 800CW) (ab253031) and Goat Anti-Mouse IgG H&L (IRDye® 680RD) (<a href='/en-us/products/secondary-antibodies/goat-mouse-igg-h-l-irdye-680rd-preadsorbed-ab216776'>ab216776</a>)

Predicted band size: 21 kDa

false

Western blot - Anti-Bax antibody [21C10] (AB243140)
  • WB

Supplier Data

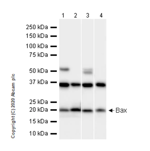
Western blot - Anti-Bax antibody [21C10] (AB243140)

Blocking/Dilution buffer : 5% NFDM/TBST.

All lanes:

Western blot - Anti-Bax antibody [21C10] (ab243140) at 1/5000 dilution

Lane 1:

HuT-78 (human Sezary syndrome cutaneous T lymphocyte), whole cell lysate at 20 µg

Lane 2:

HEK-293T (human embryonic kidney epithelial cell), whole cell lysate at 20 µg

Lane 3:

Raji (human Burkitt's lymphoma B lymphocyte), whole cell lysate at 20 µg

Lane 4:

HeLa (human cervix adenocarcinoma epithelial cell ), whole cell lysate at 20 µg

Secondary

All lanes:

Western blot - Goat Anti-Rat IgG H&L (HRP) (<a href='/en-us/products/secondary-antibodies/goat-rat-igg-h-l-hrp-ab205720'>ab205720</a>) at 1/5000 dilution

Predicted band size: 21 kDa

false

Exposure time: 1s

  • Carrier free

    Anti-Bax antibody [21C10] - BSA and Azide free

Key facts

Host species

Rat

Clonality

Monoclonal

Clone number

21C10

Isotype

IgG2a

Carrier free

No

Reacts with

Human

Applications

WB

applications

Immunogen

The exact immunogen used to generate this antibody is proprietary information.

Reactivity data

{ "title": "Reactivity Data", "filters": { "stats": ["", "Species", "Dilution Info", "Notes"], "tabs": { "all-applications": {"fullname" : "All Applications", "shortname": "All Applications"}, "WB" : {"fullname" : "Western blot", "shortname":"WB"}, "IHCP" : {"fullname" : "Immunohistochemistry (Formalin/PFA-fixed paraffin-embedded sections)", "shortname":"IHC-P"}, "ICCIF" : {"fullname" : "Immunocytochemistry/ Immunofluorescence", "shortname":"ICC/IF"} }, "product-promise": { "all": "all", "testedAndGuaranteed": "tested", "guaranteed": "expected", "predicted": "predicted", "notRecommended": "not-recommended" } }, "values": { "Human": { "WB-species-checked": "testedAndGuaranteed", "WB-species-dilution-info": "1/500", "WB-species-notes": "<p></p>", "IHCP-species-checked": "notRecommended", "IHCP-species-dilution-info": "", "IHCP-species-notes": "<p></p>", "ICCIF-species-checked": "notRecommended", "ICCIF-species-dilution-info": "", "ICCIF-species-notes": "<p></p>" }, "Mouse": { "WB-species-checked": "notRecommended", "WB-species-dilution-info": "1/500", "WB-species-notes": "<p></p>", "IHCP-species-checked": "notRecommended", "IHCP-species-dilution-info": "", "IHCP-species-notes": "<p></p>", "ICCIF-species-checked": "notRecommended", "ICCIF-species-dilution-info": "", "ICCIF-species-notes": "" }, "Rat": { "WB-species-checked": "notRecommended", "WB-species-dilution-info": "1/500", "WB-species-notes": "<p></p>", "IHCP-species-checked": "notRecommended", "IHCP-species-dilution-info": "", "IHCP-species-notes": "<p></p>", "ICCIF-species-checked": "notRecommended", "ICCIF-species-dilution-info": "", "ICCIF-species-notes": "" } } }

Product details

What are the advantages of a recombinant monoclonal antibody?
This product is a recombinant monoclonal antibody, which offers several advantages including:

  • - High batch-to-batch consistency and reproducibility
  • - Improved sensitivity and specificity
  • - Long-term security of supply
  • - Animal-free batch production

For more information, read more on recombinant antibodies.

Want a custom formulation?
This antibody clone is manufactured by Abcam. If you require a custom buffer formulation or conjugation for your experiments, please contact orders@abcam.com

Properties and storage information

Form
Liquid
Purification technique
Ion exchange chromatography
Storage buffer
Preservative: 0.01% Sodium azide Constituents: PBS, 40% Glycerol (glycerin, glycerine), 0.05% BSA
Shipped at conditions
Blue Ice
Appropriate short-term storage duration
1-2 weeks
Appropriate short-term storage conditions
+4°C
Appropriate long-term storage conditions
-20°C
Aliquoting information
Upon delivery aliquot
Storage information
Avoid freeze / thaw cycle

Supplementary information

This supplementary information is collated from multiple sources and compiled automatically.

Bax also known as Bcl-2-associated X protein plays an important role in the regulation of apoptosis. It is widely known for its pro-apoptotic function opposing the action of anti-apoptotic proteins like Bcl-2. Bax has a molecular weight of approximately 21 kDa making it identifiable in laboratory techniques such as western blot. Researchers often use anti-Bax antibodies to detect and analyze its expression levels in various studies. The Bax protein is mainly expressed in mitochondria where it undergoes changes in response to apoptotic signals.
Biological function summary

The Bax protein forms homodimers or heterodimers with other Bcl-2 family proteins to facilitate apoptosis. This protein is part of a larger complex involving several members of the Bcl-2 family which finely tunes the balance between cell survival and programmed cell death. Through a change in its conformation Bax translocates to the outer mitochondrial membrane where it promotes the release of cytochrome c and other apoptogenic factors into the cytosol.

Pathways

Bax plays a significant role in the intrinsic pathway of apoptosis also known as the mitochondrial pathway. This pathway involves the release of cytochrome c which further activates downstream proteins such as caspase-9 and caspase-3. Bax interacts closely with proteins like Bak another pro-apoptotic member of the Bcl-2 family providing a cooperative function in mitochondrial membrane permeabilization. Together Bax and Bak act as gatekeepers of the mitochondrial pathway determining the cell's fate in response to apoptotic stimuli.

The dysregulation of Bax often associates with various cancers and neurodegenerative diseases. In cancer reduced Bax expression or function can lead to resistance to apoptosis contributing to unchecked cellular proliferation. Conversely in neurodegenerative disorders such as Alzheimer's disease increased Bax activity results in excessive neuronal apoptosis. The balance between Bax and its partner proteins like Bcl-2 or Bcl-xL is important in maintaining normal cellular function and preventing disease progression.

Product protocols

For this product, it's our understanding that no specific protocols are required. You can visit:

Target data

Plays a role in the mitochondrial apoptotic process (PubMed : 10772918, PubMed : 11060313, PubMed : 16113678, PubMed : 16199525, PubMed : 18948948, PubMed : 21199865, PubMed : 21458670, PubMed : 25609812, PubMed : 36361894, PubMed : 8358790, PubMed : 8521816). Under normal conditions, BAX is largely cytosolic via constant retrotranslocation from mitochondria to the cytosol mediated by BCL2L1/Bcl-xL, which avoids accumulation of toxic BAX levels at the mitochondrial outer membrane (MOM) (PubMed : 21458670). Under stress conditions, undergoes a conformation change that causes translocation to the mitochondrion membrane, leading to the release of cytochrome c that then triggers apoptosis (PubMed : 10772918, PubMed : 11060313, PubMed : 16113678, PubMed : 16199525, PubMed : 18948948, PubMed : 21199865, PubMed : 21458670, PubMed : 25609812, PubMed : 8358790, PubMed : 8521816). Promotes activation of CASP3, and thereby apoptosis (PubMed : 10772918, PubMed : 11060313, PubMed : 16113678, PubMed : 16199525, PubMed : 18948948, PubMed : 21199865, PubMed : 21458670, PubMed : 25609812, PubMed : 8358790, PubMed : 8521816).
See full target information BAX

Publications (10)

Recent publications for all applications. Explore the full list and refine your search

Open medicine (Warsaw, Poland) 19:20240991 PubMed39091610

2024

SHP-1 mediates cigarette smoke extract-induced epithelial-mesenchymal transformation and inflammation in 16HBE cells.

Applications

Unspecified application

Species

Unspecified reactive species

Quan He,Shuanglan Xu,Xiaomei Ma,Yuanxia Qian,Xuzhi Lu,Weiqi Feng,Zi Chen

American journal of nephrology 55:345-360 PubMed38330925

2024

Klotho Stabilizes the Podocyte Actin Cytoskeleton in Idiopathic Membranous Nephropathy through Regulating the TRPC6/CatL Pathway.

Applications

Unspecified application

Species

Unspecified reactive species

Hongyun Wang,Hongyan Liu,Hong Cheng,Xue Xue,Yamei Ge,Xiaoqin Wang,Jun Yuan

Biological & pharmaceutical bulletin 46:979-986 PubMed37183023

2023

Forsythiaside A Alleviates Lipopolysaccharide-Induced Acute Liver Injury through Inhibiting Endoplasmic Reticulum Stress and NLRP3 Inflammasome Activation.

Applications

Unspecified application

Species

Unspecified reactive species

Jing-Nan Fu,Shu-Chang Liu,Yi Chen,Jie Zhao,Ning Lu,Tao Ma

Journal of orthopaedic surgery and research 18:356 PubMed37173768

2023

Circ_0005615 restrains the progression of multiple myeloma through modulating miR-331-3p and IGF1R regulatory cascade.

Applications

Unspecified application

Species

Unspecified reactive species

Qinxin Zhang,Hui Duan,Wupeng Yang,Hao Liu,Xiaoyang Tao,Yan Zhang

Histology and histopathology 38:797-810 PubMed36426731

2022

Circ_0007385 promotes the proliferation and inhibits the apoptosis of non-small cell lung cancer cells via miR-337-3p-dependent regulation of LMO3.

Applications

Unspecified application

Species

Unspecified reactive species

Mingchao Wei,Rongjiang Yin,Li Qu,Jian Tang

The journal of gene medicine 24:e3385 PubMed34346534

2022

lncRNA OIP5-AS1 knockdown or miR-223 overexpression can alleviate LPS-induced ALI/ARDS by interfering with miR-223/NLRP3-mediated pyroptosis.

Applications

Unspecified application

Species

Unspecified reactive species

Juanjuan Ji,Wei Ye,Gengyun Sun

Bioengineered 13:844-855 PubMed34898378

2021

Upregulation of serum and glucocorticoid-regulated kinase 1 (SGK1) ameliorates doxorubicin-induced cardiotoxic injury, apoptosis, inflammation and oxidative stress by suppressing glucose regulated protein 78 (GRP78)-mediated endoplasmic reticulum stress.

Applications

Unspecified application

Species

Unspecified reactive species

Feng Wang,Lili Han

Bioengineered 12:12469-12481 PubMed34783632

2021

Downregulation of microRNA-512-3p enhances the viability and suppresses the apoptosis of vascular endothelial cells, alleviates autophagy and endoplasmic reticulum stress as well as represses atherosclerotic lesions in atherosclerosis by adjusting spliced/unspliced ratio of X-box binding protein 1 (XBP-1S/XBP-1U).

Applications

Unspecified application

Species

Unspecified reactive species

Peipei Ge,Mingxiao Gao,Juan Du,Jingbin Yu,Lei Zhang

Molecular medicine reports 23: PubMed33846792

2021

MicroRNA‑29‑3p regulates the β‑catenin pathway by targeting IGF1 to inhibit the proliferation of prolactinoma cells.

Applications

Unspecified application

Species

Unspecified reactive species

Jie Xia,Songmei Li,Dianfei Ma,Wenyujie Guo,Hong Long,Weiping Yin

Proceedings of the National Academy of Sciences of the United States of America 109:2766-71 PubMed21768359

2011

Sensitization of BCL-2-expressing breast tumors to chemotherapy by the BH3 mimetic ABT-737.

Applications

Unspecified application

Species

Unspecified reactive species

Samantha R Oakes,François Vaillant,Elgene Lim,Lily Lee,Kelsey Breslin,Frank Feleppa,Siddhartha Deb,Matthew E Ritchie,Elena Takano,Teresa Ward,Stephen B Fox,Daniele Generali,Gordon K Smyth,Andreas Strasser,David C S Huang,Jane E Visvader,Geoffrey J Lindeman
View all publications

Product promise

We are committed to supporting your work with high-quality reagents, and we're here for you every step of the way. In the unlikely event that one of our products does not perform as expected, you're protected by our Product Promise.
For full details, please see our Terms & Conditions

Please note: All products are 'FOR RESEARCH USE ONLY. NOT FOR USE IN DIAGNOSTIC OR THERAPEUTIC PROCEDURES'.

For licensing inquiries, please contact partnerships@abcam.com