JavaScript is disabled in your browser. Please enable JavaScript to view this website.
AB252252

Anti-Bax antibody [21C10] - BSA and Azide free

Be the first to review this product! Submit a review

|

(1 Publication)

Rat Recombinant Monoclonal BAX antibody. Carrier free. Suitable for WB and reacts with Human samples. Cited in 1 publication.

View Alternative Names

BCL2L4, BAX, Apoptosis regulator BAX, Bcl-2-like protein 4, Bcl2-L-4

2 Images
Western blot - Anti-Bax antibody [21C10] - BSA and Azide free (AB252252)
  • WB

Supplier Data

Western blot - Anti-Bax antibody [21C10] - BSA and Azide free (AB252252)

This data was produced using the same clone but in a different buffer, ab243140.

Lanes 1-4 : Merged signal (red and green). Green - ab243140 observed at 21 kDa. Red - loading control ab8245 (Mouse monoclonal [6C5] to GAPDH) observed at 36 kDa.

Lanes 1-2 : ab243140 Anti-Bax antibody was shown to react with Bax in HAP1 cells in Western blot. Loss of signal was observed when Bax knockout sample was used. Wild-type and Bax knockout samples were subjected to SDS-PAGE.

ab243140 and Anti-GAPDH antibody [6C5] - Loading Control (ab8245) were incubated at 4℃ overnight at 1 in 500 dilution and 1 in 20000 dilution respectively. Blots were developed with Goat anti-Rat IgG H&L (IRDye® 800CW) preadsorbed (ab253031) and Goat anti-Mouse IgG H&L (IRDye® 680RD) preadsorbed (ab216776) secondary antibodies at 1 in 20000 dilution for 1 hour at room temperature before imaging.

Negative control : Jurkat (PMID : 9583678).

Blocking/Dilution buffer : ½ volume of Odyssey Blocking Buffer (TBS)+ ½ volume of 0.1% TBS.

All lanes:

Western blot - Anti-Bax antibody [21C10] (<a href='/en-us/products/primary-antibodies/bax-antibody-21c10-ab243140'>ab243140</a>) at 1/500 dilution

Lane 1:

Wild-type HAP1 (human chronic myelogenous leukemia near-haploid cell), whole cell lysate at 20 µg

Lane 2:

BAX knockout HAP1 (human chronic myelogenous leukemia near-haploid cell), whole cell lysate at 20 µg

Lane 3:

Raji (human Burkitt's lymphoma B lymphocyte), whole cell lysate at 20 µg

Lane 4:

Jurkat (human T cell leukemia T lymphocyte), whole cell lysate at 20 µg

Secondary

All lanes:

Goat Anti-Rat IgG H&L (IRDye® 800CW) (<a href='/en-us/products/unavailable/goat-rat-igg-hl-irdye-800cw-ab253031'>ab253031</a>) and Goat Anti-Mouse IgG H&L (IRDye® 680RD) (<a href='/en-us/products/secondary-antibodies/goat-mouse-igg-h-l-irdye-680rd-preadsorbed-ab216776'>ab216776</a>)

Predicted band size: 21 kDa

false

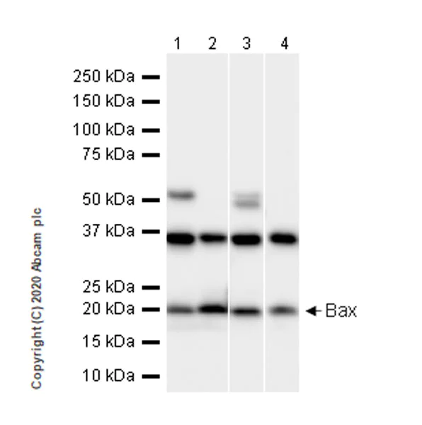
Western blot - Anti-Bax antibody [21C10] - BSA and Azide free (AB252252)
  • WB

Supplier Data

Western blot - Anti-Bax antibody [21C10] - BSA and Azide free (AB252252)

This data was produced using the same clone but in a different buffer, ab243140.

Blocking/Dilution buffer : 5% NFDM/TBST.

All lanes:

Western blot - Anti-Bax antibody [21C10] (<a href='/en-us/products/primary-antibodies/bax-antibody-21c10-ab243140'>ab243140</a>) at 1/5000 dilution

Lane 1:

HuT-78 (human Sezary syndrome cutaneous T lymphocyte), whole cell lysate at 20 µg

Lane 2:

HEK-293T (human embryonic kidney epithelial cell), whole cell lysate at 20 µg

Lane 3:

Raji (human Burkitt's lymphoma B lymphocyte), whole cell lysate at 20 µg

Lane 4:

HeLa (human cervix adenocarcinoma epithelial cell ), whole cell lysate at 20 µg

Secondary

All lanes:

Western blot - Goat Anti-Rat IgG H&L (HRP) (<a href='/en-us/products/secondary-antibodies/goat-rat-igg-h-l-hrp-ab205720'>ab205720</a>) at 1/5000 dilution

Predicted band size: 21 kDa

false

Exposure time: 1s

Key facts

Host species

Rat

Clonality

Monoclonal

Clone number

21C10

Isotype

IgG2a

Carrier free

Yes

Reacts with

Human

Applications

WB

applications

Immunogen

The exact immunogen used to generate this antibody is proprietary information.

Reactivity data

{ "title": "Reactivity Data", "filters": { "stats": ["", "Species", "Dilution Info", "Notes"], "tabs": { "all-applications": {"fullname" : "All Applications", "shortname": "All Applications"}, "ICC" : {"fullname" : "Immunocytochemistry", "shortname":"ICC"}, "WB" : {"fullname" : "Western blot", "shortname":"WB"}, "IHCP" : {"fullname" : "Immunohistochemistry (Formalin/PFA-fixed paraffin-embedded sections)", "shortname":"IHC-P"} }, "product-promise": { "all": "all", "testedAndGuaranteed": "tested", "guaranteed": "expected", "predicted": "predicted", "notRecommended": "not-recommended" } }, "values": { "Human": { "ICC-species-checked": "notRecommended", "ICC-species-dilution-info": "", "ICC-species-notes": "<p></p>", "WB-species-checked": "testedAndGuaranteed", "WB-species-dilution-info": "", "WB-species-notes": "<p></p>", "IHCP-species-checked": "notRecommended", "IHCP-species-dilution-info": "", "IHCP-species-notes": "<p></p>" }, "Mouse": { "ICC-species-checked": "notRecommended", "ICC-species-dilution-info": "", "ICC-species-notes": "", "WB-species-checked": "notRecommended", "WB-species-dilution-info": "", "WB-species-notes": "<p></p>", "IHCP-species-checked": "notRecommended", "IHCP-species-dilution-info": "", "IHCP-species-notes": "<p></p>" }, "Rat": { "ICC-species-checked": "notRecommended", "ICC-species-dilution-info": "", "ICC-species-notes": "", "WB-species-checked": "notRecommended", "WB-species-dilution-info": "", "WB-species-notes": "<p></p>", "IHCP-species-checked": "notRecommended", "IHCP-species-dilution-info": "", "IHCP-species-notes": "<p></p>" } } }

Product details

ab252252 is the carrier-free version of ab243140.

What are the advantages of a recombinant monoclonal antibody?
This product is a recombinant monoclonal antibody, which offers several advantages including:

  • - High batch-to-batch consistency and reproducibility
  • - Improved sensitivity and specificity
  • - Long-term security of supply
  • - Animal-free batch production

For more information, read more on recombinant antibodies.

Want a custom formulation?
This antibody clone is manufactured by Abcam. If you require a custom buffer formulation or conjugation for your experiments, please contact orders@abcam.com

Conjugation ready
Our carrier-free antibodies are typically supplied in a PBS-only formulation, purified and free of BSA, sodium azide and glycerol. This conjugation-ready format is designed for use with fluorochromes, metal isotopes, oligonucleotides, and enzymes, which makes them ideal for antibody labelling, functional and cell-based assays, flow-based assays (e.g. mass cytometry) and Multiplex Imaging applications.

Use our conjugation kits for antibody conjugates that are ready-to-use in as little as 20 minutes with 1 minute hands-on-time and 100% antibody recovery: available for fluorescent dyes, HRP, biotin and gold.

Compatibility
This product is compatible with the Maxpar® Antibody Labeling Kit from Fluidigm, without the need for antibody preparation. Maxpar® is a trademark of Fluidigm Canada Inc.

Properties and storage information

Form
Liquid
Purification technique
Ion exchange chromatography
Storage buffer
Constituents: PBS
Shipped at conditions
Blue Ice
Appropriate short-term storage conditions
+4°C
Appropriate long-term storage conditions
+4°C
Storage information
Do Not Freeze

Supplementary information

This supplementary information is collated from multiple sources and compiled automatically.

Bax also known as Bcl-2-associated X protein plays an important role in the regulation of apoptosis. It is widely known for its pro-apoptotic function opposing the action of anti-apoptotic proteins like Bcl-2. Bax has a molecular weight of approximately 21 kDa making it identifiable in laboratory techniques such as western blot. Researchers often use anti-Bax antibodies to detect and analyze its expression levels in various studies. The Bax protein is mainly expressed in mitochondria where it undergoes changes in response to apoptotic signals.
Biological function summary

The Bax protein forms homodimers or heterodimers with other Bcl-2 family proteins to facilitate apoptosis. This protein is part of a larger complex involving several members of the Bcl-2 family which finely tunes the balance between cell survival and programmed cell death. Through a change in its conformation Bax translocates to the outer mitochondrial membrane where it promotes the release of cytochrome c and other apoptogenic factors into the cytosol.

Pathways

Bax plays a significant role in the intrinsic pathway of apoptosis also known as the mitochondrial pathway. This pathway involves the release of cytochrome c which further activates downstream proteins such as caspase-9 and caspase-3. Bax interacts closely with proteins like Bak another pro-apoptotic member of the Bcl-2 family providing a cooperative function in mitochondrial membrane permeabilization. Together Bax and Bak act as gatekeepers of the mitochondrial pathway determining the cell's fate in response to apoptotic stimuli.

The dysregulation of Bax often associates with various cancers and neurodegenerative diseases. In cancer reduced Bax expression or function can lead to resistance to apoptosis contributing to unchecked cellular proliferation. Conversely in neurodegenerative disorders such as Alzheimer's disease increased Bax activity results in excessive neuronal apoptosis. The balance between Bax and its partner proteins like Bcl-2 or Bcl-xL is important in maintaining normal cellular function and preventing disease progression.

Product protocols

For this product, it's our understanding that no specific protocols are required. You can visit:

Target data

Plays a role in the mitochondrial apoptotic process (PubMed : 10772918, PubMed : 11060313, PubMed : 16113678, PubMed : 16199525, PubMed : 18948948, PubMed : 21199865, PubMed : 21458670, PubMed : 25609812, PubMed : 36361894, PubMed : 8358790, PubMed : 8521816). Under normal conditions, BAX is largely cytosolic via constant retrotranslocation from mitochondria to the cytosol mediated by BCL2L1/Bcl-xL, which avoids accumulation of toxic BAX levels at the mitochondrial outer membrane (MOM) (PubMed : 21458670). Under stress conditions, undergoes a conformation change that causes translocation to the mitochondrion membrane, leading to the release of cytochrome c that then triggers apoptosis (PubMed : 10772918, PubMed : 11060313, PubMed : 16113678, PubMed : 16199525, PubMed : 18948948, PubMed : 21199865, PubMed : 21458670, PubMed : 25609812, PubMed : 8358790, PubMed : 8521816). Promotes activation of CASP3, and thereby apoptosis (PubMed : 10772918, PubMed : 11060313, PubMed : 16113678, PubMed : 16199525, PubMed : 18948948, PubMed : 21199865, PubMed : 21458670, PubMed : 25609812, PubMed : 8358790, PubMed : 8521816).
See full target information BAX

Publications (1)

Recent publications for all applications. Explore the full list and refine your search

Proceedings of the National Academy of Sciences of the United States of America 109:2766-71 PubMed21768359

2011

Sensitization of BCL-2-expressing breast tumors to chemotherapy by the BH3 mimetic ABT-737.

Applications

Unspecified application

Species

Unspecified reactive species

Samantha R Oakes,François Vaillant,Elgene Lim,Lily Lee,Kelsey Breslin,Frank Feleppa,Siddhartha Deb,Matthew E Ritchie,Elena Takano,Teresa Ward,Stephen B Fox,Daniele Generali,Gordon K Smyth,Andreas Strasser,David C S Huang,Jane E Visvader,Geoffrey J Lindeman
View all publications

Product promise

We are committed to supporting your work with high-quality reagents, and we're here for you every step of the way. In the unlikely event that one of our products does not perform as expected, you're protected by our Product Promise.
For full details, please see our Terms & Conditions

Please note: All products are 'FOR RESEARCH USE ONLY. NOT FOR USE IN DIAGNOSTIC OR THERAPEUTIC PROCEDURES'.

For licensing inquiries, please contact partnerships@abcam.com