JavaScript is disabled in your browser. Please enable JavaScript to view this website.
AB263897

Anti-Bax antibody

Be the first to review this product! Submit a review

|

(24 Publications)

Rabbit Polyclonal BAX antibody. Suitable for IHC-P, IP, WB, ICC/IF and reacts with Human, Mouse, Rat samples. Cited in 24 publications. Immunogen corresponding to Synthetic Peptide within Human BAX.

View Alternative Names

BCL2L4, BAX, Apoptosis regulator BAX, Bcl-2-like protein 4, Bcl2-L-4

7 Images
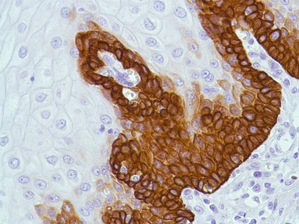
Immunohistochemistry (Formalin/PFA-fixed paraffin-embedded sections) - Anti-Bax antibody (AB263897)
  • IHC-P

Supplier Data

Immunohistochemistry (Formalin/PFA-fixed paraffin-embedded sections) - Anti-Bax antibody (AB263897)

Immunohistochemical analysis of paraffin-embedded human lung carcinoma tissue labelling Bax with ab263897 at 1/500 dilution. Antigen Retrieval : Trilogy™ (EDTA based, pH 8.0) buffer, 15min.

Immunocytochemistry/ Immunofluorescence - Anti-Bax antibody (AB263897)
  • ICC/IF

Supplier Data

Immunocytochemistry/ Immunofluorescence - Anti-Bax antibody (AB263897)

Immunocsytochemistry/Immunofluorescent analysis of 4% paraformaldehyde-fixed HeLa cells labelling Bax with ab263897 at 1/400 dilution (green). Hoechst 33342 was used as a nuclear counterstain (blue).

Immunoprecipitation - Anti-Bax antibody (AB263897)
  • IP

Supplier Data

Immunoprecipitation - Anti-Bax antibody (AB263897)

Bax was immunoprecipitated from MCF-7 whole cell lysate with 4μg ab263897. Western blot was performed on the immunoprecipitate using ab263897 at 1/500 dilution. EasyBlot anti-rabbit IgG was used as the secondary antibody. 15% SDS PAGE.

Lane 1 : MCF-7 whole cell lysate control with 4ug of preimmune Rabbit IgG

Lane 2 : ab263897 IP in MCF-7 whole cell lysate

All lanes:

Immunoprecipitation - Anti-Bax antibody (ab263897)

Predicted band size: 21 kDa

false

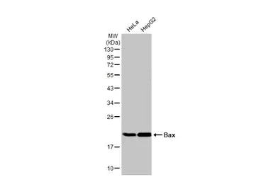
Western blot - Anti-Bax antibody (AB263897)
  • WB

Supplier Data

Western blot - Anti-Bax antibody (AB263897)

Samples were separated by 10% SDS-PAGE.

All lanes:

Western blot - Anti-Bax antibody (ab263897) at 1/1000 dilution

Lane 1:

HeLa whole cell extracts at 30 µg

Lane 2:

HepG2 whole cell extracts at 30 µg

Secondary

All lanes:

HRP-conjugated anti-rabbit IgG antibody

Predicted band size: 21 kDa

false

Western blot - Anti-Bax antibody (AB263897)
  • WB

Supplier Data

Western blot - Anti-Bax antibody (AB263897)

Samples were separated by 12% SDS-PAGE.

All lanes:

Western blot - Anti-Bax antibody (ab263897) at 1/1000 dilution

Lane 1:

Mouse spleen tissue extracts at 50 µg

Lane 2:

Rat spleen tissue extracts at 50 µg

Secondary

All lanes:

HRP-conjugated anti-rabbit IgG antibody

Predicted band size: 21 kDa

false

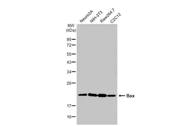
Western blot - Anti-Bax antibody (AB263897)
  • WB

Supplier Data

Western blot - Anti-Bax antibody (AB263897)

Samples were separated by 12% SDS-PAGE.

All lanes:

Western blot - Anti-Bax antibody (ab263897) at 1/1000 dilution

Lane 1:

Neuro2A cells at 30 µg

Lane 2:

NIH-3T3 cells at 30 µg

Lane 3:

Raw264.7 cells at 30 µg

Lane 4:

C2C12 cells at 30 µg

Secondary

All lanes:

HRP-conjugated anti-rabbit IgG antibody

Predicted band size: 21 kDa

false

Western blot - Anti-Bax antibody (AB263897)
  • WB

Supplier Data

Western blot - Anti-Bax antibody (AB263897)

Samples were separated by 12% SDS-PAGE.

All lanes:

Western blot - Anti-Bax antibody (ab263897) at 1/1000 dilution

Lane 1:

PC-12 cells at 30 µg

Lane 2:

Rat2 cells at 30 µg

Secondary

All lanes:

HRP-conjugated anti-rabbit IgG antibody

Predicted band size: 21 kDa

false

Key facts

Host species

Rabbit

Clonality

Polyclonal

Isotype

IgG

Carrier free

No

Reacts with

Human, Mouse, Rat

Applications

IHC-P, IP, ICC/IF, WB

applications

Immunogen

Synthetic Peptide within Human BAX. The exact immunogen used to generate this antibody is proprietary information.

Q07812

Reactivity data

{ "title": "Reactivity Data", "filters": { "stats": ["", "Species", "Dilution Info", "Notes"], "tabs": { "all-applications": {"fullname" : "All Applications", "shortname": "All Applications"}, "IHCP" : {"fullname" : "Immunohistochemistry (Formalin/PFA-fixed paraffin-embedded sections)", "shortname":"IHC-P"}, "IP" : {"fullname" : "Immunoprecipitation", "shortname":"IP"}, "WB" : {"fullname" : "Western blot", "shortname":"WB"}, "ICCIF" : {"fullname" : "Immunocytochemistry/ Immunofluorescence", "shortname":"ICC/IF"} }, "product-promise": { "all": "all", "testedAndGuaranteed": "tested", "guaranteed": "expected", "predicted": "predicted", "notRecommended": "not-recommended" } }, "values": { "Human": { "IHCP-species-checked": "testedAndGuaranteed", "IHCP-species-dilution-info": "1/100 - 1/1000", "IHCP-species-notes": "<p></p>", "IP-species-checked": "testedAndGuaranteed", "IP-species-dilution-info": "1/100 - 1/500", "IP-species-notes": "<p></p>", "WB-species-checked": "testedAndGuaranteed", "WB-species-dilution-info": "1/500 - 1/3000", "WB-species-notes": "<p></p>", "ICCIF-species-checked": "testedAndGuaranteed", "ICCIF-species-dilution-info": "1/100 - 1/1000", "ICCIF-species-notes": "<p></p>" }, "Mouse": { "IHCP-species-checked": "guaranteed", "IHCP-species-dilution-info": "", "IHCP-species-notes": "", "IP-species-checked": "guaranteed", "IP-species-dilution-info": "", "IP-species-notes": "", "WB-species-checked": "testedAndGuaranteed", "WB-species-dilution-info": "1/500 - 1/3000", "WB-species-notes": "<p></p>", "ICCIF-species-checked": "guaranteed", "ICCIF-species-dilution-info": "", "ICCIF-species-notes": "" }, "Rat": { "IHCP-species-checked": "guaranteed", "IHCP-species-dilution-info": "", "IHCP-species-notes": "", "IP-species-checked": "guaranteed", "IP-species-dilution-info": "", "IP-species-notes": "", "WB-species-checked": "testedAndGuaranteed", "WB-species-dilution-info": "1/500 - 1/3000", "WB-species-notes": "<p></p>", "ICCIF-species-checked": "guaranteed", "ICCIF-species-dilution-info": "", "ICCIF-species-notes": "" } } }

Properties and storage information

Form
Liquid
Purification technique
Affinity purification
Storage buffer
pH: 7 Preservative: 0.025% Proclin 300 Constituents: PBS, 20% Glycerol (glycerin, glycerine)
Shipped at conditions
Blue Ice
Appropriate short-term storage duration
1-2 weeks
Appropriate short-term storage conditions
+4°C
Appropriate long-term storage conditions
-20°C
Aliquoting information
Upon delivery aliquot
Storage information
Avoid freeze / thaw cycle

Supplementary information

This supplementary information is collated from multiple sources and compiled automatically.

Bax also known as Bcl-2-associated X protein plays an important role in the regulation of apoptosis. It is widely known for its pro-apoptotic function opposing the action of anti-apoptotic proteins like Bcl-2. Bax has a molecular weight of approximately 21 kDa making it identifiable in laboratory techniques such as western blot. Researchers often use anti-Bax antibodies to detect and analyze its expression levels in various studies. The Bax protein is mainly expressed in mitochondria where it undergoes changes in response to apoptotic signals.
Biological function summary

The Bax protein forms homodimers or heterodimers with other Bcl-2 family proteins to facilitate apoptosis. This protein is part of a larger complex involving several members of the Bcl-2 family which finely tunes the balance between cell survival and programmed cell death. Through a change in its conformation Bax translocates to the outer mitochondrial membrane where it promotes the release of cytochrome c and other apoptogenic factors into the cytosol.

Pathways

Bax plays a significant role in the intrinsic pathway of apoptosis also known as the mitochondrial pathway. This pathway involves the release of cytochrome c which further activates downstream proteins such as caspase-9 and caspase-3. Bax interacts closely with proteins like Bak another pro-apoptotic member of the Bcl-2 family providing a cooperative function in mitochondrial membrane permeabilization. Together Bax and Bak act as gatekeepers of the mitochondrial pathway determining the cell's fate in response to apoptotic stimuli.

The dysregulation of Bax often associates with various cancers and neurodegenerative diseases. In cancer reduced Bax expression or function can lead to resistance to apoptosis contributing to unchecked cellular proliferation. Conversely in neurodegenerative disorders such as Alzheimer's disease increased Bax activity results in excessive neuronal apoptosis. The balance between Bax and its partner proteins like Bcl-2 or Bcl-xL is important in maintaining normal cellular function and preventing disease progression.

Product protocols

For this product, it's our understanding that no specific protocols are required. You can visit:

Target data

Plays a role in the mitochondrial apoptotic process (PubMed : 10772918, PubMed : 11060313, PubMed : 16113678, PubMed : 16199525, PubMed : 18948948, PubMed : 21199865, PubMed : 21458670, PubMed : 25609812, PubMed : 36361894, PubMed : 8358790, PubMed : 8521816). Under normal conditions, BAX is largely cytosolic via constant retrotranslocation from mitochondria to the cytosol mediated by BCL2L1/Bcl-xL, which avoids accumulation of toxic BAX levels at the mitochondrial outer membrane (MOM) (PubMed : 21458670). Under stress conditions, undergoes a conformation change that causes translocation to the mitochondrion membrane, leading to the release of cytochrome c that then triggers apoptosis (PubMed : 10772918, PubMed : 11060313, PubMed : 16113678, PubMed : 16199525, PubMed : 18948948, PubMed : 21199865, PubMed : 21458670, PubMed : 25609812, PubMed : 8358790, PubMed : 8521816). Promotes activation of CASP3, and thereby apoptosis (PubMed : 10772918, PubMed : 11060313, PubMed : 16113678, PubMed : 16199525, PubMed : 18948948, PubMed : 21199865, PubMed : 21458670, PubMed : 25609812, PubMed : 8358790, PubMed : 8521816).
See full target information BAX

Publications (24)

Recent publications for all applications. Explore the full list and refine your search

Journal of translational medicine 23:1056 PubMed41053808

2025

A novel anti-PD-L1/IL-8 bispecific antibody BP2402 enhances antitumor immunity and modulates inflammatory signaling in triple-negative breast cancer mice model.

Applications

Unspecified application

Species

Unspecified reactive species

Liying Song,Sumin Tang,Xuelei Pi,Yuanyuan Yan,Chenxi Hu,Liang Liu,Hongna Chen,Yating Zhang,Shishi Liu,Dan Yu,Chengkai Yin,Tianyan Liu,Xu Li,Deshan Li,Zhenzhong Wang,Wei Zhu,Kaiyuan Hui,Zhihang Liu,Xiaodong Jiang

IBRO neuroscience reports 18:759-770 PubMed40502966

2025

Alterations in apoptotic pathways and expression of miR-134, miR-181, and miR-497 induced by Wharton's jelly-derived mesenchymal stem cells in a rat model of ischemic brain injury.

Applications

Unspecified application

Species

Unspecified reactive species

Tahereh Alizamir,Ali Fathi Jouzdani,Fatemeh Attari,Leila Arab,Zeinab Ashaari,Alireza Komaki,Gholamreza Hassanzadeh

Aging 15:15196-15212 PubMed38149979

2023

Macrophage-specific deletion of Notch-1 induced M2 anti-inflammatory effect in atherosclerosis via activation of the PI3K-oxidative stress axis.

Applications

Unspecified application

Species

Unspecified reactive species

Mingming Zhang,Xiangyong Yue,Xueping Zhao,Yonggang Lu,Hongtao Liu,Zhe Zhang,Huan Ma,Xing Wang,Hanying Xing

Scientific reports 13:5374 PubMed37005468

2023

Spatial subcellular organelle networks in single cells.

Applications

Unspecified application

Species

Unspecified reactive species

Mythreye Venkatesan,Nicholas Zhang,Benoit Marteau,Yukina Yajima,Nerea Ortiz De Zarate Garcia,Zhou Fang,Thomas Hu,Shuangyi Cai,Adam Ford,Harrison Olszewski,Andrew Borst,Ahmet F Coskun

Investigational new drugs 41:226-239 PubMed37004643

2023

Development of a MET-targeted single-chain antibody fragment as an anti-oncogene targeted therapy for breast cancer.

Applications

Unspecified application

Species

Unspecified reactive species

Rana Vafaei,Zohreh Khaki,Malihe Salehi,Neda Jalili,Mohammad Reza Esmailinejad,Ahad Muhammadnajad,Seyed Mahdi Nassiri,Alireza Vajhi,Shima Moradi Kalbolandi,Roya Mirzaei,Leila Farahmand

FASEB journal : official publication of the Federation of American Societies for Experimental Biology 37:e22782 PubMed36786721

2023

Exosomes derived from human adipose-derived stem cells alleviate hepatic ischemia-reperfusion (I/R) injury through the miR-183/ALOX5 axis.

Applications

Unspecified application

Species

Unspecified reactive species

Yi Gong,Haisu Dai,Wei Liu,Rui Liao,Hailei Chen,Leida Zhang,Xiaojun Wang,Zhiyu Chen

Molecular biology reports 50:3317-3327 PubMed36725745

2023

Sirt1 regulates microglial activation and inflammation following oxygen-glucose deprivation/reoxygenation injury by targeting the Shh/Gli-1 signaling pathway.

Applications

Unspecified application

Species

Unspecified reactive species

Hongyan Liao,Jiagui Huang,Jie Liu,Huimin Zhu,Yue Chen,Xuemei Li,Jun Wen,Qin Yang

Clinical and experimental pharmacology & physiology 49:1105-1115 PubMed35748299

2022

Circ_0017274 acts on miR-637/CDX2 axis to facilitate cisplatin resistance in gastric cancer.

Applications

Unspecified application

Species

Unspecified reactive species

Bing Xu,Jinjuan Guo,Mei Chen

Bioengineered 13:10274-10286 PubMed35435104

2022

LncRNA growth arrest specific transcript 5 inhibits the growth of pituitary neuroendocrine tumors via miR-27a-5p/cylindromatosis axis.

Applications

Unspecified application

Species

Unspecified reactive species

Heyuan Wang,Bing Wu,Haotian Wang,Chunyan Jiang,Zhonghui Liu

Bioengineered 13:6650-6664 PubMed35230214

2022

L22 ribosomal protein is involved in dynamin-related protein 1-mediated gastric carcinoma progression.

Applications

Unspecified application

Species

Unspecified reactive species

Jianghong Cheng,Zizhuo Sha,Ruisan Zhang,Jinghao Ge,Peng Chen,Xuefeng Kuang,Jiazhi Chang,Kai Ren,Xianyang Luo,Shuai Chen,Xingchun Gou
View all publications

Product promise

We are committed to supporting your work with high-quality reagents, and we're here for you every step of the way. In the unlikely event that one of our products does not perform as expected, you're protected by our Product Promise.
For full details, please see our Terms & Conditions

Please note: All products are 'FOR RESEARCH USE ONLY. NOT FOR USE IN DIAGNOSTIC OR THERAPEUTIC PROCEDURES'.

For licensing inquiries, please contact partnerships@abcam.com