JavaScript is disabled in your browser. Please enable JavaScript to view this website.
AB182734

Anti-Bax antibody [EPR18284]

  • RabMAb
  • Recombinant
  • KO Validated
  • 20ul selling size
  • What is this?

Be the first to review this product! Submit a review

|

(98 Publications)

Rabbit Recombinant Monoclonal BAX antibody. Suitable for IP, WB and reacts with Human, Mouse, Rat samples. Cited in 98 publications.

View Alternative Names

BCL2L4, BAX, Apoptosis regulator BAX, Bcl-2-like protein 4, Bcl2-L-4

9 Images
Western blot - Anti-Bax antibody [EPR18284] (AB182734)
  • WB

Lab

Western blot - Anti-Bax antibody [EPR18284] (AB182734)

Lanes 1 - 4 : Merged signal (red and green). Green - ab182734 observed at 20 kDa. Red - loading control, ab8245, observed at 37 kDa.

ab182734 was shown to specifically react with BAX when BAX knockout samples were used. Wild-type and BAX knockout samples were subjected to SDS-PAGE. ab182734 and ab8245 (Mouse anti GAPDH loading control) were incubated overnight at 4°C at 1/1000 dilution and 1/10000 dilution respectively. Blots were developed with Goat anti-Rabbit IgG H&L (IRDye® 800CW) preabsorbed ab216773 and Goat anti-Mouse IgG H&L (IRDye® 680RD) preabsorbed ab216776 secondary antibodies at 1/10000 dilution for 1 hour at room temperature before imaging.

All lanes:

Western blot - Anti-Bax antibody [EPR18284] (ab182734) at 1/1000 dilution

Lane 1:

Wild-type HAP1 whole cell lysate at 20 µg

Lane 2:

BAX knockout HAP1 whole cell lysate at 20 µg

Lane 3:

HeLa whole cell lysate at 20 µg

Lane 4:

HT29 whole cell lysate at 20 µg

Predicted band size: 21 kDa

false

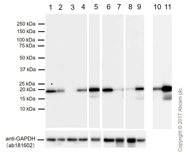
Western blot - Anti-Bax antibody [EPR18284] (AB182734)
  • WB

Lab

Western blot - Anti-Bax antibody [EPR18284] (AB182734)

Blocking and diluting 5% NFDM/TBST

Exposure time 1~9 lanes 24 s; 10~11 lanes 3 min

All lanes:

Western blot - Anti-Bax antibody [EPR18284] (ab182734) at 1/2000 dilution

Lane 1:

HeLa (Human cervix adenocarcinoma epithelial cell). Whole cell lysates at 20 µg

Lane 2:

Hep G2 (Human hepatocellular carcinoma epithelial cell). Whole cell lysates at 20 µg

Lane 3:

Jurkat (Human T cell leukemia T lymphocyte) Whole cell lysates at 20 µg

Lane 4:

A549 (Human lung carcinoma epithelial cell) Whole cell lysates at 20 µg

Lane 5:

C2C12 (Mouse myoblasts myoblast) Whole cell lysates at 20 µg

Lane 6:

C6 (Rat glial tumor glial cell) Whole cell lysates at 20 µg

Lane 7:

Mouse brain. Whole tissue lysate at 20 µg

Lanes 8 and 10:

Rat brain. Whole tissue lysate at 20 µg

Lanes 9 and 11:

Rat Spleen. Whole tissue lysate at 20 µg

Secondary

All lanes:

Western blot - Goat Anti-Rabbit IgG H&L (HRP) (<a href='/en-us/products/secondary-antibodies/goat-rabbit-igg-h-l-hrp-ab97051'>ab97051</a>) at 1/100000 dilution

Predicted band size: 21 kDa

Observed band size: 18 kDa

false

Western blot - Anti-Bax antibody [EPR18284] (AB182734)
  • WB

Supplier Data

Western blot - Anti-Bax antibody [EPR18284] (AB182734)

Blocking/Dilution buffer : 5% NFDM/TBST.

Exposure times : Lane 1, 2 and 3 : 3 seconds; Lane 4 : 2 seconds; Lane 5 : 3 seconds; Lane 6 and 7 : 2 seconds; Lane 8, 9 and 10 : 1 second.

This product reacts with a 15 kD isoform (PMID : 7607685).

All lanes:

Western blot - Anti-Bax antibody [EPR18284] (ab182734) at 1/1000 dilution

Lane 1:

Mouse brain lysate at 10 µg

Lane 2:

Mouse heart lysate at 10 µg

Lane 3:

Mouse kidney lysate at 10 µg

Lane 4:

Mouse spleen lysate at 10 µg

Lane 5:

Rat brain lysate at 10 µg

Lane 6:

Rat kidney lysate at 10 µg

Lane 7:

Rat spleen lysate at 10 µg

Lane 8:

C6 (Rat glial tumor cell line) whole cell lysate at 10 µg

Lane 9:

PC-12 (Rat adrenal gland pheochromocytoma cell line) whole cell lysate at 10 µg

Lane 10:

NIH/3T3 (Mouse embryonic fibroblast cell line) whole cell lysate at 10 µg

Secondary

All lanes:

Western blot - Goat Anti-Rabbit IgG H&L (HRP) (<a href='/en-us/products/secondary-antibodies/goat-rabbit-igg-h-l-hrp-ab97051'>ab97051</a>) at 1/100000 dilution

Predicted band size: 21 kDa

Observed band size: 19 kDa

false

Immunoprecipitation - Anti-Bax antibody [EPR18284] (AB182734)
  • IP

Supplier Data

Immunoprecipitation - Anti-Bax antibody [EPR18284] (AB182734)

Bax was immunoprecipitated from 0.35 mg of HeLa (Human epithelial cell line from cervix adenocarcinoma) whole cell lysate with ab182734 at 1/40 dilution. Western blot was performed from the immunoprecipitate using ab182734 at 1/1000 dilution. VeriBlot for IP Detection Reagent (HRP) (ab131366), was used for detection at 1/10000 dilution.

Lane 1 : HeLa whole cell lysate, 10μg (Input).

Lane 2 : ab182734 IP in HeLa whole cell lysate.

Lane 3 : Rabbit IgG,monoclonal [EPR25A] - Isotype Control (ab172730) instead of ab182734 in HeLa whole cell lysate.

Blocking and dilution buffer and concentration : 5% NFDM/TBST.

Exposure time : 10 seconds.

All lanes:

Immunoprecipitation - Anti-Bax antibody [EPR18284] (ab182734)

Predicted band size: 21 kDa

false

Western blot - Anti-Bax antibody [EPR18284] (AB182734)
  • WB

Lab

Western blot - Anti-Bax antibody [EPR18284] (AB182734)

Lanes 1- 2 : Merged signal (red and green). Green - ab182734 observed at 21 kDa. Red - Anti-GAPDH antibody [6C5] - Loading Control (ab8245) observed at 37 kDa.

ab182734 was shown to react with Bax in wild-type HeLa cells in western blot. Loss of signal was observed when knockout cell line ab255363 (knockout cell lysate ab263841) was used. Wild-type HeLa and BAX knockout HeLa cell lysates were subjected to SDS-PAGE. Membrane was blocked for 1 hour at room temperature in 0.1% TBST with 3% non-fat dried milk. ab182734 and Anti-GAPDH antibody [6C5] - Loading Control (ab8245) overnight at 4°C at a 1 in 1000 dilution and a 1 in 20000 dilution respectively. Blots were developed with Goat anti-Rabbit IgG H&L (IRDye®800CW) preadsorbed (ab216773) and Goat anti-Mouse IgG H&L (IRDye®680RD) preadsorbed (ab216776) secondary antibodies at 1 in 20000 dilution for 1 hour at room temperature before imaging.

All lanes:

Western blot - Anti-Bax antibody [EPR18284] (ab182734) at 1/1000 dilution

Lane 1:

Wild-type HeLa cell lysate at 20 µg

Lane 2:

BAX knockout HeLa cell lysate at 20 µg

Lane 2:

Western blot - Human BAX knockout HeLa cell line (<a href='/en-us/products/cell-lines/human-bax-knockout-hela-cell-line-ab255363'>ab255363</a>)

Predicted band size: 21 kDa

Observed band size: 21 kDa

false

Western blot - Anti-Bax antibody [EPR18284] (AB182734)
  • WB

Lab

Western blot - Anti-Bax antibody [EPR18284] (AB182734)

Lanes 1 - 2 : Merged signal (red and green). Green - ab182734 observed at 20 kDa. Red - loading control, ab8245, observed at 37 kDa or ab18058, observed at 130 kDa.

This western blot image is a comparison between ab182734 and a competitor's top cited rabbit polyclonal antibody.

All lanes:

Western blot - Anti-Bax antibody [EPR18284] (ab182734)

Lane 1:

Wild-type HAP1 cell lysate at 20 µg

Lane 2:

Bax knockout HAP1 cell lysate at 20 µg

Predicted band size: 21 kDa

false

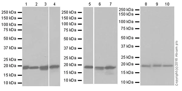
Western blot - Anti-Bax antibody [EPR18284] (AB182734)
  • WB

Supplier Data

Western blot - Anti-Bax antibody [EPR18284] (AB182734)

Blocking/Dilution buffer : 5% NFDM/TBST.

This product reacts with a 15 kD isoform (PMID : 7607685).

All lanes:

Western blot - Anti-Bax antibody [EPR18284] (ab182734) at 1/1000 dilution

Lane 1:

Human kidney lysate at 10 µg

Lane 2:

Human spleen lysate at 10 µg

Secondary

All lanes:

Goat Anti-Rabbit IgG Peroxidase Conjugate, specific to the non-reduced form of IgG at 1/10000 dilution

Predicted band size: 21 kDa

Observed band size: 19 kDa

false

Exposure time: 3s

Western blot - Anti-Bax antibody [EPR18284] (AB182734)
  • WB

Supplier Data

Western blot - Anti-Bax antibody [EPR18284] (AB182734)

Blocking/Dilution buffer : 5% NFDM/TBST.

Negative control :

Jurkat doesn't express Bax. (PMID : 9583678).

All lanes:

Western blot - Anti-Bax antibody [EPR18284] (ab182734) at 1/1000 dilution

Lane 1:

HeLa (Human epithelial cell line from cervix adenocarcinoma) whole cell lysate at 20 µg

Lane 2:

MCF7 (Human breast adenocarcinoma cell line) whole cell lysate at 20 µg

Lane 3:

HuT-78 (Human Sezary syndrome cell line) whole cell lysate at 20 µg

Lane 4:

Ramos (Human Burkitt's lymphoma cell line) whole cell lysate at 20 µg

Lane 5:

HEK-293 (Human epithelial cell line from embryonic kidney) whole cell lysate at 20 µg

Lane 6:

Raji (Human Burkitt's lymphoma cell line) whole cell lysate at 20 µg

Lane 7:

Jurkat (Human T cell leukemia cell line from peripheral blood) whole cell lysate at 20 µg

Lane 8:

L-929 (Mouse connective tissue fibroblast cell line) whole cell lysate at 20 µg

Lane 9:

C2C12 (Mouse myoblast cell line) whole cell lysate at 20 µg

Secondary

All lanes:

Western blot - Goat Anti-Rabbit IgG H&L (HRP) (<a href='/en-us/products/secondary-antibodies/goat-rabbit-igg-h-l-hrp-ab97051'>ab97051</a>) at 1/100000 dilution

Predicted band size: 21 kDa

Observed band size: 19 kDa

false

Exposure time: 2s

Western blot - Anti-Bax antibody [EPR18284] (AB182734)
  • WB

CiteAb

Western blot - Anti-Bax antibody [EPR18284] (AB182734)

Bax western blot using anti-Bax antibody [EPR18284] ab182734. Publication image and figure legend from Zhang, X. Z., Zhang, M. H., et al., 2019, Biosci Rep, PubMed 31769476.

ab182734 was used in this publication in western blot. This may not be the same as the application(s) guaranteed by Abcam. For a full list of applications guaranteed by Abcam for ab182734 please see the product overview.

Expression of Bcl-2, BAX and Caspase-3 in rat gastric smooth muscle cells under high glucose and AMPK silencing conditions(A) Expression of Bcl-2 in rat gastric smooth muscle cells under high glucose and AMPK silencing conditions. ***p<0.001, vs high glucose-24h group, **p<0.001, vs the high glucose-48h group. (B) Expression of BAX in rat gastric smooth muscle cells under high glucose and AMPK silencing conditions. *p<0.05, vs high glucose-24h group. (C) Expression of Caspase-3 in rat gastric smooth muscle cells under high glucose and AMPK silencing conditions. *p<0.05, vs high glucose-24h group.

false

Key facts

Host species

Rabbit

Clonality

Monoclonal

Clone number

EPR18284

Isotype

IgG

Carrier free

No

Reacts with

Mouse, Rat, Human

Applications

WB, IP

applications

Immunogen

The exact immunogen used to generate this antibody is proprietary information.

Specificity

Expression levels of BAX protein vary with sample type. Induction may be required if endogenous expression is low.

Reactivity data

{ "title": "Reactivity Data", "filters": { "stats": ["", "Species", "Dilution Info", "Notes"], "tabs": { "all-applications": {"fullname" : "All Applications", "shortname": "All Applications"}, "IP" : {"fullname" : "Immunoprecipitation", "shortname":"IP"}, "WB" : {"fullname" : "Western blot", "shortname":"WB"} }, "product-promise": { "all": "all", "testedAndGuaranteed": "tested", "guaranteed": "expected", "predicted": "predicted", "notRecommended": "not-recommended" } }, "values": { "Human": { "IP-species-checked": "testedAndGuaranteed", "IP-species-dilution-info": "1/40", "IP-species-notes": "<p></p>", "WB-species-checked": "testedAndGuaranteed", "WB-species-dilution-info": "1/1000", "WB-species-notes": "<p></p>" }, "Mouse": { "IP-species-checked": "guaranteed", "IP-species-dilution-info": "", "IP-species-notes": "", "WB-species-checked": "testedAndGuaranteed", "WB-species-dilution-info": "1/1000", "WB-species-notes": "<p></p>" }, "Rat": { "IP-species-checked": "guaranteed", "IP-species-dilution-info": "", "IP-species-notes": "", "WB-species-checked": "testedAndGuaranteed", "WB-species-dilution-info": "1/1000", "WB-species-notes": "<p></p>" } } }

Product details

Patented technology
Our RabMAb® technology is a patented hybridoma-based technology for making rabbit monoclonal antibodies. For details on our patents, please refer to RabMAb® patents.

What are the advantages of a recombinant monoclonal antibody?
This product is a recombinant monoclonal antibody, which offers several advantages including:

  • - High batch-to-batch consistency and reproducibility
  • - Improved sensitivity and specificity
  • - Long-term security of supply
  • - Animal-free batch production

For more information, read more on recombinant antibodies.

Properties and storage information

Form
Liquid
Purification technique
Affinity purification Protein A
Storage buffer
pH: 7.2 Preservative: 0.01% Sodium azide Constituents: PBS, 40% Glycerol (glycerin, glycerine), 0.05% BSA
Shipped at conditions
Blue Ice
Appropriate short-term storage duration
1-2 weeks
Appropriate short-term storage conditions
+4°C
Appropriate long-term storage conditions
-20°C
Aliquoting information
Upon delivery aliquot
Storage information
Avoid freeze / thaw cycle

Supplementary information

This supplementary information is collated from multiple sources and compiled automatically.

Bax also known as Bcl-2-associated X protein plays an important role in the regulation of apoptosis. It is widely known for its pro-apoptotic function opposing the action of anti-apoptotic proteins like Bcl-2. Bax has a molecular weight of approximately 21 kDa making it identifiable in laboratory techniques such as western blot. Researchers often use anti-Bax antibodies to detect and analyze its expression levels in various studies. The Bax protein is mainly expressed in mitochondria where it undergoes changes in response to apoptotic signals.
Biological function summary

The Bax protein forms homodimers or heterodimers with other Bcl-2 family proteins to facilitate apoptosis. This protein is part of a larger complex involving several members of the Bcl-2 family which finely tunes the balance between cell survival and programmed cell death. Through a change in its conformation Bax translocates to the outer mitochondrial membrane where it promotes the release of cytochrome c and other apoptogenic factors into the cytosol.

Pathways

Bax plays a significant role in the intrinsic pathway of apoptosis also known as the mitochondrial pathway. This pathway involves the release of cytochrome c which further activates downstream proteins such as caspase-9 and caspase-3. Bax interacts closely with proteins like Bak another pro-apoptotic member of the Bcl-2 family providing a cooperative function in mitochondrial membrane permeabilization. Together Bax and Bak act as gatekeepers of the mitochondrial pathway determining the cell's fate in response to apoptotic stimuli.

The dysregulation of Bax often associates with various cancers and neurodegenerative diseases. In cancer reduced Bax expression or function can lead to resistance to apoptosis contributing to unchecked cellular proliferation. Conversely in neurodegenerative disorders such as Alzheimer's disease increased Bax activity results in excessive neuronal apoptosis. The balance between Bax and its partner proteins like Bcl-2 or Bcl-xL is important in maintaining normal cellular function and preventing disease progression.

Product protocols

For this product, it's our understanding that no specific protocols are required. You can visit:

Target data

Plays a role in the mitochondrial apoptotic process (PubMed : 10772918, PubMed : 11060313, PubMed : 16113678, PubMed : 16199525, PubMed : 18948948, PubMed : 21199865, PubMed : 21458670, PubMed : 25609812, PubMed : 36361894, PubMed : 8358790, PubMed : 8521816). Under normal conditions, BAX is largely cytosolic via constant retrotranslocation from mitochondria to the cytosol mediated by BCL2L1/Bcl-xL, which avoids accumulation of toxic BAX levels at the mitochondrial outer membrane (MOM) (PubMed : 21458670). Under stress conditions, undergoes a conformation change that causes translocation to the mitochondrion membrane, leading to the release of cytochrome c that then triggers apoptosis (PubMed : 10772918, PubMed : 11060313, PubMed : 16113678, PubMed : 16199525, PubMed : 18948948, PubMed : 21199865, PubMed : 21458670, PubMed : 25609812, PubMed : 8358790, PubMed : 8521816). Promotes activation of CASP3, and thereby apoptosis (PubMed : 10772918, PubMed : 11060313, PubMed : 16113678, PubMed : 16199525, PubMed : 18948948, PubMed : 21199865, PubMed : 21458670, PubMed : 25609812, PubMed : 8358790, PubMed : 8521816).
See full target information BAX

Publications (98)

Recent publications for all applications. Explore the full list and refine your search

Degenerative neurological and neuromuscular disease 15:81-94 PubMed40937143

2025

TP73-AS1 Regulates MPP+-Induced Cell Inflammation and Apoptosis in SH-SY5Y Cells.

Applications

Unspecified application

Species

Unspecified reactive species

Xue Zhang,Li Xue,Haiyan Li,Xiaolong Yu,Kaixin Dou,Anmu Xie

Journal of food and drug analysis 33:172-178 PubMed40592335

2025

Yiqi Yangyin Tongluo prescription targets lncRNA VIM-AS1 to regulate FOXK2/mTOR to promote autophagy and inhibit renal tubular epithelial cell apoptosis.

Applications

Unspecified application

Species

Unspecified reactive species

Rucui Yu,Ruiying Wu,Tingting Chen,Jingwei Xu

Nutrients 17: PubMed40077694

2025

Unraveling the Osteogenic Activity and Molecular Mechanism of an Antioxidant Collagen Peptide in MC3T3-E1 Cells.

Applications

Unspecified application

Species

Unspecified reactive species

Yali Wang,Yue Wang,Xiaoyan Zhuang,Yonghui Zhang,Baishan Fang,Yousi Fu

Scientific reports 15:1464 PubMed39789116

2025

Combination of dapagliflozin and pioglitazone lacks superiority against monotherapy in streptozotocin-induced nephropathy.

Applications

Unspecified application

Species

Unspecified reactive species

Aneta Cinakova,Diana Vavrincova-Yaghi,Peter Krenek,Jan Klimas,Eva Kralova

Redox report : communications in free radical research 29:2420572 PubMed39466990

2024

Therapeutic potential of EVs loaded with CB2 receptor agonist in spinal cord injury via the Nrf2/HO-1 pathway.

Applications

Unspecified application

Species

Unspecified reactive species

Imran Ibrahim Shaikh,Ramesh Bhandari,Shekhar Singh,Xu Zhu,Khawar Ali Shahzad,Chuxiao Shao,Liming Cheng,Jian Xiao

IUBMB life 76:1342-1355 PubMed39266461

2024

CircSLC4A7 in resistant-cells-derived exosomes promotes docetaxel resistance via the miR-1205/MAPT axis in prostate cancer.

Applications

Unspecified application

Species

Unspecified reactive species

Anhua Lin,Junhe Li,Wenjing He

Nature communications 15:7499 PubMed39209877

2024

A singular plasmonic-thermoelectric hollow nanostructure inducing apoptosis and cuproptosis for catalytic cancer therapy.

Applications

Unspecified application

Species

Unspecified reactive species

Lu Yang,Zhiyu Zhao,Boshi Tian,Meiqi Yang,Yushan Dong,Bingchen Zhou,Shili Gai,Ying Xie,Jun Lin

Neurochemical research 49:2854-2870 PubMed39023805

2024

Epidermal Neural Crest Stem Cell Conditioned Medium Enhances Spinal Cord Injury Recovery via PI3K/AKT-Mediated Neuronal Apoptosis Suppression.

Applications

Unspecified application

Species

Unspecified reactive species

Ziqian Ma,Tao Liu,Liang Liu,Yilun Pei,Tianyi Wang,Zhijie Wang,Yun Guan,Xinwei Zhang,Yan Zhang,Xueming Chen

Cell death discovery 10:167 PubMed38589400

2024

Thrombomodulin reduces α-synuclein generation and ameliorates neuropathology in a mouse model of Parkinson's disease.

Applications

Unspecified application

Species

Unspecified reactive species

Xiao-Yun Niu,Xi-Xiu Xie,Hou-Zhen Tuo,Cui-Ping Lv,Ya-Ru Huang,Jie Zhu,Shi-Yu Liang,Xiao-Yu Du,Cheng-Gang Yang,Sheng-Jie Hou,Xiao-Ying Sun,Ling-Jie Li,Fang Cui,Qi-Xin Huang,Ying-Bo Jia,Yu-Jiong Wang,Rui-Tian Liu

iScience 27:108852 PubMed38303706

2024

Ultrasound-targeted microbubble technology facilitates SAHH gene delivery to treat diabetic cardiomyopathy by activating AMPK pathway.

Applications

Unspecified application

Species

Unspecified reactive species

Xiaohui Guo,Kegong Chen,Lin Ji,Shanjie Wang,Xiangmei Ye,Liang Xu,Leiguang Feng
View all publications

Product promise

We are committed to supporting your work with high-quality reagents, and we're here for you every step of the way. In the unlikely event that one of our products does not perform as expected, you're protected by our Product Promise.
For full details, please see our Terms & Conditions

Please note: All products are 'FOR RESEARCH USE ONLY. NOT FOR USE IN DIAGNOSTIC OR THERAPEUTIC PROCEDURES'.

For licensing inquiries, please contact partnerships@abcam.com