JavaScript is disabled in your browser. Please enable JavaScript to view this website.
AB240930

Anti-Bax antibody [SP47] - BSA and Azide free

Be the first to review this product! Submit a review

|

(1 Publication)

Rabbit Recombinant Monoclonal BAX antibody. Carrier free. Suitable for IHC-P and reacts with Human, Mouse samples. Cited in 1 publication.

View Alternative Names

BCL2L4, BAX, Apoptosis regulator BAX, Bcl-2-like protein 4, Bcl2-L-4

12 Images
Immunohistochemistry (Formalin/PFA-fixed paraffin-embedded sections) - Anti-Bax antibody [SP47] - BSA and Azide free (AB240930)
  • IHC-P

Supplier Data

Immunohistochemistry (Formalin/PFA-fixed paraffin-embedded sections) - Anti-Bax antibody [SP47] - BSA and Azide free (AB240930)

Formalin-fixed, paraffin-embedded human cervix tissue stained for Bax using ab81083 at 1/50 dilution in immunohistochemical analysis.

This data was developed using the same antibody clone in a different buffer formulation containing PBS, BSA, and sodium azide (ab81083)

Immunohistochemistry (Formalin/PFA-fixed paraffin-embedded sections) - Anti-Bax antibody [SP47] - BSA and Azide free (AB240930)
  • IHC-P

Supplier Data

Immunohistochemistry (Formalin/PFA-fixed paraffin-embedded sections) - Anti-Bax antibody [SP47] - BSA and Azide free (AB240930)

Formalin-fixed, paraffin-embedded human breast tissue stained for Bax using ab81083 at 1/50 dilution in immunohistochemical analysis.

This data was developed using the same antibody clone in a different buffer formulation containing PBS, BSA, and sodium azide (ab81083)

Immunohistochemistry (Formalin/PFA-fixed paraffin-embedded sections) - Anti-Bax antibody [SP47] - BSA and Azide free (AB240930)
  • IHC-P

Supplier Data

Immunohistochemistry (Formalin/PFA-fixed paraffin-embedded sections) - Anti-Bax antibody [SP47] - BSA and Azide free (AB240930)

Formalin-fixed, paraffin-embedded human lung squamous cell carcinoma tissue stained for Bax using ab81083 at 1/50 dilution in immunohistochemical analysis.

This data was developed using the same antibody clone in a different buffer formulation containing PBS, BSA, and sodium azide (ab81083)

Immunohistochemistry (Formalin/PFA-fixed paraffin-embedded sections) - Anti-Bax antibody [SP47] - BSA and Azide free (AB240930)
  • IHC-P

Supplier Data

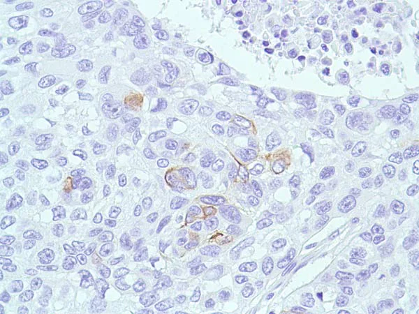
Immunohistochemistry (Formalin/PFA-fixed paraffin-embedded sections) - Anti-Bax antibody [SP47] - BSA and Azide free (AB240930)

Formalin-fixed, paraffin-embedded human HK lymphoma tissue stained for Bax using ab81083 at 1/50 dilution in immunohistochemical analysis.

This data was developed using the same antibody clone in a different buffer formulation containing PBS, BSA, and sodium azide (ab81083)

Immunohistochemistry (Formalin/PFA-fixed paraffin-embedded sections) - Anti-Bax antibody [SP47] - BSA and Azide free (AB240930)
  • IHC-P

Supplier Data

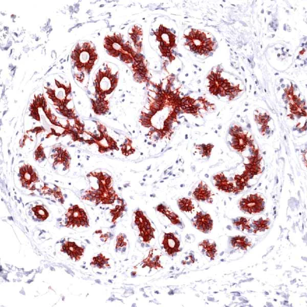
Immunohistochemistry (Formalin/PFA-fixed paraffin-embedded sections) - Anti-Bax antibody [SP47] - BSA and Azide free (AB240930)

Formalin-fixed, paraffin-embedded human prostate tissue stained for Bax using ab81083 at 1/50 dilution in immunohistochemical analysis.

This data was developed using the same antibody clone in a different buffer formulation containing PBS, BSA, and sodium azide (ab81083)

Immunohistochemistry (Formalin/PFA-fixed paraffin-embedded sections) - Anti-Bax antibody [SP47] - BSA and Azide free (AB240930)
  • IHC-P

Unknown

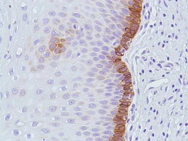
Immunohistochemistry (Formalin/PFA-fixed paraffin-embedded sections) - Anti-Bax antibody [SP47] - BSA and Azide free (AB240930)

Immunohistochemistry (Formalin/PFA-fixed paraffin-embedded sections) analysis of Human skin tissue sections labeling Bax with ab81083 at 1/100 dilution (2.42 μg/ml). Heat mediated antigen retrieval with Citrate buffer (pH 6.0). Goat Anti-Rabbit IgG H&L (HRP) was used as the secondary antibody. Hematoxylin was used as a counterstain. Positive staining on human skin.

This image was generated using ab81083, the same clone, but with a different buffer formulation.

Immunohistochemistry (Formalin/PFA-fixed paraffin-embedded sections) - Anti-Bax antibody [SP47] - BSA and Azide free (AB240930)
  • IHC-P

Supplier Data

Immunohistochemistry (Formalin/PFA-fixed paraffin-embedded sections) - Anti-Bax antibody [SP47] - BSA and Azide free (AB240930)

Formalin-fixed, paraffin-embedded human skin tissue stained for Bax using ab81083 at 1/50 dilution in immunohistochemical analysis.

This data was developed using the same antibody clone in a different buffer formulation containing PBS, BSA, and sodium azide (ab81083)

Immunohistochemistry (Formalin/PFA-fixed paraffin-embedded sections) - Anti-Bax antibody [SP47] - BSA and Azide free (AB240930)
  • IHC-P

Unknown

Immunohistochemistry (Formalin/PFA-fixed paraffin-embedded sections) - Anti-Bax antibody [SP47] - BSA and Azide free (AB240930)

Immunohistochemistry (Formalin/PFA-fixed paraffin-embedded sections) analysis of Mouse skin tissue sections labeling Bax with ab81083 at 1/100 dilution (2.42 μg/ml). Heat mediated antigen retrieval with Citrate buffer (pH 6.0). Goat Anti-Rabbit IgG H&L (HRP) was used as the secondary antibody. Hematoxylin was used as a counterstain. Positive staining on mouse skin.

This image was generated using ab81083, the same clone, but with a different buffer formulation.

Immunohistochemistry (Formalin/PFA-fixed paraffin-embedded sections) - Anti-Bax antibody [SP47] - BSA and Azide free (AB240930)
  • IHC-P

Supplier Data

Immunohistochemistry (Formalin/PFA-fixed paraffin-embedded sections) - Anti-Bax antibody [SP47] - BSA and Azide free (AB240930)

Formalin-fixed, paraffin-embedded human skin squamous cell carcinoma tissue stained for Bax using ab81083 at 1/50 dilution in immunohistochemical analysis.

This data was developed using the same antibody clone in a different buffer formulation containing PBS, BSA, and sodium azide (ab81083)

Immunohistochemistry (Formalin/PFA-fixed paraffin-embedded sections) - Anti-Bax antibody [SP47] - BSA and Azide free (AB240930)
  • IHC-P

Supplier Data

Immunohistochemistry (Formalin/PFA-fixed paraffin-embedded sections) - Anti-Bax antibody [SP47] - BSA and Azide free (AB240930)

Formalin-fixed, paraffin-embedded human tonsil tissue stained for Bax using ab81083 at 1/50 dilution in immunohistochemical analysis.

This data was developed using the same antibody clone in a different buffer formulation containing PBS, BSA, and sodium azide (ab81083)

Immunohistochemistry (Formalin/PFA-fixed paraffin-embedded sections) - Anti-Bax antibody [SP47] - BSA and Azide free (AB240930)
  • IHC-P

Unknown

Immunohistochemistry (Formalin/PFA-fixed paraffin-embedded sections) - Anti-Bax antibody [SP47] - BSA and Azide free (AB240930)

Formalin-fixed, paraffin-embedded human breast tissue stained for Bax using ab81083 at 1/50 dilution in immunohistochemical analysis.

This data was developed using the same antibody clone in a different buffer formulation containing PBS, BSA, and sodium azide (ab81083)

Immunohistochemistry (Formalin/PFA-fixed paraffin-embedded sections) - Anti-Bax antibody [SP47] - BSA and Azide free (AB240930)
  • IHC-P

Supplier Data

Immunohistochemistry (Formalin/PFA-fixed paraffin-embedded sections) - Anti-Bax antibody [SP47] - BSA and Azide free (AB240930)

Formalin-fixed, paraffin-embedded human esophagus tissue stained for Bax using ab81083 at 1/50 dilution in immunohistochemical analysis.

This data was developed using the same antibody clone in a different buffer formulation containing PBS, BSA, and sodium azide (ab81083)

Key facts

Host species

Rabbit

Clonality

Monoclonal

Clone number

SP47

Isotype

IgG

Carrier free

Yes

Reacts with

Mouse, Human

Applications

IHC-P

applications

Immunogen

The exact immunogen used to generate this antibody is proprietary information.

Reactivity data

{ "title": "Reactivity Data", "filters": { "stats": ["", "Species", "Dilution Info", "Notes"], "tabs": { "all-applications": {"fullname" : "All Applications", "shortname": "All Applications"}, "IHCP" : {"fullname" : "Immunohistochemistry (Formalin/PFA-fixed paraffin-embedded sections)", "shortname":"IHC-P"} }, "product-promise": { "all": "all", "testedAndGuaranteed": "tested", "guaranteed": "expected", "predicted": "predicted", "notRecommended": "not-recommended" } }, "values": { "Human": { "IHCP-species-checked": "testedAndGuaranteed", "IHCP-species-dilution-info": "", "IHCP-species-notes": "<p>Primary antibody incubation for 30 minutes at room temperature.</p>" }, "Mouse": { "IHCP-species-checked": "testedAndGuaranteed", "IHCP-species-dilution-info": "", "IHCP-species-notes": "<p>Primary antibody incubation for 30 minutes at room temperature.</p>" }, "Rat": { "IHCP-species-checked": "predicted", "IHCP-species-dilution-info": "", "IHCP-species-notes": "" }, "Cow": { "IHCP-species-checked": "predicted", "IHCP-species-dilution-info": "", "IHCP-species-notes": "" } } }

Product details

ab240930 is the carrier-free version of ab81083.

What are the advantages of a recombinant monoclonal antibody?
This product is a recombinant monoclonal antibody, which offers several advantages including:

  • - High batch-to-batch consistency and reproducibility
  • - Improved sensitivity and specificity
  • - Long-term security of supply
  • - Animal-free batch production

For more information, read more on recombinant antibodies.

Conjugation ready
Our carrier-free antibodies are typically supplied in a PBS-only formulation, purified and free of BSA, sodium azide and glycerol. This conjugation-ready format is designed for use with fluorochromes, metal isotopes, oligonucleotides, and enzymes, which makes them ideal for antibody labelling, functional and cell-based assays, flow-based assays (e.g. mass cytometry) and Multiplex Imaging applications.

Use our conjugation kits for antibody conjugates that are ready-to-use in as little as 20 minutes with 1 minute hands-on-time and 100% antibody recovery: available for fluorescent dyes, HRP, biotin and gold.

Compatibility
This product is compatible with the Maxpar® Antibody Labeling Kit from Fluidigm, without the need for antibody preparation. Maxpar® is a trademark of Fluidigm Canada Inc.

Properties and storage information

Form
Liquid
Purification technique
Affinity purification Protein A/G
Purification notes
Purified from TCS by protein A/G.
Storage buffer
pH: 7.2 - 7.4 Constituents: PBS
Shipped at conditions
Blue Ice
Appropriate short-term storage conditions
+4°C
Appropriate long-term storage conditions
+4°C
Storage information
Do Not Freeze

Supplementary information

This supplementary information is collated from multiple sources and compiled automatically.

Bax also known as Bcl-2-associated X protein plays an important role in the regulation of apoptosis. It is widely known for its pro-apoptotic function opposing the action of anti-apoptotic proteins like Bcl-2. Bax has a molecular weight of approximately 21 kDa making it identifiable in laboratory techniques such as western blot. Researchers often use anti-Bax antibodies to detect and analyze its expression levels in various studies. The Bax protein is mainly expressed in mitochondria where it undergoes changes in response to apoptotic signals.
Biological function summary

The Bax protein forms homodimers or heterodimers with other Bcl-2 family proteins to facilitate apoptosis. This protein is part of a larger complex involving several members of the Bcl-2 family which finely tunes the balance between cell survival and programmed cell death. Through a change in its conformation Bax translocates to the outer mitochondrial membrane where it promotes the release of cytochrome c and other apoptogenic factors into the cytosol.

Pathways

Bax plays a significant role in the intrinsic pathway of apoptosis also known as the mitochondrial pathway. This pathway involves the release of cytochrome c which further activates downstream proteins such as caspase-9 and caspase-3. Bax interacts closely with proteins like Bak another pro-apoptotic member of the Bcl-2 family providing a cooperative function in mitochondrial membrane permeabilization. Together Bax and Bak act as gatekeepers of the mitochondrial pathway determining the cell's fate in response to apoptotic stimuli.

The dysregulation of Bax often associates with various cancers and neurodegenerative diseases. In cancer reduced Bax expression or function can lead to resistance to apoptosis contributing to unchecked cellular proliferation. Conversely in neurodegenerative disorders such as Alzheimer's disease increased Bax activity results in excessive neuronal apoptosis. The balance between Bax and its partner proteins like Bcl-2 or Bcl-xL is important in maintaining normal cellular function and preventing disease progression.

Product protocols

For this product, it's our understanding that no specific protocols are required. You can visit:

Target data

Plays a role in the mitochondrial apoptotic process (PubMed : 10772918, PubMed : 11060313, PubMed : 16113678, PubMed : 16199525, PubMed : 18948948, PubMed : 21199865, PubMed : 21458670, PubMed : 25609812, PubMed : 36361894, PubMed : 8358790, PubMed : 8521816). Under normal conditions, BAX is largely cytosolic via constant retrotranslocation from mitochondria to the cytosol mediated by BCL2L1/Bcl-xL, which avoids accumulation of toxic BAX levels at the mitochondrial outer membrane (MOM) (PubMed : 21458670). Under stress conditions, undergoes a conformation change that causes translocation to the mitochondrion membrane, leading to the release of cytochrome c that then triggers apoptosis (PubMed : 10772918, PubMed : 11060313, PubMed : 16113678, PubMed : 16199525, PubMed : 18948948, PubMed : 21199865, PubMed : 21458670, PubMed : 25609812, PubMed : 8358790, PubMed : 8521816). Promotes activation of CASP3, and thereby apoptosis (PubMed : 10772918, PubMed : 11060313, PubMed : 16113678, PubMed : 16199525, PubMed : 18948948, PubMed : 21199865, PubMed : 21458670, PubMed : 25609812, PubMed : 8358790, PubMed : 8521816).
See full target information BAX

Publications (1)

Recent publications for all applications. Explore the full list and refine your search

Oncology letters 21:486 PubMed33968202

2021

Circular RNA UBAP2 promotes the proliferation of prostate cancer cells via the miR-1244/MAP3K2 axis.

Applications

Unspecified application

Species

Unspecified reactive species

Xiaodong Li,Baihetiya Azhati,Wenguang Wang,Mulati Rexiati,Chen Xing,Yujie Wang
View all publications

Product promise

We are committed to supporting your work with high-quality reagents, and we're here for you every step of the way. In the unlikely event that one of our products does not perform as expected, you're protected by our Product Promise.
For full details, please see our Terms & Conditions

Please note: All products are 'FOR RESEARCH USE ONLY. NOT FOR USE IN DIAGNOSTIC OR THERAPEUTIC PROCEDURES'.

For licensing inquiries, please contact partnerships@abcam.com