JavaScript is disabled in your browser. Please enable JavaScript to view this website.
AB151293

Anti-BCAS2 antibody

Be the first to review this product! Submit a review

|

(1 Publication)

Rabbit Polyclonal BCAS2 antibody. Suitable for WB, IHC-P, ICC/IF and reacts with Human samples. Cited in 1 publication. Immunogen corresponding to Recombinant Fragment Protein within Human BCAS2 aa 1 to C-terminus.

View Alternative Names

DAM1, BCAS2, Pre-mRNA-splicing factor SPF27, Breast carcinoma-amplified sequence 2, DNA amplified in mammary carcinoma 1 protein, Spliceosome-associated protein SPF 27

3 Images
Immunocytochemistry/ Immunofluorescence - Anti-BCAS2 antibody (AB151293)
  • ICC/IF

Unknown

Immunocytochemistry/ Immunofluorescence - Anti-BCAS2 antibody (AB151293)

Immunofluorescent analysis of paraformaldehyde-fixed HeLa cells labeling BCAS2 with ab151293 antibody at 1/200 dilution. Bottom figure represents cells costained with Hoechst 33342.

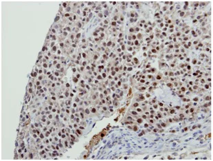
Immunohistochemistry (Formalin/PFA-fixed paraffin-embedded sections) - Anti-BCAS2 antibody (AB151293)
  • IHC-P

Unknown

Immunohistochemistry (Formalin/PFA-fixed paraffin-embedded sections) - Anti-BCAS2 antibody (AB151293)

Immunohistochemical analysis of paraffin-embedded J5 xenograft labeling BCAS2 with ab151293 antibody at 1/100 dilution.

Western blot - Anti-BCAS2 antibody (AB151293)
  • WB

Unknown

Western blot - Anti-BCAS2 antibody (AB151293)

12% SDS PAGE

All lanes:

Western blot - Anti-BCAS2 antibody (ab151293) at 1/1000 dilution

All lanes:

MCF7 whole cell lysate at 30 µg

Predicted band size: 26 kDa

false

Key facts

Host species

Rabbit

Clonality

Polyclonal

Isotype

IgG

Carrier free

No

Reacts with

Human

Applications

WB, ICC/IF, IHC-P

applications

Immunogen

Recombinant Fragment Protein within Human BCAS2 aa 1 to C-terminus. The exact immunogen used to generate this antibody is proprietary information.

O75934

Reactivity data

{ "title": "Reactivity Data", "filters": { "stats": ["", "Species", "Dilution Info", "Notes"], "tabs": { "all-applications": {"fullname" : "All Applications", "shortname": "All Applications"}, "WB" : {"fullname" : "Western blot", "shortname":"WB"}, "IHCP" : {"fullname" : "Immunohistochemistry (Formalin/PFA-fixed paraffin-embedded sections)", "shortname":"IHC-P"}, "ICCIF" : {"fullname" : "Immunocytochemistry/ Immunofluorescence", "shortname":"ICC/IF"} }, "product-promise": { "all": "all", "testedAndGuaranteed": "tested", "guaranteed": "expected", "predicted": "predicted", "notRecommended": "not-recommended" } }, "values": { "Human": { "WB-species-checked": "testedAndGuaranteed", "WB-species-dilution-info": "1/500 - 1/3000", "WB-species-notes": "<p></p>", "IHCP-species-checked": "testedAndGuaranteed", "IHCP-species-dilution-info": "1/100 - 1/1000", "IHCP-species-notes": "<p></p>", "ICCIF-species-checked": "testedAndGuaranteed", "ICCIF-species-dilution-info": "1/100 - 1/1000", "ICCIF-species-notes": "<p></p>" }, "Mouse": { "WB-species-checked": "predicted", "WB-species-dilution-info": "", "WB-species-notes": "", "IHCP-species-checked": "predicted", "IHCP-species-dilution-info": "", "IHCP-species-notes": "", "ICCIF-species-checked": "predicted", "ICCIF-species-dilution-info": "", "ICCIF-species-notes": "" }, "Rat": { "WB-species-checked": "predicted", "WB-species-dilution-info": "", "WB-species-notes": "", "IHCP-species-checked": "predicted", "IHCP-species-dilution-info": "", "IHCP-species-notes": "", "ICCIF-species-checked": "predicted", "ICCIF-species-dilution-info": "", "ICCIF-species-notes": "" }, "Cow": { "WB-species-checked": "predicted", "WB-species-dilution-info": "", "WB-species-notes": "", "IHCP-species-checked": "predicted", "IHCP-species-dilution-info": "", "IHCP-species-notes": "", "ICCIF-species-checked": "predicted", "ICCIF-species-dilution-info": "", "ICCIF-species-notes": "" }, "Pig": { "WB-species-checked": "predicted", "WB-species-dilution-info": "", "WB-species-notes": "", "IHCP-species-checked": "predicted", "IHCP-species-dilution-info": "", "IHCP-species-notes": "", "ICCIF-species-checked": "predicted", "ICCIF-species-dilution-info": "", "ICCIF-species-notes": "" } } }

Properties and storage information

Form
Liquid
Purification technique
Affinity purification Immunogen
Storage buffer
pH: 7 Preservative: 0.01% Thimerosal (merthiolate) Constituents: 20% Glycerol (glycerin, glycerine), 1.21% Tris, 0.75% Glycine
Shipped at conditions
Blue Ice
Appropriate short-term storage conditions
+4°C
Appropriate long-term storage conditions
-20°C
Aliquoting information
Upon delivery aliquot
Storage information
Avoid freeze / thaw cycle

Product protocols

For this product, it's our understanding that no specific protocols are required. You can visit:

Target data

Required for pre-mRNA splicing as component of the activated spliceosome (PubMed : 28076346, PubMed : 28502770, PubMed : 29301961, PubMed : 29360106, PubMed : 30705154). Component of the PRP19-CDC5L complex that forms an integral part of the spliceosome and is required for activating pre-mRNA splicing. May have a scaffolding role in the spliceosome assembly as it contacts all other components of the core complex. The PRP19-CDC5L complex may also play a role in the response to DNA damage (DDR).
See full target information BCAS2

Publications (1)

Recent publications for all applications. Explore the full list and refine your search

Oncology reports 39:71-80 PubMed29115564

2017

miR-486 functions as a tumor suppressor in esophageal cancer by targeting CDK4/BCAS2.

Applications

Unspecified application

Species

Unspecified reactive species

Baoping Lang,Song Zhao
View all publications

Product promise

We are committed to supporting your work with high-quality reagents, and we're here for you every step of the way. In the unlikely event that one of our products does not perform as expected, you're protected by our Product Promise.
For full details, please see our Terms & Conditions

Please note: All products are 'FOR RESEARCH USE ONLY. NOT FOR USE IN DIAGNOSTIC OR THERAPEUTIC PROCEDURES'.

For licensing inquiries, please contact partnerships@abcam.com