JavaScript is disabled in your browser. Please enable JavaScript to view this website.
AB125209

Anti-BCAT1 antibody

Be the first to review this product! Submit a review

|

(1 Publication)

Rabbit Polyclonal BCAT1 antibody. Suitable for IHC-P, WB, Flow Cyt and reacts with Mouse, Rat, Human samples. Cited in 1 publication. Immunogen corresponding to Synthetic Peptide within Human BCAT1.

View Alternative Names

BCT1, ECA39, BCAT1, BCAT(c)

3 Images
Immunohistochemistry (Formalin/PFA-fixed paraffin-embedded sections) - Anti-BCAT1 antibody (AB125209)
  • IHC-P

Supplier Data

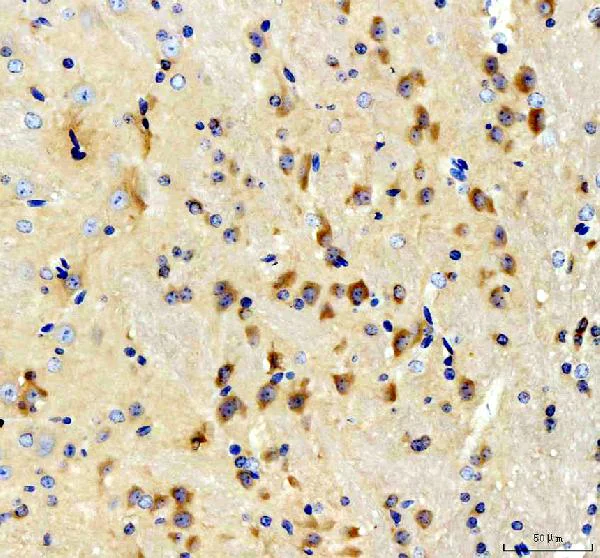
Immunohistochemistry (Formalin/PFA-fixed paraffin-embedded sections) - Anti-BCAT1 antibody (AB125209)

Immunohistochemical analysis of paraffin-embedded Rat brain tissue tissue labeling BCAT1 with ab125209 at 2 μg/ml. Heat mediated antigen retrieval was performed in EDTA buffer (pH 8.0, epitope retrieval solution). The tissue section was blocked with 10% goat serum. The tissue section was then incubated with 2 μg/ml rabbit anti-BCAT1 Antibody, ab125209, overnight at 4°C. Peroxidase Conjugated Goat Anti-rabbit IgG was used as secondary antibody and incubated for 30 minutes at 37°C. The tissue section was developed using HRP Conjugated Rabbit IgG Super Vision Assay Kit with DAB as the chromogen.

Immunohistochemistry (Formalin/PFA-fixed paraffin-embedded sections) - Anti-BCAT1 antibody (AB125209)
  • IHC-P

Supplier Data

Immunohistochemistry (Formalin/PFA-fixed paraffin-embedded sections) - Anti-BCAT1 antibody (AB125209)

Immunohistochemical analysis of paraffin-embedded Mouse brain tissue tissue labeling BCAT1 with ab125209 at 2 μg/ml. Heat mediated antigen retrieval was performed in EDTA buffer (pH 8.0, epitope retrieval solution). The tissue section was blocked with 10% goat serum. The tissue section was then incubated with 2 μg/ml rabbit anti-BCAT1 Antibody, ab125209, overnight at 4°C. Peroxidase Conjugated Goat Anti-rabbit IgG was used as secondary antibody and incubated for 30 minutes at 37°C. The tissue section was developed using HRP Conjugated Rabbit IgG Super Vision Assay Kit with DAB as the chromogen.

Western blot - Anti-BCAT1 antibody (AB125209)
  • WB

Supplier Data

Western blot - Anti-BCAT1 antibody (AB125209)

Blocking and diluting buffer and concentration : 5% non-fat milk/TBS

All lanes:

Western blot - Anti-BCAT1 antibody (ab125209) at 0.5 µg/mL

Lane 1:

Human Raji whole cell lysates at 30 µg

Lane 2:

Human Jurkat whole cell lysates at 30 µg

Lane 3:

Human MOLT-4 whole cell lysates at 30 µg

Lane 4:

Human Hela whole cell lysates at 30 µg

Lane 5:

Rat brain tissue lysates at 30 µg

Lane 6:

Rat kidney tissue lysates at 30 µg

Lane 7:

mouse brain tissue lysates at 30 µg

Lane 8:

Mouse kidney tissue lysates at 30 µg

Secondary

All lanes:

goat anti-rabbit IgG-HRP at 1/5000 dilution

Predicted band size: 43 kDa

Observed band size: 43 kDa

false

Exposure time: 2hr

Key facts

Host species

Rabbit

Clonality

Polyclonal

Isotype

IgG

Carrier free

No

Reacts with

Human, Mouse, Rat

Applications

WB, Flow Cyt, IHC-P

applications

Immunogen

Synthetic Peptide within Human BCAT1. The exact immunogen used to generate this antibody is proprietary information.

P54687

Reactivity data

{ "title": "Reactivity Data", "filters": { "stats": ["", "Species", "Dilution Info", "Notes"], "tabs": { "all-applications": {"fullname" : "All Applications", "shortname": "All Applications"}, "IHCP" : {"fullname" : "Immunohistochemistry (Formalin/PFA-fixed paraffin-embedded sections)", "shortname":"IHC-P"}, "WB" : {"fullname" : "Western blot", "shortname":"WB"}, "FlowCyt" : {"fullname" : "Flow Cytometry", "shortname":"Flow Cyt"} }, "product-promise": { "all": "all", "testedAndGuaranteed": "tested", "guaranteed": "expected", "predicted": "predicted", "notRecommended": "not-recommended" } }, "values": { "Human": { "IHCP-species-checked": "guaranteed", "IHCP-species-dilution-info": "", "IHCP-species-notes": "", "WB-species-checked": "testedAndGuaranteed", "WB-species-dilution-info": "0.1-0.5 µg/mL", "WB-species-notes": "<p></p>", "FlowCyt-species-checked": "guaranteed", "FlowCyt-species-dilution-info": "", "FlowCyt-species-notes": "<p></p>" }, "Mouse": { "IHCP-species-checked": "testedAndGuaranteed", "IHCP-species-dilution-info": "2-5 µg/mL", "IHCP-species-notes": "<p></p> Perform heat-mediated antigen retrieval before commencing with IHC staining protocol.", "WB-species-checked": "testedAndGuaranteed", "WB-species-dilution-info": "0.1-0.5 µg/mL", "WB-species-notes": "<p></p>", "FlowCyt-species-checked": "predicted", "FlowCyt-species-dilution-info": "", "FlowCyt-species-notes": "" }, "Rat": { "IHCP-species-checked": "testedAndGuaranteed", "IHCP-species-dilution-info": "2-5 µg/mL", "IHCP-species-notes": "<p></p>", "WB-species-checked": "testedAndGuaranteed", "WB-species-dilution-info": "0.1-0.5 µg/mL", "WB-species-notes": "<p></p>", "FlowCyt-species-checked": "predicted", "FlowCyt-species-dilution-info": "", "FlowCyt-species-notes": "" } } }

Properties and storage information

Form
Liquid
Purification technique
Affinity purification Immunogen
Storage buffer
Preservative: 0.025% Sodium azide, 0.025% Thimerosal (merthiolate) Constituents: 2.5% BSA, 0.45% Sodium chloride, 0.1% Disodium hydrogenorthophosphate
Shipped at conditions
Blue Ice
Appropriate short-term storage duration
1-2 weeks
Appropriate short-term storage conditions
+4°C
Appropriate long-term storage conditions
-20°C
Aliquoting information
Upon delivery aliquot

Product protocols

For this product, it's our understanding that no specific protocols are required. You can visit:

Target data

Catalyzes the first reaction in the catabolism of the essential branched chain amino acids leucine, isoleucine, and valine.
See full target information BCAT1

Publications (1)

Recent publications for all applications. Explore the full list and refine your search

Frontiers in genetics 6:334 PubMed26635870

2015

Genome-Wide Screening of mRNA Expression in Leprosy Patients.

Applications

IHC

Species

Human

Andrea de Faria F Belone,Patrícia S Rosa,Ana P F Trombone,Luciana R V Fachin,Cássio C Guidella,Somei Ura,Jaison A Barreto,Mabel G Pinilla,Alex F de Carvalho,Dirce M Carraro,Fernando A Soares,Cleverson T Soares
View all publications

Product promise

We are committed to supporting your work with high-quality reagents, and we're here for you every step of the way. In the unlikely event that one of our products does not perform as expected, you're protected by our Product Promise.
For full details, please see our Terms & Conditions

Please note: All products are 'FOR RESEARCH USE ONLY. NOT FOR USE IN DIAGNOSTIC OR THERAPEUTIC PROCEDURES'.

For licensing inquiries, please contact partnerships@abcam.com