JavaScript is disabled in your browser. Please enable JavaScript to view this website.
AB177096

Anti-BCAT1 antibody

Be the first to review this product! Submit a review

|

(1 Publication)

Rabbit Polyclonal BCAT1 antibody. Suitable for WB, IHC-P and reacts with Human samples. Cited in 1 publication. Immunogen corresponding to Synthetic Peptide within Human BCAT1.

View Alternative Names

BCT1, ECA39, BCAT1, BCAT(c)

2 Images
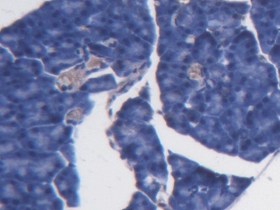
Immunohistochemistry (Formalin/PFA-fixed paraffin-embedded sections) - Anti-BCAT1 antibody (AB177096)
  • IHC-P

Supplier Data

Immunohistochemistry (Formalin/PFA-fixed paraffin-embedded sections) - Anti-BCAT1 antibody (AB177096)

Immunohistochemical analysis of formalin-fixed paraffin-embedded Human fetal tonsil tissue labeling BCAT1 with ab177096 at a 1/100 dilution.

Western blot - Anti-BCAT1 antibody (AB177096)
  • WB

Supplier Data

Western blot - Anti-BCAT1 antibody (AB177096)

All lanes:

Western blot - Anti-BCAT1 antibody (ab177096) at 1/500 dilution

Lane 1:

HepG2 cell lysate

Lane 2:

Jurkat cell lysate

Predicted band size: 43 kDa

false

Key facts

Host species

Rabbit

Clonality

Polyclonal

Isotype

IgG

Carrier free

No

Reacts with

Human

Applications

IHC-P, WB

applications

Immunogen

Synthetic Peptide within Human BCAT1. The exact immunogen used to generate this antibody is proprietary information.

P54687

Reactivity data

{ "title": "Reactivity Data", "filters": { "stats": ["", "Species", "Dilution Info", "Notes"], "tabs": { "all-applications": {"fullname" : "All Applications", "shortname": "All Applications"}, "WB" : {"fullname" : "Western blot", "shortname":"WB"}, "IHCP" : {"fullname" : "Immunohistochemistry (Formalin/PFA-fixed paraffin-embedded sections)", "shortname":"IHC-P"} }, "product-promise": { "all": "all", "testedAndGuaranteed": "tested", "guaranteed": "expected", "predicted": "predicted", "notRecommended": "not-recommended" } }, "values": { "Human": { "WB-species-checked": "testedAndGuaranteed", "WB-species-dilution-info": "1/200 - 1/1000", "WB-species-notes": "<p></p>", "IHCP-species-checked": "testedAndGuaranteed", "IHCP-species-dilution-info": "1/100 - 1/500", "IHCP-species-notes": "<p></p>" } } }

Properties and storage information

Form
Lyophilized
Reconstitution
reconstitute with water at 200µL
Purification technique
Affinity purification Immunogen
Storage buffer
pH: 7.2 Preservative: 0.02% Sodium azide Constituents: PBS, 1% BSA
Shipped at conditions
Blue Ice
Appropriate short-term storage duration
1-2 weeks
Appropriate short-term storage conditions
+4°C
Appropriate long-term storage conditions
-20°C
Aliquoting information
Upon delivery aliquot
Storage information
Avoid freeze / thaw cycle

Product protocols

For this product, it's our understanding that no specific protocols are required. You can visit:

Target data

Catalyzes the first reaction in the catabolism of the essential branched chain amino acids leucine, isoleucine, and valine.
See full target information BCAT1

Publications (1)

Recent publications for all applications. Explore the full list and refine your search

Cancer biology & therapy 21:1005-1013 PubMed33054568

2020

Metallophosphoesterase 1, a novel candidate gene in hepatocellular carcinoma malignancy and recurrence.

Applications

Unspecified application

Species

Unspecified reactive species

Xinguo Chen,Jing Xu,Peixiao Wang,Lei Shang,Jing Guo,Lihong Huang,Yide A Jiang,Jinhong Chen,Huijuan Chen,Yukui Shang,Qing Zhang
View all publications

Product promise

We are committed to supporting your work with high-quality reagents, and we're here for you every step of the way. In the unlikely event that one of our products does not perform as expected, you're protected by our Product Promise.
For full details, please see our Terms & Conditions

Please note: All products are 'FOR RESEARCH USE ONLY. NOT FOR USE IN DIAGNOSTIC OR THERAPEUTIC PROCEDURES'.

For licensing inquiries, please contact partnerships@abcam.com