JavaScript is disabled in your browser. Please enable JavaScript to view this website.
AB307834

Anti-BCAT2 antibody [EPR27488-72] - BSA and Azide free

Be the first to review this product! Submit a review

|

(0 Publication)

Rabbit Recombinant Monoclonal BCAT2 antibody. Carrier free. Suitable for WB, ICC/IF, IP, Flow Cyt (Intra) and reacts with Human, Transfected cell lysate - Human, Mouse, Rat samples.

View Alternative Names

BCATM, BCT2, ECA40, BCAT2, BCAT(m), Placental protein 18, PP18

10 Images
Immunocytochemistry/ Immunofluorescence - Anti-BCAT2 antibody [EPR27488-72] - BSA and Azide free (AB307834)
  • ICC/IF

Supplier Data

Immunocytochemistry/ Immunofluorescence - Anti-BCAT2 antibody [EPR27488-72] - BSA and Azide free (AB307834)

This data was produced using ab307833, the same clone but in a different formulation. Immunofluorescent analysis of 4% Paraformaldehyde-fixed, 0.1% Triton X-100 permeabilized MCF7 (human breast adenocarcinoma epithelial cell) cells labelling BCAT2 with ab307833 at 1/500 dilution (1.1 ug/ml) followed by ab150081 Goat Anti-Rabbit IgG H&L (Alexa Fluor® 488) preadsorbed antibody at 1/1000 dilution (2 ug/ml) (Green). Confocal image showing mitochondrial staining in MCF7 cell line. Image was taken with a confocal microscope(Leica-Microsystems, TCS SP8). ab197491 Anti-COX IV Mouse monoclonal antibody (Alexa Fluor® 647) - Mitochondrial Marker was used to counterstain tubulin at 1/200 dilution (2.5 ug/ml)(Red). The nuclear counterstain was DAPI (Blue). Secondary antibody only control : Secondary antibody is ab150081 Goat Anti-Rabbit IgG H&L (Alexa Fluor® 488) preadsorbed at 1/1000 dilution (2 ug/ml).

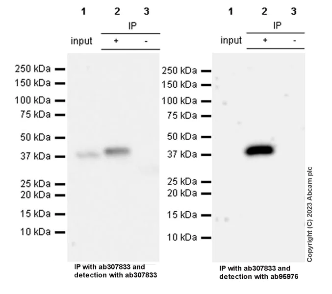
Immunoprecipitation - Anti-BCAT2 antibody [EPR27488-72] - BSA and Azide free (AB307834)
  • IP

Supplier Data

Immunoprecipitation - Anti-BCAT2 antibody [EPR27488-72] - BSA and Azide free (AB307834)

This data was produced using ab307833, the same clone but in a different formulation. BCAT2 was immunoprecipitated from 0.35 mg MCF7 (human breast adenocarcinoma epithelial cell) whole cell lysate with ab307833 at 1/30 dilution (2ug in 0.35mg lysates). Western blot was performed on the immunoprecipitate using ab307833 at 1/1000 dilution. VeriBlot for IP secondary antibody(HRP)(ab131366) was used at 1/5000 dilution. Lane 1 : MCF7 whole cell lysate 10 ug Lane 2 : ab307833 IP in MCF7 whole cell lysate Lane 3 : Rabbit monoclonal IgG (ab172730) instead of ab307833 in MCF7 whole cell lysate Blocking and dilution buffer and concentration : 5% NFDM/TBST. Exposure time : Lanes 1-3 : 6 seconds (left), Lanes 1-3 : 180 seconds (right). The IP experiment was performed by ab307833 using MCF cells. On the left the IP blot was probed with ab307833 and on the right the blot was probed by another anti-BCAT2 antibody (ab95976)(1 : 1000 dilution).

Flow Cytometry (Intracellular) - Anti-BCAT2 antibody [EPR27488-72] - BSA and Azide free (AB307834)
  • Flow Cyt (Intra)

Supplier Data

Flow Cytometry (Intracellular) - Anti-BCAT2 antibody [EPR27488-72] - BSA and Azide free (AB307834)

This data was produced using ab307833, the same clone but in a different formulation. Flow cytometric analysis of 4% paraformaldehyde fixed 90% methanol permeabilized NIH/3T3 mouse embryonic fibroblast cells labelling BCAT2 with ab307833 at 1/500 dilution (0.1ug) (Red) compared with a Rabbit monoclonal IgG (ab172730) (Black) isotype control and an unlabelled control (cells without incubation with primary antibody and secondary antibody) (Blue). A Goat Anti-Rabbit IgG (Alexa Fluor® 488, ab150081) at 1/5000 dilution was used as the secondary antibody.

Immunocytochemistry/ Immunofluorescence - Anti-BCAT2 antibody [EPR27488-72] - BSA and Azide free (AB307834)
  • ICC/IF

Supplier Data

Immunocytochemistry/ Immunofluorescence - Anti-BCAT2 antibody [EPR27488-72] - BSA and Azide free (AB307834)

This data was produced using ab307833, the same clone but in a different formulation. Immunofluorescent analysis of 4% Paraformaldehyde-fixed, 0.1% Triton X-100 permeabilized NIH/3T3 (mouse embryonic fibroblast) cells labelling BCAT2 with ab307833 at 1/500 dilution (1.1 ug/ml) followed by ab150081 Goat Anti-Rabbit IgG H&L (Alexa Fluor® 488) preadsorbed antibody at 1/1000 dilution (2 ug/ml) (Green). Confocal image showing cytoplasmic staining in NIH/3T3 cell line. Image was taken with a confocal microscope(Leica-Microsystems, TCS SP8). ab195889 Anti-alpha Tubulin mouse monoclonal antibody - Microtubule Marker (Alexa Fluor® 594) was used to counterstain tubulin at 1/200 dilution (2.5 ug/ml) (Red). The nuclear counterstain was DAPI (Blue). Secondary antibody only control : Secondary antibody is ab150081 Goat Anti-Rabbit IgG H&L (Alexa Fluor® 488) preadsorbed at 1/1000 dilution (2 ug/ml).

Immunoprecipitation - Anti-BCAT2 antibody [EPR27488-72] - BSA and Azide free (AB307834)
  • IP

Supplier Data

Immunoprecipitation - Anti-BCAT2 antibody [EPR27488-72] - BSA and Azide free (AB307834)

This data was produced using ab307833, the same clone but in a different formulation. BCAT2 was immunoprecipitated from 0.35 mg NIH/3T3 (mouse embryonic fibroblast) whole cell lysate with ab307833 at 1/30 dilution (2ug in 0.35mg lysates). Western blot was performed on the immunoprecipitate using ab307833 at 1/1000 dilution. VeriBlot for IP secondary antibody(HRP)(ab131366) was used at 1/5000 dilution. Lane 1 : NIH/3T3 whole cell lysate 10 ug Lane 2 : ab307833 IP in NIH/3T3 whole cell lysate Lane 3 : Rabbit monoclonal IgG (ab172730) instead of ab307833 in NIH/3T3 whole cell lysate Blocking and dilution buffer and concentration : 5% NFDM/TBST. Exposure time : 3 seconds.

Western blot - Anti-BCAT2 antibody [EPR27488-72] - BSA and Azide free (AB307834)
  • WB

Supplier Data

Western blot - Anti-BCAT2 antibody [EPR27488-72] - BSA and Azide free (AB307834)

This data was produced using ab307833, the same clone but in a different formulation. Blocking and diluting buffer and concentration : 5% NFDM/TBST. Exposure time : Lane 1, 4-5 : 15 seconds, Lane 2-3 : 81 seconds.

All lanes:

Western blot - Anti-BCAT2 antibody [EPR27488-72] (<a href='/en-us/products/primary-antibodies/bcat2-antibody-epr27488-72-ab307833'>ab307833</a>) at 1/1000 dilution

Lane 1:

Human skeletal muscle tissue lysate at 20 µg

Lane 2:

Human liver tissue lysate at 20 µg

Lane 3:

Mouse liver tissue lysate at 20 µg

Lane 4:

Mouse heart tissue lysate at 20 µg

Lane 5:

Mouse skeletal muscle tissue lysate at 20 µg

Secondary

All lanes:

Western blot - Goat Anti-Rabbit IgG H&L (HRP) (<a href='/en-us/products/secondary-antibodies/goat-rabbit-igg-h-l-hrp-ab97051'>ab97051</a>) at 1/100000 dilution

Observed band size: 37 kDa

false

Western blot - Anti-BCAT2 antibody [EPR27488-72] - BSA and Azide free (AB307834)
  • WB

Supplier Data

Western blot - Anti-BCAT2 antibody [EPR27488-72] - BSA and Azide free (AB307834)

This data was produced using ab307833, the same clone but in a different formulation. Blocking and diluting buffer and concentration : 5% NFDM/TBST. This antibody does not cross-react with human BCAT1. In Western blot, anti-His antibody (ab213204) staining at 1/5000 dilution. In Western blot, anti-H3 antibody (ab176842) loading control staining at 1/100000 dilution. Exposure time : 1 second.

All lanes:

Western blot - Anti-BCAT2 antibody [EPR27488-72] (<a href='/en-us/products/primary-antibodies/bcat2-antibody-epr27488-72-ab307833'>ab307833</a>) at 1/1000 dilution

Lane 1:

293T (human embryonic kidney epithelial cell)cells transfected with an empty vector containing a his tag whole cell lysate at 20 µg

Lane 2:

293T cells transfected with a human BCAT2 expression vector containing a his tag whole cell lysate at 20 µg

Lane 3:

293T cells transfected with a human BCAT1 expression vector containing a his tag whole cell lysate at 20 µg

Secondary

All lanes:

Western blot - Goat Anti-Rabbit IgG H&L (HRP) (<a href='/en-us/products/secondary-antibodies/goat-rabbit-igg-h-l-hrp-ab97051'>ab97051</a>) at 1/20000 dilution

Predicted band size: 44 kDa

Observed band size: 37 kDa

false

Exposure time: 1s

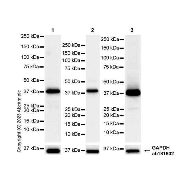
Western blot - Anti-BCAT2 antibody [EPR27488-72] - BSA and Azide free (AB307834)
  • WB

Supplier Data

Western blot - Anti-BCAT2 antibody [EPR27488-72] - BSA and Azide free (AB307834)

This data was produced using ab307833, the same clone but in a different formulation. Blocking and diluting buffer and concentration : 5% NFDM/TBST. In Western blot, anti-GAPDH antibody (ab181602) loading control staining at 1/200000 dilution. Exposure time : 15 seconds.

All lanes:

Western blot - Anti-BCAT2 antibody [EPR27488-72] (<a href='/en-us/products/primary-antibodies/bcat2-antibody-epr27488-72-ab307833'>ab307833</a>) at 1/1000 dilution

Lane 1:

Mouse stomach tissue lysate at 20 µg

Lane 2:

Human stomach tissue lysate at 20 µg

Lane 3:

Rat stomach tissue lysate at 20 µg

Secondary

All lanes:

Western blot - Goat Anti-Rabbit IgG H&L (HRP) (<a href='/en-us/products/secondary-antibodies/goat-rabbit-igg-h-l-hrp-ab97051'>ab97051</a>) at 1/100000 dilution

Observed band size: 37 kDa

false

Exposure time: 15s

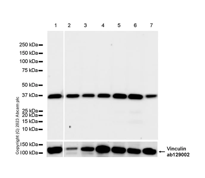
Western blot - Anti-BCAT2 antibody [EPR27488-72] - BSA and Azide free (AB307834)
  • WB

Supplier Data

Western blot - Anti-BCAT2 antibody [EPR27488-72] - BSA and Azide free (AB307834)

This data was produced using ab307833, the same clone but in a different formulation. Blocking and diluting buffer and concentration : 5% NFDM/TBST. In Western blot, anti- Vinculin antibody (ab129002) loading control staining at 1/10000 dilution. Exposure time : 15 seconds.

All lanes:

Western blot - Anti-BCAT2 antibody [EPR27488-72] (<a href='/en-us/products/primary-antibodies/bcat2-antibody-epr27488-72-ab307833'>ab307833</a>) at 1/1000 dilution

Lane 1:

MCF7 whole cell lysate at 20 µg

Lane 2:

Jurkat whole cell lysate at 20 µg

Lane 3:

Raji whole cell lysate at 20 µg

Lane 4:

HeLa whole cell lysate at 20 µg

Lane 5:

NIH/3T3 whole cell lysate at 20 µg

Lane 6:

RAW264.7 whole cell lysate at 20 µg

Lane 7:

PC-12 whole cell lysate at 20 µg

Secondary

All lanes:

Western blot - Goat Anti-Rabbit IgG H&L (HRP) (<a href='/en-us/products/secondary-antibodies/goat-rabbit-igg-h-l-hrp-ab97051'>ab97051</a>) at 1/100000 dilution

Observed band size: 37 kDa

false

Exposure time: 15s

Western blot - Anti-BCAT2 antibody [EPR27488-72] - BSA and Azide free (AB307834)
  • WB

Supplier Data

Western blot - Anti-BCAT2 antibody [EPR27488-72] - BSA and Azide free (AB307834)

This data was produced using ab307833, the same clone but in a different formulation. Blocking and diluting buffer and concentration : 5% NFDM/TBST. The expression of BCAT2 is upregulated in response to 3T3-L1 differentiation for 7 days treatment (PMID : 27689828). In Western blot, anti- Vinculin antibody (ab129002) loading control staining at 1/10000 dilution. Exposure time : 6 seconds.

All lanes:

Western blot - Anti-BCAT2 antibody [EPR27488-72] (<a href='/en-us/products/primary-antibodies/bcat2-antibody-epr27488-72-ab307833'>ab307833</a>) at 1/1000 dilution

Lane 1:

Untreated 3T3-L1 whole cell lysate at 20 µg

Lane 2:

3T3-L1 differentiation for 7 days whole cell lysate at 20 µg

Secondary

All lanes:

Western blot - Goat Anti-Rabbit IgG H&L (HRP) (<a href='/en-us/products/secondary-antibodies/goat-rabbit-igg-h-l-hrp-ab97051'>ab97051</a>) at 1/20000 dilution

Observed band size: 37 kDa

false

Exposure time: 6s

Key facts

Host species

Rabbit

Clonality

Monoclonal

Clone number

EPR27488-72

Isotype

IgG

Carrier free

Yes

Reacts with

Human, Mouse, Rat

Applications

ICC/IF, WB, IP, Flow Cyt (Intra)

applications

Immunogen

The exact immunogen used to generate this antibody is proprietary information.

Reactivity data

{ "title": "Reactivity Data", "filters": { "stats": ["", "Species", "Dilution Info", "Notes"], "tabs": { "all-applications": {"fullname" : "All Applications", "shortname": "All Applications"}, "WB" : {"fullname" : "Western blot", "shortname":"WB"}, "ICCIF" : {"fullname" : "Immunocytochemistry/ Immunofluorescence", "shortname":"ICC/IF"}, "IP" : {"fullname" : "Immunoprecipitation", "shortname":"IP"}, "FlowCytIntra" : {"fullname" : "Flow Cytometry (Intracellular)", "shortname":"Flow Cyt (Intra)"}, "IHCP" : {"fullname" : "Immunohistochemistry (Formalin/PFA-fixed paraffin-embedded sections)", "shortname":"IHC-P"} }, "product-promise": { "all": "all", "testedAndGuaranteed": "tested", "guaranteed": "expected", "predicted": "predicted", "notRecommended": "not-recommended" } }, "values": { "Human": { "WB-species-checked": "testedAndGuaranteed", "WB-species-dilution-info": "", "WB-species-notes": "<p></p>", "ICCIF-species-checked": "testedAndGuaranteed", "ICCIF-species-dilution-info": "", "ICCIF-species-notes": "<p></p>", "IP-species-checked": "testedAndGuaranteed", "IP-species-dilution-info": "", "IP-species-notes": "<p></p>", "FlowCytIntra-species-checked": "notRecommended", "FlowCytIntra-species-dilution-info": "", "FlowCytIntra-species-notes": "<p></p>", "IHCP-species-checked": "notRecommended", "IHCP-species-dilution-info": "", "IHCP-species-notes": "<p></p>" }, "Mouse": { "WB-species-checked": "testedAndGuaranteed", "WB-species-dilution-info": "", "WB-species-notes": "<p></p>", "ICCIF-species-checked": "testedAndGuaranteed", "ICCIF-species-dilution-info": "", "ICCIF-species-notes": "<p></p>", "IP-species-checked": "testedAndGuaranteed", "IP-species-dilution-info": "", "IP-species-notes": "<p></p>", "FlowCytIntra-species-checked": "testedAndGuaranteed", "FlowCytIntra-species-dilution-info": "", "FlowCytIntra-species-notes": "<p></p>", "IHCP-species-checked": "notRecommended", "IHCP-species-dilution-info": "", "IHCP-species-notes": "<p></p>" }, "Rat": { "WB-species-checked": "testedAndGuaranteed", "WB-species-dilution-info": "", "WB-species-notes": "<p></p>", "ICCIF-species-checked": "guaranteed", "ICCIF-species-dilution-info": "", "ICCIF-species-notes": "", "IP-species-checked": "guaranteed", "IP-species-dilution-info": "", "IP-species-notes": "", "FlowCytIntra-species-checked": "guaranteed", "FlowCytIntra-species-dilution-info": "", "FlowCytIntra-species-notes": "", "IHCP-species-checked": "notRecommended", "IHCP-species-dilution-info": "", "IHCP-species-notes": "<p></p>" }, "Transfected cell lysate - Human": { "WB-species-checked": "testedAndGuaranteed", "WB-species-dilution-info": "", "WB-species-notes": "<p></p>", "ICCIF-species-checked": "notRecommended", "ICCIF-species-dilution-info": "", "ICCIF-species-notes": "", "IP-species-checked": "notRecommended", "IP-species-dilution-info": "", "IP-species-notes": "", "FlowCytIntra-species-checked": "notRecommended", "FlowCytIntra-species-dilution-info": "", "FlowCytIntra-species-notes": "", "IHCP-species-checked": "notRecommended", "IHCP-species-dilution-info": "", "IHCP-species-notes": "" } } }

You may be interested in:

AB83374

Branched Chain Amino Acid Assay Kit / BCAA Assay Kit

0

0 Reviews

View product

We recommend this product because it’s often used in the same experiment or related research.

We advise that you always check the datasheet to ensure it fits your experiments, or contact ourtechnical teamfor help.

Product details

Patented technology
Our RabMAb® technology is a patented hybridoma-based technology for making rabbit monoclonal antibodies. For details on our patents, please refer to RabMAb® patents.

What are the advantages of a recombinant monoclonal antibody?
This product is a recombinant monoclonal antibody, which offers several advantages including:

  • - High batch-to-batch consistency and reproducibility
  • - Improved sensitivity and specificity
  • - Long-term security of supply
  • - Animal-free batch production

For more information, read more on recombinant antibodies.

Conjugation ready
Our carrier-free antibodies are typically supplied in a PBS-only formulation, purified and free of BSA, sodium azide and glycerol. This conjugation-ready format is designed for use with fluorochromes, metal isotopes, oligonucleotides, and enzymes, which makes them ideal for antibody labelling, functional and cell-based assays, flow-based assays (e.g. mass cytometry) and Multiplex Imaging applications.

Use our conjugation kits for antibody conjugates that are ready-to-use in as little as 20 minutes with 1 minute hands-on-time and 100% antibody recovery: available for fluorescent dyes, HRP, biotin and gold.

Compatibility
This product is compatible with the Maxpar® Antibody Labeling Kit from Fluidigm, without the need for antibody preparation. Maxpar® is a trademark of Fluidigm Canada Inc.

Properties and storage information

Form
Liquid
Purification technique
Affinity purification Protein A
Storage buffer
pH: 7.2 - 7.4 Constituents: 100% PBS
Shipped at conditions
Blue Ice
Appropriate short-term storage conditions
+4°C
Appropriate long-term storage conditions
+4°C

Product protocols

For this product, it's our understanding that no specific protocols are required. You can visit:

Target data

Catalyzes the first reaction in the catabolism of the essential branched chain amino acids leucine, isoleucine, and valine (PubMed : 17050531, PubMed : 25653144, PubMed : 8702755). May also function as a transporter of branched chain alpha-keto acids (By similarity).
See full target information BCAT2

Product promise

We are committed to supporting your work with high-quality reagents, and we're here for you every step of the way. In the unlikely event that one of our products does not perform as expected, you're protected by our Product Promise.
For full details, please see our Terms & Conditions

Please note: All products are 'FOR RESEARCH USE ONLY. NOT FOR USE IN DIAGNOSTIC OR THERAPEUTIC PROCEDURES'.

For licensing inquiries, please contact partnerships@abcam.com