JavaScript is disabled in your browser. Please enable JavaScript to view this website.
AB309515

Anti-BCAT2 antibody [EPR27488-91] - BSA and Azide free

  • BOND RX™ Validated
  • RabMAb
  • Advanced Validation
  • Recombinant
  • What is this?

Be the first to review this product! Submit a review

|

(0 Publication)

Rabbit Recombinant Monoclonal BCAT2 antibody. Carrier free. Suitable for WB, mIHC, IHC-P, ICC/IF, Flow Cyt (Intra), IP and reacts with Transfected cell lysate - Human, Human samples.

View Alternative Names

BCATM, BCT2, ECA40, BCAT2, BCAT(m), Placental protein 18, PP18

11 Images
Immunohistochemistry (Formalin/PFA-fixed paraffin-embedded sections) - Anti-BCAT2 antibody [EPR27488-91] - BSA and Azide free (AB309515)
  • IHC-P

Supplier Data

Immunohistochemistry (Formalin/PFA-fixed paraffin-embedded sections) - Anti-BCAT2 antibody [EPR27488-91] - BSA and Azide free (AB309515)

This data was developed using ab309514, the same antibody clone in a different buffer formulation. Immunohistochemical analysis of paraffin-embedded Human endometrium tissue labeling BCAT2 with ab309514 at 1/5000 (0.1 ug/ml) followed by a ready to use LeicaDS9800 (Bond™ Polymer Refine Detection). Positive staining on human endometrium. The section was incubated with ab309514 for 30 mins at room temperature.The immunostaining was performed on a Leica Biosystems BOND® RX instrument.Incubate slides with 3% Hydrogen Peroxide for 10 mins at room temperature after secondary antibody incubation to reduce the background. Counterstained with Hematoxylin. Secondary antibody only control : Secondary antibody is a ready to use LeicaDS9800 (Bond™ Polymer Refine Detection). Heat mediated antigen retrieval was performed with Citrate buffer (pH 6.0, Epitope Retrieval Solution

  1. for 20 mins
Immunohistochemistry (Formalin/PFA-fixed paraffin-embedded sections) - Anti-BCAT2 antibody [EPR27488-91] - BSA and Azide free (AB309515)
  • IHC-P

Supplier Data

Immunohistochemistry (Formalin/PFA-fixed paraffin-embedded sections) - Anti-BCAT2 antibody [EPR27488-91] - BSA and Azide free (AB309515)

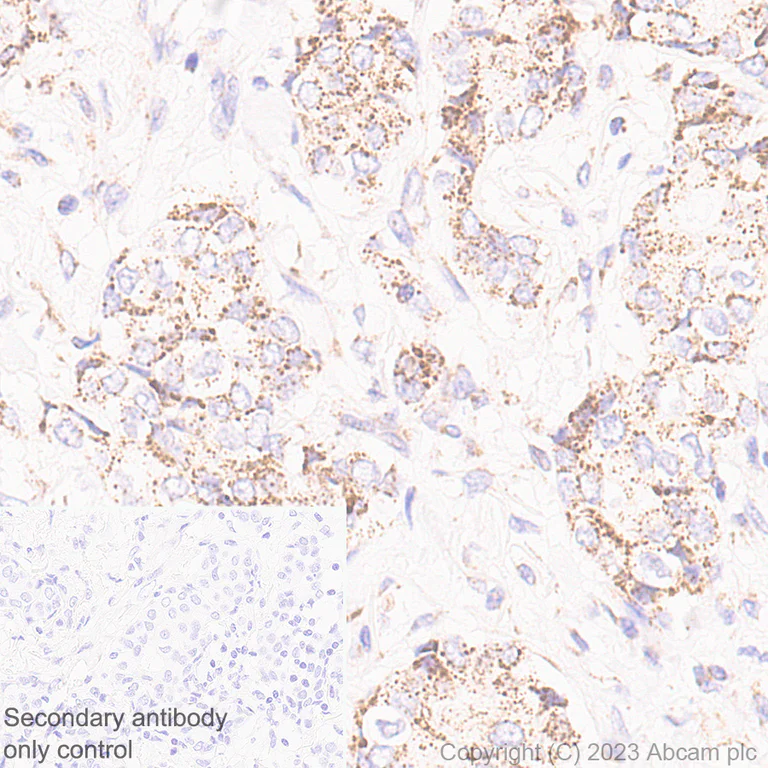
This data was developed using ab309514, the same antibody clone in a different buffer formulation. Immunohistochemical analysis of paraffin-embedded Human breast carcino tissue labeling BCAT2 with ab309514 at 1/5000 (0.1 ug/ml) followed by a ready to use LeicaDS9800 (Bond™ Polymer Refine Detection). Positive staining on human breast carcinoma. The section was incubated with ab309514 for 30 mins at room temperature.The immunostaining was performed on a Leica Biosystems BOND® RX instrument.Incubate slides with 3% Hydrogen Peroxide for 10 mins at room temperature after secondary antibody incubation to reduce the background. Counterstained with Hematoxylin. Secondary antibody only control : Secondary antibody is a ready to use LeicaDS9800 (Bond™ Polymer Refine Detection). Heat mediated antigen retrieval was performed with Citrate buffer (pH 6.0, Epitope Retrieval Solution 1) for 20 mins

Multiplex immunohistochemistry - Anti-BCAT2 antibody [EPR27488-91] - BSA and Azide free (AB309515)
  • mIHC

Supplier Data

Multiplex immunohistochemistry - Anti-BCAT2 antibody [EPR27488-91] - BSA and Azide free (AB309515)

This data was developed using ab309514, the same antibody clone in a different buffer formulation. Multiplex immunohistochemistry analysis of formalin/PFA-fixed paraffin-embedded Human endometrium tissue labeling BCAT2 with ab309514 at 1/5000 Panel A : merged staining of anti-BCAT2 (green; Opal™520) and anti-COX IV (red; Opal™570) on human endometrium. Panel B : anti-BCAT2 stained on mitochondria. Panel C : anti-COX IV stained on mitochondria. The section was incubated in two rounds of staining : in the order of ab309514 and ab231168 for 30 mins at room temperature. Each round was followed by a separate fluorescent tyramide signal amplification system.The immunostaining was performed on a Leica Biosystems BOND® RX instrument with an Opal™ 4-color kit. Image acquisition was performed with Leica SP8 confocal microscope. Counterstained with DAPI. Heat mediated antigen retrieval was performed with Citrate buffer (pH 6.0, Epitope Retrieval Solution 1) for 20 mins

Multiplex immunohistochemistry - Anti-BCAT2 antibody [EPR27488-91] - BSA and Azide free (AB309515)
  • mIHC

Supplier Data

Multiplex immunohistochemistry - Anti-BCAT2 antibody [EPR27488-91] - BSA and Azide free (AB309515)

This data was developed using ab309514, the same antibody clone in a different buffer formulation. Multiplex immunohistochemistry analysis of formalin/PFA-fixed paraffin-embedded Human breast carcinoma tissue labeling BCAT2 with ab309514 at 1/5000 Panel A : merged staining of anti-BCAT2 (green; Opal™520) and anti-COX IV (red; Opal™570) on human breast carcinoma. Panel B : anti-BCAT2 stained on mitochondria. Panel C : anti-COX IV stained on mitochondria. The section was incubated in two rounds of staining : in the order of ab309514 and ab231168 for 30 mins at room temperature. Each round was followed by a separate fluorescent tyramide signal amplification system. The immunostaining was performed on a Leica Biosystems BOND® RX instrument with an Opal™ 4-color kit. Image acquisition was performed with Leica SP8 confocal microscope. Counterstained with DAPI. Heat mediated antigen retrieval was performed with Citrate buffer (pH 6.0, Epitope Retrieval Solution 1) for 20 mins

Immunocytochemistry/ Immunofluorescence - Anti-BCAT2 antibody [EPR27488-91] - BSA and Azide free (AB309515)
  • ICC/IF

Supplier Data

Immunocytochemistry/ Immunofluorescence - Anti-BCAT2 antibody [EPR27488-91] - BSA and Azide free (AB309515)

This data was developed using ab309514, the same antibody clone in a different buffer formulation. Immunofluorescent analysis of 100% methanol-fixed, 0.1% TritonX-100 permeabilized MCF7 (human breast adenocarcinoma epithelial cell) cells labelling BCAT2 with ab309514 at 1/100 (4.99 ug/ml) dilution, followed by ab150081 Goat Anti-Rabbit IgG H&L (Alexa Fluor® 488) preadsorbed antibody at 1/1000 2 ug/ml dilution (Green). Confocal showing mitochondrial staining in MCF7 cell line.Image was taken with a confocal microscope (Leica-Microsystems, TCS SP8). is observed. anti-COX IV mouse monoclonal antibody - Mitochondrial Marker was used to counterstain tubulin at 1/50 0.5 ug/ml dilution (Red). The Nuclear counterstain was DAPI (Blue). Secondary antibody only control : Secondary antibody is ab150081 Goat Anti-Rabbit IgG H&L (Alexa Fluor® 488) preadsorbed at 1/1000 2 ug/ml dilution.

Flow Cytometry (Intracellular) - Anti-BCAT2 antibody [EPR27488-91] - BSA and Azide free (AB309515)
  • Flow Cyt (Intra)

Supplier Data

Flow Cytometry (Intracellular) - Anti-BCAT2 antibody [EPR27488-91] - BSA and Azide free (AB309515)

This data was developed using ab309514, the same antibody clone in a different buffer formulation. Flow cytometric analysis of MCF7 (human breast adenocarcinoma epithelial cell) cells labelling BCAT2 with ab309514 at 1/500 dilution (0.1 ug)/Red compared with a Rabbit monoclonal IgG (ab172730) (Black) isotype control and an unlabelled control (cells without incubation with primary antibody and secondary antibody) (Blue). Goat Anti-Rabbit IgG (Alexa Fluor® 488, ab150081) at 1/5000 dilution was used as the secondary antibody.

Immunoprecipitation - Anti-BCAT2 antibody [EPR27488-91] - BSA and Azide free (AB309515)
  • IP

Supplier Data

Immunoprecipitation - Anti-BCAT2 antibody [EPR27488-91] - BSA and Azide free (AB309515)

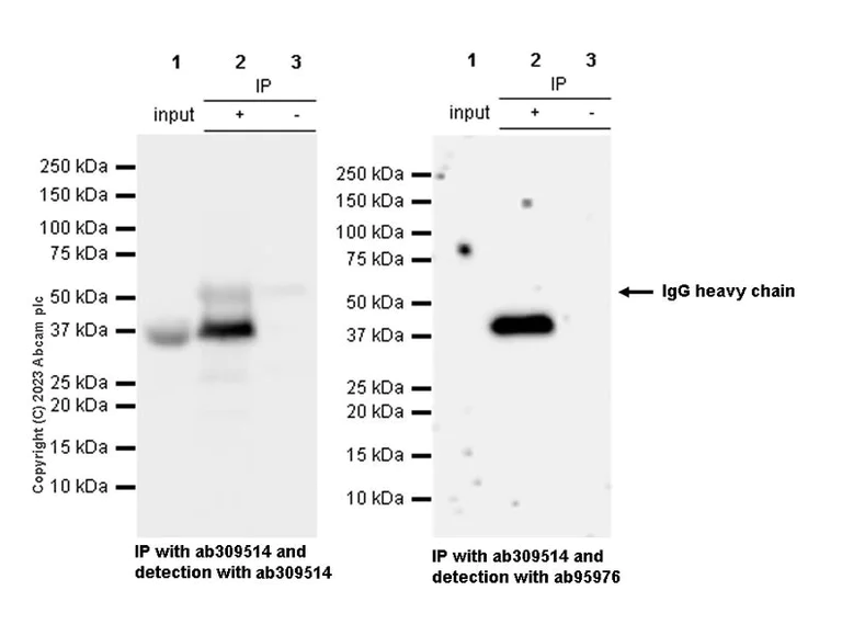
This data was developed using ab309514, the same antibody clone in a different buffer formulation. BCAT2 was immunoprecipitated from 0.35 mg MCF7 (human breast adenocarcinoma epithelial cell) whole cell lysate with ab309514 at 1/30 dilution (2ug in 0.35mg lysates). Western blot was performed on the immunoprecipitate using ab309514 at 1/1000 dilution. VeriBlot for IP secondary antibody(HRP)(ab131366) was used at 1/5000 dilution. Lane 1 : MCF7 (human breast adenocarcinoma epithelial cell) whole cell lysate Lane 2 : ab309514 IP in MCF7 (human breast adenocarcinoma epithelial cell) whole cell lysate Lane 3 : Rabbit monoclonal IgG (ab172730) instead of ab309514 in MCF7 whole cell lysate Blocking and dilution buffer and concentration : 5% NFDM/TBST. Exposure time : Lanes 1-3 (the left image) : 1 second, lanes 1-3 (the right image) : 180 seconds. The IP experiment was performed by ab309514 using MCF7 cells. On the left the IP blot was probed with ab309514 and on the right the blot was probed by another anti-BCAT2 antibody (ab95976)(1 : 1000 dilution).

All lanes:

Immunoprecipitation - Anti-BCAT2 antibody [EPR27488-91] (<a href='/en-us/products/primary-antibodies/bcat2-antibody-epr27488-91-ab309514'>ab309514</a>) at 1/30 dilution

All lanes:

MCF7 (human breast adenocarcinoma epithelial cell) whole cell lysate

Secondary

All lanes:

Immunoprecipitation - VeriBlot for IP Detection Reagent (HRP) (<a href='/en-us/products/reagents/veriblot-for-ip-detection-reagent-hrp-ab131366'>ab131366</a>) at 1/5000 dilution

false

Western blot - Anti-BCAT2 antibody [EPR27488-91] - BSA and Azide free (AB309515)
  • WB

Supplier Data

Western blot - Anti-BCAT2 antibody [EPR27488-91] - BSA and Azide free (AB309515)

This data was developed using ab309514, the same antibody clone in a different buffer formulation. Blocking and diluting buffer and concentration : 5% NFDM/TBST In Western blot, anti-GAPDH antibody (ab181602) loading control staining at 1/200000 dilution. Exposure time : 180 seconds

All lanes:

Western blot - Anti-BCAT2 antibody [EPR27488-91] (<a href='/en-us/products/primary-antibodies/bcat2-antibody-epr27488-91-ab309514'>ab309514</a>) at 1/1000 dilution

All lanes:

Human breast cancer tissue lysate at 20 µg

Secondary

All lanes:

Western blot - Goat Anti-Rabbit IgG H&L (HRP) (<a href='/en-us/products/secondary-antibodies/goat-rabbit-igg-h-l-hrp-ab97051'>ab97051</a>) at 1/100000 dilution

Observed band size: 37 kDa

false

Exposure time: 180s

Western blot - Anti-BCAT2 antibody [EPR27488-91] - BSA and Azide free (AB309515)
  • WB

Supplier Data

Western blot - Anti-BCAT2 antibody [EPR27488-91] - BSA and Azide free (AB309515)

This data was developed using ab309514, the same antibody clone in a different buffer formulation. Blocking and diluting buffer and concentration : 5% NFDM/TBST In Western blot, anti- Vinculin antibody (ab129002) loading control staining at 1/10000 dilution. Exposure time : 6 seconds

All lanes:

Western blot - Anti-BCAT2 antibody [EPR27488-91] (<a href='/en-us/products/primary-antibodies/bcat2-antibody-epr27488-91-ab309514'>ab309514</a>) at 1/1000 dilution

Lane 1:

Human skeletal muscle tissue lysate at 20 µg

Lane 2:

Human liver tissue lysate at 20 µg

Secondary

All lanes:

Western blot - Goat Anti-Rabbit IgG H&L (HRP) (<a href='/en-us/products/secondary-antibodies/goat-rabbit-igg-h-l-hrp-ab97051'>ab97051</a>) at 1/100000 dilution

Observed band size: 37 kDa

false

Exposure time: 6s

Western blot - Anti-BCAT2 antibody [EPR27488-91] - BSA and Azide free (AB309515)
  • WB

Supplier Data

Western blot - Anti-BCAT2 antibody [EPR27488-91] - BSA and Azide free (AB309515)

This data was developed using ab309514, the same antibody clone in a different buffer formulation. Blocking and diluting buffer and concentration : 5% NFDM/TBST Exposure time : 6 seconds

All lanes:

Western blot - Anti-BCAT2 antibody [EPR27488-91] (<a href='/en-us/products/primary-antibodies/bcat2-antibody-epr27488-91-ab309514'>ab309514</a>) at 1/1000 dilution

Lane 1:

Jurkat (human T cell leukemia T lymphocyte) whole cell lysate at 20 µg

Lane 2:

Raji (human Burkitts lymphoma B lymphocyte)whole cell lysate at 20 µg

Lane 3:

HeLa (human cervix adenocarcinoma epithelial cell) whole cell lysate at 20 µg

Secondary

All lanes:

Western blot - Goat Anti-Rabbit IgG H&L (HRP) (<a href='/en-us/products/secondary-antibodies/goat-rabbit-igg-h-l-hrp-ab97051'>ab97051</a>) at 1/100000 dilution

Observed band size: 37 kDa

false

Exposure time: 6s

Western blot - Anti-BCAT2 antibody [EPR27488-91] - BSA and Azide free (AB309515)
  • WB

Supplier Data

Western blot - Anti-BCAT2 antibody [EPR27488-91] - BSA and Azide free (AB309515)

This data was developed using ab309514, the same antibody clone in a different buffer formulation. Blocking and diluting buffer and concentration : 5% NFDM/TBST This antibody does not cross-react with human BCAT1. In Western blot, anti-His antibody (ab213204) staining at 1/5000 dilution. Anti-GAPDH antibody (ab181602) loading control staining at 1/200000 dilution. Exposure time : 1 second

All lanes:

Western blot - Anti-BCAT2 antibody [EPR27488-91] (<a href='/en-us/products/primary-antibodies/bcat2-antibody-epr27488-91-ab309514'>ab309514</a>) at 1/1000 dilution

Lane 1:

293T cells transfected with an empty vector containi a His-tag whole cell lysate 5 at 5 µg

Lane 2:

293T cells transfected with a human BCAT2 expression vector containi a His-tag whole cell lysate 5 at 5 µg

Lane 3:

293T cells transfected with a human BCAT1 expression vector containi a His-tag whole cell lysate 5 at 5 µg

Secondary

All lanes:

Western blot - Goat Anti-Rabbit IgG H&L (HRP) (<a href='/en-us/products/secondary-antibodies/goat-rabbit-igg-h-l-hrp-ab97051'>ab97051</a>) at 1/100000 dilution

Observed band size: 37 kDa

false

Exposure time: 1s

Key facts

Host species

Rabbit

Clonality

Monoclonal

Clone number

EPR27488-91

Isotype

IgG

Carrier free

Yes

Reacts with

Human

Applications

Flow Cyt (Intra), IHC-P, mIHC, WB, IP, ICC/IF

applications

Immunogen

The exact immunogen used to generate this antibody is proprietary information.

Reactivity data

{ "title": "Reactivity Data", "filters": { "stats": ["", "Species", "Dilution Info", "Notes"], "tabs": { "all-applications": {"fullname" : "All Applications", "shortname": "All Applications"}, "WB" : {"fullname" : "Western blot", "shortname":"WB"}, "mIHC" : {"fullname" : "Multiplex immunohistochemistry", "shortname":"mIHC"}, "IHCP" : {"fullname" : "Immunohistochemistry (Formalin/PFA-fixed paraffin-embedded sections)", "shortname":"IHC-P"}, "ICCIF" : {"fullname" : "Immunocytochemistry/ Immunofluorescence", "shortname":"ICC/IF"}, "FlowCytIntra" : {"fullname" : "Flow Cytometry (Intracellular)", "shortname":"Flow Cyt (Intra)"}, "IP" : {"fullname" : "Immunoprecipitation", "shortname":"IP"} }, "product-promise": { "all": "all", "testedAndGuaranteed": "tested", "guaranteed": "expected", "predicted": "predicted", "notRecommended": "not-recommended" } }, "values": { "Human": { "WB-species-checked": "testedAndGuaranteed", "WB-species-dilution-info": "", "WB-species-notes": "<p></p>", "mIHC-species-checked": "testedAndGuaranteed", "mIHC-species-dilution-info": "", "mIHC-species-notes": "<p></p>", "IHCP-species-checked": "testedAndGuaranteed", "IHCP-species-dilution-info": "", "IHCP-species-notes": "<p></p>", "ICCIF-species-checked": "testedAndGuaranteed", "ICCIF-species-dilution-info": "", "ICCIF-species-notes": "<p></p>", "FlowCytIntra-species-checked": "testedAndGuaranteed", "FlowCytIntra-species-dilution-info": "", "FlowCytIntra-species-notes": "<p></p>", "IP-species-checked": "testedAndGuaranteed", "IP-species-dilution-info": "", "IP-species-notes": "<p></p>" }, "Mouse": { "WB-species-checked": "notRecommended", "WB-species-dilution-info": "", "WB-species-notes": "<p></p>", "mIHC-species-checked": "notRecommended", "mIHC-species-dilution-info": "", "mIHC-species-notes": "", "IHCP-species-checked": "notRecommended", "IHCP-species-dilution-info": "", "IHCP-species-notes": "<p></p>", "ICCIF-species-checked": "notRecommended", "ICCIF-species-dilution-info": "", "ICCIF-species-notes": "<p></p>", "FlowCytIntra-species-checked": "notRecommended", "FlowCytIntra-species-dilution-info": "", "FlowCytIntra-species-notes": "<p></p>", "IP-species-checked": "notRecommended", "IP-species-dilution-info": "", "IP-species-notes": "<p></p>" }, "Rat": { "WB-species-checked": "notRecommended", "WB-species-dilution-info": "", "WB-species-notes": "<p></p>", "mIHC-species-checked": "notRecommended", "mIHC-species-dilution-info": "", "mIHC-species-notes": "", "IHCP-species-checked": "notRecommended", "IHCP-species-dilution-info": "", "IHCP-species-notes": "<p></p>", "ICCIF-species-checked": "notRecommended", "ICCIF-species-dilution-info": "", "ICCIF-species-notes": "", "FlowCytIntra-species-checked": "notRecommended", "FlowCytIntra-species-dilution-info": "", "FlowCytIntra-species-notes": "", "IP-species-checked": "notRecommended", "IP-species-dilution-info": "", "IP-species-notes": "" }, "Transfected cell lysate - Human": { "WB-species-checked": "testedAndGuaranteed", "WB-species-dilution-info": "", "WB-species-notes": "<p></p>", "mIHC-species-checked": "notRecommended", "mIHC-species-dilution-info": "", "mIHC-species-notes": "", "IHCP-species-checked": "notRecommended", "IHCP-species-dilution-info": "", "IHCP-species-notes": "", "ICCIF-species-checked": "notRecommended", "ICCIF-species-dilution-info": "", "ICCIF-species-notes": "", "FlowCytIntra-species-checked": "notRecommended", "FlowCytIntra-species-dilution-info": "", "FlowCytIntra-species-notes": "", "IP-species-checked": "notRecommended", "IP-species-dilution-info": "", "IP-species-notes": "" } } }

Product details

Patented technology
Our RabMAb® technology is a patented hybridoma-based technology for making rabbit monoclonal antibodies. For details on our patents, please refer to RabMAb® patents.

What are the advantages of a recombinant monoclonal antibody?
This product is a recombinant monoclonal antibody, which offers several advantages including:

  • - High batch-to-batch consistency and reproducibility
  • - Improved sensitivity and specificity
  • - Long-term security of supply
  • - Animal-free batch production

For more information, read more on recombinant antibodies.

Conjugation ready
Our carrier-free antibodies are typically supplied in a PBS-only formulation, purified and free of BSA, sodium azide and glycerol. This conjugation-ready format is designed for use with fluorochromes, metal isotopes, oligonucleotides, and enzymes, which makes them ideal for antibody labelling, functional and cell-based assays, flow-based assays (e.g. mass cytometry) and Multiplex Imaging applications.

Use our conjugation kits for antibody conjugates that are ready-to-use in as little as 20 minutes with 1 minute hands-on-time and 100% antibody recovery: available for fluorescent dyes, HRP, biotin and gold.

Compatibility
This product is compatible with the Maxpar® Antibody Labeling Kit from Fluidigm, without the need for antibody preparation. Maxpar® is a trademark of Fluidigm Canada Inc.

Properties and storage information

Form
Liquid
Purification technique
Affinity purification Protein A
Storage buffer
pH: 7.2 - 7.4 Constituents: PBS
Shipped at conditions
Blue Ice
Appropriate short-term storage conditions
+4°C
Appropriate long-term storage conditions
+4°C

Product protocols

For this product, it's our understanding that no specific protocols are required. You can visit:

Target data

Catalyzes the first reaction in the catabolism of the essential branched chain amino acids leucine, isoleucine, and valine (PubMed : 17050531, PubMed : 25653144, PubMed : 8702755). May also function as a transporter of branched chain alpha-keto acids (By similarity).
See full target information BCAT2

Product promise

We are committed to supporting your work with high-quality reagents, and we're here for you every step of the way. In the unlikely event that one of our products does not perform as expected, you're protected by our Product Promise.
For full details, please see our Terms & Conditions

Please note: All products are 'FOR RESEARCH USE ONLY. NOT FOR USE IN DIAGNOSTIC OR THERAPEUTIC PROCEDURES'.

For licensing inquiries, please contact partnerships@abcam.com