JavaScript is disabled in your browser. Please enable JavaScript to view this website.
AB185002

Anti-Bcl-2 antibody [E17] - BSA and Azide free

  • BOND RX™ Validated
  • RabMAb
  • Recombinant
  • KO Validated
  • What is this?

Be the first to review this product! Submit a review

|

(120 Publications)

Rabbit Recombinant Monoclonal Bcl-2 antibody. Carrier free. Suitable for IP, WB, IHC-P and reacts with Human samples. Cited in 120 publications.

View Alternative Names

Apoptosis regulator Bcl-2, BCL2

13 Images
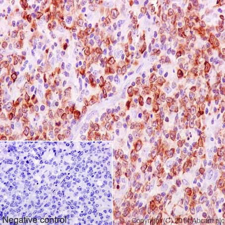
Immunohistochemistry (Formalin/PFA-fixed paraffin-embedded sections) - Anti-Bcl-2 antibody [E17] - BSA and Azide free (AB185002)
  • IHC-P

Unknown

Immunohistochemistry (Formalin/PFA-fixed paraffin-embedded sections) - Anti-Bcl-2 antibody [E17] - BSA and Azide free (AB185002)

Immunohistochemistry (Formalin/PFA-fixed paraffin-embedded sections) analysis of human B-cell lymphoma tissue labelling Bcl-2 with purified ab32124 at 1/250. Heat mediated antigen retrieval was performed using Tris/EDTA buffer pH 9. ab97051, a HRP-conjugated goat anti-rabbit IgG (H+L) was used as the secondary antibody (1/500). Negative control using PBS instead of primary antibody. Counterstained with hematoxylin.

This data was developed using the same antibody clone in a different buffer formulation containing PBS, BSA, glycerol, and sodium azide (ab32124).

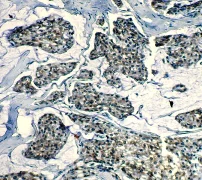
Immunohistochemistry (Formalin/PFA-fixed paraffin-embedded sections) - Anti-Bcl-2 antibody [E17] - BSA and Azide free (AB185002)
  • IHC-P

Unknown

Immunohistochemistry (Formalin/PFA-fixed paraffin-embedded sections) - Anti-Bcl-2 antibody [E17] - BSA and Azide free (AB185002)

Immunohistochemistry (Formalin/PFA-fixed paraffin-embedded sections) analysis of human breast carcinoma tissue labelling Bcl-2 with unpurified ab32124 at 1/200 dilution.

Perform heat mediated antigen retrieval with Tris/EDTA buffer pH 9.0 before commencing with IHC staining protocol.

This data was developed using the same antibody clone in a different buffer formulation containing PBS, BSA, glycerol, and sodium azide (ab32124).

Immunohistochemistry (Formalin/PFA-fixed paraffin-embedded sections) - Anti-Bcl-2 antibody [E17] - BSA and Azide free (AB185002)
  • IHC-P

Unknown

Immunohistochemistry (Formalin/PFA-fixed paraffin-embedded sections) - Anti-Bcl-2 antibody [E17] - BSA and Azide free (AB185002)

Immunohistochemistry (Formalin/PFA-fixed paraffin-embedded sections) analysis of human B cell lymphoma tissue labelling Bcl-2 with unpurified ab32124.

Perform heat mediated antigen retrieval with Tris/EDTA buffer pH 9.0 before commencing with IHC staining protocol.

This data was developed using the same antibody clone in a different buffer formulation containing PBS, BSA, glycerol, and sodium azide (ab32124).

Immunohistochemistry (Formalin/PFA-fixed paraffin-embedded sections) - Anti-Bcl-2 antibody [E17] - BSA and Azide free (AB185002)
  • IHC-P

AbReview52227****

Immunohistochemistry (Formalin/PFA-fixed paraffin-embedded sections) - Anti-Bcl-2 antibody [E17] - BSA and Azide free (AB185002)

Formaldehyde-fixed, paraffin-embedded human DLBCL U2932 cell line xenograft tissue stained for Bcl-2 using ab32124 at 1/200 dilution in immunohistochemical analysis, followed by Goat anti-Rabbit IgG Alexa Fluor® 555.

Perform heat mediated antigen retrieval with Tris/EDTA buffer pH 9.0 before commencing with IHC staining protocol.

This data was developed using the same antibody clone in a different buffer formulation containing PBS, BSA, glycerol, and sodium azide (ab32124).

This image is courtesy of an anonymous Abreview.

Immunohistochemistry (Formalin/PFA-fixed paraffin-embedded sections) - Anti-Bcl-2 antibody [E17] - BSA and Azide free (AB185002)
  • IHC-P

Lab

Immunohistochemistry (Formalin/PFA-fixed paraffin-embedded sections) - Anti-Bcl-2 antibody [E17] - BSA and Azide free (AB185002)

This data was developed using the same antibody clone in a different buffer formulation (ab32124). Tissue Microarrays for Anti-Bcl2 antibody [E17] using ab32124 in immunohistochemical analysis. This table provides a detailed overview of positive (tick mark) and negative (cross mark) staining per sample type tested. The sections were pretreated with heat mediated antigen retrieval was performed with Tris-EDTA buffer (pH 9.0, Epitope Retrieval Solution2) for 20 mins. The section was incubated with ab32124 for 30 mins at room temperature. The immunostaining was performed on a Leica Biosystems BOND® RX instrument.

Immunohistochemistry (Formalin/PFA-fixed paraffin-embedded sections) - Anti-Bcl-2 antibody [E17] - BSA and Azide free (AB185002)
  • IHC-P

PubMed

Immunohistochemistry (Formalin/PFA-fixed paraffin-embedded sections) - Anti-Bcl-2 antibody [E17] - BSA and Azide free (AB185002)

Immunohistochemical analysis of Human salivary glands taken from patients with primary Sjögren's syndrome, staining Bcl-2 with unpurified ab32124.

Antigen retrieval was performed via heat mediation in a citrate buffer (pH 6). Sections were blocked using 2% BSA, 10% normal serum and permeabilized with 0.5% Triton X-100. Samples were incubated with primary antibody (1/100) for one hour at room temperature. An Alexa Fluor® 594-conjugated anti-rabbit IgG was used as the secondary antibody.
N.B. Panels B and D are higher magnifications of panels A and C, respectively.

This data was developed using the same antibody clone in a different buffer formulation containing PBS, BSA, glycerol, and sodium azide (ab32124).

Image from Szyszko EA et al. Arthritis Res Ther. 2011 Jan 7;13(1):R2. Fig 5.; doi:10.1186/ar3220; 7 January 2011 Arthritis Research & Therapy 2011 13:R2.

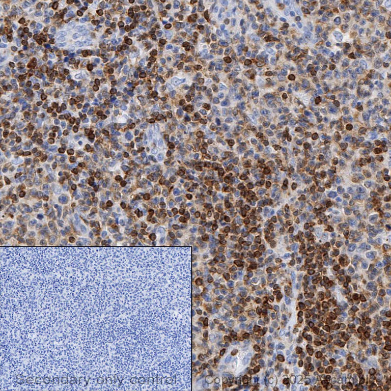
Immunohistochemistry (Formalin/PFA-fixed paraffin-embedded sections) - Anti-Bcl-2 antibody [E17] - BSA and Azide free (AB185002)
  • IHC-P

Lab

Immunohistochemistry (Formalin/PFA-fixed paraffin-embedded sections) - Anti-Bcl-2 antibody [E17] - BSA and Azide free (AB185002)

This data was developed using the same antibody clone in a different buffer formulation containing PBS, BSA, glycerol, and sodium azide (ab32124).

Immunohistochemical analysis of formalin fixed paraffin embedded human lymphoma labelling Bcl-2 with ab32124 at a concentration of 1µg/ml.
The immunostaining was performed on a Ventana DISCOVERY ULTRA (Roche Tissue Diagnostics) instrument with a OptiView DAB IHC Detection Kit. Heat mediated antigen retrieval was performed with DISCOVERY cell conditioning solution (CC1) 100°C, pH8.5 for 32mins.

ab32124 anti- Bcl-2 antibody [E17] was incubated for 16mins at 37°C. Sections were counterstained with Hematoxylin II. Image inset shows absence of staining in secondary antibody only control.

Customers are encouraged to optimise antigen retrieval conditions, antibody concentration, incubation times and temperature for best results in their own IHC assay workflow (automated and manual).

Immunohistochemistry (Formalin/PFA-fixed paraffin-embedded sections) - Anti-Bcl-2 antibody [E17] - BSA and Azide free (AB185002)
  • IHC-P

PubMed

Immunohistochemistry (Formalin/PFA-fixed paraffin-embedded sections) - Anti-Bcl-2 antibody [E17] - BSA and Azide free (AB185002)

Bcl-2 expression determined by immunohistochemical analyses of the 4 human UM xenografts (between 3 to 5 tumors have been studied per condition).

Perform heat mediated antigen retrieval with Tris/EDTA buffer pH 9.0 before commencing with IHC staining protocol.

This data was developed using the same antibody clone in a different buffer formulation containing PBS, BSA, glycerol, and sodium azide (ab32124).

Image from Némati F et al. PLoS One. 2014;9(1):e80836. Fig 2.; doi: 10.1371/journal.pone.0080836.

Western blot - Anti-Bcl-2 antibody [E17] - BSA and Azide free (AB185002)
  • WB

Lab

Western blot - Anti-Bcl-2 antibody [E17] - BSA and Azide free (AB185002)

This data was developed using the same antibody clone in a different buffer formulation (ab32124).

Lanes 1 - 4 : Merged signal (red and green). Green - ab32124 observed at 26 kDa. Red - loading control, ab8245, observed at 37 kDa.

ab32124 was shown to specifically react with BCL2 when BCL2 knockout samples were used. Wild-type and BCL2 knockout samples were subjected to SDS-PAGE. ab32124 and ab8245 (Mouse anti GAPDH loading control) were incubated overnight at 4°C at 1000 dilution and 1/10000 dilution respectively. Blots were developed with Goat anti-Rabbit IgG H&L (IRDye® 800CW) preabsorbed ab216773 and Goat anti-Mouse IgG H&L (IRDye® 680RD) preabsorbed ab216776 secondary antibodies at 1/10000 dilution for 1 hour at room temperature before imaging. 3% milk used as blocking agent.

All lanes:

Western blot - Anti-Bcl-2 antibody [E17] - BSA and Azide free (ab185002)

Lane 1:

Wild-type HAP1 whole cell lysate at 20 µg

Lane 2:

BCL2 knockout HAP1 whole cell lysate at 20 µg

Lane 3:

HeLa whole cell lysate at 20 µg

Lane 4:

THP-1 whole cell lysate at 20 µg

Predicted band size: 26 kDa

false

Immunoprecipitation - Anti-Bcl-2 antibody [E17] - BSA and Azide free (AB185002)
  • IP

Unknown

Immunoprecipitation - Anti-Bcl-2 antibody [E17] - BSA and Azide free (AB185002)

ab32124 (purified) at 1/30 immunoprecipitating Bcl-2 in Jurkat (human T cell leukemia cell line from peripheral blood) cell lysate (Lane 1). Lane 2 - PBS. For western blotting, a HRP-conjugated anti-rabbit IgG, specific to the non-reduced form of IgG was used as the secondary antibody (1/1500).

Blocking buffer and concentration : 5% NFDM/TBST.

Diluting buffer and concentration : 5% NFDM /TBST.

This data was developed using the same antibody clone in a different buffer formulation containing PBS, BSA, glycerol, and sodium azide (ab32124).

All lanes:

Immunoprecipitation - Anti-Bcl-2 antibody [E17] (<a href='/en-us/products/primary-antibodies/bcl-2-antibody-e17-ab32124'>ab32124</a>)

Predicted band size: 26 kDa

Observed band size: 26 kDa

false

Western blot - Anti-Bcl-2 antibody [E17] - BSA and Azide free (AB185002)
  • WB

Lab

Western blot - Anti-Bcl-2 antibody [E17] - BSA and Azide free (AB185002)

This data was developed using the same antibody clone in a different buffer formulation (ab32124).

Lanes 1- 2 : Merged signal (red and green). Green - ab32124 observed at 26 kDa. Red - Anti-GAPDH antibody [6C5] - Loading Control (ab8245) observed at 37 kDa.

ab32124 was shown to react with Bcl-2 in wild-type HeLa cells in western blot. Loss of signal was observed when knockout cell line ab255364 (knockout cell lysate ab263752) was used. Wild-type HeLa and BCL2 knockout HeLa cell lysates were subjected to SDS-PAGE. Membrane was blocked for 1 hour at room temperature in 0.1% TBST with 3% non-fat dried milk. ab32124 and Anti-GAPDH antibody [6C5] - Loading Control (ab8245) overnight at 4°C at a 1 in 1000 dilution and a 1 in 20000 dilution respectively. Blots were developed with Goat anti-Rabbit IgG H&L (IRDye®800CW) preadsorbed (ab216773) and Goat anti-Mouse IgG H&L (IRDye®680RD) preadsorbed (ab216776) secondary antibodies at 1 in 20000 dilution for 1 hour at room temperature before imaging.

All lanes:

Western blot - Anti-Bcl-2 antibody [E17] (<a href='/en-us/products/primary-antibodies/bcl-2-antibody-e17-ab32124'>ab32124</a>) at 1/1000 dilution

Lane 1:

Wild-type HeLa cell lysate at 20 µg

Lane 2:

BCL2 knockout HeLa cell lysate at 20 µg

Lane 2:

Western blot - Human BCL2 knockout HeLa cell line (<a href='/en-us/products/cell-lines/human-bcl2-knockout-hela-cell-line-ab255364'>ab255364</a>)

Predicted band size: 26 kDa

Observed band size: 26 kDa

false

Western blot - Anti-Bcl-2 antibody [E17] - BSA and Azide free (AB185002)
  • WB

Lab

Western blot - Anti-Bcl-2 antibody [E17] - BSA and Azide free (AB185002)

Blocking buffer and concentration : 5% NFDM/TBST

Diluting buffer and concentration : 5% NFDM/TBST

All lanes:

Western blot - Anti-Bcl-2 antibody [E17] - BSA and Azide free (ab185002)

All lanes:

MCF-7 (human breast carcinoma) whole cell lysate at 10 µg

Secondary

All lanes:

Western blot - Goat Anti-Rabbit IgG H&L (HRP) (<a href='/en-us/products/secondary-antibodies/goat-rabbit-igg-h-l-hrp-ab97051'>ab97051</a>)

Predicted band size: 26 kDa

false

Exposure time: 3min

OI-RD Scanning - Anti-Bcl-2 antibody [E17] - BSA and Azide free (AB185002)
  • OI-RD Scanning

Unknown

OI-RD Scanning - Anti-Bcl-2 antibody [E17] - BSA and Azide free (AB185002)

We have systematically measured KD (the equilibrium dissociation constant between the antibody and its antigen), of more than 840 recombinant antibodies to assess not only their individual KD values but also to see the average affinity of antibody. Based on the comparison with published literature values for mouse monoclonal antibodies, Recombinant antibodies appear to be on average 1-2 order of magnitude higher affinity.

Key facts

Host species

Rabbit

Clonality

Monoclonal

Clone number

E17

Isotype

IgG

Carrier free

Yes

Reacts with

Human

Applications

IHC-P, IP, WB

applications

Immunogen

The exact immunogen used to generate this antibody is proprietary information.

Specificity

This antibody recognises Bcl-2. It does not cross-react with other Bcl-2 family members. Bcl-2 has two isoforms, one is around 26kDa and the other is around 20kDa (PMID: 26009263, PMID: 10400666, PMID: 32377726).

Reactivity data

{ "title": "Reactivity Data", "filters": { "stats": ["", "Species", "Dilution Info", "Notes"], "tabs": { "all-applications": {"fullname" : "All Applications", "shortname": "All Applications"}, "IP" : {"fullname" : "Immunoprecipitation", "shortname":"IP"}, "FlowCyt" : {"fullname" : "Flow Cytometry", "shortname":"Flow Cyt"}, "WB" : {"fullname" : "Western blot", "shortname":"WB"}, "ICCIF" : {"fullname" : "Immunocytochemistry/ Immunofluorescence", "shortname":"ICC/IF"}, "IHCP" : {"fullname" : "Immunohistochemistry (Formalin/PFA-fixed paraffin-embedded sections)", "shortname":"IHC-P"} }, "product-promise": { "all": "all", "testedAndGuaranteed": "tested", "guaranteed": "expected", "predicted": "predicted", "notRecommended": "not-recommended" } }, "values": { "Human": { "IP-species-checked": "testedAndGuaranteed", "IP-species-dilution-info": "", "IP-species-notes": "<p></p>", "FlowCyt-species-checked": "notRecommended", "FlowCyt-species-dilution-info": "", "FlowCyt-species-notes": "<p></p>", "WB-species-checked": "testedAndGuaranteed", "WB-species-dilution-info": "", "WB-species-notes": "<p>Please check the parent abID, <a href='/en-us/products/primary-antibodies/bcl-2-antibody-e17-ab32124'>ab32124</a>, for a recommended dilution.</p>", "ICCIF-species-checked": "notRecommended", "ICCIF-species-dilution-info": "", "ICCIF-species-notes": "<p></p>", "IHCP-species-checked": "testedAndGuaranteed", "IHCP-species-dilution-info": "", "IHCP-species-notes": "<p></p>" } } }

Product details

ab185002 is the carrier-free version of ab32124.

Patented technology
Our RabMAb® technology is a patented hybridoma-based technology for making rabbit monoclonal antibodies. For details on our patents, please refer to RabMAb® patents.

What are the advantages of a recombinant monoclonal antibody?
This product is a recombinant monoclonal antibody, which offers several advantages including:

  • - High batch-to-batch consistency and reproducibility
  • - Improved sensitivity and specificity
  • - Long-term security of supply
  • - Animal-free batch production

For more information, read more on recombinant antibodies.

Conjugation ready
Our carrier-free antibodies are typically supplied in a PBS-only formulation, purified and free of BSA, sodium azide and glycerol. This conjugation-ready format is designed for use with fluorochromes, metal isotopes, oligonucleotides, and enzymes, which makes them ideal for antibody labelling, functional and cell-based assays, flow-based assays (e.g. mass cytometry) and Multiplex Imaging applications.

Use our conjugation kits for antibody conjugates that are ready-to-use in as little as 20 minutes with 1 minute hands-on-time and 100% antibody recovery: available for fluorescent dyes, HRP, biotin and gold.

Compatibility
This product is compatible with the Maxpar® Antibody Labeling Kit from Fluidigm, without the need for antibody preparation. Maxpar® is a trademark of Fluidigm Canada Inc.

Properties and storage information

Form
Liquid
Purification technique
Affinity purification Protein A
Storage buffer
pH: 7.2 - 7.4 Constituents: PBS
Shipped at conditions
Blue Ice
Appropriate short-term storage conditions
+4°C
Appropriate long-term storage conditions
+4°C
Storage information
Do Not Freeze

Supplementary information

This supplementary information is collated from multiple sources and compiled automatically.

Bcl-2 also known as B-cell lymphoma 2 is an important protein involved in the regulation of apoptosis. It mechanically functions by inhibiting cell death and is a member of the Bcl-2 family of proteins. Bcl-2 has a molecular weight of approximately 26 kDa. It is expressed mainly in fetal and adult tissues including the immune system and is notably present in hematopoietic stem cells and various cell lines derived from lymphoid tissues. In laboratory practices scientists often assess Bcl-2 expression levels through techniques like western blotting using antibodies such as 10c4 for detection.
Biological function summary

The role of Bcl-2 extends to maintaining cell survival and balancing apoptotic signals. It functions as an anti-apoptotic molecule within the cell primarily involved in forming complexes with pro-apoptotic members of the Bcl-2 family like Bax and Bak. These interactions prevent mitochondrial membrane permeabilization which is an important step in apoptotic signal transduction. As an important regulator of apoptosis Bcl-2 helps in cellular homeostasis and appropriate immune responses under physiological conditions.

Pathways

Bcl-2 plays a critical role in the intrinsic or mitochondrial pathway of apoptosis. Within this pathway Bcl-2 interacts with other proteins such as cytochrome c and APAF-1 to inhibit apoptosis. This pathway involves a network of Bcl-2 family proteins where Bcl-2's anti-apoptotic role counteracts the pro-apoptotic activity of proteins like Bax. These interactions help fine-tune the apoptotic response to various internal stimuli maintaining cellular integrity and function.

The dysregulation of Bcl-2 expression has been implicated in cancer and autoimmune diseases. Overexpression of Bcl-2 is associated with several types of cancer including lymphomas and breast cancer where its anti-apoptotic property leads to tumor cell survival and resistance to chemotherapy. Bcl-2 also connects to disorders such as autoimmune diseases due to its regulation of cell survival with proteins like Bim playing an opposite role in promoting apoptosis. Understanding Bcl-2's functionality within these contexts is essential for developing targeted therapies.

Product protocols

For this product, it's our understanding that no specific protocols are required. You can visit:

Target data

Suppresses apoptosis in a variety of cell systems including factor-dependent lymphohematopoietic and neural cells (PubMed : 1508712, PubMed : 8183370). Regulates cell death by controlling the mitochondrial membrane permeability (PubMed : 11368354). Appears to function in a feedback loop system with caspases (PubMed : 11368354). Inhibits caspase activity either by preventing the release of cytochrome c from the mitochondria and/or by binding to the apoptosis-activating factor (APAF-1) (PubMed : 11368354). Also acts as an inhibitor of autophagy : interacts with BECN1 and AMBRA1 during non-starvation conditions and inhibits their autophagy function (PubMed : 18570871, PubMed : 20889974, PubMed : 21358617). May attenuate inflammation by impairing NLRP1-inflammasome activation, hence CASP1 activation and IL1B release (PubMed : 17418785).
See full target information BCL2

Publications (120)

Recent publications for all applications. Explore the full list and refine your search

Frontiers in immunology 16:1669800 PubMed41063986

2025

Single-cell multi-omics and nursing follow-up prognostic modeling reveal SLFN4-mediated neutrophil dysregulation in traumatic brain injury.

Applications

Unspecified application

Species

Unspecified reactive species

Wenping Tang,Yang Wang,Fu Zhao,Yang Hong,Lina Wang,Wanyan Xu,Fangfang Ding,Tingting Shi,Jing Ke,Li Zhuang,Yuan Wang,Hongling Jia,Huabao Cai,Xiumei Zhang,Wei Duan

Aging 15:12120-12135 PubMed37917013

2023

USP14 predicts poorer survival outcomes and promotes tumor progression in endometrial carcinoma by activating NF-κB signaling.

Applications

Unspecified application

Species

Unspecified reactive species

Xiaojin Gong,Li Jia,Lili Zhou,Tongxiu Hu

Inflammation 47:421-437 PubMed37898994

2023

lncRNA HOTAIRM1 Activated by HOXA4 Drives HUVEC Proliferation Through Direct Interaction with Protein Partner HSPA5.

Applications

Unspecified application

Species

Unspecified reactive species

Yu Zhou,Qiang Wu,Xiangshu Long,Youfu He,Jing Huang

Cell biology international 46:2018-2027 PubMed35989482

2022

LncRNA KCNQ1OT1 contributes to hydrogen peroxide-induced apoptosis, inflammation, and oxidative stress of cardiomyocytes via miR-130a-3p/ZNF791 axis.

Applications

Unspecified application

Species

Unspecified reactive species

Hong Xin,Chengliang Li,Tianzhi Cai,Jinlong Cao,Meixue Wang

Gut and liver 16:861-874 PubMed35686503

2022

Circ_0081143 Contributes to Gastric Cancer Malignant Development and Doxorubicin Resistance by Elevating the Expression of YES1 by Targeting mziR-129-2-3p.

Applications

Unspecified application

Species

Unspecified reactive species

Wenting Ou,Lin Lin,Rihong Chen,Qingwen Xu,Caijin Zhou

Applied biochemistry and biotechnology 194:3819-3832 PubMed35524876

2022

LncRNA LINC00665 Promotes Ovarian Cancer Cell Proliferation and Inhibits Apoptosis via Targeting miR-181a-5p/FHDC.

Applications

Unspecified application

Species

Unspecified reactive species

Suli Wang,Yingchun Wang,Jin Lu,Jinhua Wang

Cell death discovery 8:81 PubMed35210429

2022

The circular RNA hsa_circ_0001394 promotes hepatocellular carcinoma progression by targeting the miR-527/UBE2A axis.

Applications

WB

Species

Human

Yu Yan,Yu Nie,Chun Peng,Fuchen Xing,Saiguang Ji,Hong Liu,Chuandong Zhu

Bioengineered 13:4493-4516 PubMed35137671

2022

LncRNA miR-17-92a-1 cluster host gene (MIR17HG) promotes neuronal damage and microglial activation by targeting the microRNA-153-3p/alpha-synuclein axis in Parkinson's disease.

Applications

Unspecified application

Species

Unspecified reactive species

Jianzhong Zhang,Yun Yang,Chaoyang Zhou,Ronglan Zhu,Xiang Xiao,Bin Zhou,Dengfeng Wan

Frontiers in oncology 11:803278 PubMed35127513

2022

HCV Interplay With Mir34a: Implications in Hepatocellular Carcinoma.

Applications

Unspecified application

Species

Unspecified reactive species

Ester Badami,Claudia Carcione,Cinzia Maria Chinnici,Rosaria Tinnirello,Pier Giulio Conaldi,Gioacchin Iannolo

Annals of translational medicine 9:1722 PubMed35071416

2022

Aloe-emodin inhibits the proliferation, migration, and invasion of melanoma cells via inactivation of the Wnt/beta-catenin signaling pathway.

Applications

Unspecified application

Species

Unspecified reactive species

Maotao Du,Pan Shen,Ranjing Tan,Dengyan Wu,Shenghao Tu
View all publications

Product promise

We are committed to supporting your work with high-quality reagents, and we're here for you every step of the way. In the unlikely event that one of our products does not perform as expected, you're protected by our Product Promise.
For full details, please see our Terms & Conditions

Please note: All products are 'FOR RESEARCH USE ONLY. NOT FOR USE IN DIAGNOSTIC OR THERAPEUTIC PROCEDURES'.

For licensing inquiries, please contact partnerships@abcam.com