JavaScript is disabled in your browser. Please enable JavaScript to view this website.
AB219608

Anti-Bcl-2 antibody [EPR17509] - BSA and Azide free

Be the first to review this product! Submit a review

|

(2 Publications)

Anti-Bcl-2 antibody [EPR17509] - BSA and Azide free (ab219608) is a rabbit recombinant monoclonal antibody provided in a PBS only buffer for easy conjugation detecting Bcl-2 in Western Blot, Flow Cytometry, IHC-P. Suitable for Human, Mouse.

- KO validated for confirmed specificity
- BSA, sodium azide, and glycerol-free for easy conjugation
- Biophysical QC for unrivalled batch-batch consistency

View Alternative Names

Apoptosis regulator Bcl-2, BCL2

6 Images
Flow Cytometry (Intracellular) - Anti-Bcl-2 antibody [EPR17509] - BSA and Azide free (AB219608)
  • Flow Cyt (Intra)

Supplier Data

Flow Cytometry (Intracellular) - Anti-Bcl-2 antibody [EPR17509] - BSA and Azide free (AB219608)

Intracellular flow cytometric analysis of 4% paraformaldehyde-fixed Jurkat (Human T cell leukemia cells from peripheral blood) cells labeling Bcl-2 with ab182858 at 1/250 (red) compared with a rabbit monoclonal IgG isotype control (ab172730) (black) and a unlabelled control (cells without incubation with primary antibody and secondary antibody (blue)). Goat anti rabbit IgG (FITC) at 1/500 was used as the secondary antibody.

This data was developed using the same antibody clone in a different buffer formulation containing PBS, BSA, glycerol, and sodium azide (ab182858).

Immunohistochemistry (Formalin/PFA-fixed paraffin-embedded sections) - Anti-Bcl-2 antibody [EPR17509] - BSA and Azide free (AB219608)
  • IHC-P

Supplier Data

Immunohistochemistry (Formalin/PFA-fixed paraffin-embedded sections) - Anti-Bcl-2 antibody [EPR17509] - BSA and Azide free (AB219608)

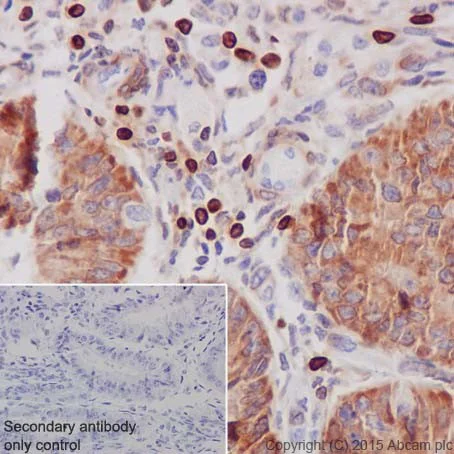
Immunohistochemical analysis of paraffin-embedded Human endometrial cancer tissue labeling Bcl-2 with ab182858 at 1/1000 followed by Goat Anti-Rabbit IgG H&L (HRP) (ab97051) at 1/500.

Cytoplasm, nuclear membrane and nucleus staining on lymphocytes and cancer cells of Human endometrial cancer tissue is observed.

Counter stained with Hematoxylin.
Negative control : Used PBS instead of primary antibody followed by ab97051 at 1/500.

Perform heat mediated antigen retrieval with Tris/EDTA buffer pH 9.0 before commencing with IHC staining protocol.

This data was developed using the same antibody clone in a different buffer formulation containing PBS, BSA, glycerol, and sodium azide (ab182858).

Immunohistochemistry (Formalin/PFA-fixed paraffin-embedded sections) - Anti-Bcl-2 antibody [EPR17509] - BSA and Azide free (AB219608)
  • IHC-P

Supplier Data

Immunohistochemistry (Formalin/PFA-fixed paraffin-embedded sections) - Anti-Bcl-2 antibody [EPR17509] - BSA and Azide free (AB219608)

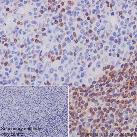
Immunohistochemical analysis of paraffin-embedded human tonsil tissue labeling Bcl-2 with ab182858 at 1/1000 followed by Goat Anti-Rabbit IgG H&L (HRP) (ab97051) at 1/500.

Cytoplasm, nuclear membrane and nucleus staining on lymphocytes of Human tonsil tissue is observed.

Counter stained with Hematoxylin.

Negative control : Used PBS instead of primary antibody followed by ab97051 at 1/500.

Perform heat mediated antigen retrieval with Tris/EDTA buffer pH 9.0 before commencing with IHC staining protocol.

This data was developed using the same antibody clone in a different buffer formulation containing PBS, BSA, glycerol, and sodium azide (ab182858).

Immunohistochemistry (Formalin/PFA-fixed paraffin-embedded sections) - Anti-Bcl-2 antibody [EPR17509] - BSA and Azide free (AB219608)
  • IHC-P

Supplier Data

Immunohistochemistry (Formalin/PFA-fixed paraffin-embedded sections) - Anti-Bcl-2 antibody [EPR17509] - BSA and Azide free (AB219608)

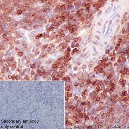
Immunohistochemical analysis of paraffin-embedded Mouse spleen tissue labeling Bcl-2 with ab182858 at 1/1000 followed by Goat Anti-Rabbit IgG H&L (HRP) (ab97051) at 1/500.

Cytoplasm, nuclear membrane and nucleus staining on lymphocytes of Mouse spleen tissue is observed.

Counter stained with Hematoxylin.
Negative control : Used PBS instead of primary antibody followed by ab97051 at 1/500.

Perform heat mediated antigen retrieval with Tris/EDTA buffer pH 9.0 before commencing with IHC staining protocol.

This data was developed using the same antibody clone in a different buffer formulation containing PBS, BSA, glycerol, and sodium azide (ab182858).

Western blot - Anti-Bcl-2 antibody [EPR17509] - BSA and Azide free (AB219608)
  • WB

Lab

Western blot - Anti-Bcl-2 antibody [EPR17509] - BSA and Azide free (AB219608)

This data was developed using the same antibody clone in a different buffer formulation (ab182858).

Lanes 1- 2 : Merged signal (red and green). Green - ab182858 observed at 26 kDa. Red - Anti-GAPDH antibody [6C5] - Loading Control (ab8245) observed at 37 kDa.

ab182858 was shown to react with Bcl-2 in wild-type HeLa cells in western blot. Loss of signal was observed when knockout cell line ab255364 (knockout cell lysate ab263752) was used. Wild-type HeLa and BCL2 knockout HeLa cell lysates were subjected to SDS-PAGE. Membrane was blocked for 1 hour at room temperature in 0.1% TBST with 3% non-fat dried milk. ab182858 and Anti-GAPDH antibody [6C5] - Loading Control (ab8245) overnight at 4°C at a 1 in 2000 dilution and a 1 in 20000 dilution respectively. Blots were developed with Goat anti-Rabbit IgG H&L (IRDye®800CW) preadsorbed (ab216773) and Goat anti-Mouse IgG H&L (IRDye®680RD) preadsorbed (ab216776) secondary antibodies at 1 in 20000 dilution for 1 hour at room temperature before imaging.

All lanes:

Western blot - Anti-Bcl-2 antibody [EPR17509] (<a href='/en-us/products/primary-antibodies/bcl-2-antibody-epr17509-ab182858'>ab182858</a>) at 1/2000 dilution

Lane 1:

Wild-type HeLa cell lysate at 20 µg

Lane 2:

BCL2 knockout HeLa cell lysate at 20 µg

Lane 2:

Western blot - Human BCL2 knockout HeLa cell line (<a href='/en-us/products/cell-lines/human-bcl2-knockout-hela-cell-line-ab255364'>ab255364</a>)

Predicted band size: 26 kDa

Observed band size: 26 kDa

false

Western blot - Anti-Bcl-2 antibody [EPR17509] - BSA and Azide free (AB219608)
  • WB

Lab

Western blot - Anti-Bcl-2 antibody [EPR17509] - BSA and Azide free (AB219608)

This data was developed using the same antibody clone in a different buffer formulation (ab182858).

Lanes 1 - 4 : Merged signal (red and green). Green - ab182858 observed at 26 kDa. Red - loading control, ab8245, observed at 37 kDa.

ab182858 was shown to specifically react with BCL2 when BCL2 knockout samples were used. Wild-type and BCL2 knockout samples were subjected to SDS-PAGE. ab182858 and ab8245 (Mouse anti GAPDH loading control) were incubated overnight at 4°C at 1 ug/ml and 1/10000 dilution respectively. Blots were developed with Goat anti-Rabbit IgG H&L (IRDye® 800CW) preabsorbed ab216773 and Goat anti-Mouse IgG H&L (IRDye® 680RD) preabsorbed ab216776 secondary antibodies at 1/10000 dilution for 1 hour at room temperature before imaging.

All lanes:

Western blot - Anti-Bcl-2 antibody [EPR17509] - BSA and Azide free (ab219608) at 1 µg/mL

Lane 1:

Wild-type HAP1 whole cell lysate at 20 µg/mL

Lane 2:

BCL2 knockout HAP1 whole cell lysate at 20 µg/mL

Lane 3:

HeLa whole cell lysate at 20 µg/mL

Lane 4:

THP-1 whole cell lysate at 20 µg/mL

Predicted band size: 26 kDa

Observed band size: 26 kDa

false

  • Unconjugated

    Anti-Bcl-2 antibody [EPR17509]

  • HRP

    HRP Anti-Bcl-2 antibody [EPR17509]

  • Carrier free

    Anti-Bcl-2 antibody [EPR17509] - BSA and Azide free (Detector)

Key facts

Host species

Rabbit

Clonality

Monoclonal

Clone number

EPR17509

Isotype

IgG

Carrier free

Yes

Reacts with

Mouse, Human

Applications

WB, IHC-P, Flow Cyt (Intra)

applications

Immunogen

The exact immunogen used to generate this antibody is proprietary information.

Reactivity data

{ "title": "Reactivity Data", "filters": { "stats": ["", "Species", "Dilution Info", "Notes"], "tabs": { "all-applications": {"fullname" : "All Applications", "shortname": "All Applications"}, "WB" : {"fullname" : "Western blot", "shortname":"WB"}, "ICCIF" : {"fullname" : "Immunocytochemistry/ Immunofluorescence", "shortname":"ICC/IF"}, "FlowCytIntra" : {"fullname" : "Flow Cytometry (Intracellular)", "shortname":"Flow Cyt (Intra)"}, "IHCP" : {"fullname" : "Immunohistochemistry (Formalin/PFA-fixed paraffin-embedded sections)", "shortname":"IHC-P"} }, "product-promise": { "all": "all", "testedAndGuaranteed": "tested", "guaranteed": "expected", "predicted": "predicted", "notRecommended": "not-recommended" } }, "values": { "Human": { "WB-species-checked": "testedAndGuaranteed", "WB-species-dilution-info": "", "WB-species-notes": "<p></p>", "ICCIF-species-checked": "notRecommended", "ICCIF-species-dilution-info": "", "ICCIF-species-notes": "<p></p>", "FlowCytIntra-species-checked": "testedAndGuaranteed", "FlowCytIntra-species-dilution-info": "", "FlowCytIntra-species-notes": "<p></p>", "IHCP-species-checked": "testedAndGuaranteed", "IHCP-species-dilution-info": "", "IHCP-species-notes": "<p></p>" }, "Mouse": { "WB-species-checked": "testedAndGuaranteed", "WB-species-dilution-info": "", "WB-species-notes": "<p></p>", "ICCIF-species-checked": "notRecommended", "ICCIF-species-dilution-info": "", "ICCIF-species-notes": "<p></p>", "FlowCytIntra-species-checked": "guaranteed", "FlowCytIntra-species-dilution-info": "", "FlowCytIntra-species-notes": "", "IHCP-species-checked": "testedAndGuaranteed", "IHCP-species-dilution-info": "", "IHCP-species-notes": "<p></p>" } } }

Product details

What is this antibody validated in?
Anti-Bcl-2 antibody [EPR17509] - BSA and Azide free (ab219608) is a rabbit recombinant monoclonal antibody and is validated for use in Western Blot (WB), Flow Cytometry (Intra), Flow Cytometry (Flow Cyt), Immunohistochemistry (IHC-P) in Human, Mouse samples.

What is the molecular weight of Bcl-2?
Anti-Bcl-2 [EPR17509] - BSA and Azide free (ab219608) specifically detects a band for Bcl-2 (UniProt: P10415) at a molecular weight of 26kDa.

Trial sizes available!
Test your antibody or perform pre-screening before committing to a larger quantity. Sold in 10µl. Discover our selection of trial-size antibodies.

Specificity confirmed
The specificity of Anti-Bcl-2 antibody [EPR17509] - BSA and Azide free (ab219608) has been confirmed by Western blot testing in BCL2 Knockout HAP1 cells.

Other related products
We have a range of other formats of antibody clone [EPR17509] also available for your convenience: ab182858, HRP - ab209039, Carrier free - ab219608, Carrier free - ab242336

Patented technology
Our RabMAb® technology is a patented hybridoma-based technology for making rabbit monoclonal antibodies. For details on our patents, please refer to RabMAb® patents.

Conjugation ready
Our carrier-free antibodies are typically supplied in a PBS-only formulation, purified and free of BSA, sodium azide and glycerol. This conjugation-ready format is designed for use with fluorochromes, metal isotopes, oligonucleotides, and enzymes, which makes them ideal for antibody labelling, functional and cell-based assays, flow-based assays (e.g. mass cytometry) and Multiplex Imaging applications.

Use our conjugation kits for antibody conjugates that are ready-to-use in as little as 20 minutes with 1 minute hands-on-time and 100% antibody recovery: available for fluorescent dyes, HRP, biotin and gold.

Compatibility
This product is compatible with the Maxpar® Antibody Labeling Kit from Fluidigm, without the need for antibody preparation. Maxpar® is a trademark of Fluidigm Canada Inc.

Properties and storage information

Form
Liquid
Purification technique
Affinity purification Protein A
Storage buffer
pH: 7.2 - 7.4 Constituents: PBS
Shipped at conditions
Blue Ice
Appropriate short-term storage conditions
+4°C
Appropriate long-term storage conditions
+4°C
Storage information
Do Not Freeze

Supplementary information

This supplementary information is collated from multiple sources and compiled automatically.

Bcl-2 also known as B-cell lymphoma 2 is an important protein involved in the regulation of apoptosis. It mechanically functions by inhibiting cell death and is a member of the Bcl-2 family of proteins. Bcl-2 has a molecular weight of approximately 26 kDa. It is expressed mainly in fetal and adult tissues including the immune system and is notably present in hematopoietic stem cells and various cell lines derived from lymphoid tissues. In laboratory practices scientists often assess Bcl-2 expression levels through techniques like western blotting using antibodies such as 10c4 for detection.
Biological function summary

The role of Bcl-2 extends to maintaining cell survival and balancing apoptotic signals. It functions as an anti-apoptotic molecule within the cell primarily involved in forming complexes with pro-apoptotic members of the Bcl-2 family like Bax and Bak. These interactions prevent mitochondrial membrane permeabilization which is an important step in apoptotic signal transduction. As an important regulator of apoptosis Bcl-2 helps in cellular homeostasis and appropriate immune responses under physiological conditions.

Pathways

Bcl-2 plays a critical role in the intrinsic or mitochondrial pathway of apoptosis. Within this pathway Bcl-2 interacts with other proteins such as cytochrome c and APAF-1 to inhibit apoptosis. This pathway involves a network of Bcl-2 family proteins where Bcl-2's anti-apoptotic role counteracts the pro-apoptotic activity of proteins like Bax. These interactions help fine-tune the apoptotic response to various internal stimuli maintaining cellular integrity and function.

The dysregulation of Bcl-2 expression has been implicated in cancer and autoimmune diseases. Overexpression of Bcl-2 is associated with several types of cancer including lymphomas and breast cancer where its anti-apoptotic property leads to tumor cell survival and resistance to chemotherapy. Bcl-2 also connects to disorders such as autoimmune diseases due to its regulation of cell survival with proteins like Bim playing an opposite role in promoting apoptosis. Understanding Bcl-2's functionality within these contexts is essential for developing targeted therapies.

Product protocols

For this product, it's our understanding that no specific protocols are required. You can visit:

Target data

Suppresses apoptosis in a variety of cell systems including factor-dependent lymphohematopoietic and neural cells (PubMed : 1508712, PubMed : 8183370). Regulates cell death by controlling the mitochondrial membrane permeability (PubMed : 11368354). Appears to function in a feedback loop system with caspases (PubMed : 11368354). Inhibits caspase activity either by preventing the release of cytochrome c from the mitochondria and/or by binding to the apoptosis-activating factor (APAF-1) (PubMed : 11368354). Also acts as an inhibitor of autophagy : interacts with BECN1 and AMBRA1 during non-starvation conditions and inhibits their autophagy function (PubMed : 18570871, PubMed : 20889974, PubMed : 21358617). May attenuate inflammation by impairing NLRP1-inflammasome activation, hence CASP1 activation and IL1B release (PubMed : 17418785).
See full target information BCL2

Publications (2)

Recent publications for all applications. Explore the full list and refine your search

Nature communications 13:7739 PubMed36517520

2022

Dynamic assembly of DNA-ceria nanocomplex in living cells generates artificial peroxisome.

Applications

Unspecified application

Species

Unspecified reactive species

Chi Yao,Yuwei Xu,Jianpu Tang,Pin Hu,Hedong Qi,Dayong Yang

The Journal of international medical research 48:300060519871407 PubMed32727237

2020

Involvement of natural killer cells in the pathogenesis of endometriosis in patients with pelvic pain.

Applications

Unspecified application

Species

Unspecified reactive species

Jue He,Yan Xu,Minhui Yi,Cancan Gu,Yi Zhu,Guohua Hu
View all publications

Product promise

We are committed to supporting your work with high-quality reagents, and we're here for you every step of the way. In the unlikely event that one of our products does not perform as expected, you're protected by our Product Promise.
For full details, please see our Terms & Conditions

Please note: All products are 'FOR RESEARCH USE ONLY. NOT FOR USE IN DIAGNOSTIC OR THERAPEUTIC PROCEDURES'.

For licensing inquiries, please contact partnerships@abcam.com