JavaScript is disabled in your browser. Please enable JavaScript to view this website.
AB252802

Anti-Bcl-2 antibody [NOR 235J] - BSA and Azide free

Be the first to review this product! Submit a review

|

(0 Publication)

Rat Recombinant Monoclonal Bcl-2 antibody. Carrier free. Suitable for WB, IHC-P and reacts with Human samples.

View Alternative Names

Apoptosis regulator Bcl-2, BCL2

3 Images
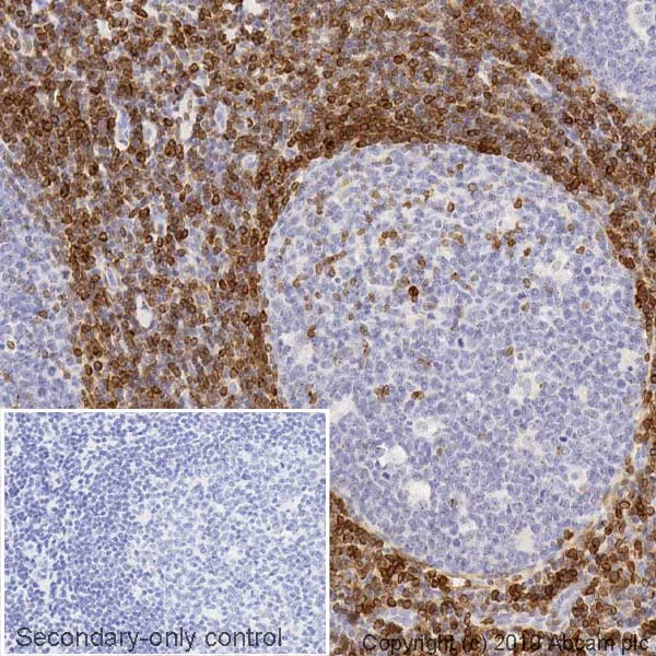
Immunohistochemistry (Formalin/PFA-fixed paraffin-embedded sections) - Anti-Bcl-2 antibody [NOR 235J] - BSA and Azide free (AB252802)
  • IHC-P

Lab

Immunohistochemistry (Formalin/PFA-fixed paraffin-embedded sections) - Anti-Bcl-2 antibody [NOR 235J] - BSA and Azide free (AB252802)

This image was produced using the same clone but in a different formulation, ab241548.

IHC image of Bcl-2 staining in a section of formalin-fixed paraffin-embedded normal human tonsil* performed on a Leica BOND™ system using the standard Protocol F.

The section was pre-treated using heat mediated antigen retrieval with sodium citrate buffer (pH6, epitope retrieval solution 1) for 20mins. The section was then incubated with ab241548, 0.98 μg/ml, for 15 mins at room temperature and detected using an HRP conjugated compact polymer system. DAB was used as the chromogen. The section was then counterstained with hematoxylin and mounted with DPX.

The inset secondary-only control image is taken from an identical assay without primary antibody.

For other IHC staining systems (automated and non-automated) customers should optimize variable parameters such as antigen retrieval conditions, primary antibody concentration and antibody incubation times.

*Tissue obtained from the Human Research Tissue Bank, supported by the NIHR Cambridge Biomedical Research Centre.

Western blot - Anti-Bcl-2 antibody [NOR 235J] - BSA and Azide free (AB252802)
  • WB

Lab

Western blot - Anti-Bcl-2 antibody [NOR 235J] - BSA and Azide free (AB252802)

Lanes 1 - 6 : Merged signal (red and green). Green - ab241548 observed at 26 kDa. Red - loading control ab181602 (Rabbit Anti-GAPDH antibody [EPR16891]) observed at 37 kDa.

ab241548 was shown to react with Bcl-2 in Western blot. Membranes were blocked in 3 % milk in TBS-T (0.1 % Tween) before incubation with ab241548 and ab181602 (Rabbit Anti-GAPDH antibody [EPR16891]) overnight at 4 °C at 0.5 μg/ml and a 1 in 20000 dilution respectively. Blots were incubated with Goat Anti-Rat IgG H&L (IRDye 800CW) (ab253031) and Goat anti-Rabbit IgG H&L (IRDye 680RD) preabsorbed (ab216777) secondary antibodies at 1 in 20000 dilution for 1 h at room temperature before imaging.

This image was produced using the same clone but in a different formulation, ab241548.

All lanes:

Western blot - Anti-Bcl-2 antibody [NOR 235J] (<a href='/en-us/products/primary-antibodies/bcl-2-antibody-nor-235j-ab241548'>ab241548</a>) at 0.5 µg/mL

Lane 1:

Wild-type HAP1 whole cell lysate at 20 µg

Lane 2:

BCL2 knockout HAP1 whole cell lysate at 20 µg

Lane 3:

NIH/3T3 whole cell lysate at 20 µg

Lane 4:

THP-1 whole cell lysate at 20 µg

Lane 5:

Human Spleen tissue lysate at 20 µg

Lane 6:

Mouse Spleen tissue lysate at 20 µg

Secondary

All lanes:

Goat Anti-Rat IgG H&L (IRDye® 800CW ) (ab253031) at 1/20000 dilution

Predicted band size: 26 kDa

false

Western blot - Anti-Bcl-2 antibody [NOR 235J] - BSA and Azide free (AB252802)
  • WB

Supplier Data

Western blot - Anti-Bcl-2 antibody [NOR 235J] - BSA and Azide free (AB252802)

Exposure time :

Lane 1,2,5 : 3 seconds

Lane 3,4 : 10 seconds

Blocking buffer / Diluting buffer and concentration : 5% NFDM/TBST.

This image was produced using the same clone but in a different formulation, ab241548.

All lanes:

Western blot - Anti-Bcl-2 antibody [NOR 235J] (<a href='/en-us/products/primary-antibodies/bcl-2-antibody-nor-235j-ab241548'>ab241548</a>) at 1/1000 dilution

Lane 1:

Jurkat (human T cell leukemia T lymphocyte), whole cell lysate at 20 µg

Lane 2:

U937 (human histiocytic lymphoma monocyte), Whole cell lysate at 20 µg

Lane 3:

HeLa (human cervix adenocarcinoma epithelial cell), whole cell lysate at 20 µg

Lane 4:

Raji (human Burkitt's lymphoma B lymphocyte), whole cell lysate at 20 µg

Lane 5:

Human tonsil tissue lysate at 20 µg

Secondary

All lanes:

Western blot - Goat Anti-Rat IgG H&L (HRP) (<a href='/en-us/products/secondary-antibodies/goat-rat-igg-h-l-hrp-ab205720'>ab205720</a>) at 1/10000 dilution

Predicted band size: 26 kDa

Observed band size: 26 kDa

false

Key facts

Host species

Rat

Clonality

Monoclonal

Clone number

NOR 235J

Isotype

IgG2b

Carrier free

Yes

Reacts with

Human

Applications

IHC-P, WB

applications

Immunogen

The exact immunogen used to generate this antibody is proprietary information.

Reactivity data

{ "title": "Reactivity Data", "filters": { "stats": ["", "Species", "Dilution Info", "Notes"], "tabs": { "all-applications": {"fullname" : "All Applications", "shortname": "All Applications"}, "WB" : {"fullname" : "Western blot", "shortname":"WB"}, "IHCP" : {"fullname" : "Immunohistochemistry (Formalin/PFA-fixed paraffin-embedded sections)", "shortname":"IHC-P"} }, "product-promise": { "all": "all", "testedAndGuaranteed": "tested", "guaranteed": "expected", "predicted": "predicted", "notRecommended": "not-recommended" } }, "values": { "Human": { "WB-species-checked": "testedAndGuaranteed", "WB-species-dilution-info": "", "WB-species-notes": "<p></p>", "IHCP-species-checked": "testedAndGuaranteed", "IHCP-species-dilution-info": "0.98 µg/mL", "IHCP-species-notes": "<p></p>" } } }

Product details

ab252802 is the carrier-free version of ab241548.

What are the advantages of a recombinant monoclonal antibody?
This product is a recombinant monoclonal antibody, which offers several advantages including:

  • - High batch-to-batch consistency and reproducibility
  • - Improved sensitivity and specificity
  • - Long-term security of supply
  • - Animal-free batch production

For more information, read more on recombinant antibodies.

Want a custom formulation?
This antibody clone is manufactured by Abcam. If you require a custom buffer formulation or conjugation for your experiments, please contact orders@abcam.com

Conjugation ready
Our carrier-free antibodies are typically supplied in a PBS-only formulation, purified and free of BSA, sodium azide and glycerol. This conjugation-ready format is designed for use with fluorochromes, metal isotopes, oligonucleotides, and enzymes, which makes them ideal for antibody labelling, functional and cell-based assays, flow-based assays (e.g. mass cytometry) and Multiplex Imaging applications.

Use our conjugation kits for antibody conjugates that are ready-to-use in as little as 20 minutes with 1 minute hands-on-time and 100% antibody recovery: available for fluorescent dyes, HRP, biotin and gold.

Compatibility
This product is compatible with the Maxpar® Antibody Labeling Kit from Fluidigm, without the need for antibody preparation. Maxpar® is a trademark of Fluidigm Canada Inc.

Properties and storage information

Form
Liquid
Purification technique
Affinity purification Protein G
Storage buffer
pH: 7.2 - 7.4 Constituents: PBS
Shipped at conditions
Blue Ice
Appropriate short-term storage conditions
+4°C
Appropriate long-term storage conditions
+4°C
Storage information
Do Not Freeze

Supplementary information

This supplementary information is collated from multiple sources and compiled automatically.

Bcl-2 also known as B-cell lymphoma 2 is an important protein involved in the regulation of apoptosis. It mechanically functions by inhibiting cell death and is a member of the Bcl-2 family of proteins. Bcl-2 has a molecular weight of approximately 26 kDa. It is expressed mainly in fetal and adult tissues including the immune system and is notably present in hematopoietic stem cells and various cell lines derived from lymphoid tissues. In laboratory practices scientists often assess Bcl-2 expression levels through techniques like western blotting using antibodies such as 10c4 for detection.
Biological function summary

The role of Bcl-2 extends to maintaining cell survival and balancing apoptotic signals. It functions as an anti-apoptotic molecule within the cell primarily involved in forming complexes with pro-apoptotic members of the Bcl-2 family like Bax and Bak. These interactions prevent mitochondrial membrane permeabilization which is an important step in apoptotic signal transduction. As an important regulator of apoptosis Bcl-2 helps in cellular homeostasis and appropriate immune responses under physiological conditions.

Pathways

Bcl-2 plays a critical role in the intrinsic or mitochondrial pathway of apoptosis. Within this pathway Bcl-2 interacts with other proteins such as cytochrome c and APAF-1 to inhibit apoptosis. This pathway involves a network of Bcl-2 family proteins where Bcl-2's anti-apoptotic role counteracts the pro-apoptotic activity of proteins like Bax. These interactions help fine-tune the apoptotic response to various internal stimuli maintaining cellular integrity and function.

The dysregulation of Bcl-2 expression has been implicated in cancer and autoimmune diseases. Overexpression of Bcl-2 is associated with several types of cancer including lymphomas and breast cancer where its anti-apoptotic property leads to tumor cell survival and resistance to chemotherapy. Bcl-2 also connects to disorders such as autoimmune diseases due to its regulation of cell survival with proteins like Bim playing an opposite role in promoting apoptosis. Understanding Bcl-2's functionality within these contexts is essential for developing targeted therapies.

Product protocols

For this product, it's our understanding that no specific protocols are required. You can visit:

Target data

Suppresses apoptosis in a variety of cell systems including factor-dependent lymphohematopoietic and neural cells (PubMed : 1508712, PubMed : 8183370). Regulates cell death by controlling the mitochondrial membrane permeability (PubMed : 11368354). Appears to function in a feedback loop system with caspases (PubMed : 11368354). Inhibits caspase activity either by preventing the release of cytochrome c from the mitochondria and/or by binding to the apoptosis-activating factor (APAF-1) (PubMed : 11368354). Also acts as an inhibitor of autophagy : interacts with BECN1 and AMBRA1 during non-starvation conditions and inhibits their autophagy function (PubMed : 18570871, PubMed : 20889974, PubMed : 21358617). May attenuate inflammation by impairing NLRP1-inflammasome activation, hence CASP1 activation and IL1B release (PubMed : 17418785).
See full target information BCL2

Product promise

We are committed to supporting your work with high-quality reagents, and we're here for you every step of the way. In the unlikely event that one of our products does not perform as expected, you're protected by our Product Promise.
For full details, please see our Terms & Conditions

Please note: All products are 'FOR RESEARCH USE ONLY. NOT FOR USE IN DIAGNOSTIC OR THERAPEUTIC PROCEDURES'.

For licensing inquiries, please contact partnerships@abcam.com