JavaScript is disabled in your browser. Please enable JavaScript to view this website.
AB270252

Anti-Bcl-2 antibody [SPM117]

Be the first to review this product! Submit a review

|

(1 Publication)

Mouse Monoclonal Bcl-2 antibody. Suitable for Flow Cyt, WB, IHC-P and reacts with Human samples. Cited in 1 publication. Immunogen corresponding to Synthetic Peptide within Human BCL2 aa 1-100.

View Alternative Names

Apoptosis regulator Bcl-2, BCL2

3 Images
Flow Cytometry - Anti-Bcl-2 antibody [SPM117] (AB270252)
  • Flow Cyt

Supplier Data

Flow Cytometry - Anti-Bcl-2 antibody [SPM117] (AB270252)

Flow Cytometry of Jurkat cells labeling Bcl-2 using ab270252 at 2μg/106 cells (Red) and isotype control (Green).

Western blot - Anti-Bcl-2 antibody [SPM117] (AB270252)
  • WB

Supplier Data

Western blot - Anti-Bcl-2 antibody [SPM117] (AB270252)

All lanes:

Western blot - Anti-Bcl-2 antibody [SPM117] (ab270252) at 2 µg/mL

All lanes:

MCF7 (human breast adenocarcinoma cell line) cell lysate

Predicted band size: 26 kDa

false

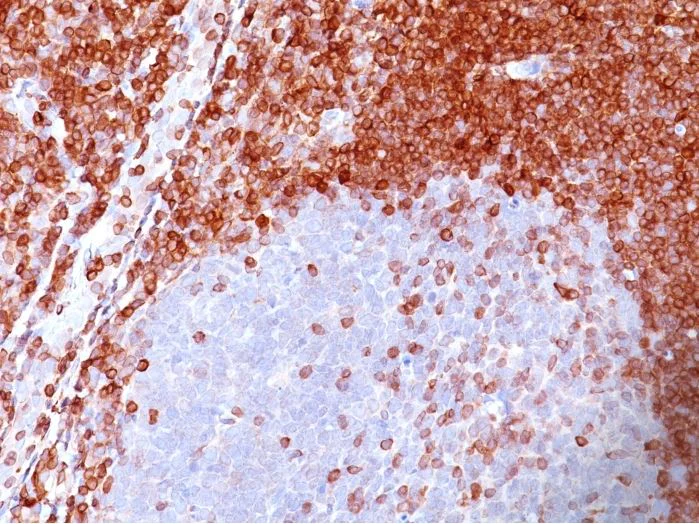
Immunohistochemistry (Formalin/PFA-fixed paraffin-embedded sections) - Anti-Bcl-2 antibody [SPM117] (AB270252)
  • IHC-P

Supplier Data

Immunohistochemistry (Formalin/PFA-fixed paraffin-embedded sections) - Anti-Bcl-2 antibody [SPM117] (AB270252)

Formalin-fixed, paraffin-embedded human non-Hodgkin's lymphoma tissue stained for Bcl-2 using ab270252 at 2µg/ml in immunohistochemical analysis.

Key facts

Host species

Mouse

Clonality

Monoclonal

Clone number

SPM117

Isotype

IgG1

Light chain type

kappa

Carrier free

No

Reacts with

Human

Applications

WB, IHC-P, Flow Cyt

applications

Immunogen

Synthetic Peptide within Human BCL2 aa 1-100. The exact immunogen used to generate this antibody is proprietary information.

P10415

Reactivity data

{ "title": "Reactivity Data", "filters": { "stats": ["", "Species", "Dilution Info", "Notes"], "tabs": { "all-applications": {"fullname" : "All Applications", "shortname": "All Applications"}, "FlowCyt" : {"fullname" : "Flow Cytometry", "shortname":"Flow Cyt"}, "WB" : {"fullname" : "Western blot", "shortname":"WB"}, "IHCP" : {"fullname" : "Immunohistochemistry (Formalin/PFA-fixed paraffin-embedded sections)", "shortname":"IHC-P"} }, "product-promise": { "all": "all", "testedAndGuaranteed": "tested", "guaranteed": "expected", "predicted": "predicted", "notRecommended": "not-recommended" } }, "values": { "Human": { "FlowCyt-species-checked": "testedAndGuaranteed", "FlowCyt-species-dilution-info": "1-2 µg for 10^6 Cells", "FlowCyt-species-notes": "<p></p>", "WB-species-checked": "testedAndGuaranteed", "WB-species-dilution-info": "1-2 µg/mL", "WB-species-notes": "<p></p>", "IHCP-species-checked": "testedAndGuaranteed", "IHCP-species-dilution-info": "1-2 µg/mL", "IHCP-species-notes": "<p></p> Perform heat-mediated antigen retrieval with Tris/EDTA buffer pH 9.0 before commencing with IHC staining protocol." } } }

Properties and storage information

Form
Liquid
Purification technique
Affinity purification Protein A/G
Purification notes
Purified from Bioreactor Concentrate.
Storage buffer
pH: 7.2 - 7.4 Preservative: 0.05% Sodium azide Constituents: PBS, 0.05% BSA
Shipped at conditions
Blue Ice
Appropriate short-term storage duration
1-2 weeks
Appropriate short-term storage conditions
+4°C
Appropriate long-term storage conditions
-20°C
Aliquoting information
Upon delivery aliquot
Storage information
Avoid freeze / thaw cycle

Supplementary information

This supplementary information is collated from multiple sources and compiled automatically.

Bcl-2 also known as B-cell lymphoma 2 is an important protein involved in the regulation of apoptosis. It mechanically functions by inhibiting cell death and is a member of the Bcl-2 family of proteins. Bcl-2 has a molecular weight of approximately 26 kDa. It is expressed mainly in fetal and adult tissues including the immune system and is notably present in hematopoietic stem cells and various cell lines derived from lymphoid tissues. In laboratory practices scientists often assess Bcl-2 expression levels through techniques like western blotting using antibodies such as 10c4 for detection.
Biological function summary

The role of Bcl-2 extends to maintaining cell survival and balancing apoptotic signals. It functions as an anti-apoptotic molecule within the cell primarily involved in forming complexes with pro-apoptotic members of the Bcl-2 family like Bax and Bak. These interactions prevent mitochondrial membrane permeabilization which is an important step in apoptotic signal transduction. As an important regulator of apoptosis Bcl-2 helps in cellular homeostasis and appropriate immune responses under physiological conditions.

Pathways

Bcl-2 plays a critical role in the intrinsic or mitochondrial pathway of apoptosis. Within this pathway Bcl-2 interacts with other proteins such as cytochrome c and APAF-1 to inhibit apoptosis. This pathway involves a network of Bcl-2 family proteins where Bcl-2's anti-apoptotic role counteracts the pro-apoptotic activity of proteins like Bax. These interactions help fine-tune the apoptotic response to various internal stimuli maintaining cellular integrity and function.

The dysregulation of Bcl-2 expression has been implicated in cancer and autoimmune diseases. Overexpression of Bcl-2 is associated with several types of cancer including lymphomas and breast cancer where its anti-apoptotic property leads to tumor cell survival and resistance to chemotherapy. Bcl-2 also connects to disorders such as autoimmune diseases due to its regulation of cell survival with proteins like Bim playing an opposite role in promoting apoptosis. Understanding Bcl-2's functionality within these contexts is essential for developing targeted therapies.

Product protocols

For this product, it's our understanding that no specific protocols are required. You can visit:

Target data

Suppresses apoptosis in a variety of cell systems including factor-dependent lymphohematopoietic and neural cells (PubMed : 1508712, PubMed : 8183370). Regulates cell death by controlling the mitochondrial membrane permeability (PubMed : 11368354). Appears to function in a feedback loop system with caspases (PubMed : 11368354). Inhibits caspase activity either by preventing the release of cytochrome c from the mitochondria and/or by binding to the apoptosis-activating factor (APAF-1) (PubMed : 11368354). Also acts as an inhibitor of autophagy : interacts with BECN1 and AMBRA1 during non-starvation conditions and inhibits their autophagy function (PubMed : 18570871, PubMed : 20889974, PubMed : 21358617). May attenuate inflammation by impairing NLRP1-inflammasome activation, hence CASP1 activation and IL1B release (PubMed : 17418785).
See full target information BCL2

Publications (1)

Recent publications for all applications. Explore the full list and refine your search

International journal of stem cells 18:49-58 PubMed38973150

2024

The Differential Developmental Neurotoxicity of Valproic Acid on Anterior and Posterior Neural Induction of Human Pluripotent Stem Cells.

Applications

Unspecified application

Species

Unspecified reactive species

Jeongah Kim,Si-Hyung Park,Woong Sun
View all publications

Product promise

We are committed to supporting your work with high-quality reagents, and we're here for you every step of the way. In the unlikely event that one of our products does not perform as expected, you're protected by our Product Promise.
For full details, please see our Terms & Conditions

Please note: All products are 'FOR RESEARCH USE ONLY. NOT FOR USE IN DIAGNOSTIC OR THERAPEUTIC PROCEDURES'.

For licensing inquiries, please contact partnerships@abcam.com