JavaScript is disabled in your browser. Please enable JavaScript to view this website.
AB252800

Anti-Bcl 7A antibody [15C] - BSA and Azide free

Be the first to review this product! Submit a review

|

(0 Publication)

Mouse Recombinant Monoclonal Bcl 7A antibody. Carrier free. Suitable for IHC-P and reacts with Human samples.

View Alternative Names

B-cell CLL/lymphoma 7 protein family member A, BCL7A

1 Images
Immunohistochemistry (Formalin/PFA-fixed paraffin-embedded sections) - Anti-Bcl 7A antibody [15C] - BSA and Azide free (AB252800)
  • IHC-P

Supplier Data

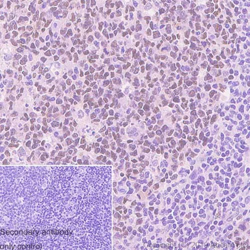
Immunohistochemistry (Formalin/PFA-fixed paraffin-embedded sections) - Anti-Bcl 7A antibody [15C] - BSA and Azide free (AB252800)

Immunohistochemical analysis of paraffin-embedded human tonsil tissue labeling Bcl 7A with ab241550 at 2.385 μg/ml, followed by Goat Anti-Mouse IgG H&L (HRP polymer) (ab214879) ready to use. Nuclear staining on the tonsil is observed. Counter stained with hematoxylin.

Secondary antibody only control : Used PBS instead of primary antibody, secondary antibody Goat Anti-Mouse IgG H&L (HRP polymer) (ab214879) ready to use.

Heat mediated antigen retrieval using ab93684 (Tris/EDTA buffer, pH 9.0).

The section was incubated with ab241550 for 30 mins at room temperature.

The immunostaining staining was performed on a Leica Biosystems BOND® RX instrument

This data was developed using the same antibody clone in a different buffer formulation containing PBS, BSA, glycerol and azide (ab241550).

Key facts

Host species

Mouse

Clonality

Monoclonal

Clone number

15C

Isotype

IgG

Carrier free

Yes

Reacts with

Human

Applications

IHC-P

applications

Immunogen

The exact immunogen used to generate this antibody is proprietary information.

Reactivity data

{ "title": "Reactivity Data", "filters": { "stats": ["", "Species", "Dilution Info", "Notes"], "tabs": { "all-applications": {"fullname" : "All Applications", "shortname": "All Applications"}, "IP" : {"fullname" : "Immunoprecipitation", "shortname":"IP"}, "FlowCyt" : {"fullname" : "Flow Cytometry", "shortname":"Flow Cyt"}, "WB" : {"fullname" : "Western blot", "shortname":"WB"}, "ICCIF" : {"fullname" : "Immunocytochemistry/ Immunofluorescence", "shortname":"ICC/IF"}, "IHCP" : {"fullname" : "Immunohistochemistry (Formalin/PFA-fixed paraffin-embedded sections)", "shortname":"IHC-P"} }, "product-promise": { "all": "all", "testedAndGuaranteed": "tested", "guaranteed": "expected", "predicted": "predicted", "notRecommended": "not-recommended" } }, "values": { "Human": { "IP-species-checked": "notRecommended", "IP-species-dilution-info": "", "IP-species-notes": "<p></p>", "FlowCyt-species-checked": "notRecommended", "FlowCyt-species-dilution-info": "", "FlowCyt-species-notes": "<p></p>", "WB-species-checked": "notRecommended", "WB-species-dilution-info": "", "WB-species-notes": "<p></p>", "ICCIF-species-checked": "notRecommended", "ICCIF-species-dilution-info": "", "ICCIF-species-notes": "<p></p>", "IHCP-species-checked": "testedAndGuaranteed", "IHCP-species-dilution-info": "2.385 µg/mL", "IHCP-species-notes": "<p></p>" } } }

Product details

ab252800 is the carrier-free version of ab241550.

What are the advantages of a recombinant monoclonal antibody?
This product is a recombinant monoclonal antibody, which offers several advantages including:

  • - High batch-to-batch consistency and reproducibility
  • - Improved sensitivity and specificity
  • - Long-term security of supply
  • - Animal-free batch production

For more information, read more on recombinant antibodies.

Want a custom formulation?
This antibody clone is manufactured by Abcam. If you require a custom buffer formulation or conjugation for your experiments, please contact orders@abcam.com

Conjugation ready
Our carrier-free antibodies are typically supplied in a PBS-only formulation, purified and free of BSA, sodium azide and glycerol. This conjugation-ready format is designed for use with fluorochromes, metal isotopes, oligonucleotides, and enzymes, which makes them ideal for antibody labelling, functional and cell-based assays, flow-based assays (e.g. mass cytometry) and Multiplex Imaging applications.

Use our conjugation kits for antibody conjugates that are ready-to-use in as little as 20 minutes with 1 minute hands-on-time and 100% antibody recovery: available for fluorescent dyes, HRP, biotin and gold.

Compatibility
This product is compatible with the Maxpar® Antibody Labeling Kit from Fluidigm, without the need for antibody preparation. Maxpar® is a trademark of Fluidigm Canada Inc.

Properties and storage information

Form
Liquid
Purification technique
Affinity purification Protein A
Storage buffer
pH: 7.2 - 7.4 Constituents: PBS
Shipped at conditions
Blue Ice
Appropriate short-term storage conditions
+4°C
Appropriate long-term storage conditions
+4°C
Storage information
Do Not Freeze

Supplementary information

This supplementary information is collated from multiple sources and compiled automatically.

Bcl 7A also known as B-cell CLL/lymphoma 7 protein family member A plays a role in cell regulation. It is a protein with a mass of approximately 23 kDa. Bcl 7A is expressed in several tissues notably the immune system including B cells. This expression pattern suggests its function is significant in cellular processes related to this system.
Biological function summary

Bcl 7A plays a role in apoptosis regulation affecting cell survival and death. It is part of a multiprotein complex and collaborates with other Bcl family members to maintain balance between cell survival and programmed cell death. The protein is necessary for proper lymphocyte development contributing to the immune response.

Pathways

Bcl 7A functions in the Wnt signaling pathway which is important for various developmental processes and cancer pathways. Bcl 7A interacts with other proteins like β-catenin facilitating the modulation of transcription of Wnt target genes. The protein’s involvement in apoptosis influences pathways important for maintaining cellular homeostasis.

Altered Bcl 7A function is associated with non-Hodgkin's lymphoma and chronic lymphocytic leukemia. Its irregular expression or mutation can lead to uncontrolled cell growth representing a step in lymphomagenesis. Bcl 7A interacts with Bcl-xL another member of the Bcl family in these contexts impacting the progression of these disorders.

Product protocols

For this product, it's our understanding that no specific protocols are required. You can visit:

Product promise

We are committed to supporting your work with high-quality reagents, and we're here for you every step of the way. In the unlikely event that one of our products does not perform as expected, you're protected by our Product Promise.
For full details, please see our Terms & Conditions

Please note: All products are 'FOR RESEARCH USE ONLY. NOT FOR USE IN DIAGNOSTIC OR THERAPEUTIC PROCEDURES'.

For licensing inquiries, please contact partnerships@abcam.com