JavaScript is disabled in your browser. Please enable JavaScript to view this website.
AB137362

Anti-Bcl 7A antibody - C-terminal

Be the first to review this product! Submit a review

|

(1 Publication)

Rabbit Polyclonal Bcl 7A antibody. Suitable for IHC-P, WB and reacts with Human, Mouse samples. Cited in 1 publication. Immunogen corresponding to Recombinant Fragment Protein within Human BCL7A aa 100 to C-terminus.

View Alternative Names

B-cell CLL/lymphoma 7 protein family member A, BCL7A

4 Images
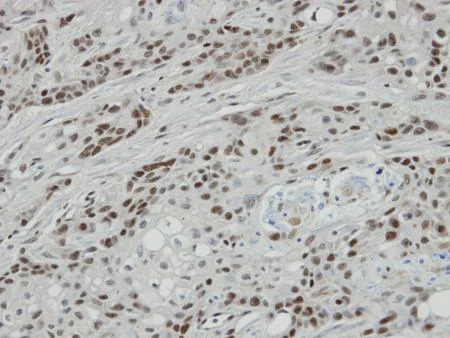
Immunohistochemistry (Formalin/PFA-fixed paraffin-embedded sections) - Anti-Bcl 7A antibody - C-terminal (AB137362)
  • IHC-P

Unknown

Immunohistochemistry (Formalin/PFA-fixed paraffin-embedded sections) - Anti-Bcl 7A antibody - C-terminal (AB137362)

Immunohistochemical analysis of paraffin-embedded Human oral CA cell line Ca922 xenograft labelling Bcl 7A with ab137362 at 1/100 dilution.

Western blot - Anti-Bcl 7A antibody - C-terminal (AB137362)
  • WB

Unknown

Western blot - Anti-Bcl 7A antibody - C-terminal (AB137362)

15% SDS PAGE

All lanes:

Western blot - Anti-Bcl 7A antibody - C-terminal (ab137362) at 1/1000 dilution

All lanes:

HeLa S3 cell lysate at 30 µg

Predicted band size: 22 kDa

false

Western blot - Anti-Bcl 7A antibody - C-terminal (AB137362)
  • WB

Supplier Data

Western blot - Anti-Bcl 7A antibody - C-terminal (AB137362)

Samples were separated by 12% SDS-PAGE.

All lanes:

Western blot - Anti-Bcl 7A antibody - C-terminal (ab137362) at 1/1000 dilution

Lane 1:

Neuro2A whole cell lysates at 30 µg

Lane 2:

GL261 whole cell lysates at 30 µg

Predicted band size: 23 kDa

false

Immunohistochemistry (Formalin/PFA-fixed paraffin-embedded sections) - Anti-Bcl 7A antibody - C-terminal (AB137362)
  • IHC-P

Supplier Data

Immunohistochemistry (Formalin/PFA-fixed paraffin-embedded sections) - Anti-Bcl 7A antibody - C-terminal (AB137362)

Immunohistochemical analysis of paraffin-embedded mouse lung tissue labelling BCL7A protein at nucleus with ab137362 at a 1/500 dilution.
Antigen retrieval : EDTA based, pH 8.0 buffer, 15min

Key facts

Host species

Rabbit

Clonality

Polyclonal

Isotype

IgG

Carrier free

No

Reacts with

Mouse, Human

Applications

IHC-P, WB

applications

Immunogen

Recombinant Fragment Protein within Human BCL7A aa 100 to C-terminus. The exact immunogen used to generate this antibody is proprietary information.

Q4VC05

Reactivity data

{ "title": "Reactivity Data", "filters": { "stats": ["", "Species", "Dilution Info", "Notes"], "tabs": { "all-applications": {"fullname" : "All Applications", "shortname": "All Applications"}, "IHCP" : {"fullname" : "Immunohistochemistry (Formalin/PFA-fixed paraffin-embedded sections)", "shortname":"IHC-P"}, "WB" : {"fullname" : "Western blot", "shortname":"WB"} }, "product-promise": { "all": "all", "testedAndGuaranteed": "tested", "guaranteed": "expected", "predicted": "predicted", "notRecommended": "not-recommended" } }, "values": { "Human": { "IHCP-species-checked": "testedAndGuaranteed", "IHCP-species-dilution-info": "1/100 - 1/1000", "IHCP-species-notes": "<p>Antigen retrieval using heat mediated Tris-EDTA buffer (pH8.0) is also possible.</p> Perform heat-mediated antigen retrieval with citrate buffer pH 6 before commencing with IHC staining protocol.", "WB-species-checked": "testedAndGuaranteed", "WB-species-dilution-info": "1/500 - 1/3000", "WB-species-notes": "<p></p>" }, "Mouse": { "IHCP-species-checked": "testedAndGuaranteed", "IHCP-species-dilution-info": "1/100 - 1/1000", "IHCP-species-notes": "<p></p>", "WB-species-checked": "testedAndGuaranteed", "WB-species-dilution-info": "1/500 - 1/3000", "WB-species-notes": "<p></p>" } } }

Properties and storage information

Form
Liquid
Purification technique
Affinity purification Immunogen
Storage buffer
pH: 7 Preservative: 0.01% Thimerosal (merthiolate) Constituents: PBS, 20% Glycerol (glycerin, glycerine)
Shipped at conditions
Blue Ice
Appropriate short-term storage conditions
+4°C
Appropriate long-term storage conditions
-20°C
Aliquoting information
Upon delivery aliquot
Storage information
Avoid freeze / thaw cycle

Supplementary information

This supplementary information is collated from multiple sources and compiled automatically.

Bcl 7A also known as B-cell CLL/lymphoma 7 protein family member A plays a role in cell regulation. It is a protein with a mass of approximately 23 kDa. Bcl 7A is expressed in several tissues notably the immune system including B cells. This expression pattern suggests its function is significant in cellular processes related to this system.
Biological function summary

Bcl 7A plays a role in apoptosis regulation affecting cell survival and death. It is part of a multiprotein complex and collaborates with other Bcl family members to maintain balance between cell survival and programmed cell death. The protein is necessary for proper lymphocyte development contributing to the immune response.

Pathways

Bcl 7A functions in the Wnt signaling pathway which is important for various developmental processes and cancer pathways. Bcl 7A interacts with other proteins like β-catenin facilitating the modulation of transcription of Wnt target genes. The protein’s involvement in apoptosis influences pathways important for maintaining cellular homeostasis.

Altered Bcl 7A function is associated with non-Hodgkin's lymphoma and chronic lymphocytic leukemia. Its irregular expression or mutation can lead to uncontrolled cell growth representing a step in lymphomagenesis. Bcl 7A interacts with Bcl-xL another member of the Bcl family in these contexts impacting the progression of these disorders.

Product protocols

For this product, it's our understanding that no specific protocols are required. You can visit:

Publications (1)

Recent publications for all applications. Explore the full list and refine your search

Frontiers in veterinary science 11:1413523 PubMed39220769

2024

: possible mechanism of infection of goat uterus and its effects on uterine autophagy and cell apoptosis.

Applications

Unspecified application

Species

Unspecified reactive species

Hailong Hong,Yunhai Hu,Siyuan Shi,Ben Liu,Wenya Zheng,Ruonan Bo,Zhongjie Xu,Yifan Wu,Yu Cao
View all publications

Product promise

We are committed to supporting your work with high-quality reagents, and we're here for you every step of the way. In the unlikely event that one of our products does not perform as expected, you're protected by our Product Promise.
For full details, please see our Terms & Conditions

Please note: All products are 'FOR RESEARCH USE ONLY. NOT FOR USE IN DIAGNOSTIC OR THERAPEUTIC PROCEDURES'.

For licensing inquiries, please contact partnerships@abcam.com