JavaScript is disabled in your browser. Please enable JavaScript to view this website.
AB282012

Anti-Bcl 7A antibody [EPR24162-226] - BSA and Azide free

Be the first to review this product! Submit a review

|

(0 Publication)

Rabbit Recombinant Monoclonal Bcl 7A antibody. Carrier free. Suitable for ICC/IF, IP, WB, Flow Cyt (Intra), IHC-P and reacts with Mouse, Human, Rat samples.

View Alternative Names

B-cell CLL/lymphoma 7 protein family member A, BCL7A

12 Images
Immunocytochemistry/ Immunofluorescence - Anti-Bcl 7A antibody [EPR24162-226] - BSA and Azide free (AB282012)
  • ICC/IF

Supplier Data

Immunocytochemistry/ Immunofluorescence - Anti-Bcl 7A antibody [EPR24162-226] - BSA and Azide free (AB282012)

This data was developed using ab259833, the same antibody clone in a different buffer formulation.

Immunofluorescent analysis of 4% Paraformaldehyde-fixed, 0.1% Triton X-100 permeabilized HEK-293T cells labelling Bcl 7A with ab259833 at 1/50 (9.26 ug/ml) dilution, followed by ab150077 Goat Anti-Rabbit IgG H&L (Alexa Fluor® 488) antibody at 1/1000 dilution (Green). Confocal image showing mostly nuclear staining in HEK-293T cell line is observed. ab195889 Anti-alpha Tubulin mouse monoclonal antibody - Microtubule Marker (Alexa Fluor® 594) was used to counterstain tubulin at 1/200 dilution (Red). The Nuclear counterstain was DAPI (Blue).

Secondary antibody only control : Secondary antibody is ab150077 Goat Anti-Rabbit IgG H&L (Alexa Fluor® 488) at 1/1000 dilution.

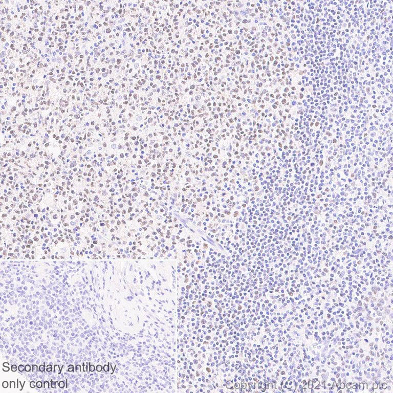
Immunohistochemistry (Formalin/PFA-fixed paraffin-embedded sections) - Anti-Bcl 7A antibody [EPR24162-226] - BSA and Azide free (AB282012)
  • IHC-P

Supplier Data

Immunohistochemistry (Formalin/PFA-fixed paraffin-embedded sections) - Anti-Bcl 7A antibody [EPR24162-226] - BSA and Azide free (AB282012)

This data was developed using ab259833, the same antibody clone in a different buffer formulation.

Immunohistochemical analysis of paraffin-embedded Human tonsil tissue labelling Bcl 7A with ab259833 at 1/20000 (0.023 ug/ml) dilution followed by a ready to use LeicaDS9800 (Bond™ Polymer Refine Detection). Nuclear staining on human tonsil (PMID : 23063359). The section was incubated with ab259833 for 10 mins at room temperature. The immunostaining was performed on a Leica Biosystems BOND® RX instrument. Counterstained with Hematoxylin.

Secondary antibody only control : Secondary antibody is a ready to use LeicaDS9800 (Bond™ Polymer Refine Detection).

Heat mediated antigen retrieval with Tris-EDTA buffer (pH 9.0, epitope retrieval solution2) for 20 mins

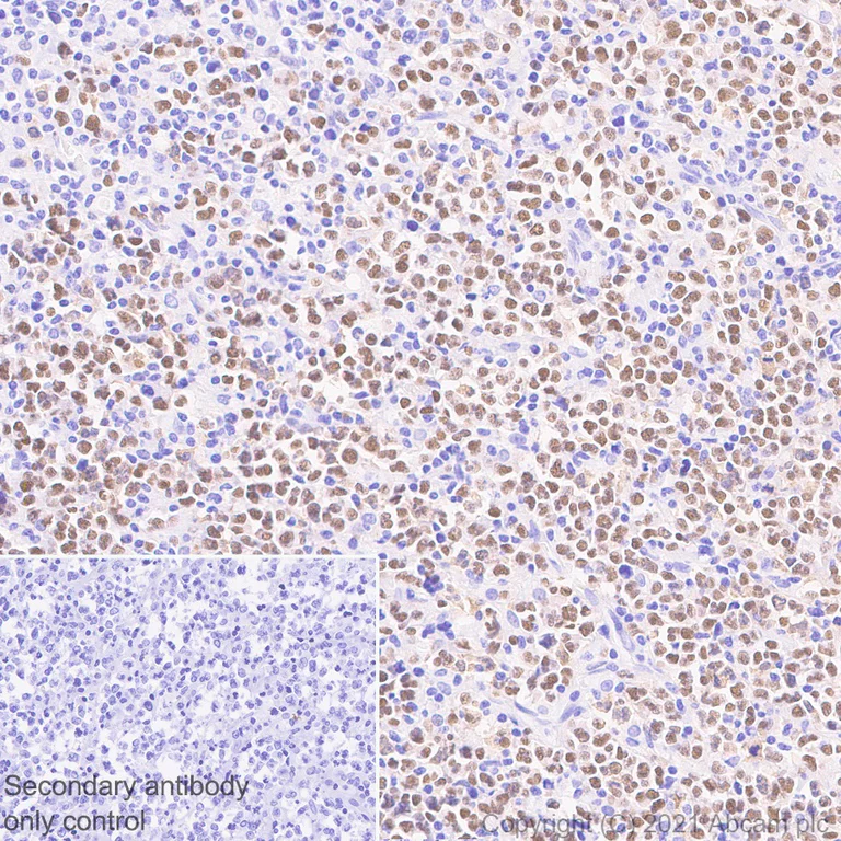
Immunohistochemistry (Formalin/PFA-fixed paraffin-embedded sections) - Anti-Bcl 7A antibody [EPR24162-226] - BSA and Azide free (AB282012)
  • IHC-P

Supplier Data

Immunohistochemistry (Formalin/PFA-fixed paraffin-embedded sections) - Anti-Bcl 7A antibody [EPR24162-226] - BSA and Azide free (AB282012)

This data was developed using ab259833, the same antibody clone in a different buffer formulation.

Immunohistochemical analysis of paraffin-embedded Human B cell lymphoma tissue labelling Bcl 7A with ab259833 at 1/20000 (0.023 ug/ml) dilution followed by a ready to use LeicaDS9800 (Bond™ Polymer Refine Detection). Nuclear staining on human B cell lymphoma (PMID : 22856870). The section was incubated with ab259833 for 10 mins at room temperature. The immunostaining was performed on a Leica Biosystems BOND® RX instrument. Counterstained with Hematoxylin.

Secondary antibody only control : Secondary antibody is a ready to use LeicaDS9800 (Bond™ Polymer Refine Detection).

Heat mediated antigen retrieval with Tris-EDTA buffer (pH 9.0, epitope retrieval solution2) for 20 mins

Flow Cytometry (Intracellular) - Anti-Bcl 7A antibody [EPR24162-226] - BSA and Azide free (AB282012)
  • Flow Cyt (Intra)

Supplier Data

Flow Cytometry (Intracellular) - Anti-Bcl 7A antibody [EPR24162-226] - BSA and Azide free (AB282012)

This data was developed using ab259833, the same antibody clone in a different buffer formulation.

Flow cytometric analysis of 4% paraformaldehyde fixed 90% methanol permeabilized HEK-293 (Human embryonic kidney epithelial cell) cells labelling Bcl 7A with ab259833 at 1/500 dilution (0.1ug)/(Red) compared with a Rabbit monoclonal IgG (ab172730) (Black) isotype control and an unlabelled control (cells without incubation with primary antibody and secondary antibody) (Blue). A Goat anti rabbit IgG (Alexa Fluor® 488, ab150077) at 1/2000 dilution was used as the secondary antibody.

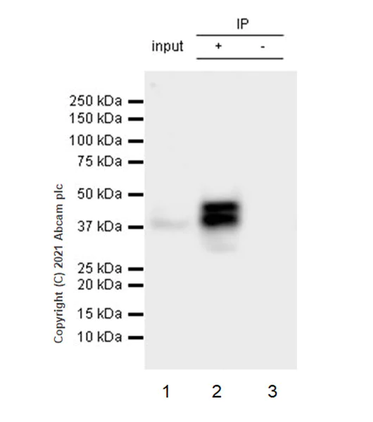
Immunoprecipitation - Anti-Bcl 7A antibody [EPR24162-226] - BSA and Azide free (AB282012)
  • IP

Supplier Data

Immunoprecipitation - Anti-Bcl 7A antibody [EPR24162-226] - BSA and Azide free (AB282012)

This data was developed using ab259833, the same antibody clone in a different buffer formulation.

Bcl 7A was immunoprecipitated from 0.35 mg HEK-293 (human embryonic kidney epithelial cell) whole cell lysate with ab259833 at 1/30 dilution (2ug in 0.35mg lysates). Western blot was performed on the immunoprecipitate using ab259833 at 1/1000 dilution. VeriBlot for IP secondary antibody(HRP)(ab131366) was used at 1/5000 dilution.

Lane 1 : HEK-293 (human embryonic kidney epithelial cell) whole cell lysate 10 ug

Lane 2 : ab259833 IP in HEK-293 whole cell lysate

Lane 3 : Rabbit monoclonal IgG (ab172730) instead of ab259833 in HEK-293 whole cell lysate

Blocking and dilution buffer and concentration : 5% NFDM/TBST.

Exposure time : 15 seconds

All lanes:

Immunoprecipitation - Anti-Bcl 7A antibody [EPR24162-226] (<a href='/en-us/products/primary-antibodies/bcl-7a-antibody-epr24162-226-ab259833'>ab259833</a>)

Predicted band size: 22 kDa

Observed band size: 37 kDa,42 kDa

false

Flow Cytometry (Intracellular) - Anti-Bcl 7A antibody [EPR24162-226] - BSA and Azide free (AB282012)
  • Flow Cyt (Intra)

Supplier Data

Flow Cytometry (Intracellular) - Anti-Bcl 7A antibody [EPR24162-226] - BSA and Azide free (AB282012)

This data was developed using ab259833, the same antibody clone in a different buffer formulation.

Flow cytometric analysis of 4% paraformaldehyde fixed 90% methanol permeabilized Neuro-2a (Mouse neuroblastoma neuroblast) cells labelling Bcl 7A with ab259833 at 1/500 dilution (0.1ug)/(Red) compared with a Rabbit monoclonal IgG (ab172730) (Black) isotype control and an unlabelled control (cells without incubation with primary antibody and secondary antibody) (Blue). A Goat anti rabbit IgG (Alexa Fluor® 488, ab150077) at 1/2000 dilution was used as the secondary antibody.

Immunohistochemistry (Formalin/PFA-fixed paraffin-embedded sections) - Anti-Bcl 7A antibody [EPR24162-226] - BSA and Azide free (AB282012)
  • IHC-P

Supplier Data

Immunohistochemistry (Formalin/PFA-fixed paraffin-embedded sections) - Anti-Bcl 7A antibody [EPR24162-226] - BSA and Azide free (AB282012)

This data was developed using ab259833, the same antibody clone in a different buffer formulation.

Immunohistochemical analysis of paraffin-embedded Rat cerebrum tissue labelling Bcl 7A with ab259833 at 1/20000 (0.023 ug/ml) dilution followed by a ready to use LeicaDS9800 (Bond™ Polymer Refine Detection). Nuclear staining on rat cerebrum. The section was incubated with ab259833 for 10 mins at room temperature. The immunostaining was performed on a Leica Biosystems BOND® RX instrument. Counterstained with Hematoxylin.

Secondary antibody only control : Secondary antibody is a ready to use LeicaDS9800 (Bond™ Polymer Refine Detection).

Heat mediated antigen retrieval with Tris-EDTA buffer (pH 9.0, epitope retrieval solution2) for 20 mins.

Immunocytochemistry/ Immunofluorescence - Anti-Bcl 7A antibody [EPR24162-226] - BSA and Azide free (AB282012)
  • ICC/IF

Supplier Data

Immunocytochemistry/ Immunofluorescence - Anti-Bcl 7A antibody [EPR24162-226] - BSA and Azide free (AB282012)

This data was developed using ab259833, the same antibody clone in a different buffer formulation.

Immunofluorescent analysis of 4% Paraformaldehyde-fixed, 0.1% TritonX-100 permeabilized Neuro-2a cells labelling Bcl 7A with ab259833 at 1/50 (9.26 ug/ml) dilution, followed by ab150077 Goat Anti-Rabbit IgG H&L (Alexa Fluor® 488) antibody at 1/1000 dilution (Green). Confocal image showing nuclear staining in Neuro-2a cell line is observed. ab195889 Anti-alpha Tubulin mouse monoclonal antibody - Microtubule Marker (Alexa Fluor® 594) was used to counterstain tubulin at 1/200 dilution (Red). The Nuclear counterstain was DAPI (Blue).

Secondary antibody only control : Secondary antibody is ab150077 Goat Anti-Rabbit IgG H&L (Alexa Fluor® 488) at 1/1000 dilution.

Immunohistochemistry (Formalin/PFA-fixed paraffin-embedded sections) - Anti-Bcl 7A antibody [EPR24162-226] - BSA and Azide free (AB282012)
  • IHC-P

Supplier Data

Immunohistochemistry (Formalin/PFA-fixed paraffin-embedded sections) - Anti-Bcl 7A antibody [EPR24162-226] - BSA and Azide free (AB282012)

This data was developed using ab259833, the same antibody clone in a different buffer formulation.

Immunohistochemical analysis of paraffin-embedded Mouse cerebrum tissue labelling Bcl 7A with ab259833 at 1/20000 (0.023 ug/ml) dilution followed by a ready to use LeicaDS9800 (Bond™ Polymer Refine Detection). Nuclear staining on mouse cerebrum. The section was incubated with ab259833 for 10 mins at room temperature. The immunostaining was performed on a Leica Biosystems BOND® RX instrument. Counterstained with Hematoxylin.

Secondary antibody only control : Secondary antibody is a ready to use LeicaDS9800 (Bond™ Polymer Refine Detection).

Heat mediated antigen retrieval with Tris-EDTA buffer (pH 9.0, epitope retrieval solution2) for 20 mins

Immunoprecipitation - Anti-Bcl 7A antibody [EPR24162-226] - BSA and Azide free (AB282012)
  • IP

Supplier Data

Immunoprecipitation - Anti-Bcl 7A antibody [EPR24162-226] - BSA and Azide free (AB282012)

This data was developed using ab259833, the same antibody clone in a different buffer formulation.

Bcl 7A was immunoprecipitated from 0.35 mg Neuro-2a (mouse neuroblastoma neuroblast) whole cell lysate with ab259833 at 1/30 dilution (2ug in 0.35mg lysates). Western blot was performed on the immunoprecipitate using ab259833 at 1/1000 dilution. VeriBlot for IP secondary antibody(HRP)(ab131366) was used at 1/5000 dilution.

Lane 1 : Neuro-2a (mouse neuroblastoma neuroblast) whole cell lysate 10 ug

Lane 2 : ab259833 IP in Neuro-2a whole cell lysate

Lane 3 : Rabbit monoclonal IgG (ab172730) instead of ab259833 in Neuro-2a whole cell lysate

Blocking and dilution buffer and concentration : 5% NFDM/TBST.

Exposure time : 15 seconds

All lanes:

Immunoprecipitation - Anti-Bcl 7A antibody [EPR24162-226] (<a href='/en-us/products/primary-antibodies/bcl-7a-antibody-epr24162-226-ab259833'>ab259833</a>)

Predicted band size: 22 kDa

Observed band size: 37 kDa

false

Western blot - Anti-Bcl 7A antibody [EPR24162-226] - BSA and Azide free (AB282012)
  • WB

Lab

Western blot - Anti-Bcl 7A antibody [EPR24162-226] - BSA and Azide free (AB282012)

This data was developed using 259833, the same antibody clone in a different buffer formulation.

Blocking and diluting buffer and concentration : 5% NFDM/TBST

The expression profile/ molecular weight observed is consistent with what has been described in the literature (PMID : 29213114)

Negative control:HDLM-2 (HPA database : https : //www.proteinatlas.org/ENSG00000110987-BCL7A/celltype)

Exposure time : Lanes 1-2 : 3 seconds;Lanes 3- : 5:15 seconds.

All lanes:

Western blot - Anti-Bcl 7A antibody [EPR24162-226] (<a href='/en-us/products/primary-antibodies/bcl-7a-antibody-epr24162-226-ab259833'>ab259833</a>) at 1/1000 dilution

Lane 1:

Daudi (human burkitt's lymphoma lymphoblast) whole cell lysate at 20 µg

Lane 2:

HEK-293 (human embryonic kidney epithelial cell) whole cell lysate at 20 µg

Lane 3:

HDLM-2 (human hodgkin lymphoma ) whole cell lysate at 20 µg

Lane 4:

HeLa (human cervix adenocarcinoma epithelial cell) whole cell lysate at 20 µg

Lane 5:

Neuro-2a (mouse neuroblastoma neuroblast) whole cell lysate at 20 µg

Secondary

All lanes:

Western blot - Goat Anti-Rabbit IgG H&L (HRP) (<a href='/en-us/products/secondary-antibodies/goat-rabbit-igg-h-l-hrp-ab97051'>ab97051</a>) at 1/50000 dilution

Predicted band size: 22 kDa

Observed band size: 37 kDa,42 kDa

false

Western blot - Anti-Bcl 7A antibody [EPR24162-226] - BSA and Azide free (AB282012)
  • WB

Lab

Western blot - Anti-Bcl 7A antibody [EPR24162-226] - BSA and Azide free (AB282012)

This data was developed using 259833, the same antibody clone in a different buffer formulation.

Blocking and diluting buffer and concentration : 5% NFDM/TBST

The expression profile/ molecular weight observed is consistent with what has been described in the literature (PMID : 29213114)

Exposure time : 15 seconds.

All lanes:

Western blot - Anti-Bcl 7A antibody [EPR24162-226] (<a href='/en-us/products/primary-antibodies/bcl-7a-antibody-epr24162-226-ab259833'>ab259833</a>) at 1/1000 dilution

Lane 1:

Mouse E17 brain tissue lysate at 20 µg

Lane 2:

Mouse cerebral cortex tissue lysate at 20 µg

Lane 3:

Rat hippocampus tissue lysate at 20 µg

Lane 4:

C6 (rat glial tumor glial cell) whole cell lysate at 20 µg

Secondary

All lanes:

Western blot - Goat Anti-Rabbit IgG H&L (HRP) (<a href='/en-us/products/secondary-antibodies/goat-rabbit-igg-h-l-hrp-ab97051'>ab97051</a>) at 1/20000 dilution

Predicted band size: 22 kDa

Observed band size: 37 kDa

false

Key facts

Host species

Rabbit

Clonality

Monoclonal

Clone number

EPR24162-226

Isotype

IgG

Carrier free

Yes

Reacts with

Mouse, Rat, Human

Applications

WB, IP, Flow Cyt (Intra), IHC-P, ICC/IF

applications

Immunogen

The exact immunogen used to generate this antibody is proprietary information.

Reactivity data

{ "title": "Reactivity Data", "filters": { "stats": ["", "Species", "Dilution Info", "Notes"], "tabs": { "all-applications": {"fullname" : "All Applications", "shortname": "All Applications"}, "ICCIF" : {"fullname" : "Immunocytochemistry/ Immunofluorescence", "shortname":"ICC/IF"}, "IP" : {"fullname" : "Immunoprecipitation", "shortname":"IP"}, "WB" : {"fullname" : "Western blot", "shortname":"WB"}, "FlowCytIntra" : {"fullname" : "Flow Cytometry (Intracellular)", "shortname":"Flow Cyt (Intra)"}, "IHCP" : {"fullname" : "Immunohistochemistry (Formalin/PFA-fixed paraffin-embedded sections)", "shortname":"IHC-P"} }, "product-promise": { "all": "all", "testedAndGuaranteed": "tested", "guaranteed": "expected", "predicted": "predicted", "notRecommended": "not-recommended" } }, "values": { "Human": { "ICCIF-species-checked": "testedAndGuaranteed", "ICCIF-species-dilution-info": "", "ICCIF-species-notes": "<p></p>", "IP-species-checked": "testedAndGuaranteed", "IP-species-dilution-info": "", "IP-species-notes": "<p></p>", "WB-species-checked": "testedAndGuaranteed", "WB-species-dilution-info": "", "WB-species-notes": "<p></p>", "FlowCytIntra-species-checked": "testedAndGuaranteed", "FlowCytIntra-species-dilution-info": "", "FlowCytIntra-species-notes": "<p></p>", "IHCP-species-checked": "testedAndGuaranteed", "IHCP-species-dilution-info": "", "IHCP-species-notes": "<p></p>" }, "Mouse": { "ICCIF-species-checked": "testedAndGuaranteed", "ICCIF-species-dilution-info": "", "ICCIF-species-notes": "<p></p>", "IP-species-checked": "testedAndGuaranteed", "IP-species-dilution-info": "", "IP-species-notes": "<p></p>", "WB-species-checked": "testedAndGuaranteed", "WB-species-dilution-info": "", "WB-species-notes": "<p></p>", "FlowCytIntra-species-checked": "testedAndGuaranteed", "FlowCytIntra-species-dilution-info": "", "FlowCytIntra-species-notes": "<p></p>", "IHCP-species-checked": "testedAndGuaranteed", "IHCP-species-dilution-info": "", "IHCP-species-notes": "<p></p>" }, "Rat": { "ICCIF-species-checked": "guaranteed", "ICCIF-species-dilution-info": "", "ICCIF-species-notes": "", "IP-species-checked": "guaranteed", "IP-species-dilution-info": "", "IP-species-notes": "", "WB-species-checked": "testedAndGuaranteed", "WB-species-dilution-info": "", "WB-species-notes": "<p></p>", "FlowCytIntra-species-checked": "guaranteed", "FlowCytIntra-species-dilution-info": "", "FlowCytIntra-species-notes": "<p></p>", "IHCP-species-checked": "testedAndGuaranteed", "IHCP-species-dilution-info": "", "IHCP-species-notes": "<p></p>" } } }

Product details

ab282012 is the carrier-free version of ab259833.

Patented technology
Our RabMAb® technology is a patented hybridoma-based technology for making rabbit monoclonal antibodies. For details on our patents, please refer to RabMAb® patents.

What are the advantages of a recombinant monoclonal antibody?
This product is a recombinant monoclonal antibody, which offers several advantages including:

  • - High batch-to-batch consistency and reproducibility
  • - Improved sensitivity and specificity
  • - Long-term security of supply
  • - Animal-free batch production

For more information, read more on recombinant antibodies.

Conjugation ready
Our carrier-free antibodies are typically supplied in a PBS-only formulation, purified and free of BSA, sodium azide and glycerol. This conjugation-ready format is designed for use with fluorochromes, metal isotopes, oligonucleotides, and enzymes, which makes them ideal for antibody labelling, functional and cell-based assays, flow-based assays (e.g. mass cytometry) and Multiplex Imaging applications.

Use our conjugation kits for antibody conjugates that are ready-to-use in as little as 20 minutes with 1 minute hands-on-time and 100% antibody recovery: available for fluorescent dyes, HRP, biotin and gold.

Compatibility
This product is compatible with the Maxpar® Antibody Labeling Kit from Fluidigm, without the need for antibody preparation. Maxpar® is a trademark of Fluidigm Canada Inc.

Properties and storage information

Form
Liquid
Purification technique
Affinity purification Protein A
Storage buffer
pH: 7.2 - 7.4 Constituents: PBS
Shipped at conditions
Blue Ice
Appropriate short-term storage conditions
+4°C
Appropriate long-term storage conditions
+4°C

Supplementary information

This supplementary information is collated from multiple sources and compiled automatically.

Bcl 7A also known as B-cell CLL/lymphoma 7 protein family member A plays a role in cell regulation. It is a protein with a mass of approximately 23 kDa. Bcl 7A is expressed in several tissues notably the immune system including B cells. This expression pattern suggests its function is significant in cellular processes related to this system.
Biological function summary

Bcl 7A plays a role in apoptosis regulation affecting cell survival and death. It is part of a multiprotein complex and collaborates with other Bcl family members to maintain balance between cell survival and programmed cell death. The protein is necessary for proper lymphocyte development contributing to the immune response.

Pathways

Bcl 7A functions in the Wnt signaling pathway which is important for various developmental processes and cancer pathways. Bcl 7A interacts with other proteins like β-catenin facilitating the modulation of transcription of Wnt target genes. The protein’s involvement in apoptosis influences pathways important for maintaining cellular homeostasis.

Altered Bcl 7A function is associated with non-Hodgkin's lymphoma and chronic lymphocytic leukemia. Its irregular expression or mutation can lead to uncontrolled cell growth representing a step in lymphomagenesis. Bcl 7A interacts with Bcl-xL another member of the Bcl family in these contexts impacting the progression of these disorders.

Product protocols

For this product, it's our understanding that no specific protocols are required. You can visit:

Product promise

We are committed to supporting your work with high-quality reagents, and we're here for you every step of the way. In the unlikely event that one of our products does not perform as expected, you're protected by our Product Promise.
For full details, please see our Terms & Conditions

Please note: All products are 'FOR RESEARCH USE ONLY. NOT FOR USE IN DIAGNOSTIC OR THERAPEUTIC PROCEDURES'.

For licensing inquiries, please contact partnerships@abcam.com