JavaScript is disabled in your browser. Please enable JavaScript to view this website.
AB212813

Anti-Bcl-XL antibody [BX006 + 2H12] - BSA and Azide free

Be the first to review this product! Submit a review

|

(0 Publication)

Mouse Multiclonal Bcl-XL antibody. Carrier free. Suitable for IHC-P and reacts with Human samples. Immunogen corresponding to Synthetic Peptide within Human BCL2L1 aa 1-50.

View Alternative Names

BCL2L, BCLX, BCL2L1, Bcl-2-like protein 1, Bcl2-L-1, Apoptosis regulator Bcl-X, BCL2L, BCLX, BCL2L1, Bcl-2-like protein 1, Bcl2-L-1, Apoptosis regulator Bcl-X

1 Images
Immunohistochemistry (Formalin/PFA-fixed paraffin-embedded sections) - Anti-Bcl-XL antibody [BX006 + 2H12] - BSA and Azide free (AB212813)
  • IHC-P

Unknown

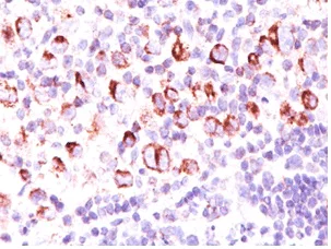
Immunohistochemistry (Formalin/PFA-fixed paraffin-embedded sections) - Anti-Bcl-XL antibody [BX006 + 2H12] - BSA and Azide free (AB212813)

Immunohistochemical analysis of formalin-fixed, paraffin-embedded Human Hodgkin's lymphoma tissue labeling Bcl x with ab201335 at 1μg/ml.

This data was developed using the same antibody clone in a different buffer formulation containing PBS, BSA, glycerol, and sodium azide (ab201335)

Key facts

Host species

Mouse

Clonality

Multiclonal

Clone number

BX006 + 2H12

Isotype

IgG2a

Carrier free

Yes

Reacts with

Human

Applications

IHC-P

applications

Immunogen

Synthetic Peptide within Human BCL2L1 aa 1-50. The exact immunogen used to generate this antibody is proprietary information.

Q07817

Reactivity data

{ "title": "Reactivity Data", "filters": { "stats": ["", "Species", "Dilution Info", "Notes"], "tabs": { "all-applications": {"fullname" : "All Applications", "shortname": "All Applications"}, "IHCP" : {"fullname" : "Immunohistochemistry (Formalin/PFA-fixed paraffin-embedded sections)", "shortname":"IHC-P"} }, "product-promise": { "all": "all", "testedAndGuaranteed": "tested", "guaranteed": "expected", "predicted": "predicted", "notRecommended": "not-recommended" } }, "values": { "Human": { "IHCP-species-checked": "testedAndGuaranteed", "IHCP-species-dilution-info": "0.5-1 µg/mL", "IHCP-species-notes": "<p>30 minutes at RT.Staining of formalin-fixed tissues requires boiling tissue sections in 1mM EDTA buffer, pH 7.5-8.5, for 10-20 min followed by cooling at RT for 20 minutes.</p>" } } }

Product details

ab212813 is the carrier free version of ab201335.

Conjugation ready
Our carrier-free antibodies are typically supplied in a PBS-only formulation, purified and free of BSA, sodium azide and glycerol. This conjugation-ready format is designed for use with fluorochromes, metal isotopes, oligonucleotides, and enzymes, which makes them ideal for antibody labelling, functional and cell-based assays, flow-based assays (e.g. mass cytometry) and Multiplex Imaging applications.

Use our conjugation kits for antibody conjugates that are ready-to-use in as little as 20 minutes with 1 minute hands-on-time and 100% antibody recovery: available for fluorescent dyes, HRP, biotin and gold.

What is an oligoclonal antibody?
This oligoclonal antibody is a cocktail of monoclonal antibodies that have been carefully selected. Oligoclonal antibodies have not only the specificity and batch-to-batch consistency of a monoclonal antibody, but also have the advantage of the sensitivity of a polyclonal antibody due to their ability to recognize multiple epitopes on an antigen.

Properties and storage information

Form
Liquid
Purification technique
Affinity purification Protein A/G
Purification notes
Purified from Bioreactor Concentrate.
Storage buffer
pH: 7.2 - 7.4 Constituents: PBS
Shipped at conditions
Blue Ice
Appropriate short-term storage duration
1-2 weeks
Appropriate short-term storage conditions
+4°C
Appropriate long-term storage conditions
-20°C
Aliquoting information
Upon delivery aliquot
Storage information
Avoid freeze / thaw cycle

Supplementary information

This supplementary information is collated from multiple sources and compiled automatically.

Bcl-XL also known as Bcl-xL or Bcl-Xl protein is a member of the Bcl-2 protein family playing an important role in regulating cell death. Bcl-XL inhibits apoptosis by binding to pro-apoptotic proteins preventing the release of cytochrome c from mitochondria. This protein has a molecular weight of approximately 30 kDa. Bcl-xL is widely expressed in tissues notably in the brain endothelial cells and hematopoietic tissues where it contributes to cell survival.
Biological function summary

This protein acts as an anti-apoptotic molecule within the mitochondria and is part of the Bcl-2 family complex. Bcl-XL modulates the balance between pro-apoptotic and anti-apoptotic signals impacting cell fate. By binding and sequestering pro-apoptotic members such as Bax and Bak Bcl-XL prevents mitochondrial outer membrane permeabilization important for avoiding programmed cell death. This function not only supports cellular longevity but also understanding cancer cell survival.

Pathways

The Bcl-XL protein holds a significant position in the apoptotic signaling pathways. It is particularly involved in the intrinsic pathway where its interactions with mitochondrial proteins Bax and Bak determine cell survival or death. It is interconnected with the PI3K/AKT pathway where AKT kinase activity can upregulate Bcl-XL expression demonstrating how survival signals are transmitted. These interactions highlight its pivotal role in balancing life and death at the cellular level.

Bcl-XL's overexpression often connects to the progression of cancers and resistance to chemotherapy. By inhibiting programmed cell death Bcl-XL allows cancer cells to evade traditional treatments. Furthermore research implicates Bcl-XL in neurodegenerative disorders where its interaction with Bcl-2 proteins disrupts normal apoptotic processes contributing to cellular dysfunction and disease. Understanding Bcl-XL's disease-related roles furthers the development of targeted therapies combating its protective effects in pathological contexts.

Product protocols

For this product, it's our understanding that no specific protocols are required. You can visit:

Target data

Potent inhibitor of cell death. Inhibits activation of caspases. Appears to regulate cell death by blocking the voltage-dependent anion channel (VDAC) by binding to it and preventing the release of the caspase activator, CYC1, from the mitochondrial membrane. Also acts as a regulator of G2 checkpoint and progression to cytokinesis during mitosis.. Isoform Bcl-X(L) also regulates presynaptic plasticity, including neurotransmitter release and recovery, number of axonal mitochondria as well as size and number of synaptic vesicle clusters. During synaptic stimulation, increases ATP availability from mitochondria through regulation of mitochondrial membrane ATP synthase F(1)F(0) activity and regulates endocytic vesicle retrieval in hippocampal neurons through association with DMN1L and stimulation of its GTPase activity in synaptic vesicles. May attenuate inflammation impairing NLRP1-inflammasome activation, hence CASP1 activation and IL1B release (PubMed : 17418785).. Isoform Bcl-X(S) promotes apoptosis.
See full target information BCL2L1

Additional targets

BCL2L1

Product promise

We are committed to supporting your work with high-quality reagents, and we're here for you every step of the way. In the unlikely event that one of our products does not perform as expected, you're protected by our Product Promise.
For full details, please see our Terms & Conditions

Please note: All products are 'FOR RESEARCH USE ONLY. NOT FOR USE IN DIAGNOSTIC OR THERAPEUTIC PROCEDURES'.

For licensing inquiries, please contact partnerships@abcam.com