JavaScript is disabled in your browser. Please enable JavaScript to view this website.
AB231500

Anti-Bcl-XL antibody - N-terminal

Be the first to review this product! Submit a review

|

(0 Publication)

Rabbit Polyclonal Bcl-XL antibody. N-terminal Suitable for IHC-P, WB and reacts with Human samples.

View Alternative Names

BCL2L, BCLX, BCL2L1, Bcl-2-like protein 1, Bcl2-L-1, Apoptosis regulator Bcl-X

2 Images
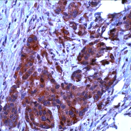
Immunohistochemistry (Formalin/PFA-fixed paraffin-embedded sections) - Anti-Bcl-XL antibody - N-terminal (AB231500)
  • IHC-P

Supplier Data

Immunohistochemistry (Formalin/PFA-fixed paraffin-embedded sections) - Anti-Bcl-XL antibody - N-terminal (AB231500)

Formalin-fixed, paraffin-embedded human colon carcinoma tissue stained for Bcl-XL using ab231500 at 1/50 dilution in immunohistochemical analysis.

Western blot - Anti-Bcl-XL antibody - N-terminal (AB231500)
  • WB

Supplier Data

Western blot - Anti-Bcl-XL antibody - N-terminal (AB231500)

All lanes:

Western blot - Anti-Bcl-XL antibody - N-terminal (ab231500) at 1/100 dilution

All lanes:

HEK-293T (human epithelial cell line from embryonic kidney transformed with large T antigen) cell lysate

Predicted band size: 26 kDa

false

Key facts

Host species

Rabbit

Clonality

Polyclonal

Isotype

IgG

Carrier free

No

Reacts with

Human

Applications

IHC-P, WB

applications

Immunogen

The exact immunogen used to generate this antibody is proprietary information.

Reactivity data

{ "title": "Reactivity Data", "filters": { "stats": ["", "Species", "Dilution Info", "Notes"], "tabs": { "all-applications": {"fullname" : "All Applications", "shortname": "All Applications"}, "IHCP" : {"fullname" : "Immunohistochemistry (Formalin/PFA-fixed paraffin-embedded sections)", "shortname":"IHC-P"}, "WB" : {"fullname" : "Western blot", "shortname":"WB"} }, "product-promise": { "all": "all", "testedAndGuaranteed": "tested", "guaranteed": "expected", "predicted": "predicted", "notRecommended": "not-recommended" } }, "values": { "Human": { "IHCP-species-checked": "testedAndGuaranteed", "IHCP-species-dilution-info": "1/50", "IHCP-species-notes": "<p>Primary antibody incubation for 10 minutes at room temperature.</p> Perform heat-mediated antigen retrieval with citrate buffer pH 6 before commencing with IHC staining protocol.", "WB-species-checked": "testedAndGuaranteed", "WB-species-dilution-info": "1/50", "WB-species-notes": "<p>Primary antibody incubation for 1 hour at room temperature.</p>" }, "Mouse": { "IHCP-species-checked": "predicted", "IHCP-species-dilution-info": "", "IHCP-species-notes": "", "WB-species-checked": "predicted", "WB-species-dilution-info": "", "WB-species-notes": "" }, "Rat": { "IHCP-species-checked": "predicted", "IHCP-species-dilution-info": "", "IHCP-species-notes": "", "WB-species-checked": "predicted", "WB-species-dilution-info": "", "WB-species-notes": "" } } }

Properties and storage information

Form
Liquid
Purification technique
Affinity purification Immunogen
Storage buffer
pH: 7.6 Preservative: 0.1% Sodium azide Constituents: PBS, 1% BSA
Shipped at conditions
Blue Ice
Appropriate short-term storage duration
1-2 weeks
Appropriate short-term storage conditions
+4°C
Appropriate long-term storage conditions
-20°C
Aliquoting information
Upon delivery aliquot
Storage information
Avoid freeze / thaw cycle

Supplementary information

This supplementary information is collated from multiple sources and compiled automatically.

Bcl-XL also known as Bcl-xL or Bcl-Xl protein is a member of the Bcl-2 protein family playing an important role in regulating cell death. Bcl-XL inhibits apoptosis by binding to pro-apoptotic proteins preventing the release of cytochrome c from mitochondria. This protein has a molecular weight of approximately 30 kDa. Bcl-xL is widely expressed in tissues notably in the brain endothelial cells and hematopoietic tissues where it contributes to cell survival.
Biological function summary

This protein acts as an anti-apoptotic molecule within the mitochondria and is part of the Bcl-2 family complex. Bcl-XL modulates the balance between pro-apoptotic and anti-apoptotic signals impacting cell fate. By binding and sequestering pro-apoptotic members such as Bax and Bak Bcl-XL prevents mitochondrial outer membrane permeabilization important for avoiding programmed cell death. This function not only supports cellular longevity but also understanding cancer cell survival.

Pathways

The Bcl-XL protein holds a significant position in the apoptotic signaling pathways. It is particularly involved in the intrinsic pathway where its interactions with mitochondrial proteins Bax and Bak determine cell survival or death. It is interconnected with the PI3K/AKT pathway where AKT kinase activity can upregulate Bcl-XL expression demonstrating how survival signals are transmitted. These interactions highlight its pivotal role in balancing life and death at the cellular level.

Bcl-XL's overexpression often connects to the progression of cancers and resistance to chemotherapy. By inhibiting programmed cell death Bcl-XL allows cancer cells to evade traditional treatments. Furthermore research implicates Bcl-XL in neurodegenerative disorders where its interaction with Bcl-2 proteins disrupts normal apoptotic processes contributing to cellular dysfunction and disease. Understanding Bcl-XL's disease-related roles furthers the development of targeted therapies combating its protective effects in pathological contexts.

Product protocols

For this product, it's our understanding that no specific protocols are required. You can visit:

Target data

Potent inhibitor of cell death. Inhibits activation of caspases. Appears to regulate cell death by blocking the voltage-dependent anion channel (VDAC) by binding to it and preventing the release of the caspase activator, CYC1, from the mitochondrial membrane. Also acts as a regulator of G2 checkpoint and progression to cytokinesis during mitosis.. Isoform Bcl-X(L) also regulates presynaptic plasticity, including neurotransmitter release and recovery, number of axonal mitochondria as well as size and number of synaptic vesicle clusters. During synaptic stimulation, increases ATP availability from mitochondria through regulation of mitochondrial membrane ATP synthase F(1)F(0) activity and regulates endocytic vesicle retrieval in hippocampal neurons through association with DMN1L and stimulation of its GTPase activity in synaptic vesicles. May attenuate inflammation impairing NLRP1-inflammasome activation, hence CASP1 activation and IL1B release (PubMed : 17418785).. Isoform Bcl-X(S) promotes apoptosis.
See full target information BCL2L1

Product promise

We are committed to supporting your work with high-quality reagents, and we're here for you every step of the way. In the unlikely event that one of our products does not perform as expected, you're protected by our Product Promise.
For full details, please see our Terms & Conditions

Please note: All products are 'FOR RESEARCH USE ONLY. NOT FOR USE IN DIAGNOSTIC OR THERAPEUTIC PROCEDURES'.

For licensing inquiries, please contact partnerships@abcam.com