JavaScript is disabled in your browser. Please enable JavaScript to view this website.
AB199011

Anti-Bcl10 antibody [BL10/411]

Be the first to review this product! Submit a review

|

(1 Publication)

Mouse Monoclonal BCL10 antibody. Suitable for IHC-P, WB and reacts with Human samples. Cited in 1 publication. Immunogen corresponding to Recombinant Fragment Protein within Human BCL10 aa 100-200.

View Alternative Names

CIPER, CLAP, BCL10, B-cell lymphoma/leukemia 10, B-cell CLL/lymphoma 10, CARD-containing molecule enhancing NF-kappa-B, CARD-like apoptotic protein, CED-3/ICH-1 prodomain homologous E10-like regulator, Cellular homolog of vCARMEN, Cellular-E10, Mammalian CARD-containing adapter molecule E10, Bcl-10, hCLAP, cCARMEN, c-E10, mE10

2 Images
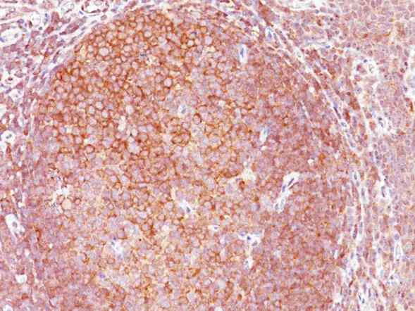
Immunohistochemistry (Formalin/PFA-fixed paraffin-embedded sections) - Anti-Bcl10 antibody [BL10/411] (AB199011)
  • IHC-P

Supplier Data

Immunohistochemistry (Formalin/PFA-fixed paraffin-embedded sections) - Anti-Bcl10 antibody [BL10/411] (AB199011)

Immunohistochemical analysis of formalin-fixed paraffin-embedded human tonsil tissue labeling BC10 with ab199011 at 1 μg/ml.

Western blot - Anti-Bcl10 antibody [BL10/411] (AB199011)
  • WB

Unknown

Western blot - Anti-Bcl10 antibody [BL10/411] (AB199011)

All lanes:

Western blot - Anti-Bcl10 antibody [BL10/411] (ab199011) at 2 µg/mL

All lanes:

HepG2 cell lysate

Predicted band size: 26 kDa

false

Key facts

Host species

Mouse

Clonality

Monoclonal

Clone number

BL10/411

Isotype

IgG1

Light chain type

kappa

Carrier free

No

Reacts with

Human

Applications

WB, IHC-P

applications

Immunogen

Recombinant Fragment Protein within Human BCL10 aa 100-200. The exact immunogen used to generate this antibody is proprietary information.

O95999

Reactivity data

{ "title": "Reactivity Data", "filters": { "stats": ["", "Species", "Dilution Info", "Notes"], "tabs": { "all-applications": {"fullname" : "All Applications", "shortname": "All Applications"}, "IHCP" : {"fullname" : "Immunohistochemistry (Formalin/PFA-fixed paraffin-embedded sections)", "shortname":"IHC-P"}, "WB" : {"fullname" : "Western blot", "shortname":"WB"} }, "product-promise": { "all": "all", "testedAndGuaranteed": "tested", "guaranteed": "expected", "predicted": "predicted", "notRecommended": "not-recommended" } }, "values": { "Human": { "IHCP-species-checked": "testedAndGuaranteed", "IHCP-species-dilution-info": "0.5-1 µg/mL", "IHCP-species-notes": "<p></p> Perform heat-mediated antigen retrieval with citrate buffer pH 6 before commencing with IHC staining protocol.", "WB-species-checked": "testedAndGuaranteed", "WB-species-dilution-info": "2-12 µg/mL", "WB-species-notes": "<p></p>" }, "Mouse": { "IHCP-species-checked": "predicted", "IHCP-species-dilution-info": "", "IHCP-species-notes": "", "WB-species-checked": "predicted", "WB-species-dilution-info": "", "WB-species-notes": "" }, "Rat": { "IHCP-species-checked": "predicted", "IHCP-species-dilution-info": "", "IHCP-species-notes": "", "WB-species-checked": "predicted", "WB-species-dilution-info": "", "WB-species-notes": "" } } }

Properties and storage information

Form
Liquid
Purification technique
Affinity purification Protein A/G
Storage buffer
pH: 7.2 - 7.4 Preservative: 0.05% Sodium azide Constituents: PBS, 0.05% BSA
Shipped at conditions
Blue Ice
Appropriate short-term storage duration
1-2 weeks
Appropriate short-term storage conditions
+4°C
Appropriate long-term storage conditions
-20°C
Aliquoting information
Upon delivery aliquot
Storage information
Avoid freeze / thaw cycle

Supplementary information

This supplementary information is collated from multiple sources and compiled automatically.

Bcl10 also known as B-cell lymphoma 10 is a protein involved in several cellular processes. It has a molecular mass of approximately 26 kDa and shows expression in various lymphoid tissues. Bcl10 plays a significant role in signaling pathways by transmitting signals from the cell surface to the nucleus impacting cell growth and immune responses. Researchers often study Bcl10 using immunohistochemistry (IHC) techniques referred to as Bcl10 IHC to analyze its expression and distribution within tissues.
Biological function summary

Bcl10 activates downstream signaling pathways that are critical for immune cell functioning and survival. It forms part of the CARD-BCL10-MALT1 (CBM) complex which is important for the activation of the NF-kB pathway. This complex formation is essential for lymphocyte activation and proliferation. Bcl10 interactions within this complex influence cellular responses to various stimuli helping organisms to mount appropriate immune responses.

Pathways

Bcl10 serves as an integral component in the NF-kB and TCR signaling pathways. It functions alongside proteins such as MALT1 and CARD9 in these pathways. The proper functioning of Bcl10 in these pathways ensures accurate transcriptional regulation necessary for immune responses. Misregulation in these pathways can lead to immune disorders and aberrant cell behavior linking Bcl10 to further biological implications.

Bcl10 shows associations with mucosa-associated lymphoid tissue (MALT) lymphoma and other inflammatory diseases. Aberrant Bcl10 expression or mutations can lead to unchecked activation of NF-kB contributing to the progression of these conditions. In MALT lymphoma Bcl10 often cooperates with MALT1 both contributing to pathological cell survival and proliferation highlighting the importance of Bcl10 in understanding these diseases.

Product protocols

For this product, it's our understanding that no specific protocols are required. You can visit:

Target data

Plays a key role in both adaptive and innate immune signaling by bridging CARD domain-containing proteins to immune activation (PubMed : 10187770, PubMed : 10364242, PubMed : 10400625, PubMed : 24074955, PubMed : 25365219). Acts by channeling adaptive and innate immune signaling downstream of CARD domain-containing proteins CARD9, CARD11 and CARD14 to activate NF-kappa-B and MAP kinase p38 (MAPK11, MAPK12, MAPK13 and/or MAPK14) pathways which stimulate expression of genes encoding pro-inflammatory cytokines and chemokines (PubMed : 24074955). Recruited by activated CARD domain-containing proteins : homooligomerized CARD domain-containing proteins form a nucleating helical template that recruits BCL10 via CARD-CARD interaction, thereby promoting polymerization of BCL10, subsequent recruitment of MALT1 and formation of a CBM complex (PubMed : 24074955). This leads to activation of NF-kappa-B and MAP kinase p38 (MAPK11, MAPK12, MAPK13 and/or MAPK14) pathways which stimulate expression of genes encoding pro-inflammatory cytokines and chemokines (PubMed : 18287044, PubMed : 24074955, PubMed : 27777308). Activated by CARD9 downstream of C-type lectin receptors; CARD9-mediated signals are essential for antifungal immunity (PubMed : 26488816). Activated by CARD11 downstream of T-cell receptor (TCR) and B-cell receptor (BCR) (PubMed : 18264101, PubMed : 18287044, PubMed : 24074955, PubMed : 27777308). Promotes apoptosis, pro-caspase-9 maturation and activation of NF-kappa-B via NIK and IKK (PubMed : 10187815).
See full target information BCL10

Publications (1)

Recent publications for all applications. Explore the full list and refine your search

The European journal of neuroscience 62:e70235 PubMed40960371

2025

Electrical Stimulation-Induced Muscle Damage Alters Hippocampal BDNF Signaling.

Applications

Unspecified application

Species

Unspecified reactive species

Julien Wirtz,Rémi Chaney,Marina Cefis,Alexandre Méloux,Yuan Wang,Stéphanie Lemaire,Aurore Quirié,Julien Delezie,Gilles Gouspillou,Anne Prigent-Tessier,Philippe Garnier
View all publications

Product promise

We are committed to supporting your work with high-quality reagents, and we're here for you every step of the way. In the unlikely event that one of our products does not perform as expected, you're protected by our Product Promise.
For full details, please see our Terms & Conditions

Please note: All products are 'FOR RESEARCH USE ONLY. NOT FOR USE IN DIAGNOSTIC OR THERAPEUTIC PROCEDURES'.

For licensing inquiries, please contact partnerships@abcam.com