JavaScript is disabled in your browser. Please enable JavaScript to view this website.
AB40752

Anti-Bcl10 antibody [ep605y]

Be the first to review this product! Submit a review

|

(1 Publication)

Rabbit Recombinant Monoclonal BCL10 antibody. Suitable for IHC-P, IP, WB, Flow Cyt (Intra) and reacts with Human, Mouse samples. Cited in 1 publication.

View Alternative Names

CIPER, CLAP, BCL10, B-cell lymphoma/leukemia 10, B-cell CLL/lymphoma 10, CARD-containing molecule enhancing NF-kappa-B, CARD-like apoptotic protein, CED-3/ICH-1 prodomain homologous E10-like regulator, Cellular homolog of vCARMEN, Cellular-E10, Mammalian CARD-containing adapter molecule E10, Bcl-10, hCLAP, cCARMEN, c-E10, mE10

7 Images
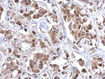
Immunohistochemistry (Formalin/PFA-fixed paraffin-embedded sections) - Anti-Bcl10 antibody [ep605y] (AB40752)
  • IHC-P

Unknown

Immunohistochemistry (Formalin/PFA-fixed paraffin-embedded sections) - Anti-Bcl10 antibody [ep605y] (AB40752)

Immunohistochemical analysis of paraffin-embedded human colon carcinoma using ab40752 at a dilution of 1/50.

Perform heat mediated antigen retrieval with citrate buffer pH 6 before commencing with IHC staining protocol.

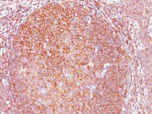
Flow Cytometry (Intracellular) - Anti-Bcl10 antibody [ep605y] (AB40752)
  • Flow Cyt (Intra)

Lab

Flow Cytometry (Intracellular) - Anti-Bcl10 antibody [ep605y] (AB40752)

Intracellular Flow Cytometry analysis of Daudi (Human Burkitt's lymphoma lymphoblast) cells labeling Bcl10 with purified ab40752 at 1/100 dilution (10 μg/mL) (Red). Cells were fixed with 4% Paraformaldehyde and permeabilised with 90% Methanol. A Goat anti rabbit IgG (Alexa Fluor® 488, ab150077) secondary antibody was used at 1/2000. Isotype control - Rabbit monoclonal IgG (Black). Unlabeled control - Cells without incubation with primary antibody and secondary antibody (Blue).

Immunoprecipitation - Anti-Bcl10 antibody [ep605y] (AB40752)
  • IP

Lab

Immunoprecipitation - Anti-Bcl10 antibody [ep605y] (AB40752)

Purified ab40752 at 1/50 dilution (2μg) immunoprecipitating Bcl10 in Daudi whole cell lysate.
Lane 1 (input) : Daudi (Human Burkitt's lymphoma B lymphocyte) whole cell lysate 10μg
Lane 2 (+) : ab40752 + Daudi whole cell lysate.
Lane 3 (-) : Rabbit monoclonal IgG (ab172730) instead of ab40752 in Daudi whole cell lysate.
VeriBlot for IP Detection Reagent (HRP) (ab131366) (1/1000 dilution) was used for Western blotting.
Blocking Buffer and concentration : 5% NFDM/TBST.
Diluting buffer and concentration : 5% NFDM/TBST.
Observed band size : 32 kDa

All lanes:

Immunoprecipitation - Anti-Bcl10 antibody [ep605y] (ab40752)

Predicted band size: 26 kDa

false

Immunoprecipitation - Anti-Bcl10 antibody [ep605y] (AB40752)
  • IP

Lab

Immunoprecipitation - Anti-Bcl10 antibody [ep605y] (AB40752)

32 kDa Bcl10 was immunoprecipitated from 0.35mg of Daudi (human Burkitt's lymphoma lymphoblast) whole cell lysate with ab40752 at 1/30 dilution. Western blot was performed from the immunoprecipitate using ab40752 at 1/500 dilution. VeriBlot for IP Detection Reagent (HRP) (ab131366) was used at 1/1000 dilution. Lane 1 (Input) : Daudi (human Burkitt's lymphoma lymphoblast) whole cell lysate 10 μg. Lane 2 (+) : Daudi whole cell lysate. Lane 3 (-) : Rabbit monoclonal IgG (ab172730) instead of ab40752 in Daudi whole cell lysate. Blocking buffer and concentration : 5% NFDM/TBST. Diluting buffer and concentration : 5% NFDM/TBST. Exposure time : 32 seconds.

All lanes:

Immunoprecipitation - Anti-Bcl10 antibody [ep605y] (ab40752) at 1/30 dilution

Secondary

All lanes:

Immunoprecipitation - VeriBlot for IP Detection Reagent (HRP) (<a href='/en-us/products/reagents/veriblot-for-ip-detection-reagent-hrp-ab131366'>ab131366</a>)

Predicted band size: 26 kDa

Observed band size: 32 kDa

false

Exposure time: 32s

Immunoprecipitation - Anti-Bcl10 antibody [ep605y] (AB40752)
  • IP

Lab

Immunoprecipitation - Anti-Bcl10 antibody [ep605y] (AB40752)

32 kDa Bcl10 was immunoprecipitated from 0.35mg WEHI-231 (mouse B cell lymphoma B lymphocyte ), whole cell lysate with ab40752 at 1/30 dilution. Western blot was performed from the immunoprecipitate using ab40752 at 1/1000 dilution. VeriBlot for IP Detection Reagent (HRP) (ab131366) was used at 1/1000 dilution. Lane 1 (Input) : WEHI-231 (mouse B cell lymphoma B lymphocyte ), whole cell lysate 10 μg. Lane 2 (+) : WEHI-231 whole cell lysate. Lane 3 (-) : Rabbit monoclonal IgG (ab172730) instead of ab40752 in WEHI-231 whole cell lysate. Blocking buffer and concentration : 5% NFDM/TBST. Diluting buffer and concentration : 5% NFDM/TBST. Exposure time : 102 seconds.

All lanes:

Immunoprecipitation - Anti-Bcl10 antibody [ep605y] (ab40752) at 1/30 dilution

Secondary

All lanes:

Immunoprecipitation - VeriBlot for IP Detection Reagent (HRP) (<a href='/en-us/products/reagents/veriblot-for-ip-detection-reagent-hrp-ab131366'>ab131366</a>) at 1/1000 dilution

Predicted band size: 26 kDa

Observed band size: 32 kDa

false

Exposure time: 102s

Western blot - Anti-Bcl10 antibody [ep605y] (AB40752)
  • WB

Unknown

Western blot - Anti-Bcl10 antibody [ep605y] (AB40752)

All lanes:

Western blot - Anti-Bcl10 antibody [ep605y] (ab40752) at 1/2000 dilution

All lanes:

Raji cell lysate at 10 µg

Predicted band size: 26 kDa

Observed band size: 32 kDa

false

Western blot - Anti-Bcl10 antibody [ep605y] (AB40752)
  • WB

Lab

Western blot - Anti-Bcl10 antibody [ep605y] (AB40752)

Blocking buffer and concentration : 5% NFDM/TBST. Diluting buffer and concentration : 5% NFDM/TBST. ab129002 was used as a loading control. The expression profile observed is consistent with what has been described in the literature (PMID : 10319863).

All lanes:

Western blot - Anti-Bcl10 antibody [ep605y] (ab40752) at 1/2000 dilution

Lane 1:

WEHI-231 (mouse B cell lymphoma B lymphocyte) whole cell lysate at 20 µg

Lane 2:

RAW 264.7 (mouse Abelson murine leukemia virus-induced tumor macrophage) whole cell lysate at 20 µg

Lane 3:

Mouse spleen tissue lysate at 20 µg

Lane 4:

Mouse kidney tissue lysate at 20 µg

Lane 5:

Mouse bone marrow lysate at 20 µg

Secondary

All lanes:

Western blot - Goat Anti-Rabbit IgG H&L (HRP) (<a href='/en-us/products/secondary-antibodies/goat-rabbit-igg-h-l-hrp-ab97051'>ab97051</a>) at 1/20000 dilution

Predicted band size: 26 kDa

false

Exposure time: 103s

  • Carrier free

    Anti-Bcl10 antibody [ep605y] - BSA and Azide free

Key facts

Host species

Rabbit

Clonality

Monoclonal

Clone number

ep605y

Isotype

IgG

Carrier free

No

Reacts with

Human, Mouse

Applications

WB, IHC-P, Flow Cyt (Intra), IP

applications

Immunogen

The exact immunogen used to generate this antibody is proprietary information.

Specificity

Not suitable for mouse IHC-P.

Reactivity data

{ "title": "Reactivity Data", "filters": { "stats": ["", "Species", "Dilution Info", "Notes"], "tabs": { "all-applications": {"fullname" : "All Applications", "shortname": "All Applications"}, "IHCP" : {"fullname" : "Immunohistochemistry (Formalin/PFA-fixed paraffin-embedded sections)", "shortname":"IHC-P"}, "IP" : {"fullname" : "Immunoprecipitation", "shortname":"IP"}, "WB" : {"fullname" : "Western blot", "shortname":"WB"}, "FlowCytIntra" : {"fullname" : "Flow Cytometry (Intracellular)", "shortname":"Flow Cyt (Intra)"} }, "product-promise": { "all": "all", "testedAndGuaranteed": "tested", "guaranteed": "expected", "predicted": "predicted", "notRecommended": "not-recommended" } }, "values": { "Human": { "IHCP-species-checked": "testedAndGuaranteed", "IHCP-species-dilution-info": "", "IHCP-species-notes": "<p></p>", "IP-species-checked": "testedAndGuaranteed", "IP-species-dilution-info": "1/30 - 1/50", "IP-species-notes": "<p></p>", "WB-species-checked": "testedAndGuaranteed", "WB-species-dilution-info": "1/2000", "WB-species-notes": "<p></p>", "FlowCytIntra-species-checked": "testedAndGuaranteed", "FlowCytIntra-species-dilution-info": "1/100", "FlowCytIntra-species-notes": "<p><a href='/en-us/products/primary-antibodies/rabbit-igg-monoclonal-epr25a-isotype-control-ab172730'>ab172730</a> - Rabbit monoclonal IgG, is suitable for use as an isotype control with this antibody.</p>" }, "Mouse": { "IHCP-species-checked": "notRecommended", "IHCP-species-dilution-info": "", "IHCP-species-notes": "<p></p>", "IP-species-checked": "testedAndGuaranteed", "IP-species-dilution-info": "1/30 - 1/50", "IP-species-notes": "<p></p>", "WB-species-checked": "testedAndGuaranteed", "WB-species-dilution-info": "1/2000", "WB-species-notes": "<p></p>", "FlowCytIntra-species-checked": "guaranteed", "FlowCytIntra-species-dilution-info": "", "FlowCytIntra-species-notes": "" } } }

Product details

Species reactivity
Mouse, Rat: We have preliminary internal testing data to indicate this antibody may not react with these species.
Please contact us for more information.

Patented technology
Our RabMAb® technology is a patented hybridoma-based technology for making rabbit monoclonal antibodies. For details on our patents, please refer to RabMAb® patents.

What are the advantages of a recombinant monoclonal antibody?
This product is a recombinant monoclonal antibody, which offers several advantages including:

  • - High batch-to-batch consistency and reproducibility
  • - Improved sensitivity and specificity
  • - Long-term security of supply
  • - Animal-free batch production

For more information, read more on recombinant antibodies.

Properties and storage information

Form
Liquid
Purification technique
Affinity purification Protein A
Storage buffer
pH: 7.2 - 7.4 Preservative: 0.01% Sodium azide Constituents: PBS, 50% Tissue culture supernatant, 40% Glycerol (glycerin, glycerine), 0.05% BSA
Shipped at conditions
Blue Ice
Appropriate short-term storage conditions
+4°C
Appropriate long-term storage conditions
-20°C
Aliquoting information
Upon delivery aliquot
Storage information
Avoid freeze / thaw cycle

Supplementary information

This supplementary information is collated from multiple sources and compiled automatically.

Bcl10 also known as B-cell lymphoma 10 is a protein involved in several cellular processes. It has a molecular mass of approximately 26 kDa and shows expression in various lymphoid tissues. Bcl10 plays a significant role in signaling pathways by transmitting signals from the cell surface to the nucleus impacting cell growth and immune responses. Researchers often study Bcl10 using immunohistochemistry (IHC) techniques referred to as Bcl10 IHC to analyze its expression and distribution within tissues.
Biological function summary

Bcl10 activates downstream signaling pathways that are critical for immune cell functioning and survival. It forms part of the CARD-BCL10-MALT1 (CBM) complex which is important for the activation of the NF-kB pathway. This complex formation is essential for lymphocyte activation and proliferation. Bcl10 interactions within this complex influence cellular responses to various stimuli helping organisms to mount appropriate immune responses.

Pathways

Bcl10 serves as an integral component in the NF-kB and TCR signaling pathways. It functions alongside proteins such as MALT1 and CARD9 in these pathways. The proper functioning of Bcl10 in these pathways ensures accurate transcriptional regulation necessary for immune responses. Misregulation in these pathways can lead to immune disorders and aberrant cell behavior linking Bcl10 to further biological implications.

Bcl10 shows associations with mucosa-associated lymphoid tissue (MALT) lymphoma and other inflammatory diseases. Aberrant Bcl10 expression or mutations can lead to unchecked activation of NF-kB contributing to the progression of these conditions. In MALT lymphoma Bcl10 often cooperates with MALT1 both contributing to pathological cell survival and proliferation highlighting the importance of Bcl10 in understanding these diseases.

Product protocols

For this product, it's our understanding that no specific protocols are required. You can visit:

Target data

Plays a key role in both adaptive and innate immune signaling by bridging CARD domain-containing proteins to immune activation (PubMed : 10187770, PubMed : 10364242, PubMed : 10400625, PubMed : 24074955, PubMed : 25365219). Acts by channeling adaptive and innate immune signaling downstream of CARD domain-containing proteins CARD9, CARD11 and CARD14 to activate NF-kappa-B and MAP kinase p38 (MAPK11, MAPK12, MAPK13 and/or MAPK14) pathways which stimulate expression of genes encoding pro-inflammatory cytokines and chemokines (PubMed : 24074955). Recruited by activated CARD domain-containing proteins : homooligomerized CARD domain-containing proteins form a nucleating helical template that recruits BCL10 via CARD-CARD interaction, thereby promoting polymerization of BCL10, subsequent recruitment of MALT1 and formation of a CBM complex (PubMed : 24074955). This leads to activation of NF-kappa-B and MAP kinase p38 (MAPK11, MAPK12, MAPK13 and/or MAPK14) pathways which stimulate expression of genes encoding pro-inflammatory cytokines and chemokines (PubMed : 18287044, PubMed : 24074955, PubMed : 27777308). Activated by CARD9 downstream of C-type lectin receptors; CARD9-mediated signals are essential for antifungal immunity (PubMed : 26488816). Activated by CARD11 downstream of T-cell receptor (TCR) and B-cell receptor (BCR) (PubMed : 18264101, PubMed : 18287044, PubMed : 24074955, PubMed : 27777308). Promotes apoptosis, pro-caspase-9 maturation and activation of NF-kappa-B via NIK and IKK (PubMed : 10187815).
See full target information BCL10

Publications (1)

Recent publications for all applications. Explore the full list and refine your search

PloS one 12:e0169026 PubMed28052131

2017

Two Antagonistic MALT1 Auto-Cleavage Mechanisms Reveal a Role for TRAF6 to Unleash MALT1 Activation.

Applications

WB

Species

Unspecified reactive species

Stefanie Ginster,Maureen Bardet,Adeline Unterreiner,Claire Malinverni,Florian Renner,Stephen Lam,Felix Freuler,Bertran Gerrits,Johannes Voshol,Thomas Calzascia,Catherine H Régnier,Martin Renatus,Rainer Nikolay,Laura Israël,Frédéric Bornancin
View all publications

Product promise

We are committed to supporting your work with high-quality reagents, and we're here for you every step of the way. In the unlikely event that one of our products does not perform as expected, you're protected by our Product Promise.
For full details, please see our Terms & Conditions

Please note: All products are 'FOR RESEARCH USE ONLY. NOT FOR USE IN DIAGNOSTIC OR THERAPEUTIC PROCEDURES'.

For licensing inquiries, please contact partnerships@abcam.com